medigraphic.com
ENGLISH

Latin American Journal of Oral and Maxillofacial Surgery

ISSN 2992-7757 (Digital)
Órgano de difusión de la Asociación Latinoamericana de Cirugía y Traumatología Bucomaxilofacial (ALACIBU)
  • Mostrar índice
  • Números disponibles
  • Información
    • Información general        
    • Directorio
  • Publicar
    • Instrucciones para autores        
  • medigraphic.com
    • Inicio
    • Índice de revistas            
    • Registro / Acceso
  • Mi perfil

2025, Número 4

<< Anterior Siguiente >>

Lat Am J Oral Maxillofac Surg 2025; 5 (4)


Granuloma piogénico oral como manifestación del síndrome de Klippel-Trénaunay: revisión de la literatura y reporte de caso

Vega Gatica, Sebastián1,2; Espinoza Ordoñez, Francisco1,2; Torrealba Mancilla, Fernanda1,3; Contreras Vielma, Luis1,2
Texto completo Cómo citar este artículo 10.35366/122830

DOI

DOI: 10.35366/122830
URL: https://dx.doi.org/10.35366/122830
Artículos similares

Idioma: Español
Referencias bibliográficas: 8
Paginas: 171-173
Archivo PDF: 943.08 Kb.


PALABRAS CLAVE

granuloma piogénico, síndrome de Klippel-Trénaunay, malformaciones vasculares, manifestaciones orales.

RESUMEN

El granuloma piogénico es una lesión vascular benigna frecuente en la cavidad oral, particularmente en la encía, cuyo desarrollo se asocia a traumatismo local, irritantes crónicos, cambios hormonales o ciertos medicamentos. Se caracteriza por su aparición rápida, aspecto eritematoso, superficie lobulada y tendencia al sangrado. En contraste, el síndrome de Klippel-Trénaunay es una enfermedad congénita que combina malformaciones capilares, venosas y/o linfáticas con hipertrofia de tejidos blandos y estructuras óseas. La manifestación oral de este síndrome es poco común, y la aparición de granulomas piogénicos en este contexto ha sido escasamente reportada en la literatura, lo cual genera un desafío diagnóstico y terapéutico. En este artículo se revisan las características clínicas, histopatológicas, fisiopatológicas y genéticas del granuloma piogénico y del síndrome de Klippel-Trénaunay, destacando una posible interacción patogénica entre ambas condiciones. Esta revisión proporciona el marco teórico necesario para la posterior presentación de un caso clínico relevante.



ABREVIATURA:

  • SKT = síndrome de Klippel-Trénaunay



INTRODUCCIóN

El granuloma piogénico (GP), también denominado hemangioma lobular capilar, es una lesión benigna proliferativa de origen vascular caracterizada por su rápida aparición y elevada tendencia al sangrado. Su presentación clínica más común ocurre en la encía, especialmente en mujeres jóvenes, asociado a estímulos locales u hormonales. La etiopatogenia se relaciona con factores traumáticos, acumulación de placa bacteriana, alteraciones hormonales y el uso de ciertos fármacos.1

El síndrome de Klippel-Trénaunay (SKT) es una enfermedad congénita de sobrecrecimiento vascular, caracterizada por una tríada clásica: malformaciones capilares (mancha en vino de Oporto), anomalías venosas y linfáticas, y crecimiento hipertrófico de tejidos blandos y estructuras óseas. Su base genética se atribuye a mutaciones somáticas activadoras del gen PIK3CA, que inducen activación anormal de la vía PI3K/AKT/Mtor.2,3



FISIOPATOLOGÍA DEL SÍNDROME DE KLIPPEL-TRÉNAUNAY

Las mutaciones en PIK3CA, ubicado en el cromosoma 3q26.3, activan de forma constitutiva la vía PI3K/AKT/mTOR, reguladora de procesos como crecimiento celular, diferenciación y angiogénesis. Esta activación lleva a la proliferación desorganizada de células endoteliales y malformaciones vasculares,2,3 las cuales se deben a alteraciones en la diferenciación de células progenitoras vasculares y persistencia de estructuras embrionarias.4

Histológicamente, estas lesiones muestran canales vasculares displásicos sin mitosis activa, diferenciándose de los hemangiomas verdaderos. Además, se ha demostrado un ambiente proangiogénico con expresión aumentada de VEGF, Ang-2, HIF-1α y TIE2, lo que favorece la fragilidad capilar y el sangrado.5,6

En el entorno oral, este microambiente puede facilitar el desarrollo de granulomas piogénicos ante mínimos estímulos. La activación sostenida de vías angiogénicas favorece una respuesta desproporcionada al trauma o la irritación mecánica, como la acumulación de biopelícula, generando lesiones exuberantes y recurrentes.7,8



PRESENTACIóN DEL CASO

Hombre de 32 años de edad, diagnosticado con síndrome de Klippel-Trénaunay y resistencia a la insulina, en tratamiento con metformina. Sin alergias medicamentosas, sólo refiere uso diario de cannabis y antecedente quirúrgico de apendicectomía.

