medigraphic.com
ENGLISH

Latin American Journal of Oral and Maxillofacial Surgery

ISSN 2992-7757 (Digital)
Órgano de difusión de la Asociación Latinoamericana de Cirugía y Traumatología Bucomaxilofacial (ALACIBU)
  • Mostrar índice
  • Números disponibles
  • Información
    • Información general        
    • Directorio
  • Publicar
    • Instrucciones para autores        
  • medigraphic.com
    • Inicio
    • Índice de revistas            
    • Registro / Acceso
  • Mi perfil

2025, Número 4

<< Anterior

Lat Am J Oral Maxillofac Surg 2025; 5 (4)


Osteorradionecrosis de los maxilares: abordaje clínico y rehabilitación maxilofacial

Fajardo Guapisaca, Diana Susana1,7; Reynoso Cuevas, Anel Monserrat2,8; de la Rosa Vázquez, Nicole3,9; González Cardín, Vicente4,10; Granados García, Martín5,11; Palacios Solís, Daniel Alberto6,12
Texto completo Cómo citar este artículo 10.35366/122831

DOI

DOI: 10.35366/122831
URL: https://dx.doi.org/10.35366/122831
Artículos similares

Idioma: Español
Referencias bibliográficas: 12
Paginas: 174-177
Archivo PDF: 1196.33 Kb.


PALABRAS CLAVE

osteorradionecrosis, radioterapia, rehabilitación maxilofacial, calidad de vida.

RESUMEN

La osteorradionecrosis (ORN) es una complicación severa que puede presentarse tras la radioterapia en la región de cabeza y cuello, caracterizada por la pérdida de vitalidad del hueso maxilar y mandibular, su exposición y la falta de cicatrización. Esta condición puede generar dolor, infecciones, fracturas y un notable deterioro en la calidad de vida del paciente. El tratamiento abarca desde opciones conservadoras, como el uso de antibióticos, oxigenoterapia hiperbárica, pentoxifilina y tocoferol, hasta intervenciones quirúrgicas. Un abordaje integral resulta esencial para controlar la enfermedad y preservar tanto la función como el bienestar del paciente.

Abreviaturas:

  • INCan = Instituto Nacional de Cancerología
  • ORN = osteorradionecrosis



INTRODUCCIóN

La osteorradionecrosis (ORN) de los maxilares es una de las principales y más devastadoras complicaciones asociadas a la radioterapia en cabeza y cuello, debido a su impacto funcional, estético y en la calidad de vida del paciente. Se define como la necrosis de hueso previamente irradiado que permanece expuesto durante al menos tres meses sin cicatrización, en ausencia de recurrencia tumoral.1 Su fisiopatología no está completamente esclarecida, aunque se reconocen múltiples factores predisponentes, tanto sistémicos como locales.2 La mandíbula es el sitio más afectado debido a su limitada vascularización y mayor absorción de radiación en comparación con el maxilar.3

Clínicamente, puede manifestarse con dolor, exposición ósea, fístulas, fracturas patológicas e incluso síntomas neurológicos. Su diagnóstico es principalmente clínico, apoyado por hallazgos radiográficos y tomográficos.4,5 Existen diversas clasificaciones, siendo una de las más utilizadas la propuesta por la Asociación Americana de Cirujanos Orales y Maxilofaciales, que establece estadios de 0 a 3 según la severidad.6

El tratamiento sigue representando un reto clínico y varía desde medidas conservadoras (antibióticos, oxigenoterapia hiperbárica, irrigaciones) hasta intervenciones quirúrgicas complejas.7 Una alternativa terapéutica prometedora es la combinación de pentoxifilina y tocoferol, que ha mostrado resultados positivos en la reducción de la fibrosis inducida por radiación y la estimulación de la cicatrización ósea.8 En este artículo, se presenta un caso clínico de osteorradionecrosis maxilar, abordado mediante un enfoque multidisciplinario enfocado en restaurar la función y mejorar la calidad de vida del paciente.



CASO CLíNICO

Se presenta el caso de un hombre de 32 años que acudió al Instituto Nacional de Cancerología (INCan) en octubre de 2020 con diagnóstico de adenocarcinoma sinonasal poco diferenciado con comportamiento invasor. En noviembre del mismo año se le realizó una resección transnasal y maxilectomía medial, seguida de tratamiento con radioterapia externa en 2021 e irradiaciones adicionales en 2022 y 2024, con una dosis acumulada de 75 Gy en 30 fracciones, en combinación con quimioterapia codominante.

