medigraphic.com
ENGLISH

Revista Odontológica Mexicana Órgano Oficial de la Facultad de Odontología UNAM

ISSN 1870-199X (Impreso)
Órgano oficial de la Facultad de Odontología, UNAM
  • Mostrar índice
  • Números disponibles
  • Información
    • Información general        
    • Directorio
  • Publicar
    • Instrucciones para autores        
  • medigraphic.com
    • Inicio
    • Índice de revistas            
    • Registro / Acceso
  • Mi perfil

2020, Número 2

<< Anterior Siguiente >>

Rev Odont Mex 2020; 24 (2)


Reporte de caso inusual de queratoquiste odontogénico esporádico maxilar

Franco-Barrera MJ, Sosa-López VP, Franco-Barrera M, Gutiérrez-Cortés E, Salas-Cordero KO, Ramos-Ibarra ML, Torres-Bugarin O
Texto completo Cómo citar este artículo Artículos similares

Idioma: Ingles.
Referencias bibliográficas: 52
Paginas: 134-140
Archivo PDF: 237.05 Kb.


PALABRAS CLAVE

queratoquiste odontogénico, queratoquiste maxilar, queratoquiste asintomático, lisis ósea, enucleación.

RESUMEN

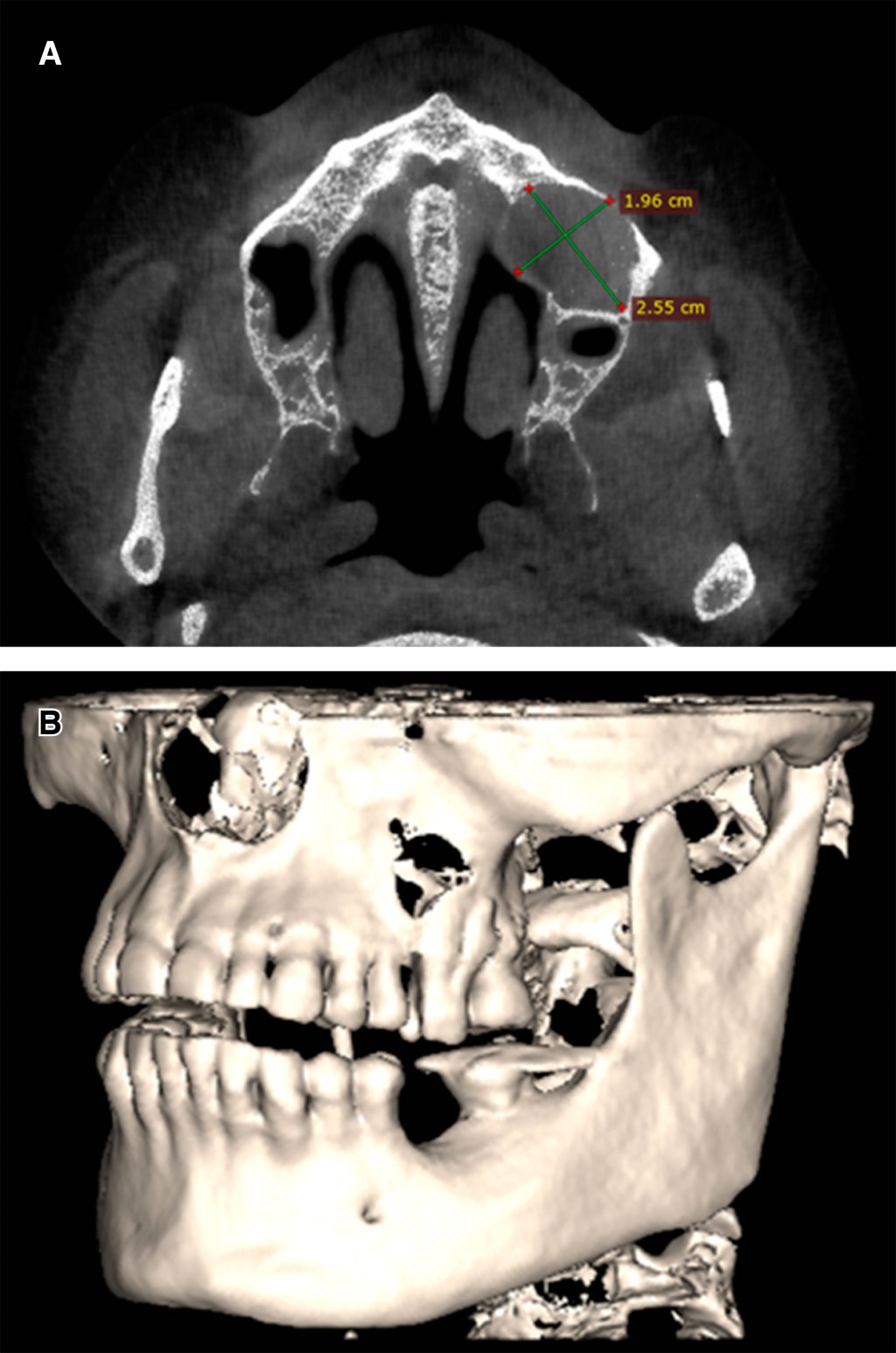
