medigraphic.com
ENGLISH

Cirujano General

ISSN 2594-1518 (Digital)
ISSN 1405-0099 (Impreso)
  • Mostrar índice
  • Números disponibles
  • Información
    • Información general        
    • Directorio
  • Publicar
    • Instrucciones para autores        
    • Envío de artículos
  • medigraphic.com
    • Inicio
    • Índice de revistas            
    • Registro / Acceso
  • Mi perfil

2019, Número 3

<< Anterior Siguiente >>

Cir Gen 2019; 41 (3)


Linitis gástrica por linfoma. Utilidad del ultrasonido endoscópico en el diagnóstico. Reporte de caso y revisión

Membrillo-Romero, Alejandro1; Escandón-Espinoza, Yoeli Marisa1
Texto completo Cómo citar este artículo Artículos similares

Idioma: Español/Inglés [English version]
Referencias bibliográficas: 14
Paginas: 202-207
Archivo PDF: 270.13 Kb.


PALABRAS CLAVE

Linitis gástrica, linfoma, ecoendoscopia.

RESUMEN

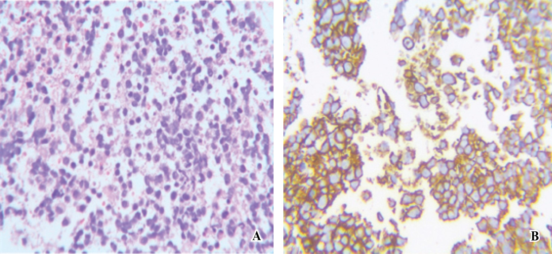
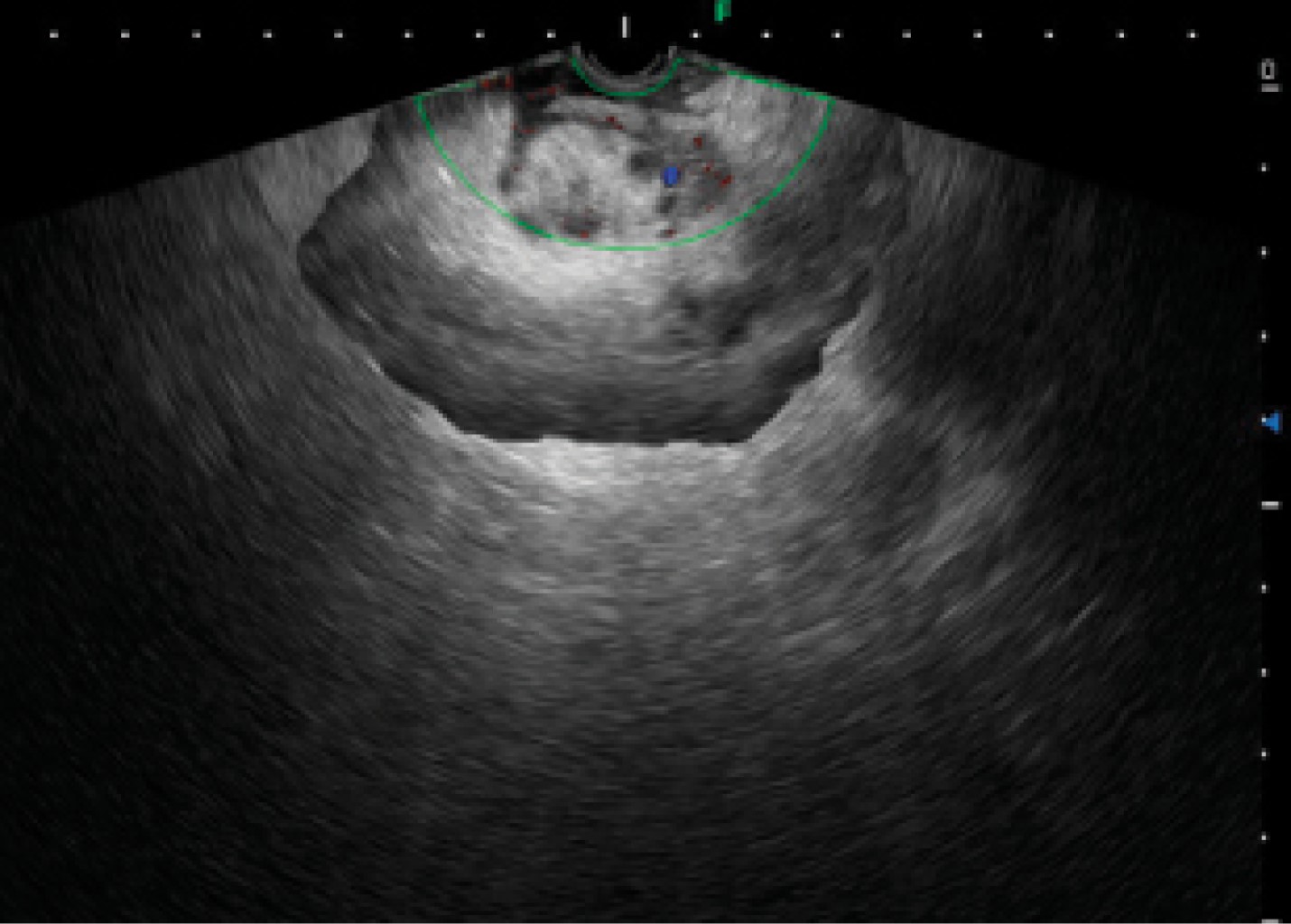
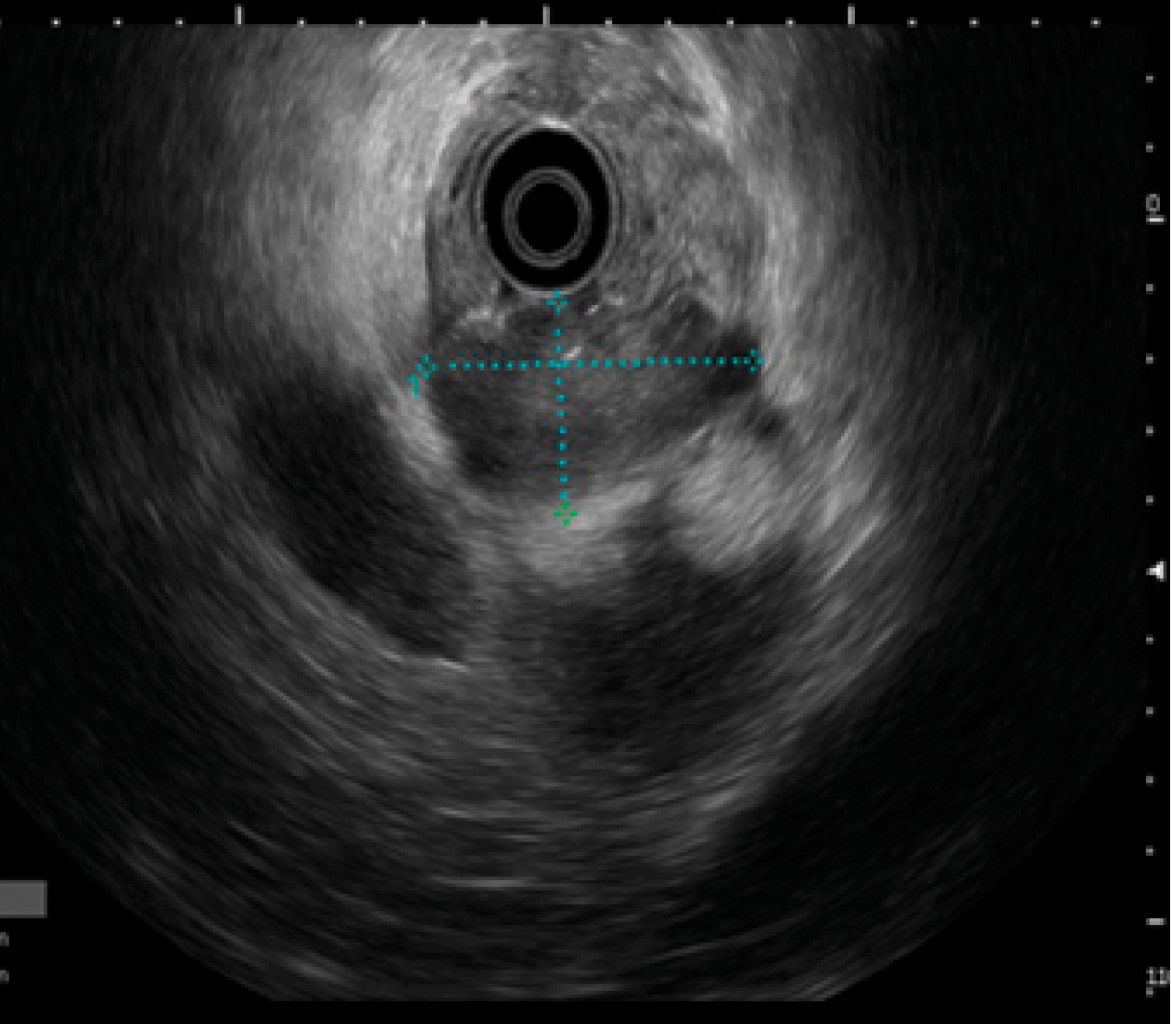
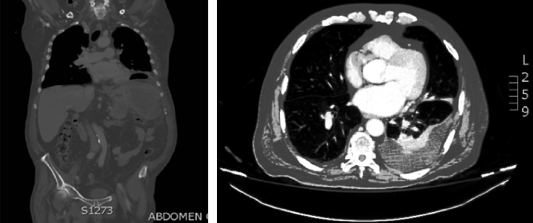
Introducción: La prevalencia de cáncer gástrico en México ha tenido un incremento en los últimos años con predominio en hombres. Los factores de riesgo son el consumo de alcohol, tabaco e infección por Helicobacter pylori, considerado en nuestra población como de riesgo moderado. Aunque el adenocarcinoma sigue predominando como la neoplasia maligna gástrica más frecuente, un porcentaje no despreciable del 7-8%, según la Organización Mundial de la Salud, lo ocupa el linfoma no Hodgkin (extranodal) y los leiomiosarcomas. El adecuado abordaje diagnóstico y la diferenciación son cruciales entre el adenocarcinoma y el linfoma, ya que de ello depende el pronóstico y el tratamiento. Caso clínico: Se comunica el caso de un hombre de 79 años con astenia, hipercalcemia maligna con hallazgo incidental de engrosamiento gástrico por tomografía. Se realizó ultrasonido endoscópico para el diagnóstico de linfoma gástrico de variedad difuso (Ann Arbor modificada II2). Revisión de literatura: El ultrasonido endoscópico es considerado una herramienta para el diagnóstico de neoplasias malignas gástricas en todas sus variantes, principalmente donde la enfermedad se encuentra en capas profundas. Conclusión: El ultrasonido endoscópico es el método que nos lleva a obtener alta precisión diagnóstica en linfoma gástrico permitiendo la toma de biopsias del espesor total de la pared de bloque celular para realizar diagnóstico diferencial siempre con inmunohistoquímica.


