medigraphic.com
SPANISH

Anales Médicos de la Asociación Médica del Centro Médico ABC

ISSN 0185-3252 (Print)
Revista de la Asociación Médica del Centro Médico ABC
  • Contents
  • View Archive
  • Information
    • General Information        
    • Directory
  • Publish
    • Instructions for authors        
  • medigraphic.com
    • Home
    • Journals index            
    • Register / Login
  • Mi perfil

2022, Number 3

<< Back Next >>

An Med Asoc Med Hosp ABC 2022; 67 (3)

Thoraco-laparoscopic management of an acquired abdominal intercostal hernia

Toto-Morales JG, Ferráez SMLA, Martínez-Munive Á, Quijano-Orvañanos F
Full text How to cite this article 10.35366/107659

DOI

DOI: 10.35366/107659
URL: https://dx.doi.org/10.35366/107659

Language: Spanish
References: 16
Page: 230-233
PDF size: 247.12 Kb.


Key words:

intercostal hernia, repair, laparoscopy, thoracoscopy, mesh.

ABSTRACT

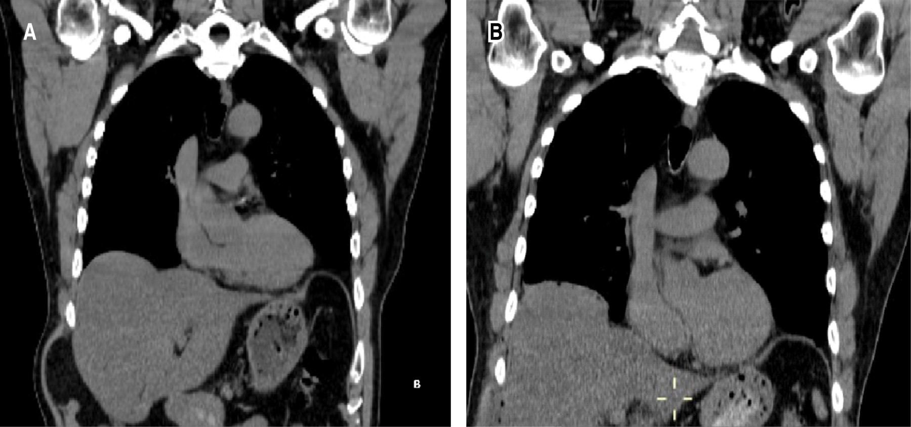
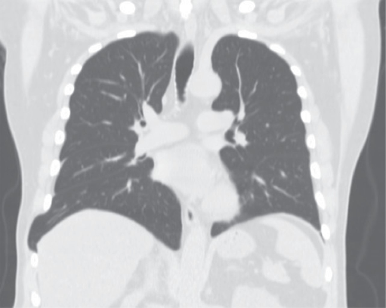
Abdominal intercostal hernias are a rare condition, characterized by the protrusion of the content of a hernia through an intercostal defect without diaphragmatic abnormalities. Most occur in the context of trauma and associated rib fractures. We present the case of a patient whose hernia was only associated with a chronic cough without a costal fracture. We describe a different form with a mixed approach to abdominal and chest reinforcement for minimal invasion.


REFERENCES

  1. Erdas E, Licheri S, Calò PG, Pomata M. Acquired abdominal intercostal hernia: case report and systematic review of the literature. Hernia. 2014; 18 (5): 607-615.

  2. Bobbio A, Ampollini L, Prinzi G, Sarli L. Endoscopic repair of an abdominal intercostal hernia. Surg Laparosc Endosc Percutaneous Tech. 2008; 18 (5): 523-525.

  3. Testelin GM, Ledon F, Giordano A. A case of abdominal intercostal hernia. Chirurgie. 1970; 96 (8): 569-670.

  4. Croce EJ, Mehta VA. Intercostal pleuroperitoneal hernia. J Thorac Cardiovasc Surg. 1979; 77 (6): 856-857.

  5. Cole FH Jr, Miller MP, Jones CV. Transdiaphragmatic intercostal hernia. Ann Thorac Surg. 1986; 41 (5): 565-566.

  6. Fiane AE, Nordstrand K. Intercostal pulmonary hernia after blunt thoracic injury. Eur J Surg. 1993; 159 (6-7): 379-381.

  7. Rogers FB, Leavitt BJ, Jensen PE. Traumatic transdiaphragmatic intercostal hernia secondary to coughing: case report and review of the literature. J Trauma. 1996; 41 (5): 902-903.

  8. Kallay N, Crim L, Dunagan DP, Kavanagh P V, Meredith W, Haponik EF. Massive left diaphragmatic separation and rupture due to coughing during an asthma exacerbation. South Med J. United States. 2000; 93 (7): 729-731.

  9. Losanoff JE, Richman BW, Jones JW. Recurrent intercostal herniation of the liver. Ann Thorac Surg. 2004; 77 (2): 699-701.

  10. Connery A, Mutvalli E. Cough-induced abdominal intercostal hernia. JRSM Short Rep. 2010; 1 (3): 1-3.

  11. Weerd L De, Gurgia L, Weum S. A large abdominal intercostal hernia in a patient with vascular type Ehlers-Danlos syndrome: a surgical challenge. Hernia. 2012; 16 (1): 117-120.

  12. Gundara J, IP J, Lee J. Unusually complicated chest infection : colon containing intercostal hernia. ANZ J Surg. 2012; 82 (11): 851-852.

  13. Unlu E, Temizoz O, Cagli B. Acquired spontaneous intercostal abdominal hernia: Case report and a comprehensive review of the world literature. Australas Radiol. 2007; 51 (2): 163-167.

  14. Rebein B, Fakhoury E, Abolghasemi D, Bui H. Laparoscopic repair of an abdominal intercostal hernia following blunt trauma : a case report. J Curr Surg. 2015; 5 (1): 140-142.

  15. Rendina EA, Ciccone AM. The intercostal space. Thorac Surg Clin. 2007; 17 (4): 491-501.

  16. Kurer MA, Bradford IMJ. Laparoscopic repair of abdominal intercostal hernia: a case report and review of the literature. Surg Laparosc Endosc Percutan Tech. 2006; 16 (4): 270-271.




Figure 1
Figure 2
Figure 3
Figure 4

2020     |     www.medigraphic.com

Mi perfil

C?MO CITAR (Vancouver)

An Med Asoc Med Hosp ABC. 2022;67