medigraphic.com
SPANISH

Orthotips AMOT

ISSN 2007-8560 (Print)
Órgano Oficial de Difusión Científica de la Federación Mexicana de Colegios de Ortopedia y Traumatología, A.C. (FEMECOT)
  • Contents
  • View Archive
  • Information
    • General Information        
    • Directory
  • Publish
    • Instructions for authors        
  • medigraphic.com
    • Home
    • Journals index            
    • Register / Login
  • Mi perfil

2022, Number 2

<< Back Next >>

Ortho-tips 2022; 18 (2)

Early mobilization in the conservative management of proximal humeral fractures. A real risk?

Hernández-Guízar G, Espinoza-Hernández JP, Álvarez-Carrillo GA
Full text How to cite this article 10.35366/105505

DOI

DOI: 10.35366/105505
URL: https://dx.doi.org/10.35366/105505

Language: Spanish
References: 21
Page: 145-155
PDF size: 580.90 Kb.


Key words:

Early mobilization, proximal humerus fracture, functionality, radiological consolidation.

ABSTRACT

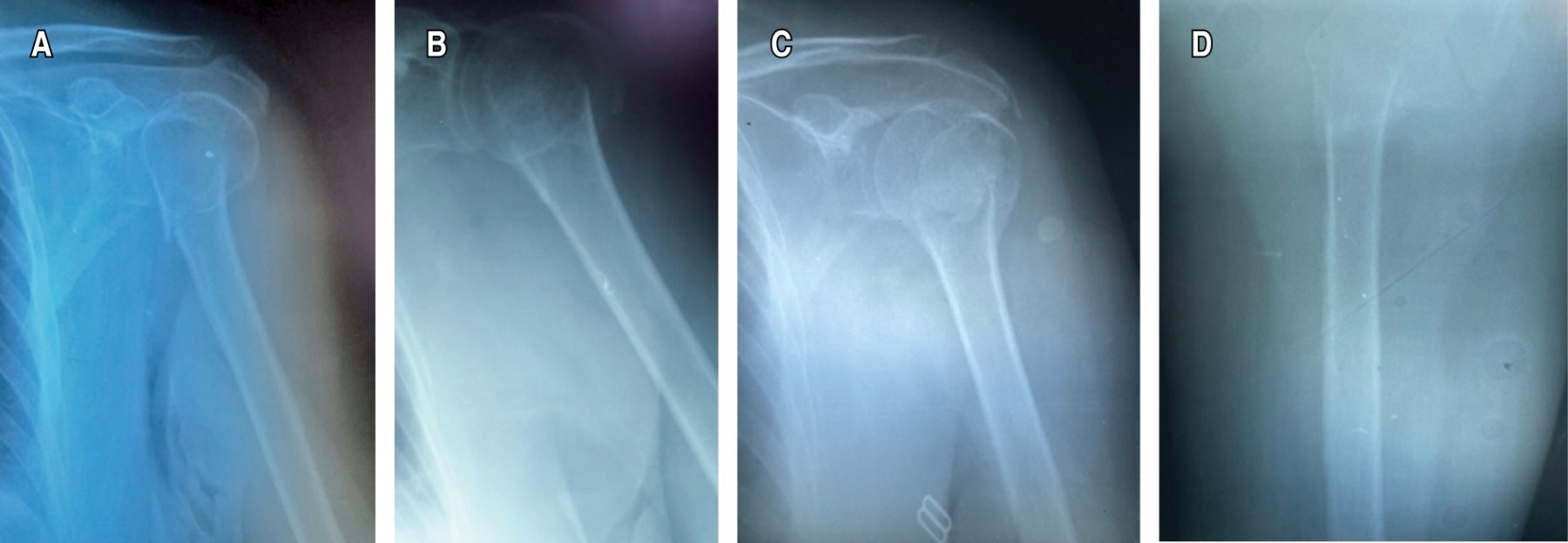
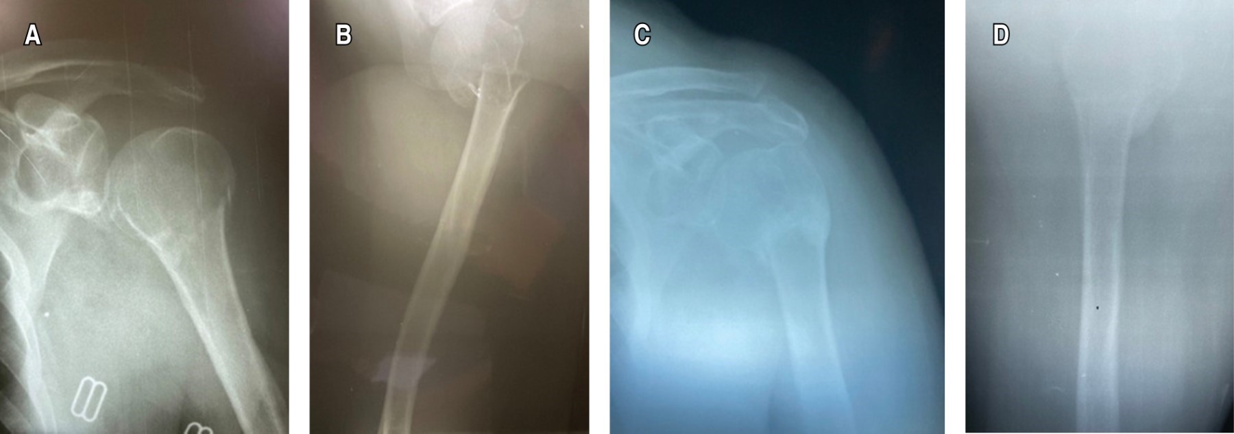
Early mobilization is the mainstay of conservative management of proximal humerus factures. In Mexico, the immobilization time is usually 3-4 weeks, followed by rehabilitation process, for fear of the risk of complications such as non-union, despite the fact that research supports early mobilization for a better patient prognosis. Objective: To determine if early mobilization, on the seventh day of immobilization, brings radiological bone consolidation and early positive functional results in Mexican patients with Neer II proximal humerus