medigraphic.com
SPANISH

Cirujano General

ISSN 2594-1518 (Electronic)
ISSN 1405-0099 (Print)
  • Contents
  • View Archive
  • Information
    • General Information        
    • Directory
  • Publish
    • Instructions for authors        
    • Send manuscript
  • medigraphic.com
    • Home
    • Journals index            
    • Register / Login
  • Mi perfil

2022, Number 4

<< Back Next >>

Cir Gen 2022; 44 (4)

Hepatocellular carcinoma in a young patient with a non-cirrhotic cirrhotic liver

Martínez-Mier, Gustavo1,2; Escobar-Ríos, Alma Yrani1; Moreno-Ley, Pedro Iván2; Ramírez-Sánchez, Alonso Heriberto3
Full text How to cite this article 10.35366/109893

DOI

DOI: 10.35366/109893
URL: https://dx.doi.org/10.35366/109893

Language: English/Spanish [Versi?n en espa?ol]
References: 13
Page: 189-192
PDF size: 160.11 Kb.


Key words:

hepatocellular carcinoma, non-cirrhotic liver, alphafetoprotein, liver resection, survival.

ABSTRACT

Introduction: hepatocellular carcinoma without cirrhosis has an incidence of 15%, with different presentation to cirrhotic patients. We present a patient with hepatocellular carcinoma, without cirrhosis. Clinical case: feminine 29 years, 9 cm lesion in right hepatic lobe, without cirrhosis (albumin 4.6 g/dl, total bilirubin 0.5 mg/dl, prothrombin time 13.7 seconds, international normalized ratio 0.98), and alfafetoprotein 1.38 ng/ml, treated with resection, discharge and readmission due to hepatic abscess. Twenty-one months disease-free survival follow-up. Conclusion: hepatocellular carcinoma without cirrhosis is infrequent. It should be considered in young people with abdominal pain and liver tumor. Resection is the treatment of choice.



INTRODUCTION

Hepatocellular carcinoma (HCC) is the world's most common primary liver tumor and the fifth and ninth most common cancer in men and women, respectively.1 Worldwide, the leading risk factor for HCC is the hepatitis B virus.2 The incidence of HCC in non-cirrhotic liver is 15-20% of all HCC.3 The characteristics of patients with HCC in the non-cirrhotic liver have been addressed in several studies, showing that these patients are young females, and the tumor is detected at a more advanced and symptomatic stage than in cirrhotic patients.4 In the asymptomatic form, it is diagnosed incidentally by imaging studies or due to abnormal laboratory findings.5

Radical treatments of HCC include liver transplantation, surgical resection, and local ablation methods.6 Liver resection (LR) is considered the treatment of choice in the healthy liver due to the low risk of liver failure after surgery, lower recurrence, and lower morbidity and mortality than in the cirrhotic liver.7

This paper aims to present the case of a young woman with liver resection secondary to HCC in non-cirrhotic liver.



CLINICAL CASE

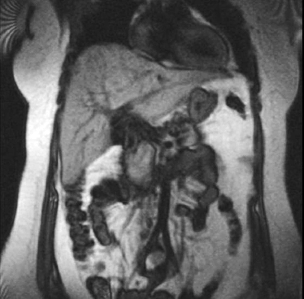
A 29-year-old female patient with no previous history of importance, and a body mass index of 28.5 kg/m2, starts suffering from sudden pain in the right hypochondrium, radiating to the scapular region, so she goes to a hospital of the Instituto Mexicano del Seguro Social (IMSS), at Unidad Médica de Alta Especialidad (UMAE) No. 14, where using computed tomography (CT) and magnetic resonance imaging (MRI) she was diagnosed with an occupying lesion in the right hepatic lobe of 9 cm in its largest diameter (Figure 1), with no clinical or biochemical data of liver cirrhosis (total bilirubin (BT) 1.20 mg/dl, direct bilirubin (BD) 0.7 mg/dl, total protein 5.4 g/dl, albumin 3.4 g/dl prothrombin time 14.4 seconds, international normalized ratio (INR) 1.08, platelets 217 × 103 cell/mm3) and serum alpha-fetoprotein 4 ng/ml.

Serology against hepatitis A, B, and C was negative. A blood cell count showed hemoglobin 11.4 g/dl, hematocrit 34%, and leukocytes 5.5 × 103 cells/mm3. Blood chemistry showed glucose 92 mg/dl, urea nitrogen 9 mg/dL, and creatinine 0.7 mg/dl. The rest of her liver tests were as follows: aspartate transaminase (AST) 25 IU/l, alanine transferase (ALT) 95 IU/l, and alkaline phosphatase (ALP) 100 IU/l.