Durante el seguimiento, en 2021 el paciente refirió aumento de volumen en la región malar izquierda, asociado a molestias en el tercer molar superior derecho (Figura 1). En 2023, se documentaron signos clínicos compatibles con osteorradionecrosis maxilar, con evidencia de necrosis ósea. Se indicó la realización de una biopsia, en la cual se identificó infección por Actinomyces (Figura 2). Posteriormente se observó progresión de la lesión en el sitio de la biopsia, con evidencia de comunicación hacia el piso de la cavidad nasal, movilidad dentaria y dolor persistente. El abordaje terapéutico incluyó manejo antibiótico y administración del esquema PENTOCLO (pentoxifilina + tocoferol).

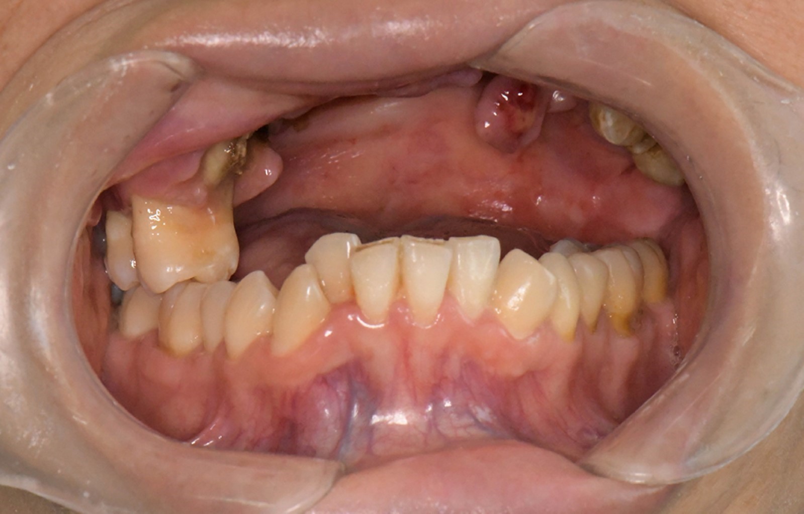
En 2025 fue referido al servicio de estomatología del INCan debido a movilidad grado 3 de piezas dentales del maxilar por pérdida de soporte óseo. Se discutió el caso con el servicio de radioterapia para autorizar extracciones dentales, y en conjunto con el servicio de cirugía maxilofacial se llevaron a cabo múltiples extracciones dentales y desbridamiento del secuestro óseo bajo anestesia local, sin complicaciones (Figura 3). Se indicó continuar con el tratamiento con PENTOCLO y el sujeto fue integrado a manejo paliativo integral, debido a la progresión sistémica de la enfermedad oncológica, con metástasis pulmonares y en otros sitios (Figura 4).

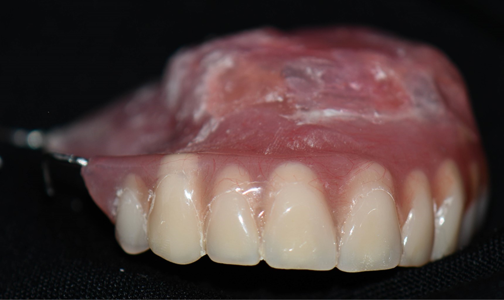
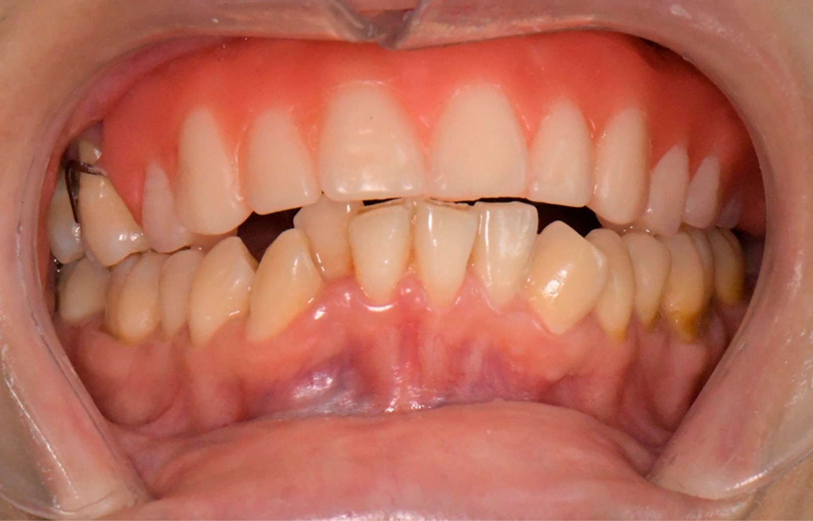
El paciente acudió a cita de control siete días después para evaluación del proceso de cicatrización (Figura 5). Después fue referido al servicio de prótesis maxilofacial para la elaboración de un obturador. Se optó por la fabricación de una prótesis parcial removible modificada con bulbo obturador, correspondiente a un defecto maxilar clase VI de Aramany. Tras una planeación cuidadosa de las superficies de apoyo, retención y estabilización, se utilizó Ufi Gel SC como material de rebase, lo que permitió restaurar la deglución, fonética y estética, contribuyendo así a mejorar la calidad de vida del paciente (Figura 6).