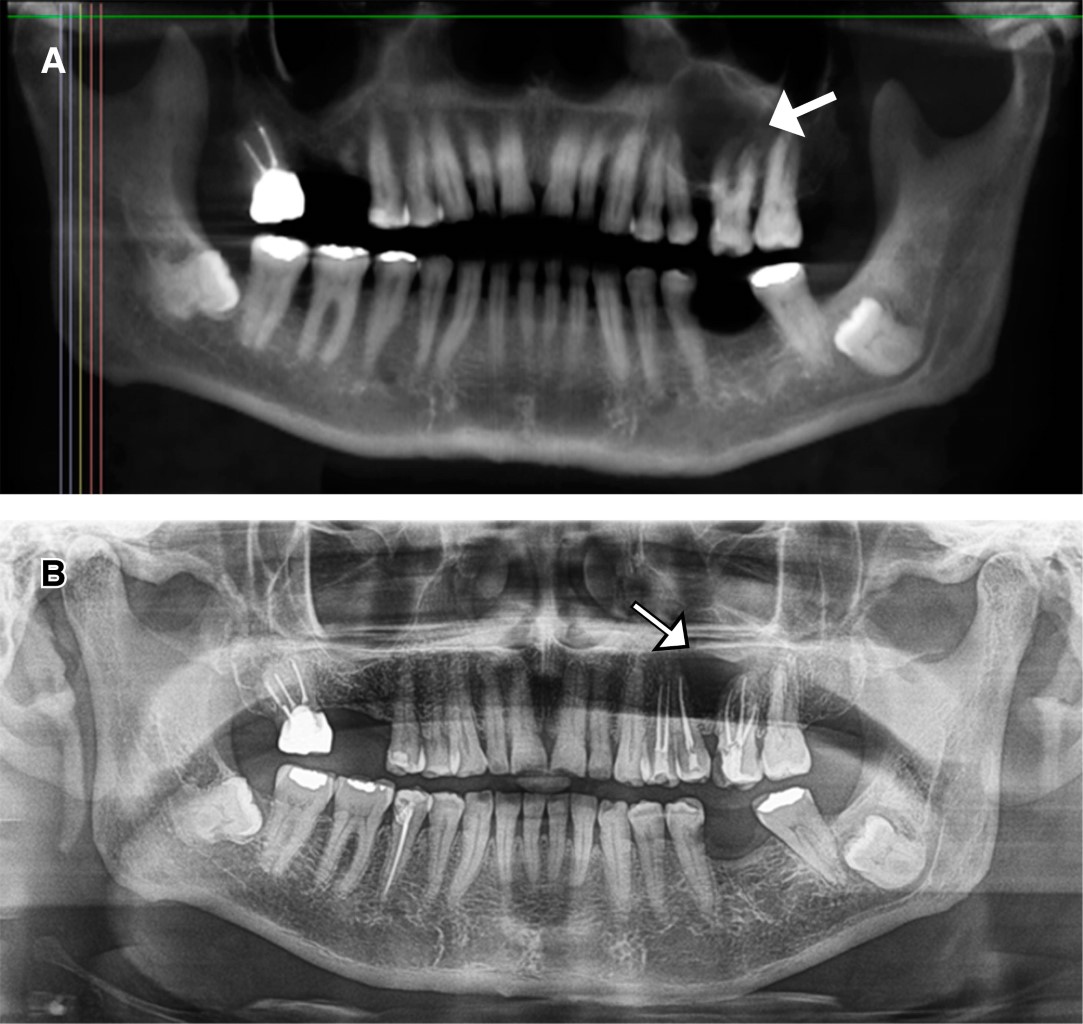
El queratoquiste odontogénico (OKCs) es una enfermedad rara que se manifiesta en la región maxilofacial, afecta principalmente a la mandíbula más que al maxilar y se asocia con la presencia de un diente retenido. La mayoría de los casos son asintomáticos, afecta más a hombres que a mujeres en su segunda década de vida; los pacientes pueden presentar dolor o hinchazón de tejidos blandos en los OKCs infectados. La expansión ósea y la parestesia de los labios se registran en menos casos. La región más común en los maxilares es el tercer molar y la región canina. El objetivo de este informe es presentar un caso clínico infrecuente de un varón de 72 años con CCO asintomáticos en región maxilar izquierda, que presenta lisis ósea en región vestibular y palatina con aleación de fosas nasales sin comprometer los dientes. El paciente fue tratado con enucleación y osteotomía periférica mediante instrumento rotatorio; actualmente sin recidiva. También se realiza una revisión de casos con queratoquiste maxilar.


