medigraphic.com
SPANISH

Revista Mexicana de Cirugía Endoscópica

ISSN 1665-2576 (Print)
  • Contents
  • View Archive
  • Information
    • General Information        
    • Directory
  • Publish
    • Instructions for authors        
    • Send manuscript
  • medigraphic.com
    • Home
    • Journals index            
    • Register / Login
  • Mi perfil

2021, Number 3-4

<< Back Next >>

Rev Mex Cir Endoscop 2021; 22 (3-4)

Intestinal ischemia and indocyanine green fluorescence: its use as a therapeutic tool, apropos of a clinical case

Pérez-Benítez OA, Pérez-Cantú A, De LD
Full text How to cite this article 10.35366/106480

DOI

DOI: 10.35366/106480
URL: https://dx.doi.org/10.35366/106480

Language: Spanish
References: 23
Page: 150-157
PDF size: 291.87 Kb.


Key words:

Intestinal ischemia, indocyanine green, fluorescence, angiography, non-occlusive intestinal ischemia, clinical case.

ABSTRACT

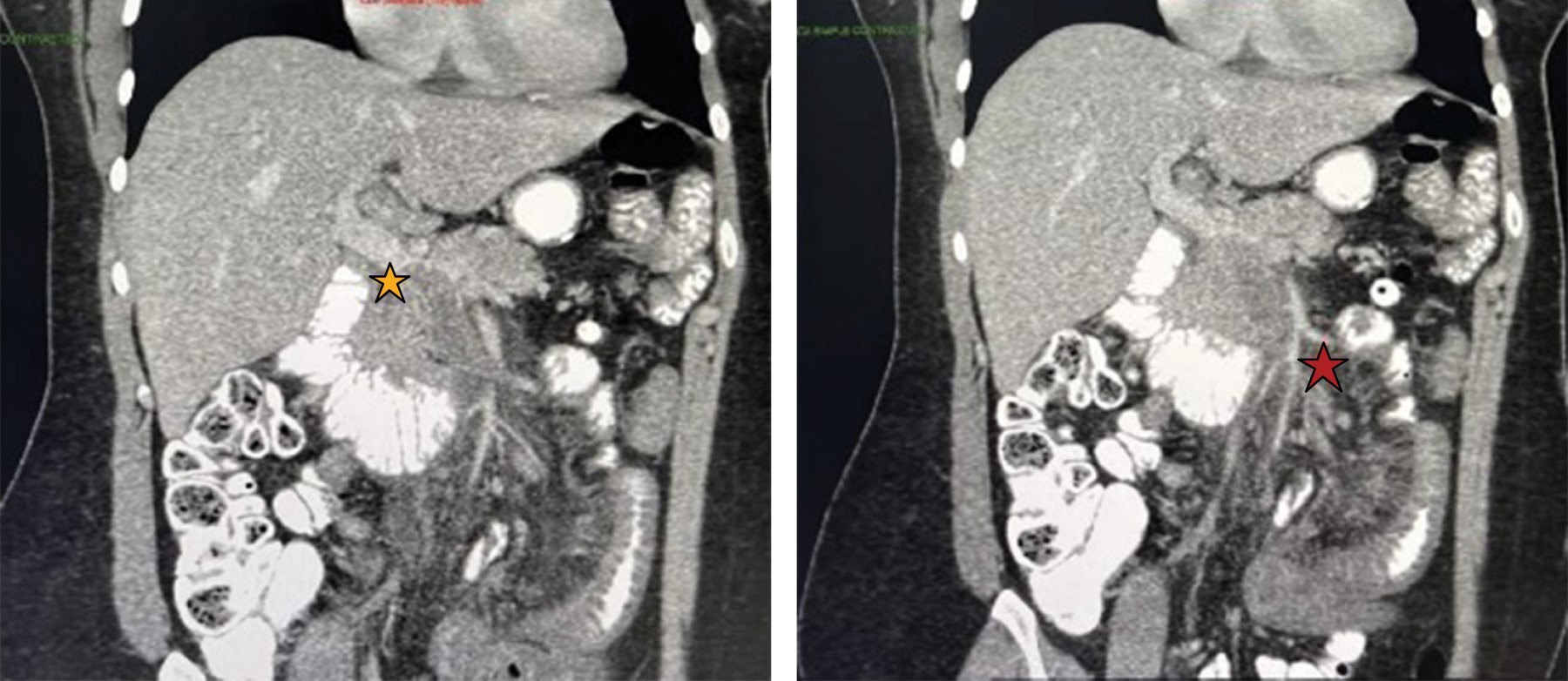
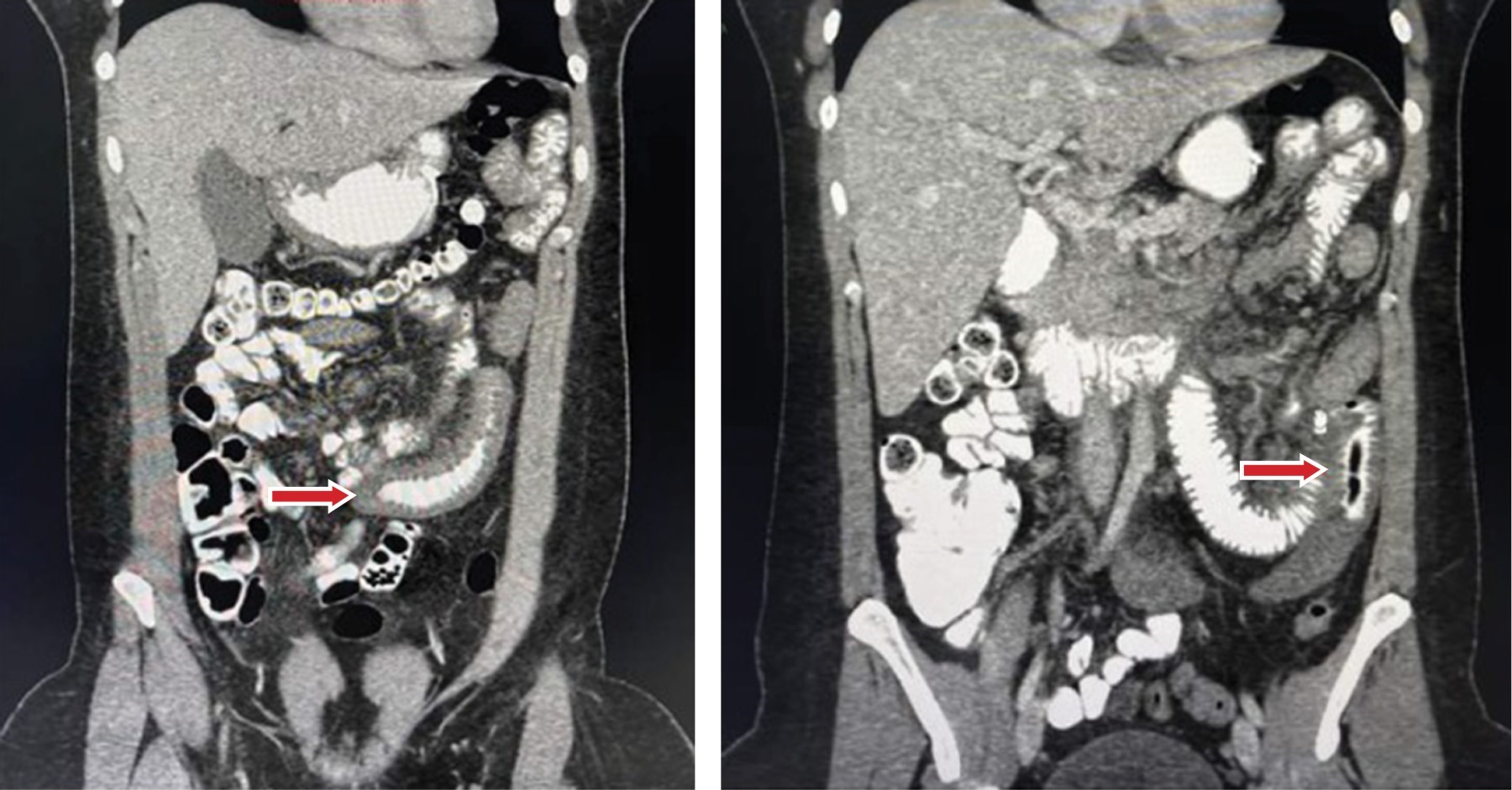
Introduction: An acute case of intestinal ischemia is a surgical emergency that could lead to abdominal sepsis, mesenteric or bowel infarction or even death. Amongst the new available measures to make an early diagnosis is the use of indocyanine green which has been used in hepato-biliary and oncologic surgery amongst others. However, there are only a few reports in the literature about its use in intestinal ischemia. Clinical case: This is the case of a 33-year-old female with abdominal pain and tomographic findings of an extense filling defect involving venous ileal branches, the superior mesenteric vein and partially the portal vein secondary to thrombosis and changes in the small bowel suggesting bowel ischemia. An exploratory laparoscopy was performed using indocyanine green to evaluate intestinal perfusion ruling out ischemia or necrosis. After further evaluation and with a multidisciplinary management to rule out prothrombotic states a second-look laparoscopy was performed using indocyanine green corroborating an adequate intestinal perfusion and intestinal viability. Her post-operative evolution was favorable and was discharged home. Conclusion: This case exemplifies how the use of indocyanine green has useful applications in the management of intestinal ischemia and can avoid unnecessary bowel resections.