En la actualidad, el paciente continúa en seguimiento periódico para evaluación de la adaptación y mantenimiento de la prótesis (Figura 7).



DISCUSIóN

La ORN de los maxilares es una de las complicaciones más severas y debilitantes derivadas del tratamiento con radioterapia en pacientes con cáncer de cabeza y cuello. Se caracteriza por la necrosis isquémica del hueso irradiado y, en muchos casos, de los tejidos blandos circundantes, sin evidencia de recurrencia tumoral o enfermedad metastásica. Aunque su incidencia ha disminuido gracias a los avances en las técnicas de radioterapia, se estima que aún afecta entre 2 y 8% de los casos, siendo difícil de predecir, prevenir y tratar de manera efectiva.9

La manifestación clínica de la ORN puede variar ampliamente, desde casos asintomáticos con exposición ósea limitada, hasta cuadros graves con necrosis extensa, fracturas patológicas, formación de fístulas e infecciones severas, que comprometen significativamente la calidad de vida del paciente.10 Los síntomas comunes incluyen dolor, halitosis, disgeusia, disestesia o anestesia, trismus, disfagia, dificultad para hablar y alimentarse, y afectaciones psicológicas relacionadas con el deterioro estético y funcional.9

En cuanto a su aparición, Márquez Santana y colaboradores reportaron un intervalo de diagnóstico de entre seis a 34 meses después de iniciar radioterapia, con una media de 20.5 meses. En otros casos, la ORN se presenta dentro de los primeros tres años del tratamiento, aunque el riesgo puede persistir de forma indefinida.11 Por otro lado, otras investigaciones sitúan el rango entre 22 y 47 meses después de la radioterapia, lo que demuestra una considerable variabilidad en su presentación clínica.12

La fisiopatología de la ORN sigue sin estar completamente esclarecida, entre los factores de riesgo se identifican elementos sistémicos como la desnutrición, enfermedades metabólicas, edad avanzada y hábitos como el tabaquismo o el consumo de alcohol, así como factores locales, principalmente intervenciones quirúrgicas en zonas irradiadas y extracciones dentales postradioterapia. Además, el hueso mandibular es particularmente susceptible debido a su menor irrigación y a su mayor absorción de radiación, lo que aumenta su vulnerabilidad frente a la necrosis.2,3

El manejo clínico de la ORN continúa siendo un desafío. Se han propuesto tratamientos conservadores, como el uso de antibióticos, irrigaciones locales y oxigenoterapia hiperbárica, para casos incipientes o estables. Sin embargo, en fases avanzadas puede ser necesario recurrir a resecciones quirúrgicas amplias con reconstrucción microvascular inmediata.7

Recientemente, la combinación farmacológica de pentoxifilina y tocoferol ha demostrado resultados prometedores en el tratamiento de la ORN, al actuar como agentes antifibróticos que mejoran la microcirculación, reducen la inflamación, disminuyen la fibrosis inducida por radiación y estimulan la cicatrización osteoblástica. Se ha reportado que esta terapia combinada logra una regresión significativa del área afectada, mostrando un efecto superior al tratamiento con cada fármaco por separado.8



CONCLUSIONES

La osteorradionecrosis de los maxilares es una complicación grave y multifactorial tras la radioterapia en cabeza y cuello. El caso presentado evidencia la importancia de un abordaje multidisciplinario y oportuno, combinando tratamiento médico, quirúrgico y protésico, con el fin de controlar la progresión local y mejorar la función y calidad de vida del paciente, incluso en el contexto de enfermedad metastásica avanzada.