Es derivado desde un centro primario de atención médica por tumoración en región retromolar derecha, de 1 cm de diámetro, base pediculada, aspecto eritematoso y firme.

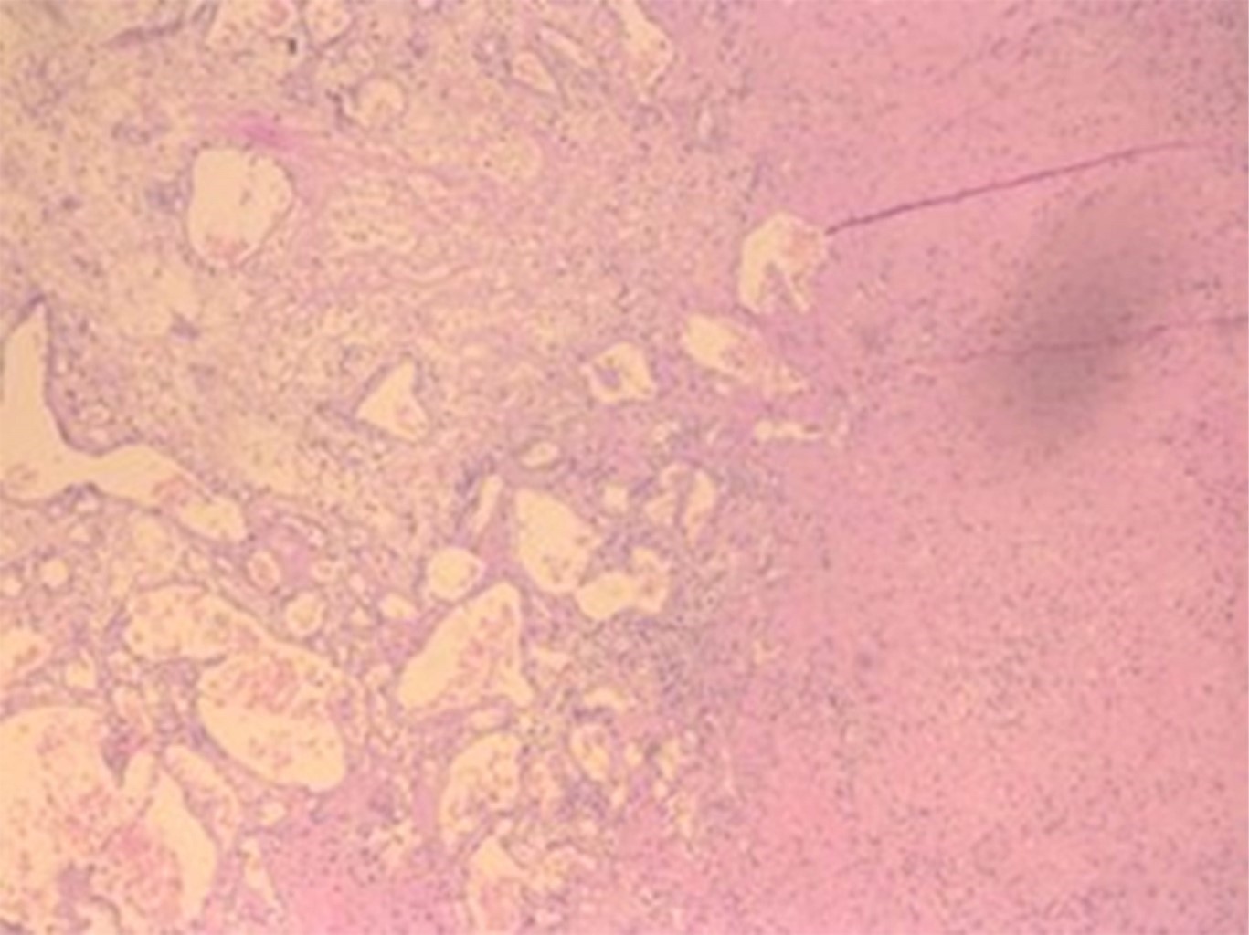
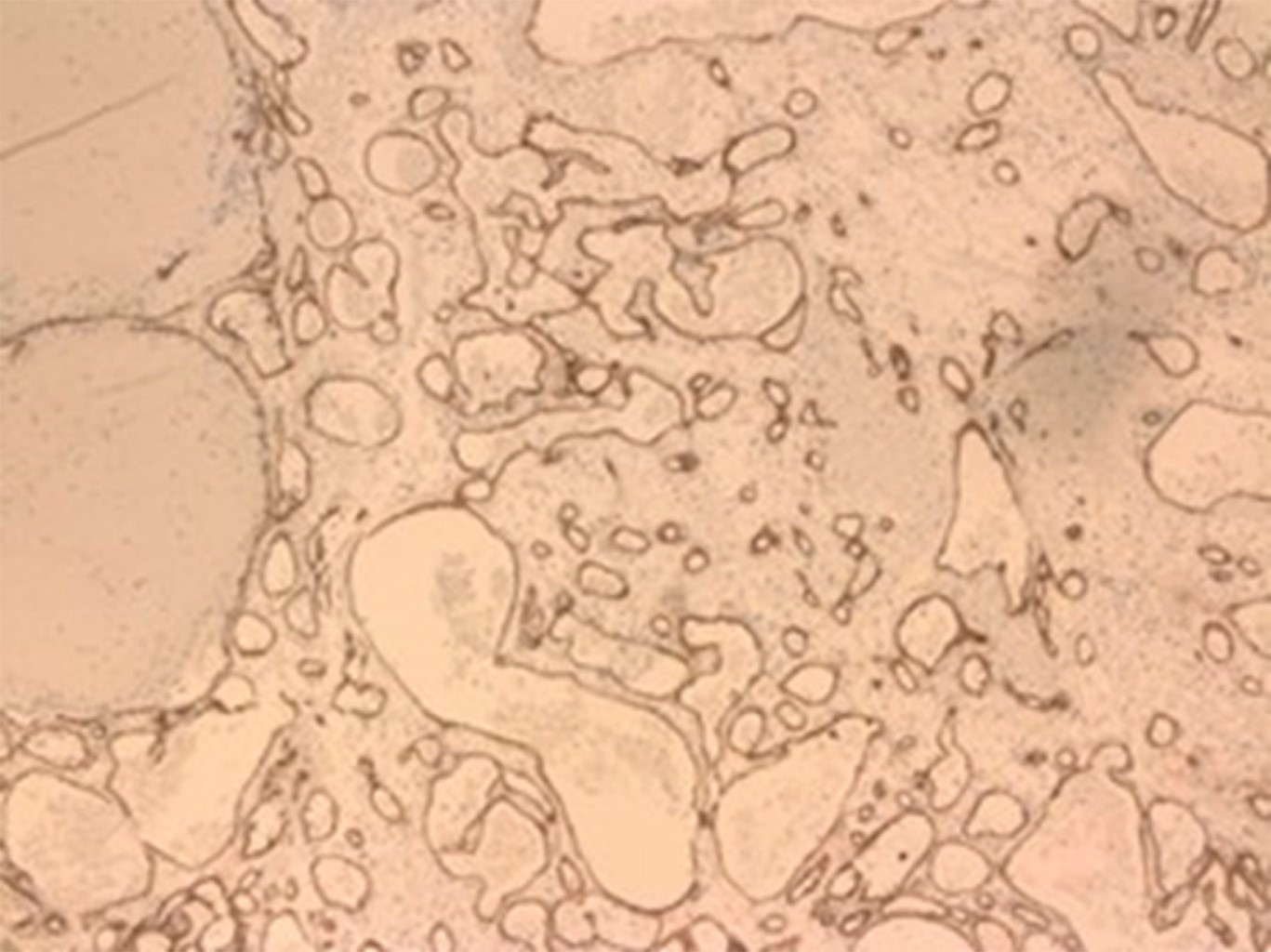
Se realiza biopsia incisional de lesión adyacente al diente 4.8 y unas semanas más tarde se confirma el diagnóstico histopatológico de granuloma piogénico (Figuras 1, 2 y 3). En ese momento se planifica exodoncia de los dientes 1.8, 3.8 y 4.8, junto con la exéresis completa de la lesión bajo anestesia general.