REFERENCES

  1. Dhatt HS, Behr SC, Miracle A, Wang ZJ, Yeh BM. Radiological evaluation of bowel ischemia. Radiol Clin North Am. 2015; 53: 1241-1254. Available in: https://doi.org/10.1016/j.rcl.2015.06.009

  2. Debus ES, Müller-Hülsbeck S, Kolbel T, Larena-Avellaneda A. Intestinal ischemia. Int J Colorectal Dis. 2011; 26: 1087-1097. Available in: https://doi.org/10.1007/s00384-011-1196-6

  3. Derikx JP, Schellekens DH, Acosta S. Serological markers for human intestinal ischemia: a systematic review. Best Pract Res Clin Gastroenterol. 2017; 31: 69-74. Available in: https://doi.org/10.1016/j.bpg.2017.01.004.

  4. Alander JT, Kaartinen I, Laakso A, Patila T, Spillmann T, Tuchin VV et al. A review of indocyanine green fluorescent imaging in surgery. Int J Biomed Imaging. 2012; 2012: 940585. Available in: https://doi.org/10.1155/2012/940585

  5. Boni L, David G, Mangano A, Dionigi G, Rausei S, Spampatti S et al. Clinical applications of indocyanine green (ICG) enhanced fluorescence in laparoscopic surgery. Surg Endosc. 2015; 29: 2046-2055. Available in: https://doi.org/10.1007/s00464-014-3895-x

  6. van Manen L, Handgraaf HJM, Diana M, Dijkstra J, Ishizawa T, Vahrmeijer AL et al. A practical guide for the use of indocyanine green and methylene blue in fluorescence-guided abdominal surgery. J Surg Oncol. 2018; 118: 283-300. Available in: https://doi.org/10.1002/jso.25105

  7. Matsui A, Winer JH, Laurence RG, Frangioni JV. Predicting the survival of experimental ischaemic small bowel using intraoperative near-infrared fluorescence angiography. Br J Surg. 2011; 98: 1725-1734. Available in: https://doi.org/10.1002/bjs.7698

  8. Alemanno G, Somigli R, Prosperi P, Bergamini C, Maltinti G, Giordano A et al. Combination of diagnostic laparoscopy and intraoperative indocyanine green fluorescence angiography for the early detection of intestinal ischemia not detectable at CT scan. Int J Surg Case Rep. 2016; 26: 77-80. Available in: https://doi.org/10.1016/j.ijscr.2016.07.016

  9. Nakagawa Y, Kobayashi K, Kuwabara S, Shibuya H, Nishimaki T. Use of indocyanine green fluorescence imaging to determine the area of bowel resection in non-occlusive mesenteric ischemia: A case report. Int J Surg Case Rep. 2018; 51: 352-357. Available in: https://doi.org/10.1016/j.ijscr.2018.09.024

  10. Karampinis I, Keese M, Jakob J, Stasiunaitis V, Gerken A, Attenberger U et al. Indocyanine green tissue angiography can reduce extended bowel resections in acute mesenteric ischemia. J Gastrointest Surg. 2018; 22: 2117-2124. Available in: https://doi.org/10.1007/s11605-018-3855-1