REFERENCIAS (EN ESTE ARTÍCULO)

  1. Fan H, Kim SM, Cho YJ, Eo MY, Lee SK, Woo KM. New approach for the treatment of osteoradionecrosis with pentoxifylline and tocopherol. Biomater Res. 2014; 18: 13.

  2. Márquez STG, Minerva DAC, Echeverría y Pérez E, Malpica SEB. Osteorradionecrosis: experiencia en el hospital General de México. Gac Mex Oncol. 2011; 10 (5): 269-277.

  3. Gallegos-Hernández JF, Reyes-Vivanco A, Arias-Ceballos H, Minauro-Muñoz GG, Ortiz-Maldonado AL, García-Ruíz D, et al. Osteroradionecrosis (ONR) mandibular como efecto colateral del tratamiento del cáncer de cabeza y cuello: factores que la inducen. Gac Med Mex. 2016; 152: 730-733.

  4. Deshpande SS, Thakur MH, Dholam K, Mahajan A, Arya S, Juvekar S. Osteoradionecrosis of the mandible: through a radiologist's eyes. Clin Radiol. 2015; 70 (2): 197-205.

  5. Singh A, Huryn JM, Kronstadt KL, Yom SK, Randazzo JR, Estilo CL. Osteoradionecrosis of the jaw: a mini review. Front Oral Health. 2022; 3: 980786.

  6. Tartaroti NC, Marques MM, Naclério-Homem MDG, Migliorati CA, Zindel DMC. Antimicrobial photodynamic and photobiomodulation adjuvant therapies for prevention and treatment of medication-related osteonecrosis of the jaws: Case series and long-term follow-up. Photodiagnosis Photodyn Ther. 2020; 29: 101651.

  7. Jacobson AS, Buchbinder D, Hu K, Urken ML. Paradigm shifts in the management of osteoradionecrosis of the mandible. Oral Oncol. 2010; 46 (11): 795-801.

  8. Delanian S, Lefaix JL. The radiation-induced fibroatrophic process: therapeutic perspective via the antioxidant pathway. Radiother Oncol. 2004; 73 (2): 119-131.

  9. Somay E, Yilmaz B, Kucuk A, Topkan E. Quality of life changes in patients with osteoradionecrosis and their measurement. Journal of Advances in Medicine and Medical Research. 2022; 34 (21): 48-61.

  10. Marx RE. Osteoradionecrosis: a new concept of its pathophysiology. J Oral Maxillofac Surg. 1983; 41 (5): 283-288.

  11. Márquez STG, Minerva DAC, Echevarría y Pérez E, Malpica SEB. Osteorradionecrosis: experiencia en el Hospital General de México. Gac Mex Oncol. 2011; 10 (5): 269-277.

  12. Lee IJ, Koom WS, Lee CG, Kim YB, Yoo SW, Keum KC, et al. Risk factors and dose-effect relationship for mandibular osteoradionecrosis in oral and oropharyngeal cancer patients. Int J Radiat Oncol Biol Phys. 2009; 75 (4): 1084-1091.



AFILIACIONES

1 Residente de Cirugía Oral y Maxilofacial. Universidad Nacional Autónoma de México (UNAM).

2 Residente de Prótesis Oral y Maxilofacial. UNAM.

3 Pasante de Estomatología del Instituto Nacional de Cancerología (INCan).

4 Cirujano Dentista especialista en Prótesis Maxilofacial del INCan. Departamento de Tumores de Cabeza y Cuello.

5 Jefe del Departamento de Tumores de Cabeza y Cuello del INCan.

6 Cirujano Dentista especialista en Estomatología Pediátrica del INCan, Departamento de Tumores de Cabeza y Cuello.
ORCID:

7 0009-0000-0911-6913

8 0009-0009-1884-8281

9 0009-0009-6337-3510

10 0000-0002-4143-1961

11 0000-0002-4536-8154

12 0009-0003-1096-2748



CORRESPONDENCIA

Diana Susana Fajardo Guapisaca. E-mail: fajardoguapisacas@gmail.com




Recibido: 14/08/2024. Aceptado: 26/01/2025

Figura 1
Figura 2
Figura 3
Figura 4
Figura 5
Figura 6
Figura 7

2020     |     www.medigraphic.com

Mi perfil

C?MO CITAR (Vancouver)

Lat Am J Oral Maxillofac Surg. 2025;5

ARTíCULOS SIMILARES

CARGANDO ...