medigraphic.com
SPANISH

Revista Mexicana de Ortodoncia

ISSN 2395-9215 (Print)
Órgano Oficial de Difusión de la Facultad de Odontología de la UNAM
  • Contents
  • View Archive
  • Information
    • General Information        
    • Directory
  • Publish
    • Instructions for authors        
  • medigraphic.com
    • Home
    • Journals index            
    • Register / Login
  • Mi perfil

2019, Number 4

<< Back Next >>

Rev Mex Ortodon 2019; 7 (4)

Surgical and orthodontic correction of class III laterognate patient. Case report

Leyva Castrejón, Nivis Avyely1; Gómez Arenas, Antonio2; Loranca Fragoso, Gabriel3
Full text How to cite this article

Language: English/Spanish [Versi?n en espa?ol]
References: 7
Page: 190-201
PDF size: 568.64 Kb.


Key words:

Laterognathia, orthognathic surgery, class III malocclusion, vertical excess of the maxilla, facial asymmetry.

ABSTRACT

Clinical case of a female patient of 26 years old, was admitted in the Department of Orthodontics, Faculty of Dentistry, UNAM, without any apparent pathological data, in the physical examination in marked facial asymmetry is observed with left mandibular deviation, straight profile, dolichofacial, superior retroquelia, and gibbous nose. Intraorally has dental fixed appliances, dental absences of 25 and 47, mismatched dental midlines, oval arches, class III molar and canine bilateral, anterior crossbite. Radiographically presents 27 erupted teeth, absence of 25 and 47 and mandibular asymmetry. The cephalometric diagnosis was a biprotrusive skeletal class III, vertical excess of the maxilla, vertical growth pattern, left laterognathia, treatment consisted of three phases: 1) Presurgical orthodontics phase, performed with Roth appliances with a self-ligating 0.022" slot, with a sequence of arches customized according to the needs of the patient. 2) Surgical phase, sagittal osteotomy correction for bilateral laterognathia, retroposition of the mandible, and impaction of the maxilla for correction of the vertical excess were performed. 3) Postsurgical orthodontics phase, the case was detailed, correcting muscle patterns and occlusal settlement.



INTRODUCTION

Dental-skeletal discrepancies are bone defects that occur during the growth and development of the maxillofacial skeleton. They are caused by the discrepancy in size and position between the base of the skull and the maxilla, the base of the skull and the mandible, or between the maxilla and the mandible. In most cases, there is a dental and skeletal deviation and a functional adaptation of the masticatory musculature. Developmental problems in both jaws have as a consequence occlusal alteration, as well as facial asymmetries, which triggers defects in mastication, phonation, joint pain, so we face a functional and aesthetic failure. The correction treatment that is performed can be orthopedic, orthodontic, surgical, or a combination of these.1

Facial aesthetics in terms of symmetry and balance refers to the state of facial equilibrium, meaning, the correspondence between the size, shape, and location of the facial features of one side to the opposite side in the mid-sagittal plane. Asymmetries can be recognized as those differences in size, shape, or malposition of one or more bony structures of the craniofacial complex that can affect all three planes of space. The diagnosis of craniofacial asymmetries is important because treatment modalities differ considerably according to the origin of the deformity.2,3 Mandibular asymmetry is associated with the condylar growth center, which can directly or indirectly regulate condyle size, condylar neck length, ramus length, and mandibular body length.4

The etiology of this deformity is related to environmental factors such as trauma or infection, and genetic factors. Condylar hyperplasia is a disorder characterized by excessive and progressive growth affecting the mandibular condyle, neck, body, and ramus. It is a self-limiting and deforming disease because the growth is disproportionate since before the end of the general growth of the individual, and continues even after its completion.5