It was decided to perform surgery with resection of the lesion in segments V and VIII, using the Habib 4x device energy system (AngioDynamics®, N.Y., US), cholecystectomy, and a biopsy of healthy liver tissue with 0 chromic suture, with a surgical time of 160 minutes, through the bilateral subcostal incision without Pringle maneuver; the closure was performed with Vicryl 1 with continuous stitches in two times for the aponeurosis, and Dermalon 3-0 for the skin with simple stitches. A ¼" Penrose drainage was directed to the liver bed (Figures 2 and 3).

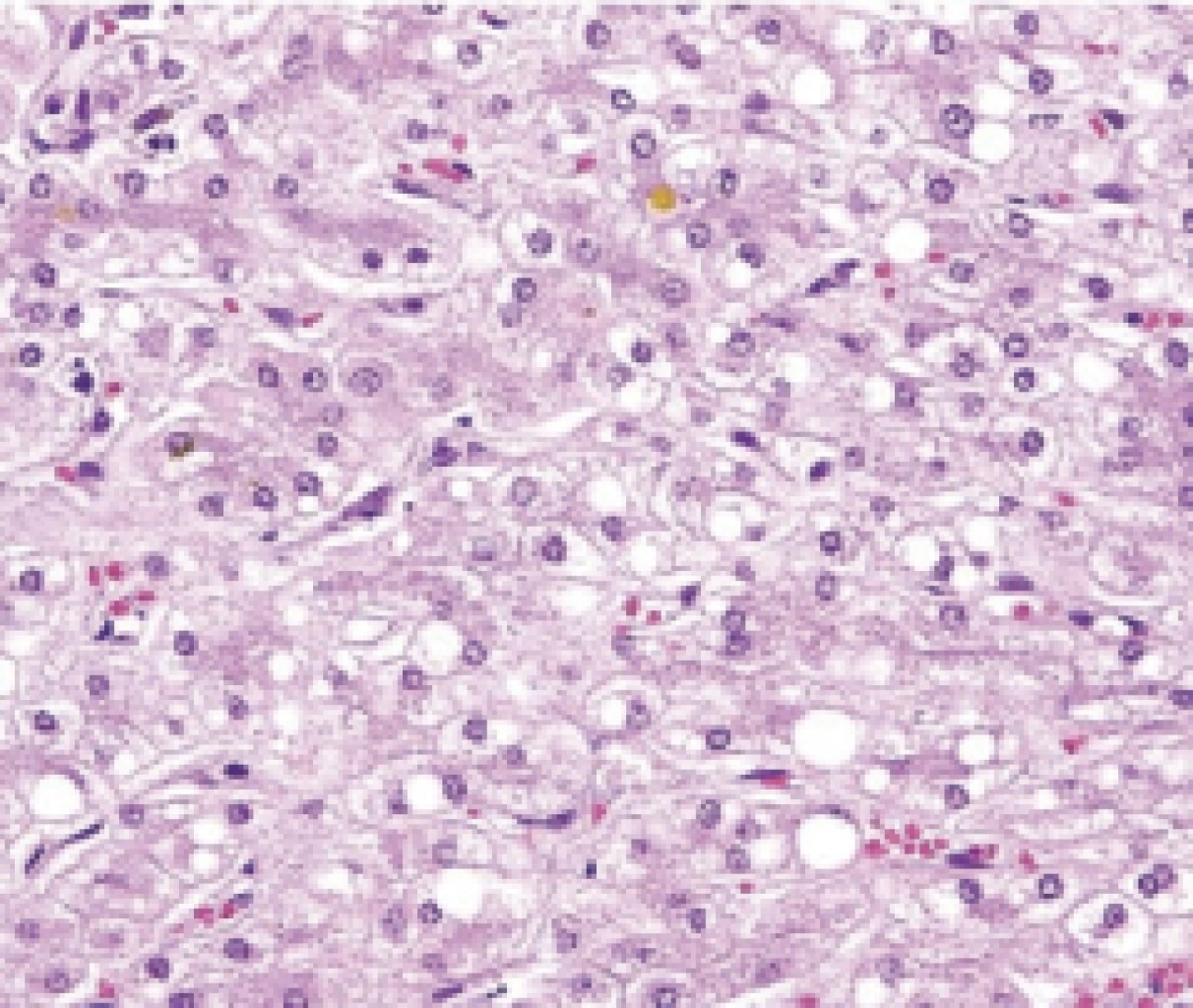
Transoperative bleeding was 800 ml. Postoperative pain management was performed with ketorolac at 30 mg IV c/8 hours, cefotaxime 1 g IV c/8 hours was used during the hospital stay, and the patient was discharged on the sixth postoperative day. The histologic report of the lesion was a well-differentiated hepatocarcinoma, grade 2, in the modified Edmondson-Steiner classification. It was encapsulated, measuring 7 × 5 × 4 cm, with regenerating nodules (Figure 4) and with tumor-free margins of 1 cm. The histopathologic report of the non-tumorous liver was non-alcoholic fatty liver grade 1 activity (30% steatosis, lobular focus of inflammation) and grade 2 fibrosis (portal fibrosis and pericellular fibers without fibrous bridges).