fracture. Material and methods: This is a prospective case report of 3 patients > 50 years with a diagnosis of Neer II proximal humerus fracture, they were immobilized for seven days with subsequent early mobilization, the Constant-Murley Functional Scale, DASH Questionnaire, and Montoya radiological scale at the first, second and third month of evolution. Results: Patient 1. First month Constant Murley 26, DASH 64.1, Montoya GII, second month Constant-Murley 67.35, DASH 32.5, Montoya GIII, third month Constant-Murley 98, DASH 2.5, Montoya GIV. Patient 2. First Month Constant-Murley 44, DASH 33.3, Montoya GII, second month Constant-Murley 59.35, DASH 39.16, Montoya GIII, third month Constant-Murley 94, DASH 4, Montoya GIV. Patient 3. First month Constant-Murley 38, DASH 57.5, Montoya GII, second month Constant-Murley 67.62, DASH 10.83, Montoya GIII, third month Constant-Murley 96, DASH 5.75, Montoya GIV. Conclusion: Early mobilization in Mexican patients with Neer II proximal humerus fracture brings early excellent radiological and functional results if the patient is followed appropriately.


REFERENCES

  1. Lefevre-Colau MM, Babinet A, Fayad F, Fermanian J, Anract P, Roren A, Kansao J, Revel M, Poiraudeau S. Immediate mobilization compared with conventional immobilization for the impacted nonoperatively treated proximal humeral fracture. A randomized controlled trial. J Bone Joint Surg Am. 2007; 89: 2582-2590.

  2. Schumaier A, Grawe B. Proximal humerus fractures: evaluation and management in the Elderly patient. Geriatr Orthop Surg Rehabil. 2018; 9: 1-11.