Proffit et al reported that of the patients with orthodontic-surgical treatment, 20% have mandibular excess, 17% have maxillary deficiencies and 10% have both. Patients with skeletal class III are more likely to seek clinical evaluation than skeletal class II patients.6 Most people with class III malocclusions have dentoalveolar and skeletal problems and only a minority of cases could be treated with orthodontics alone. However, patients with severe skeletal class III discrepancies are often treated with maxillary, mandibular, or bimaxillary orthognathic surgery in combination with orthodontic treatment.1



DIAGNOSIS

26-year-old female patient who comes to the Orthodontics Clinic of the Graduate Studies and Research Division (DEPeI) of the National Autonomous University of Mexico (UNAM), with the main reason for consultation: "To have my bite corrected". Hereditary-familial history denied, no apparent pathological data; patient healthy.

Clinical evaluation

Frontal aesthetic analysis: patient with oval face, neutral smile, shows 100% of the upper clinical crowns. With a slightly increased lower third to the middle third, presents facial asymmetry, deficiency of projection of the middle third, the chin of adequate projection deviated to the left, facial midline does not coincide with the dental midline.

Profile analysis: patient presented a slightly convex profile, gibbous nose, inferior prokelia, obtuse nasolabial angle (open) (Figure 1).

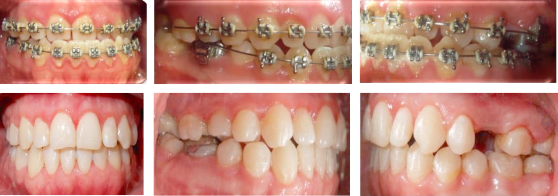
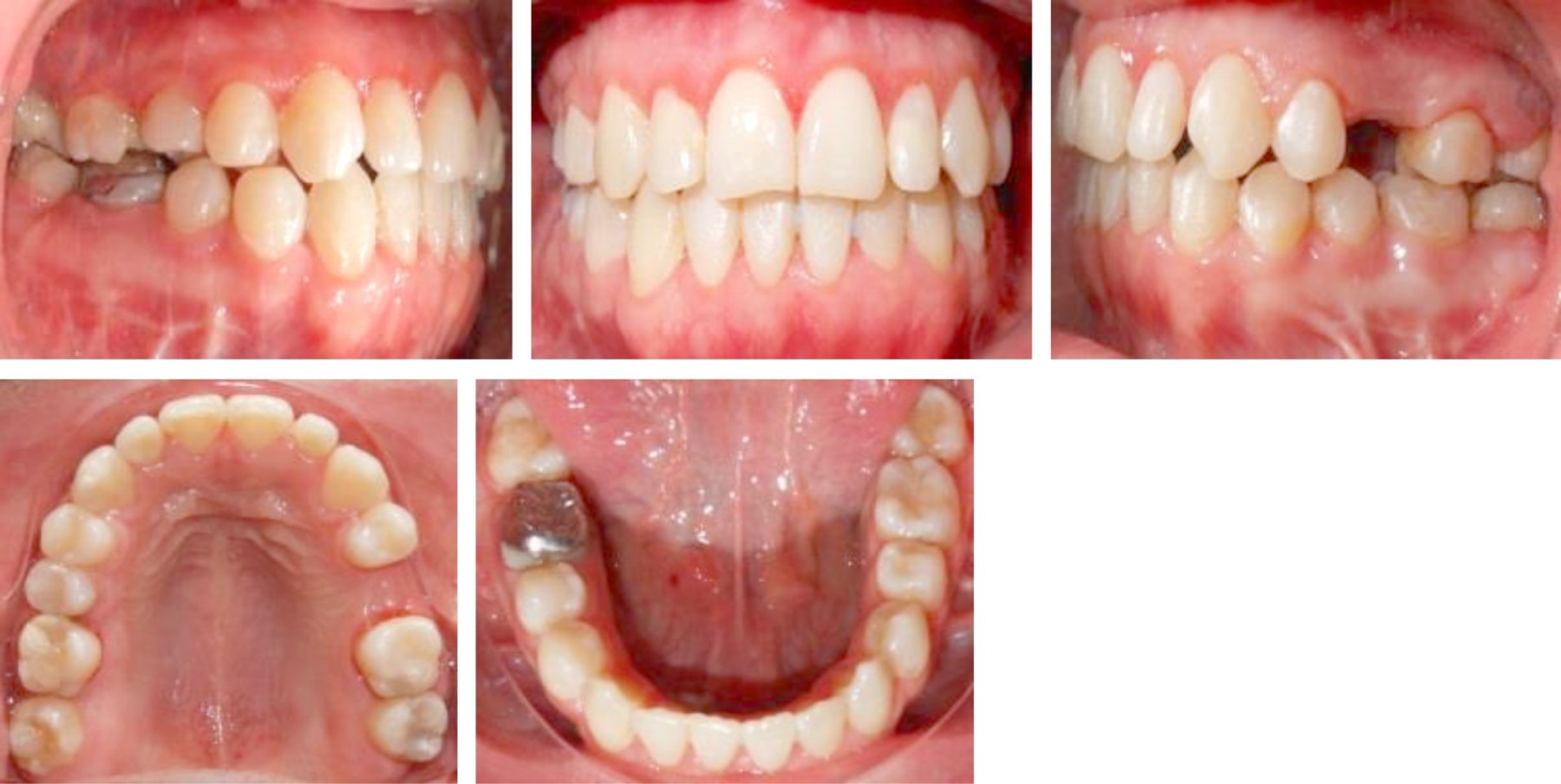
Intraoral characteristics: absence of dental organs 25 and 47, non-coincident dental midlines, square arches, and bilateral class III molar and canine relationship, with an anterior crossbite. Vertical overbite of -3 mm and horizontal overbite of -6 mm (Figure 2).