REFERENCIAS (EN ESTE ARTÍCULO)

  1. Soluk-Tekkesin M, Wright JM. The World Health Organization classification of odontogenic lesions: a summary of the changes of the 2017 (4th) edition. Turk Patoloji Derg. 2018; 34: 1-18.

  2. Oren N, Vaysberg A, Ginat DT. Updated WHO nomenclature of head and neck lesions and associated imaging findings. Insights Imaging. 2019; 16: 1-10.

  3. Witteveen ME, Flores IL, Karssemakers LH et al. Odontogenic keratocysts located in the buccal mucosa: a description of two cases and review of the literature. SAGE Open Med Case Rep. 2019; 19: 1-4.

  4. Passi D, Singhal D, Singh M et al. A Odontogenic keratocyst (okc) or keratocystic odontogenic tumor (kcot)-journey of okc from cyst to tumor to cyst again: comprehensive review With recent updates on who classification (2017). International Journal of Current Research. 2017; 9: 54080-54086.

  5. Kinard B, Hansen G, Newman M et al. How well do we manage the odontogenic keratocyst? A multicenter study. Oral Surg Oral Med Oral Pathol Oral Radiol. 2019; 127: 282-288.

  6. Rajendra Santosh AB. Odontogenic cysts. Dent Clin North Am. 2019; 64: 105-119.

  7. Pogrel MA. The keratocystic odontogenic tumor. Oral Maxillofacial Surg Clin N Am. 2013; 25: 21-30.

  8. Bilodeau EA, Collins BM. Odontogenic cysts and neoplasms. Surg Pathol Clin. 2016; 10: 177-222.

  9. Tabrizi R, Reza M, Jafarian M et al. Decompression or marsupialization; which conservative treatment is associated with low recurrence rate in keratocystic odontogenic tumors? A systematic review. J Dent Shiraz Univ Med Sci. 2019; 20: 145-151.

  10. Moctezuma GS, Magallanes E. Quistes odontogénicos. Estudio de 103 casos. Rev Med Inst Mex Seguro Soc. 2009; 47: 493-496.

  11. Licéaga R, Trujillo J, Liceaga C et al. . Prevalencia de quistes cervicofacialesen el Hospital Juárez de México. Rev Hosp Jua Mex. 2011; 78: 12-17.

  12. Mosqueda A, Irigoyen ME, Diaz MA et al. Odontogenic cysts. Analysis of 856 cases. Med Oral. 2002; 7: :89-96.

  13. Ledesma C, Hernández JC, Garcés M. Clinico-pathologic study of odontogenic cysts in a Mexican sample population. Arch Med Res. 2000; 31: 373-376.

  14. Cadena JL, Muñiz G, Tapia DC et al. Queratoquiste odontogénico. Revisión de 20 años en la Unidad Médica de Alta Especialidad, Hospital de Especialidades CMN "La Raza" IMSS 1980-2000. Rev Mexicana de Cirugía Bucal y Maxilofacial. 2010; 6: 4-13.