REFERENCIAS (EN ESTE ARTÍCULO)

  1. Perfil epidemiológico de los tumores malignos en México. Compendio morbilidad/mortalidad. México: Secretaría de Salud; 2011.

  2. Galindo F, Castro RM. Linfoma ga?strico. Cirugi?a digestiva. www.sacd.org.ar, 2009; II-227, 1-11.

  3. Ginès A, Pellise M, Fernández-Esparrach G, Soria MT, Mata A, Membrillo A, et al. Endoscopic ultrasonography in patients with large gastric folds at endoscopy and biopsies negative for malignancy: predictors of malignant disease and clinical impact. Am J Gastroenterol. 2006; 101: 64-69.

  4. Siewert JR, Fink U, Sendler A, Becker K, de Bottcher K, Feldmann HJ, et al. Gastric cancer. Curr Probl Surg. 1997; 34: 835-939.

  5. Botet JF, Lightdale CJ, Zauber AG, Gerdes H, Winaver SJ, Urmacher C, et al. Preoperative staging of gastric cancer: comparison of endoscopic US and dynamic CT. Radiology. 1991; 181: 426-432.

  6. Akahoshi K, Misawa T, Fujishima H, Chijiiwa Y, Maruoka A, Ohkubo A, et al. Preoperative evaluation of gastric cancer by endoscopic ultrasound. Gut. 1991; 32: 479-482.

  7. Chiu B, Weisenburger D. An update of the epidemiology of non-Hodgkin's lymphoma. 2014; 12: 1282-1303.

  8. Dicken BJ, Bigam DL, Cass C, Mackey JR, Joy AA, Hamilton SM. Gastric adenocarcinoma: review and considerations for future directions. Ann Surg. 2005; 241: 27-39.

  9. Lee DH, Ko YT. Advanced gastric carcinoma: the role of three- dimensional and axial imaging by spiral CT. Abdom Imaging. 1999; 24: 111-116.

  10. Nickl NJ, Cotton PB. Clinical application of endoscopic?ultrasonography. Am J Gastroenterol. 1990; 85: 675-682.

  11. Cavanna L, Pagani R, Pietro S, Zangrandi A, Paties C. High grade B-cell gastric lymphoma with complete pathologic remission after eradication of Helicobacter pylori infection: report of a case and review of literature. World J Surg Oncol. 2008; 6: 35.

  12. Suekane H, Iida M, Yao T, Matsumoto T, Masuda Y, Fujishima M. Endoscopic ultrasonography in primary gastric lymphoma: correlation with endoscopic and histologic findings. Gastrointest Endosc. 1993; 39: 139-145.

  13. Caletti G, Fusaroli P, Togliani T, Bocus P, Roda E. Endosonography in gastric lymphoma and large gastric folds. Eur J Ultrasound. 2000; 11: 31-40.

  14. Ponce GJ, Castells GA, Gomollón GF, Esteve CM, de Argila C, Molero RX, et al. Tratamiento de las enfermedades gastroenterológicas. Asociación Española de Gastroenterología. 2011; 12: 1-551.



AFILIACIONES

1 Servicio de Endoscopia y Ultrasonido Endoscópico, Hospital de Especialidades "Dr. Manuel Bernardo Sepúlveda", Centro Médico Nacional Siglo XXI, Instituto Mexicano del Seguro Social, Ciudad de México, México.



CORRESPONDENCIA

Alejandro Membrillo-Romero. E-mail: membriale@hotmail.com




Recibido: 20/11/2017. Aceptado: 13/05/2019

Figura 1
Figura 2
Figura 3
Figura 4
Figura 5
Tabla 1

2020     |     www.medigraphic.com

Mi perfil

C?MO CITAR (Vancouver)

Cir Gen. 2019;41

ARTíCULOS SIMILARES

CARGANDO ...