Orthopantomography: showed the presence of the 27 permanent dental organs, absent teeth 25 and 47, good crown-root relationship (1:2), an adequate level of bony ridges, asymmetrical condyles, no signs of articular disease were found (Figure 3).

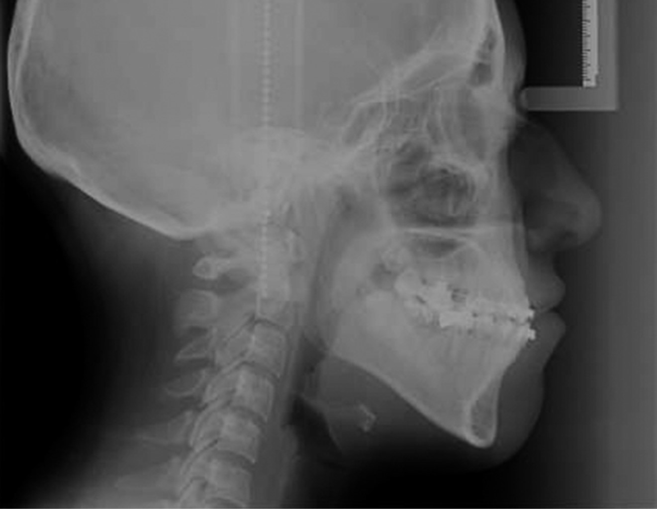
Cephalometric analysis: showed class III skeletal bi-protrusive, vertical excess of the maxilla, vertical growth pattern; dolichofacial, left laterognathia, anterior crossbite, proclination of lower incisors, and retroclination of upper incisors and upper retrochelia (Figure 4).

Posteroanterior radiography: in the Ricketts posteroanterior analysis, it was found deviation of the lower dental midline, greater discrepancy on the left side and skeletal asymmetry (Figure 5).

Treatment objectives
  • 1. Correction of skeletal class III.
  • 2. Correct facial asymmetry and obtain facial balance.
  • 3. Improve the profile.
  • 4. Eliminate crossbite.
  • 5. Obtain bilateral class I molar.
  • 6. Obtain bilateral class I canine.
  • 7. Improve upper and lower dental inclination.