The patient was readmitted 20 days after the postoperative period due to a residual hepatic abscess verified by a CT scan. She was managed with imipenem at a dose of 1 g IV c/8 hours, metronidazole at 500 mg IV c/8 hours for 14 days, and a percutaneous pigtail Expel placed by interventional radiology obtained 50 ml of purulent material. A complete blood count was performed, observing a decrease in leukocytes to 7,300 mm3 on day 14. The antibiotic regimen was suspended, and the patient was discharged on day 15 of the hospital stay.

The patient was asymptomatic 21 months after surgery with no data of tumor activity by CT scan, with a blood cell count showing a hemoglobin 13.3 g/dl, hematocrit 39.2%, leukocytes 4.6 × 103 cell/mm3, platelets 244 × 103 cell/mm3, prothrombin time 13.7 sec, and an INR 0.98. His blood chemistry results were glucose 82 mg/dl, urea nitrogen 9 mg/dL, creatinine 0.7 mg/dL, and liver function tests: BT 0.50 mg/dl, BD 0.20 mg/dl, BI 0.30 mg/dl, ALT 21 IU/l, AST 20 IU/l, ALP 118 IU/l.



DISCUSSION

Liver cirrhosis is the leading risk factor for HCC; however, a certain number of HCCs occur in the non-cirrhotic liver, with a proportion of cases lower than 20%, making it an uncommon pathology. HCC in non-cirrhotic liver has different epidemiological and clinical characteristics, therapeutic management, and prognosis than the tumor produced in cirrhotic liver. At the epidemiological level, there seems to be a greater preponderance in the female sex and a less advanced age,4 although other studies have not confirmed these characteristics. Núñez Martínez and collaborators8 evaluated 29 patients with HCC in the non-cirrhotic liver, reporting a higher incidence in the male sex and a mean age of 61.

HCC in a healthy liver is generally diagnosed when the tumor has reached a larger size, producing the appearance of symptoms (abdominal pain or discomfort in the right upper quadrant, jaundice, nausea).9 It is essential to know how to identify and differentiate HCC from the fibrolamellar type, which, although a rare variant, can be problematic at the time of diagnosis, as it also occurs in young patients (< 40 years) and livers with minimal damage, characterized histologically by well-differentiated malignant liver cells with eosinophilic and deep granular cytoplasm due to the presence of numerous mitochondria, and by the presence of fibrosis throughout the tumor.10

Hepatic resection is the best method for patients with HCC in non-cirrhotic liver. Although these patients present larger tumor lesions, the preserved function of the non-cirrhotic liver allows extensive resections to be performed relatively safely.9 Faber et al.11 studied 148 patients with HCC in non-cirrhotic liver undergoing liver resection. They found a median in-hospital stay of 15 days, with one to five-year survival of 75.4 and 38.9%, respectively. Rayya and his team12 analyzed 55 patients with HCC in non-cirrhotic liver undergoing RH, reporting an in-hospital stay of 18 days, with one to five-year survival of 69 and 48%, respectively, and Lubrano and co-workers13 studied 20 patients with HCC in non-cirrhotic liver undergoing RH, with one and five-year survival of 85 and 64% respectively.

Our case represents a large (9 cm) HCC in non-cirrhotic treated by liver resection, with in-hospital stay like the studies already described with adequately resolved postoperative morbidity. Morbidity in RH in this type of patient can be up to 40%,11 exemplified in our case. The fact that our case presented a liver with minimal liver damage contributed to a successful HR. The tumor-free margins (1 cm) contribute to the present-day survival without tumor activity.



CONCLUSION

The presence of hepatocellular carcinoma (HCC) in non-cirrhotic liver is a rare entity that should be considered in young patients with abdominal pain and liver tumor. Hepatic resection (LR) is the treatment of choice in these cases to provide good survival.