  11. Baiocchi GL, Diana M, Boni L. Indocyanine green-based fluorescence imaging in visceral and hepatobiliary and pancreatic surgery: State of the art and future directions. World J Gastroenterol. 2018; 24: 2921-2930. Available in: https://doi.org/10.3748/wjg.v24.i27.2921

  12. Diana M. Enabling precision digestive surgery with fluorescence imaging. Transl Gastroenterol Hepatol. 2017; 2: 97. Available in: https://doi.org/10.21037/tgh.2017.11.06

  13. Su H, Wu H, Bao M, Luo S, Wang X, Zhao C et al. Indocyanine green fluorescence imaging to assess bowel perfusion during totally laparoscopic surgery for colon cancer. BMC Surg. 2020; 20: 102. Available in: https://doi.org/10.1186/s12893-020-00745-4

  14. Mok HT, Ong ZH, Yaow CYL, Ng CH, Buan BJL, Wong NW et al. Indocyanine green fluorescent imaging on anastomotic leakage in colectomies: a network meta-analysis and systematic review. Int J Colorectal Dis. 2020; 35: 2365-2369. Available in: https://doi.org/10.1007/s00384-020-03723-7

  15. Boni L, David G, Dionigi G, Rausei S, Cassinotti E, Fingerhut A. Indocyanine green-enhanced fluorescence to assess bowel perfusion during laparoscopic colorectal resection. Surg Endosc. 2016; 30: 2736-2742. Available in: https://doi.org/10.1007/s00464-015-4540-z

  16. Maglangit SACA, Macalindong SS, Dofitas RB, Cabaluna ND. Indocyanine Green (ICG) fluorescence angiography of gastric conduit after transhiatal thoracic esophagectomy with proximal gastrectomy for esophagogastric junction adenocarcinoma: A case report and initial experience at a tertiary government hospital in the Philippines. Int J Surg Case Rep. 2021; 80: 105653. Available in: https://doi.org/10.1016/j.ijscr.2021.105653

  17. Schlottmann F, Patti MG. Evaluation of gastric conduit perfusion during esophagectomy with indocyanine green fluorescence imaging. J Laparoendosc Adv Surg Tech A. 2017; 27: 1305-1308. Available in: https://doi.org/10.1089/lap.2017.0359

  18. Enny L, Ramakant P, Singh KR, Rana C, Garg S, Mishra AK. Efficacy of fluorescein green dye in assessing intra-operative parathyroid gland vascularity and predicting post-thyroidectomy hypocalcaemia- a novel prospective cohort study. Indian J Endocrinol Metab. 2020; 24: 446-451. Available in: https://doi.org/10.4103/ijem.IJEM_499_20

  19. Son GM, Kwon MS, Kim Y, Kim J, Kim SH, Lee JW. Quantitative analysis of colon perfusion pattern using indocyanine green (ICG) angiography in laparoscopic colorectal surgery. Surg Endosc. 2019; 33: 1640-1649. Available in: https://doi.org/10.1007/s00464-018-6439-y

  20. Paral J, Ferko A, Plodr M, Raupach J, Hadzi-Nikolov D, Dolezal D et al. Laparoscopic diagnostics of acute bowel ischemia using ultraviolet light and fluorescein dye: an experimental study. Surg Laparosc Endosc Percutan Tech. 2007; 17: 291-295. Available in: https://doi.org/10.1097/SLE.0b013e3180dc9376

  21. Dissanaike S, Abdul-Hamed S, Griswold JA. Variations in burn perfusion over time as measured by portable ICG fluorescence: A case series. Burns Trauma. 2014; 2: 201-205. Available in: https://doi.org/10.4103/2321-3868.142397

  22. Griffiths M, Chae MP, Rozen WM. Indocyanine green-based fluorescent angiography in breast reconstruction. Gland Surg. 2016; 5: 133-149. Available in: https://doi.org/10.3978/j.issn.2227-684X.2016.02.01

  23. Rudin AV, McKenzie TJ, Thompson GB, Farley DR, Lyden ML. Evaluation of parathyroid glands with indocyanine green fluorescence angiography after thyroidectomy. World J Surg. 2019; 43: 1538-1543. Available in: https://doi.org/10.1007/s00268-019-04909-z




Figure 1
Figure 2
Figure 3
Figure 4

2020     |     www.medigraphic.com

Mi perfil

C?MO CITAR (Vancouver)

Rev Mex Cir Endoscop. 2021;22