Treatment alternatives

After establishing a diagnosis, the Department of Orthodontics made an consultation with the Department of Surgery, DEPeI of the Faculty of Dentistry, UNAM, in order to jointly develop a surgical treatment plan. Treatment for dental-skeletal deformities is performed orthopedically, orthodontically, surgically or a combination of these.1

In patients with facial asymmetries, the transverse problem is often corrected with orthodontics alone, without success. In many of these cases, it is common to see a recurrence.5 Therefore, it was suggested to the patient the extraction of the third molars and an orthodontic-surgical treatment consisting of three phases. 1) Presurgical orthodontics phase was carried out with self-ligating Roth appliances with a self-ligating 0.022" slot, with a sequence of arches customized according to the patient's needs, 2) Surgical phase, which consisted of sagittal osteotomy of bilateral branches for the correction of laterognathia, retroposition of the mandible, and impaction of the maxilla for the correction of vertical excess, and phase, 3) Post-surgical orthodontics phase, where the case was detailed, correcting muscular and occlusal settling patterns.

Treatment progress

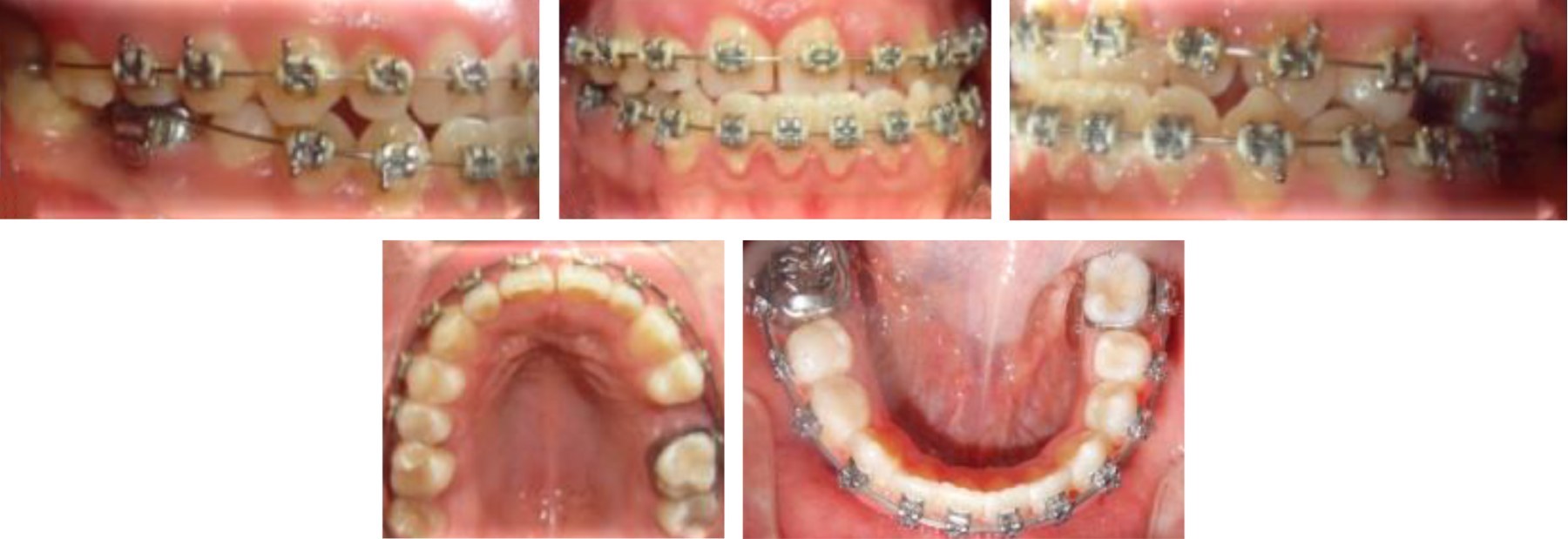
After the extraction of the third molars, we proceeded to the placement of fixed appliance Roth self-ligating slot 0.022" to begin phase I, starting with NiTi 0.014" archwires in both arches to begin with the alignment and leveling (Figure 6).