REFERENCES

  1. Wallace MC, Preen D, Jeffrey GP, Adams LA. The Evolving epidemiology of hepatocellular carcinoma: a global perspective. Expert Rev Gastroenterol Hepatol. 2015; 1: 1-15.

  2. Forner A, Reig M, Varela M, Burrel M, Feliu J, Briceño J, et al. [Diagnosis and treatment of hepatocellular carcinoma]. Update consensus document from the AEEH, SEOM, SERAM, SERVEI and SETH. Med Clin (Barc). 2016; 146: 511.e1-511.e22.

  3. Alkofer B, Lepennec V, Chiche L. Hepatocellular cancer in the non-cirrhotic liver. J Visc Surg. 2011; 148: 3-11.

  4. Giannini E, Marenco S, Bruzzone L, Savarino V, Farinati F, Del Poggio P, et al. Hepatocellular carcinoma in patients without cirrhosis in Italy. Dig Liver Dis. 2013; 45: 164-169.

  5. Dupont-Bierre E, Compagnon P, Raoul JL, Fayet G, de Lajarte-Thirouard AS, Boudjema K. Resection of hepatocellular carcinoma in noncirrhotic liver: analysis of risk factors for survival. J Am Coll Surg. 2005; 201: 663-670.

  6. Verslype C, Rosmorduc O, Rougier P. Hepatocellular carcinoma: ESMO-ESDO Clinical Practice Guidelines for diagnosis, treatment and follow-up. Ann Oncol. 2012; 23: vii43-vii45.

  7. Chang CH, Chau GY, Lui WY, Tsay SH, King KL, Wu CW. Long-term results of hepatic resection for hepatocellular carcinoma originating from the noncirrhotic liver. Arch Surg. 2004; 139: 320-325.

  8. Núñez Martínez O, Matilla Peña A, Merino Rodríguez B, Díaz Sánchez A, Colón Rodríguez A, Ramón Botella E, et al. Descriptive study of hepatocellular carcinoma in noncirrhotic liver. Gastroenterol Hepatol. 2011; 34: 322-328.

  9. Trevisani F, Frigerio M, Santi V, Grignaschi A, Bernardi M. Hepatocellular carcinoma in non-cirrhotic liver: a reappraisal. Dig Liver Dis. 2010; 42: 341-347.

  10. El-Serag HB, Davila JA. Is fibrolamellar carcinoma different from hepatocellular carcinoma? A US population-based study. Hepatology. 2004; 39: 798-803.

  11. Faber W, Sharafi S, Stockmann M, Denecke T, Sinn B, Puhl G, et al. Long-term results of liver resection for hepatocellular carcinoma in noncirrhotic liver. Surgery. 2013; 153: 510-517.

  12. Rayya F, Harms J, Bartels M, Uhlmann D, Hauss J, Fangmann J. Results of resection and transplantation for hepatocellular carcinoma in cirrhosis and noncirrhosis. Transplant Proc. 2008; 40: 933-935.

  13. Lubrano J, Huet E, Tsilividis B, François A, Goria O, Riachi G, et al. Long-term outcome of liver resection for hepatocellular carcinoma in noncirrhotic nonfibrotic liver with no viral hepatitis or alcohol abuse. World J Surg. 2007; 32: 104-109.



AFFILIATIONS

1 Research Department. High Specialty Medical Unit (UMAE) No. 189 "Lic. Adolfo Ruiz Cortines", Mexican Institute of Social Security, Veracruz, Mexico.

2 Transplant Department. High Specialty Medical Unit (UMAE) No. 189 "Lic. Adolfo Ruiz Cortines", Mexican Institute of Social Security, Veracruz, Mexico.

3 Department of General Surgery. High Specialty Medical Unit (UMAE) No. 189 "Lic. Adolfo Ruiz Cortines", Mexican Institute of Social Security, Veracruz, Mexico.



Ethical responsibilities: protection of people and animals. It is declared that no experiments on humans or animals have been performed for this research.

Data confidentiality: the protocols of our work center on the publication of patient data were followed.

Right to privacy and informed consent: it is stated that no patient data appear in this article.



CORRESPONDENCE

Gustavo Martinez-Mier. E-mail: gmtzmier@gmail.com




Received: 01/07/2020. Accepted: 01/09/2022

Figure 1
Figure 2
Figure 3
Figure 4

2020     |     www.medigraphic.com

Mi perfil

C?MO CITAR (Vancouver)

Cir Gen. 2022;44