  3. Rodríguez-Merchan EC, Sperling JW. Fracturas del húmero proximal. Madrid, España: Editorial Panamericana; 2004.

  4. Iyengar JJ, Devcic Z, Sproul RC, Feeley BT. Nonoperative treatment of proximal humerus fractures: a systematic review. J Orthop Trauma. 2011; 25: 612-617.

  5. Álvarez LA, García LYC. Fractura del extremo proximal del húmero. Archivo Médico de Camagüey. 2017; 21 (2): 283-293.

  6. Blonna D, Rossi R, Fantino G, Maiello A, Assom M, Castoldi F. The impacted varus (a2.2) proximal humeral fracture in elderly patients: is minimal fixation justified? A case control study. J Shoulder Elbow Surg. 2009; 18: 545-552.

  7. LaMartina J, 2nd, Christmas KN, Simon P, Streit JJ, Allert JW, Clark J, et al. Difficulty in decision making in the treatment of displaced proximal humerus fractures: The effect of uncertainty on surgical outcomes. J Shoulder Elbow Surg. 2018; 27: 470-477.

  8. Foruria AM, Marti M, Sanchez-Sotelo J. Proximal humeral fractures treated conservatively settle during fracture healing. J Orthop Trauma. 2015; 29: e24-30.

  9. Bucholz RW, Heckman JD. Rockwood and green's fractures in adults. 5a ed. Dallas, Texas: Editorial Lippincott Williams & Wilkins; 2009.

  10. Canale ST, Beaty JH. Campbell cirugia ortopedica. 11a ed. Madrid, España: Editorial Marbán; 2010.

  11. Rockwood C, Wirth M, Fehringer E. Rockwood and matsen's the shoulder. Philadelphia, PA: Editorial Elsevier; 2016.

  12. Clifford PC. Fractures of the neck of the humerus: a review of the late results. Injury. 1980; 12 (2): 91-95.

  13. Kristiansen B, Angermann P, Larsen TK. Functional results following fractures of the proximal humerus. A controlled clinical study comparing two periods of immobilization. Arch Orthop Trauma Surg. 1989; 108: 339-341.

  14. Hanson B, Neidenbach P, de Boer P, Stengel D. Functional outcomes after nonoperative management of fractures of the proximal humerus. J Shoulder Elbow Surg. 2009; 18: 612-621.

  15. Rasmussen S, Hvass I, Dalsgaard J, Christensen BS, Holstad E. Displaced proximal humeral fractures: results of conservative treatment. Injury. 1992; 23 (1): 41-43.

  16. Bahrs C, Rolauffs B, Dietz K, Eingartner C, Weise K. Clinical and radiological evaluation of minimally displaced proximal humeral fractures. Arch Orthop Trauma Surg. 2010; 130 (5): 673-679.

  17. Gómez-Mont Landerreche JG, Gil-Orbezo F, Morales-Dominguez H, Flores-Carrillo A, Levy-Holden G, Capuano-Tripp P. Fracturas de húmero proximal: valoración clínica y resultado funcional en pacientes con osteonecrosis de la cabeza humeral. Acta Ortop Mex. 2015; 29: 88-96.

  18. Handoll HH, Brorson S. Interventions for treating proximal humeral fractures in adults. Cochrane Database Syst Rev. 2015; (11): CD000434.

  19. Hodgson S. Proximal humerus fracture rehabilitation. Clin Orthop Relat Res. 2006; 442: 131-138.

  20. Basti JJ, Dionysian E, Sherman PW, Bigliani LU. Management of proximal humeral fractures. J Hand Ther. 1994; 7: 111-121.

  21. Hodgson SA, Mawson SJ, Saxton JM, Stanley D. Rehabilitation of two-part fractures of the neck of the humerus (two-year follow-up). J Shoulder Elbow Surg. 2007; 16 (2): 143-145.




Figure 1
Figure 2
Figure 3
Figure 4
Figure 5
Figure 6
Figure 7
Figure 8
Figure 9
Figure 10

2020     |     www.medigraphic.com

Mi perfil

C?MO CITAR (Vancouver)

Ortho-tips. 2022;18