The treatment continued in the first phase, aligning and leveling, using 0.016" NiTi round archwires, and then begin to express torsional movements with 0.016" × 0.022" NiTi rectangular archwires, and 0.017" × 0.025" and 0.019" × 0.025" NiTi, then the same calibers were used but with a different alloy (stainless steel) (Figure 7).

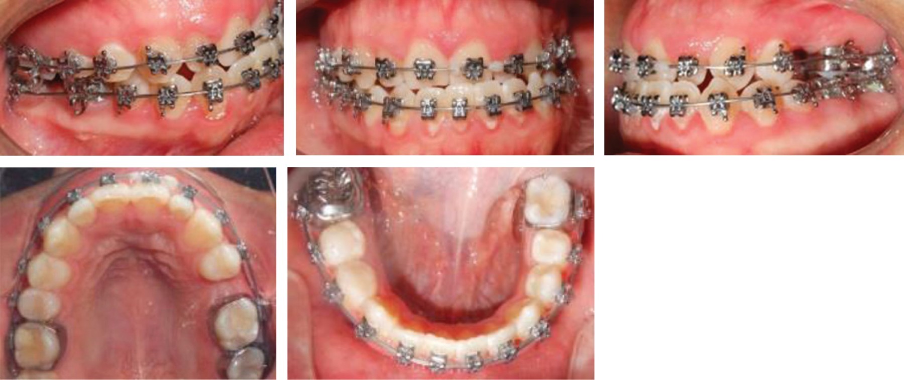
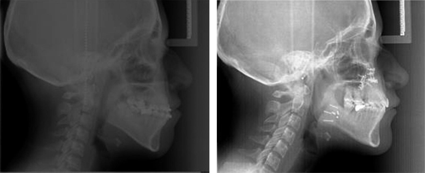
After 12 months the case was reevaluated with the taking of study and work models, lateral and posteroanterior radiography, and orthopantomography, and together with the Surgery Department of DEPeI, UNAM, the orthognathic surgery was programmed (Figure 8).

Prior to the surgical procedure, the patient was informed of the surgical risks and complications through validly informed consent.

Presurgical 0.019" × 0.025" stainless steel surgical arches with crimpable hooks were placed. The surgical procedure consisted of bilateral branch sagittal for correction of laterognathia, mandibular retroposition, and maxillary impaction for correction of vertical excess. Eight 8 mm fixation screws were used, three on each side. Seven days after surgery, intermaxillary elastics were placed to achieve adequate seating and prevent the muscle force from generating undesirable movements. These elastics had a class II vector (Figure 9).

