medigraphic.com
SPANISH

Revista Mexicana de Periodontología

ISSN 2007-4360 (Print)
Asociación Mexicana de Periodontología, Colegio de Periodoncistas A.C
  • Contents
  • View Archive
  • Information
    • General Information        
    • Directory
  • Publish
    • Instructions for authors        
  • medigraphic.com
    • Home
    • Journals index            
    • Register / Login
  • Mi perfil

2020, Number 1-3

<< Back Next >>

Rev Mex Periodontol 2020; 11 (1-3)

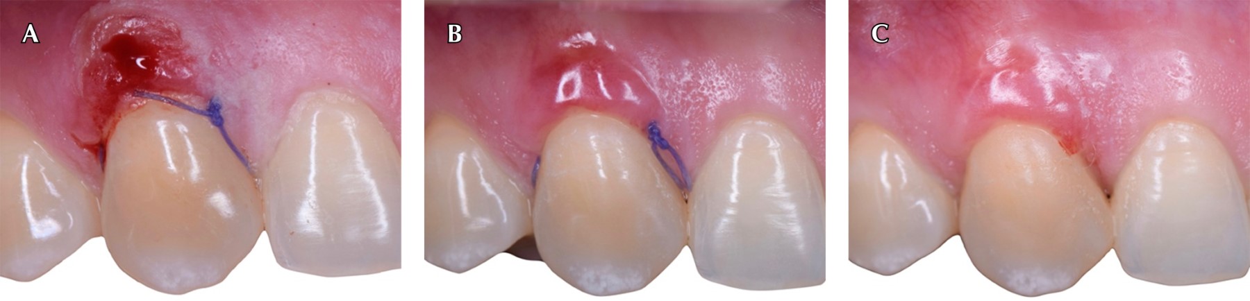
Root coverage with coronal repositioning half-moon flap in Miller class I gingival recession

Delgado MMS, Estolano YE, Fontes GZ, Bojórquez AY
Full text How to cite this article 10.35366/102642

DOI

DOI: 10.35366/102642
URL: https://dx.doi.org/10.35366/102642

Language: Spanish
References: 18
Page: 16-21
PDF size: 316.16 Kb.


Key words:

Gingival recession, root coverage, mucogingival surgery.

ABSTRACT

Gingival recession is characterized by the pathological migration of the gingival margin apical to the cement-enamel junction, resulting in exposure of the root surface. The consequences of gingival recession are multiple and with varying degrees of severity. Periodontal plastic surgery allows us to modify the gingival margins through a variety of surgical techniques, therefore the correct selection of this one is of utmost importance for each particular case. Tarnow, introduced the semilunar coronally repositioned flap, which presents advantages over other techniques, being a minimally invasive procedure, without shortening the vestibule, without interfering with the existing papillae and with a tension free pedicle. The aim of this case is to show the efficiency and predictability of root coverage that can be achieved by the semilunar coronally repositioned flap in Miller class I gingival recessions.


REFERENCES

  1. Santos FR, Storrer CL, Cunha EJ, Ulbrich LM, Lopez CA, Deliberador TM. Comparison of conventional and semilunar coronally positioned flap techniques for root coverage in teeth with cervical abrasion restored with pink resin. Clin Cosmet Investig Dent. 2017; 9: 7-11.

  2. Jahangirnezhad M. Semilunar coronally repositioned flap for the treatment of gingival recession with and without tissue adhesives: a pilot study. Front Dent. 2006; 3 (1): 36-39.

  3. Sullivan HC, Atkins JH. Free autogenous gingival grafts. 3. Utilization of grafts in the treatment of gingival recession. Periodontics. 1968; 6 (4): 152-160.

  4. Cairo F, Nieri M, Cincinelli S, Mervelt J, Pagliaro U. The interproximal clinical attachment level to classify gingival recessions and predict root coverage outcomes: an explorative and reliability study. J Clin Periodontol. 2011; 38 (7):661-666.

  5. Cortellini P, Pini Prato G. Coronally advanced flap and combination therapy for root coverage. Clinical strategies based on scientific evidence and clinical experience. Periodontol 2000. 2012; 59 (1): 158-184.

  6. Moka LR, Boyapati R, Srinivas M, Swamy DN, Swarna C, Putcha M. Comparison of coronally advanced and semilunar coronally repositioned flap for the treatment of gingival recession. J Clin Diagn Res. 2014; 8 (6): ZC04-ZC08.

  7. Tarnow DP. Semilunar coronally repositioned flap. J Clin Periodontol. 1986; 13 (3): 182-185.

  8. Merijohn GK. Management and prevention of gingival recession. Periodontol 2000. 2016; 71 (1): 228-242.

  9. Kassab MM, Cohen RE. The etiology and prevalence of gingival recession. J Am Dent Assoc. 2003; 134 (2): 220-225.

  10. Gillette WB, Van House RL. Ill effects of improper oral hygeine procedure. J Am Dent Assoc. 1980; 101 (3): 476-480.

  11. Miller PD Jr. A classification of marginal tissue recession. Int J Periodontics Restorative Dent. 1985; 5 (2): 8-13.

  12. Cortellini P, Bissada NF. Mucogingival conditions in the natural dentition: Narrative review, case definitions, and diagnostic considerations. J Periodontol. 2018; 89 Suppl 1: S204-S213.

  13. Agudio G, Nieri M, Rotundo R, Franceschi D, Cortellini P, Pini Prato GP. Periodontal conditions of sites treated with gingival-augmentation surgery compared to untreated contralateral homologous sites: a 10- to 27-year long-term study. J Periodontol. 2009; 80 (9): 1399-1405.

  14. De Sanctis M, Zucchelli G. Coronally advanced flap: a modified surgical approach for isolated recession-type defects: Three-year results. J Periodontol. 2007; 34 (3): 262-268.

  15. Bittencourt S, Del Peloso Ribeiro E, Sallum EA, Sallum AW, Nociti FH Jr, Casati MZ. Comparative 6-month clinical study of a semilunar coronally positioned flap and subepithelial connective tissue graft for the treatment of gingival recession. J Periodontol. 2006; 77 (2): 174-181.

  16. Bittencourt S, Ribeiro EDP, Sallum EA, Sallum AW, Nociti FH Jr, Casati MZ. Semilunar coronally positioned flap or subepithelial connective tissue graft for the treatment of gingival recession: A 30-month follow-up study. J Periodontol. 2009; 80 (7): 1076-1082.

  17. Santana RB, Mattos CML, Dibart S. A clinical comparison of two flap designs for coronal advancement of the gingival margin: Semilunar versus coronally advanced flap in recession defects. J Clin Periodontol. 2010; 37 (7): 651-658.

  18. Rana SRL, Shrestha SM, Pradhan A. Comparison of coronally advanced flap with semilunar coronally repositioned flap with sutures for the treatment of gingival recession. Med J Shree Birendra Hosp. 2016; 14 (2): 15-21.




Figure 1
Figure 2
Figure 3
Figure 4
Figure 5

2020     |     www.medigraphic.com

Mi perfil

C?MO CITAR (Vancouver)

Rev Mex Periodontol. 2020;11