El 25 de mayo de 2025 se realizó el procedimiento exéresis de la lesión de más de 3 cm en relación a diente 4.8 (Figuras 4 y 5) bajo anestesia general sin complicaciones. En control del 23 de junio de 2025 se constata buena cicatrización y ausencia de recidiva. Se indica seguimiento periódico.



DISCUSIóN

Este caso representa una rara asociación entre el granuloma piogénico oral y el SKT. Se hipotetiza que la sobreexpresión de la vía PI3K/AKT/mTOR y el ambiente angiogénico del SKT predisponen al desarrollo de lesiones proliferativas vasculares ante estímulos locales mínimos como dientes parcialmente erupcionados.2,3,5

El granuloma piogénico, incluso en ausencia de patología sistémica, se relaciona con inflamación crónica secundaria a placa bacteriana, trauma o erupción dental.1 En el paciente descrito, el tercer molar parcialmente erupcionado actuó como irritante crónico en un contexto sistémico propenso a una respuesta proliferativa desmedida.

Estudios previos han demostrado la relación entre dientes impactados y trauma repetido en tejidos adyacentes, lo que favorece la inflamación. En casos con displasia vascular congénita, esta inflamación puede inducir granulomas piogénicos clínicamente más agresivos y sangrantes.7,8

Este caso resalta la necesidad de medidas preventivas en pacientes con SKT, como la evaluación de terceros molares parcialmente erupcionados, y de extremar precauciones hemostáticas quirúrgicas. El seguimiento prolongado es clave para detectar recidivas o nuevas lesiones.



CONCLUSIóN

El granuloma piogénico en pacientes con SKT constituye una manifestación oral inusual que requiere abordaje multidisciplinario. La identificación y remoción del estímulo irritativo junto a la exéresis completa son efectivas. Es fundamental un control clínico prolongado por el riesgo de recidiva. Este reporte contribuye a ampliar la literatura existente sobre manifestaciones orales del SKT y destaca la importancia de considerar el componente sistémico en el diagnóstico y manejo de lesiones orales atípicas.


REFERENCIAS (EN ESTE ARTÍCULO)

  1. Jafarzadeh H, Sanatkhani M, Mohtasham N. Oral pyogenic granuloma: a review. J Oral Sci. 2006; 48 (4): 167-175.

  2. Keppler-Noreuil KM, Rios JJ, Parker VE, et al. PIK3CA-related overgrowth spectrum (PROS): Diagnostic and testing eligibility criteria, differential diagnosis, and evaluation. Am J Med Genet A. 2015; 167A (2): 287-295.

  3. Castel P, Carmona FJ, Grego-Bessa J, et al. Somatic PIK3CA mutations as a cause of sporadic venous malformations in humans. Sci Transl Med. 2016; 8 (332): 332ra43.

  4. Brouillard P, Vikkula M. Genetic causes of vascular malformations. Hum Mol Genet. 2007; 16 (R2): R140-R149.

  5. Vahidnezhad H, Youssefian L, Uitto J. Molecular genetics of the PI3K-AKT pathway: Its impact on cutaneous and systemic vascular anomalies. J Invest Dermatol. 2016; 136 (2): 239-247.

  6. Greene AK, Alomari AI. Management of arteriovenous malformations. Clin Plast Surg. 2011; 38 (1): 95-106.

  7. Itkin M, Nadolski GJ. Vascular anomalies: classification, diagnosis, and management. Cardiovasc Diagn Ther. 2019; 9 (Suppl 1): S25-S38.

  8. Saghafi S, Amoueian S, Montazer M, Bostan R. Assessment of VEGF, CD-31 and Ki-67 expression in oral pyogenic granuloma: an immunohistochemical study. Iran J Basic Med Sci. 2011; 14 (2): 185-189.



AFILIACIONES

1 Hospital San Camilo. San Felipe, Chile.

2 Unidad de Cirugía Oral y Maxilofacial.

3 Unidad de Anatomía Patológica.



CORRESPONDENCIA

Sebastián Vega Gatica. E-mail: seba.vegag@gmail.com




Recibido: 05/05/2025. Aceptado: 11/08/2025

Figura 1
Figura 2
Figura 3
Figura 4
Figura 5

2020     |     www.medigraphic.com

Mi perfil

C?MO CITAR (Vancouver)

Lat Am J Oral Maxillofac Surg. 2025;5

ARTíCULOS SIMILARES

CARGANDO ...