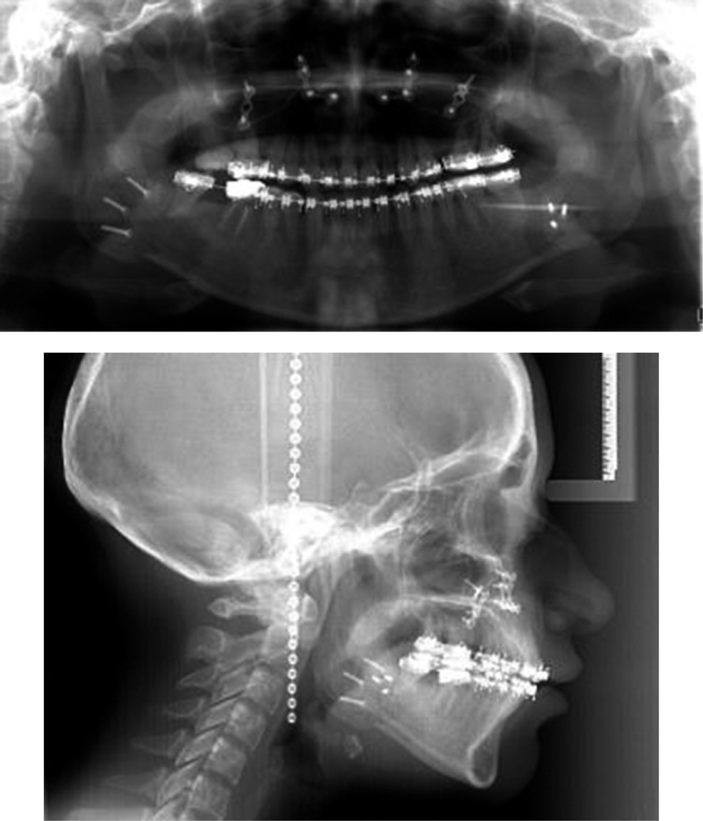
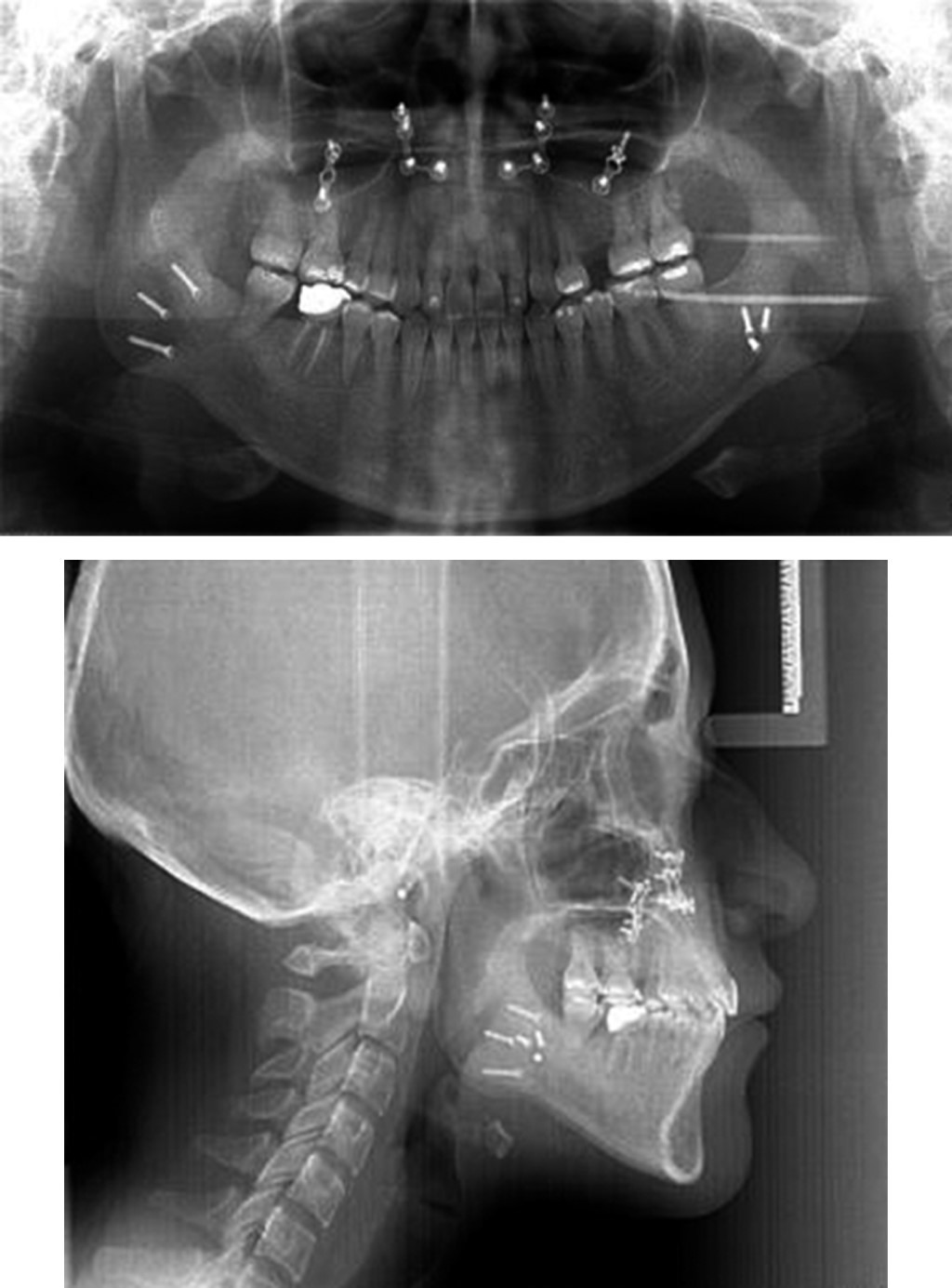
Orthopantomography was taken to verify radicular parallelism, and control of the osteosynthesis material (Figure 10). The patient continued using elastics to correct muscular patterns of occlusal settlement. Consultation was made with the Department of Periodontics, DEPeI, UNAM, for the future placement of dental implants, where they told us to have an adequate space of 7 mm for the upper left premolar (Figure 11).



