medigraphic.com
SPANISH

Acta Médica Grupo Angeles

Órgano Oficial del Hospital Angeles Health System
  • Contents
  • View Archive
  • Information
    • General Information        
    • Directory
  • Publish
    • Instructions for authors        
    • Manuscript submission
    • Policies
    • Names and affiliations of the Editorial Board
  • About us
    • Data sharing policy
    • Stated aims and scope
  • medigraphic.com
    • Home
    • Journals index            
    • Register / Login
  • Mi perfil

2023, Number 1

<< Back Next >>

Acta Med 2023; 21 (1)

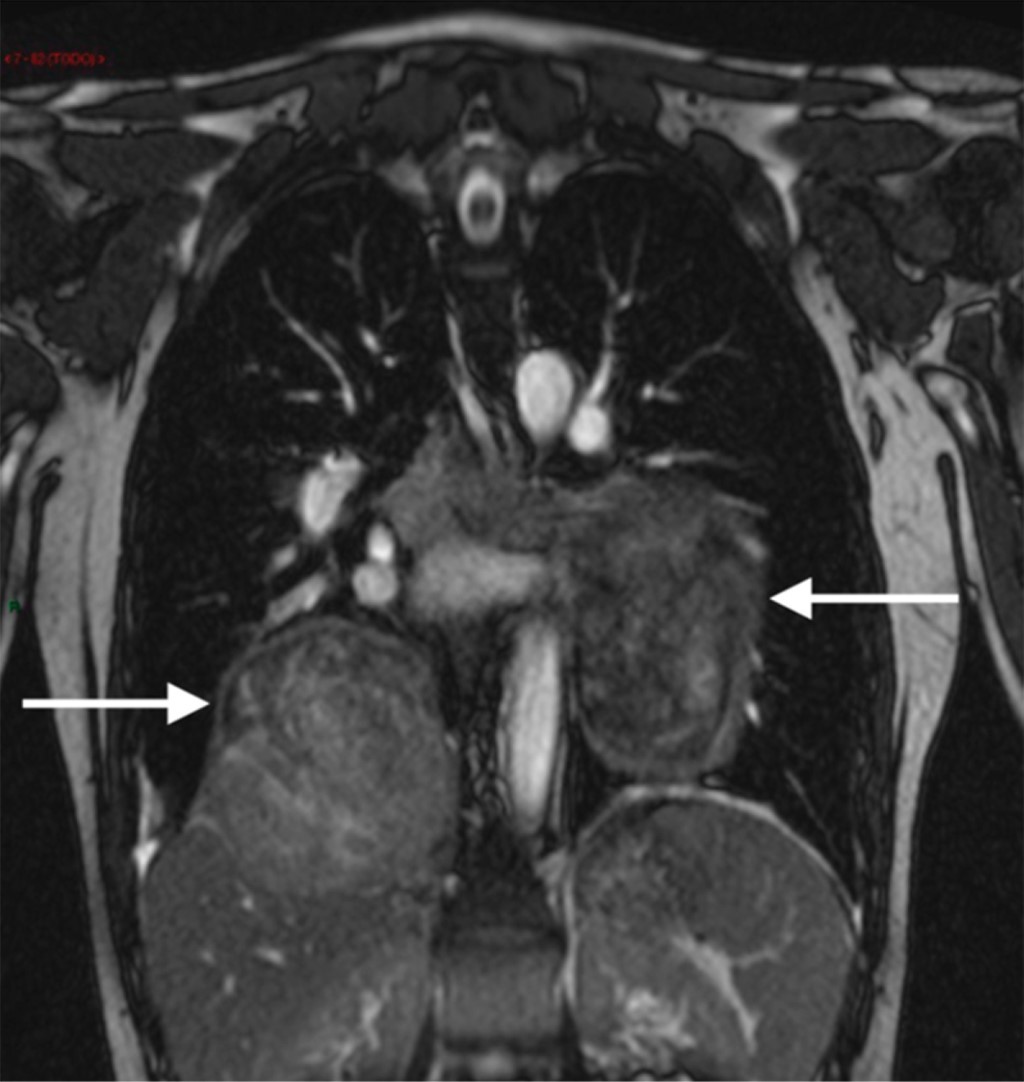
Surgical resection of oligometastasis of a monophasic synovial sarcoma in the lung

Mier OJM, Lemus MLR, Cuevas BRA, Gómez NG, Atocha M, Jafif M, Cervantes Ó
Full text How to cite this article 10.35366/109027

DOI

DOI: 10.35366/109027
URL: https://dx.doi.org/10.35366/109027

Language: Spanish
References: 5
Page: 73-75
PDF size: 122.17 Kb.


Key words:

synovial sarcoma, monophasic sarcoma, oligometastasis, resection of metastases, recurrent metastases, pulmonary metastases.

ABSTRACT

Synovial sarcoma is a rare, aggressive neoplasm resulting from mesenchymal stroma comprised of spindle cells with some epithelial differentiation. This condition accounts for 5%–10% of all soft-tissue sarcomas. Among synovial sarcomas, 50% metastasize. For patients with unresectable disease at diagnosis (Stage-IV), 5-year survival rates of 40% and 60% have been reported. We present a case of recurrent monophasic synovial sarcoma oligometastatic in which surgical resection was performed, reinforcing its impact on increased survival in Stage IV disease. Anatomopathological results based on immunohistochemistry indicate that this case arose from a previously known primary synovial sarcoma.


REFERENCES

  1. Vlenterie M, Ho VK, Kaal SE, Vlenterie R, Haas R, van der Graaf WT. Age as an independent prognostic factor for survival of localised synovial sarcoma patients. Br J Cancer. 2015; 113 (11): 1602-1606.

  2. Krieg AH, Hefti F, Speth BM, Jundt G, Guillou L, Exner UG et al. Synovial sarcomas usually metastasize after > 5 years: a multicenter retrospective analysis with minimum follow-up of 10 years for survivors. Ann Oncol. 2011; 22 (2): 458-467.

  3. Tsukioka T, Inoue K, Iwata T, Mizuguchi S, Morita R, Suehiro S. Resected case of synovial sarcoma in the pleural cavity. Jpn J Thorac Cardiovasc Surg. 2006; 54 (6): 263-266.

  4. Nishiyama N, Iwata T, Izumi N, Tsukioka T, Nagano K, Suehiro S. Aggressive repeat surgery for a recurrent synovial sarcoma in the pleura. Ann Thorac Cardiovasc Surg. 2009; 15 (1): 46-49.

  5. Wada N, Matsuyama N, Kodama T, Ueno H, Kishida H, Sasaki S. Lung metastasis with a 12 years disease free interval from the first surgery of synovial sarcoma; report of a case. Kyobu Geka. 2004; 57 (2): 155-158.




Figure 1

2020     |     www.medigraphic.com

Mi perfil

C?MO CITAR (Vancouver)

Acta Med. 2023;21