medigraphic.com
SPANISH

Acta Médica Grupo Ángeles

Órgano Oficial del Hospital Ángeles Health System
  • Contents
  • View Archive
  • Information
    • General Information        
    • Directory
  • Publish
    • Instructions for authors        
    • Manuscript submission
    • Policies
    • Names and affiliations of the Editorial Board
  • About us
    • Data sharing policy
    • Stated aims and scope
  • medigraphic.com
    • Home
    • Journals index            
    • Register / Login
  • Mi perfil

2022, Number 1

<< Back Next >>

Acta Med 2022; 20 (1)

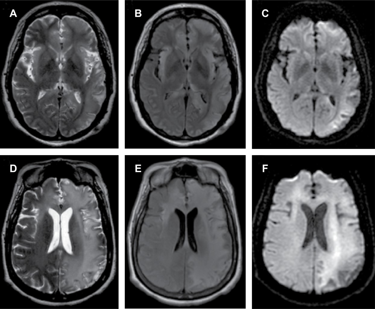
Herpes simplex encephalitis

Hernández DIA, Gómez PMG, Bravo VJ
Full text How to cite this article 10.35366/103569

DOI

DOI: 10.35366/103569
URL: https://dx.doi.org/10.35366/103569

Language: Spanish
References: 4
Page: 103-104
PDF size: 135.98 Kb.


Key words:

No keywords




REFERENCES

  1. Bradshaw MJ, Venkatesan A. Herpes simplex virus-1 encephalitis in adults: pathophysiology, diagnosis, and management. Neurotherapeutics. 2016; 13 (3): 493-508.

  2. Jennische E, Eriksson CE, Lange S, Trybala E, Bergström T. The anterior commissure is a pathway for contralateral spread of herpes simplex virus type 1 after olfactory tract infection. J Neurovirol. 2015; 21 (2): 129-147.

  3. Venkatesan A. Epidemiology and outcomes of acute encephalitis. Curr Opin Neurol. 2015; 28 (3): 277-282.

  4. Johnston C, Wald A. Epidemiology, clinical manifestations, and diagnosis of herpes simplex virus type 1 infection. Biblioteca Nacional de Medicina, Uptodate; 2019. pp. 1-30.




Figure 1

2020     |     www.medigraphic.com

Mi perfil

C?MO CITAR (Vancouver)

Acta Med. 2022;20