RESULTS

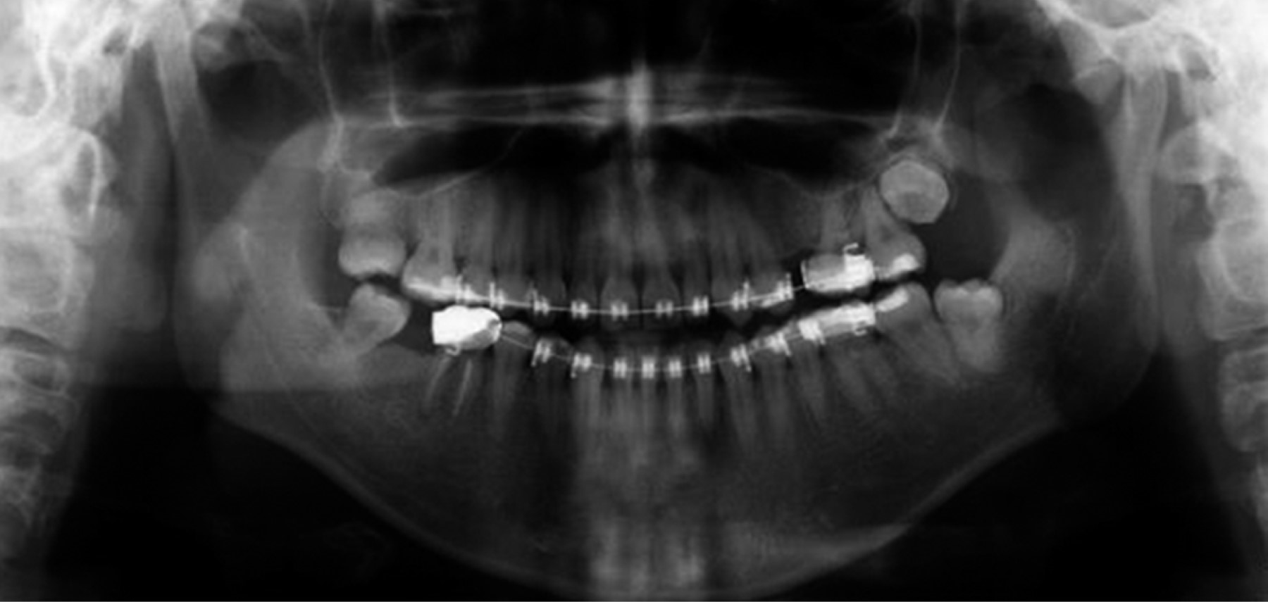
The treatment was completed in 23 months, in which the profile was improved, the gingival smile was eliminated, providing facial harmony (Figure 12). The crossbite was eliminated leaving a more stable case, providing an adequate dental harmony, class I canine, and bilateral molar. It was possible to center the dental midlines, improve the shape of the arches, and vertical and horizontal overbite (Figure 13). The dental inclinations were improved and skeletal class I was achieved (Figure 14). A circumferential retainer was placed to improve the occlusal set. After two months, the occlusal adjustment was performed (Figure 15). The changes obtained can be observed facially (Figure 16), occlusally (Figure 17), and radiographically (Figures 18 and 19).