  15. Maruthamuthu K, Vasupradha G, Dineshshankar J, Balaji AR. Recurrent keratocystic odontogenic tumor of right maxillary sinus involving the right infraorbital rim. Natl J Maxillofac Surg. 2017; 8 (1): 70-74.

  16. Ecker J, Horst R, Koslovsky D. Current role of Carnoy's solution in treating keratocystic odontogenic tumors. J Oral Maxillofac Surg. 2016; 74: 278-282.

  17. Singh M, Gupta KC. Surgical treatment of odontogenic keratocyst by enucleation. Contemp Clin Dent. 2010; 4: 263-267.

  18. Borghesi A, Nardi C, Giannitto C et al. Odontogenic keratocyst: imaging features of a benign lesion with an aggressive behavior. Insights Imaging. 2018; 9: 883-897.

  19. Das S, Das AK. A review of pediatric oral biopsies from a surgical pathology service in a dental school. Pediatr Dent. 1993; 15: 208-211.

  20. Hosgor H, Tokuc B, Kan B, Coskunses FM. Evaluation of biopsies of oral and maxillofacial lesions: a retrospective study. J Korean Assoc Oral Maxillofac Surg. 2019; 45: 316-323.

  21. Sargolzaei S, Hassanzadeh M, Eshghyar N, et al. Odontogenic Cysts: A 10-Year Retrospective Study in an Iranian Population. J Dental School. 2016; 34: 147-156.

  22. Ha WN, Kelloway E, Dost F, Farah CS. A retrospective analysis of oral and maxillofacial pathology in an Australian paediatric population. Aust Dent J. 2014; 59: 221-225.

  23. Anchal B, Soham M, Chetana C et al. Odontogenic cysts and odontogenic tumors in a large rural area from India. A 10-year reflection. Med Pharm Rep. 2019; 92: 408-412.

  24. Kammer PV, Mello FW, Rivero ERC. Comparative analysis between developmental and inflammatory odontogenic cysts: retrospective study and literature review. Oral Maxillofac Surg. 2019; 19: 6-8.

  25. Tanimoto Y, Miyawaki S, Imai M et al. Orthodontic treatment of a patient with an impacted maxillary second premolar and odontogenic keratocyst in the maxillary sinus. Angle Orthod. 2005; 75: 1077-1083.

  26. Amritha VS, Kannan V, Anupam K. Maxillary odontogenic keratocyst: a rare presentation in a paediatric patient. IOSR Journal of Dental and Medical Sciences. 2018; 17 (4): 01-03.

  27. Madhireddy MR, Prakash AJ, Mahanthi V, Chalapathi K. Large follicular odontogenic keratocyst affecting maxillary sinus mimicking dentigerous cyst in an 8-year-old boy: a case report and review. Int J Clin Pediatr Dent. 2018; 11: 349-351.

  28. Hunter RB, Zaretsky LS, Nuovo M, April MM. Bilateral odontogenic keratocysts of the maxillary sinus. Am J Otolaryngol. 1996; 17: 269-271.

  29. Freitas D, Veloso D, Santos A, Freitas V. Maxillary odontogenic keratocyst: a clinical case report. Rev Gaúch Odontol. 2015; 63: 484-488.

  30. Silva GCC, Silva ECS, Gomez RS, Vieira TC. Odontogenic keratocyst in the maxillary sinus: report of two cases. Oral Oncology Extra. 2006; 42: 231-234.

  31. Veerasamy JSM, Raj LSM, Sankari SL, Krupaa RJ. Odontogenic keratocyst in right maxilla of 15-year old boy: a case report of not a rare lesion. Biomed Pharmacol J. 2015; 8: 47-52.

  32. Sheethal HS, Rao K, Umadevi HS. Odontogenic keratocyst arising in the maxillary sinus: a rare case report. J Oral Maxillofac Pathol. 2019; 23: 74-77.

  33. Mengji AK, Shankar-Yaga U, Besta R et al. Keratocystic odontogenic tumor involving the maxillary antrum with displacement of the third molar: a rare case report. J Ind Aca Oral Med Rad. 2014; 26: 335-337.