DISCUSSION

A high Le Fort I osteotomy is favourable for the correction of maxillary deficiencies and lack of zygomatic projection.7 Also, the choice of vertical osteotomies in the mandible together with the posterior intrusion of the maxilla allowed the mandible to be redirected, rotating it in a counterclockwise direction. The surgeon must take into account the changes that occur in the soft tissues with the skeletal movements typical of surgery because the success of orthognathic surgery will be based on these, and whose objective is to restore functionality and a satisfactory aesthetic appearance to the patient. In addition to the remarkable changes observed, both facially and dentally, we observed positive changes in the patient's attitude and self-esteem, improving her quality of life. It is very important to analyze the patient's expectations, as well as the limitations of the case.



CONCLUSION

An accurate diagnosis and the correct interdisciplinary planning, are indispensable for a successful treatment. Considering the limitations that a treatment can have if only an orthodontic camouflage is performed, as well as the anatomical limitations that orthognathic surgery has in severe discrepancies.

It is important to prepare the patient psychologically to accept the major changes that occur during and after orthodontic-surgical treatment.

Retention in this type of treatment should be strict to avoid relapses because although the objectives were achieved, the patient's musculature continues to be laterognata, which must be adapted to the new functional demands.


REFERENCES

  1. Soto Góngora S, Valencia García R. Distracción osteogénica transversa maxilar (DOTM). Ortodon Actual. 2013; 9 (36): 14-16.

  2. Shah SM, Joshi MR. An assessment of asymmetry in the normal craniofacial complex. Angle Orthod. 1978; 48: 141-148.

  3. Bishara S, Burkey P, Kharouf J. Dental and facial asymmetries: a review. Angle Orthod. 1994; 64: 89-98.

  4. Reyneke J, Tsakiris F, Kienle F. A simple classification for surgical treatment planning of maxillomandibular asymmetry. Br J Oral Maxillofac Surg. 1997; 35: 349-351.

  5. Erickson G, Waite D. Mandibular asymmetry. J Am Dent Assoc. 1974; 89: 1369-1373.

  6. Speculand B. Unilateral condylar hypolplasia with ankylosis radiographic finding. Br J Oral Maxillofac Surg. 1983; 20: 1-13.

  7. Delgado Galíndez B, Villalpando Carreón M. Incidencia de deformidades dentofaciales en un hospital de especialidades. Rev Med IMSS. 2005; 43 (2): 155-159.



AFFILIATIONS

1 Estudiante del Departamento de Ortodoncia. División de Estudios de Postgrado e Investigación (DEPeI), Facultad de Odontología (FO) de la UNAM. México.

2 Profesor del Departamento de Ortodoncia. División de Estudios de Postgrado e Investigación (DEPeI), Facultad de Odontología (FO) de la UNAM. México.

3 Departamento de Cirugía Maxilofacial. División de Estudios de Postgrado e Investigación (DEPeI), Facultad de Odontología (FO) de la UNAM. México.



CORRESPONDENCE

C.D.E.O. Antonio Gómez Arenas. E-mail: antonio_429@yahoo.com.mx




Received: Mayo 2020. Accepted: Agosto 2020.

Figure 1
Figure 2
Figure 3
Figure 4
Figure 5
Figure 6
Figure 7
Figure 8
Figure 9
Figure 10
Figure 11
Figure 12
Figure 13
Figure 14
Figure 15
Figure 16
Figure 17
Figure 18
Figure 19

2020     |     www.medigraphic.com

Mi perfil

C?MO CITAR (Vancouver)

Rev Mex Ortodon. 2019;7