  34. Tamashiro, T, Mosqueda A. Queratoquiste odontogénico en posición dentígera. Caso clínico. Cir Ciruj. 2005; 73: 127-131.

  35. Hyuk K, Won L, Ji K et al. Odontogenic keratocyst associated with an ectopic tooth in the maxillary sinus-a report of two cases and a review of the literature. The Korean Journal of Pathology. 2011; 45: 5-10.

  36. Rivera J, Morón FJ, Jaimes BE. Tumor odontogénico queratoquístico en seno maxilar; reporte de un caso clínico. Rev ADM. 2017; 74: 46-50.

  37. Newaskar V, Verma M, Rajmohan S, Dashore D. KCOT occurring in bilateral maxillary sinus in non-syndromic patient. J Clin Diagn Res. 2016; 10: 16-18.

  38. Absiand EG, Sim RL. Odontogenic keratocyst involving the maxillary sinus: report twocases. Dentomaxillofac Radiol. 1994; 23: 226-229.

  39. Al-Bodbaij MH, Ateyah A, Chopra R et al. Keratocystic odontogenic tumor in the maxillary sinus: a case report. Oral Health and Care. 2016; 1: 1-3.

  40. Cakur B, Miloglu O, Yolcu U, Göregen M, Gürsan N. Keratocystic odontogenic tumor invading the right maxillary sinus: a case report. J Oral Sci. 2008; 50: 345-349.

  41. Jafaripozve S, Allameh M, Khorasgani M, Jafaripozve.Keratocyst odonogenic tumor in the anterior of the maxilla: a case report and literature review. Journal of Oral and Maxillofacial Radiology. 2013; 1: 90-92.

  42. Vencio EF, Mota A, de Melo Pinho C, Dias Filho AA. Odontogenic keratocyst in maxillary sinus with invasive behaviour. J Oral Pathol Med. 2006; 35: 249-251.

  43. Da Silva-Sampieri MB, Gonçales ES, Tieghi V et al. Keratocystic odontogenic tumor in the maxillary sinus: a rare occurrence. Braz J Otorhinolaryngol. 2014; 80: 178-179.

  44. Vázquez MD, Serrera ML, Alberdi J et al. Maxillary peripheral keratocystic odontogenic tumor. A clinical case report. J Clin Exp Dent. 2017; 9: 67-71.

  45. Anekar J, Kumar KS, Nappalli D, John IE. Maxillary odontogenic keratocyst masquerading a periapical cyst. Int Healthcare Res J. 2018; 2: 133-137.

  46. Makowski GJ, McGuff S, Van Sickels JE.Squamous cell carcinoma in a maxillary odontogenic keratocyst. J Oral Maxillofac Surg. 2001; 59: 76-80.

  47. Perjuci F, Ademi R, Abdyli Y et al. Evaluation of spontaneous bone healing after enucleation of large residual cyst in maxilla without graft material utilization: case report. Acta Stomatol Croat. 2018; 52: 53-60.

  48. Yamazaki M, Cheng J, Nomura T et al. Maxillary odontogenic keratocyst with respiratory epithelium: a case report. J Oral Pathol Med. 2003; 32: 496-498.

  49. Kamran FM, Mathur G, Rakesh D et al. Odontogenic keratocyst- an unusual clinical case presentation with review of literature. Saudi J Oral and Dental Research. 2017; 2 (9): 236-240.

  50. Byun JH, Kang YH, Choi MJ, Park BW. Expansile keratocystic odontogenic tumor in the maxilla: immunohistochemical studies and review of literature. J Korean Assoc Oral Maxillofac Surg. 2013; 39: 182-187.

  51. Gupta A, Rai B, Nair MA et al. MK. Keratocystic odontogenic tumor with impacted maxillary third molar involving the right maxillary antrum: an unusual case report. Indian J Dent Res. 2011; 22: 157-160.

  52. Vered M, Buchner A, Dayan D, Shteif M, Laurian A. Solid variant of odontogenic keratocyst. J Oral Pathol Med. 2004; 33: 125-128.




Figura 1
Figura 2
Figura 3
Figura 4
Tabla 1
Tabla 2

2020     |     www.medigraphic.com

Mi perfil

C?MO CITAR (Vancouver)

Rev Odont Mex. 2020;24

ARTíCULOS SIMILARES

CARGANDO ...