medigraphic.com
SPANISH

Acta Ortopédica Mexicana

ISSN 2992-8036 (Electronic)
ISSN 2306-4102 (Print)
Órgano Oficial del Colegio Mexicano de Ortopedia y Traumatología
  • Contents
  • View Archive
  • Information
    • General Information        
    • Directory
  • Publish
    • Instructions for authors        
  • medigraphic.com
    • Home
    • Journals index            
    • Register / Login
  • Mi perfil

2022, Number 6

<< Back Next >>

Acta Ortop Mex 2022; 36 (6)

Alkaptonuria: evolution and course of the disease towards ochronotic arthropathy. Series of cases managed with joint replacement

Marín-Giraldo C, Vélez-Vélez M, Pulgarín-Henao A, Sarmiento C
Full text How to cite this article 10.35366/111872

DOI

DOI: 10.35366/111872
URL: https://dx.doi.org/10.35366/111872

Language: Spanish
References: 12
Page: 379-384
PDF size: 253.95 Kb.


Key words:

alkaptonuria, ochronosis, arthrosis, arthroplasty.

ABSTRACT

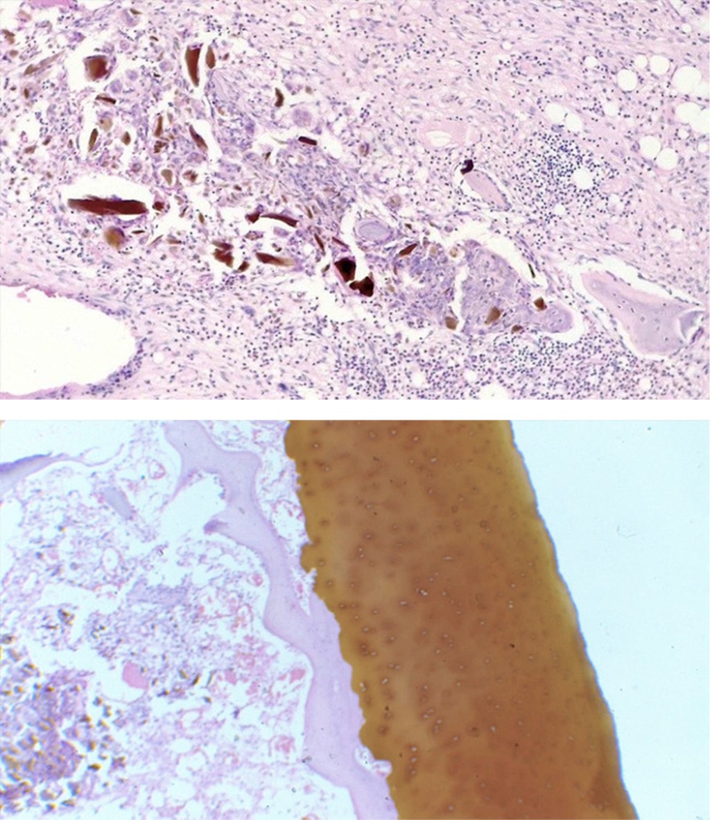
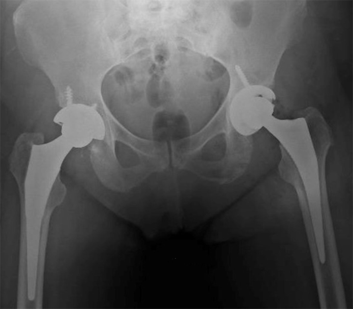
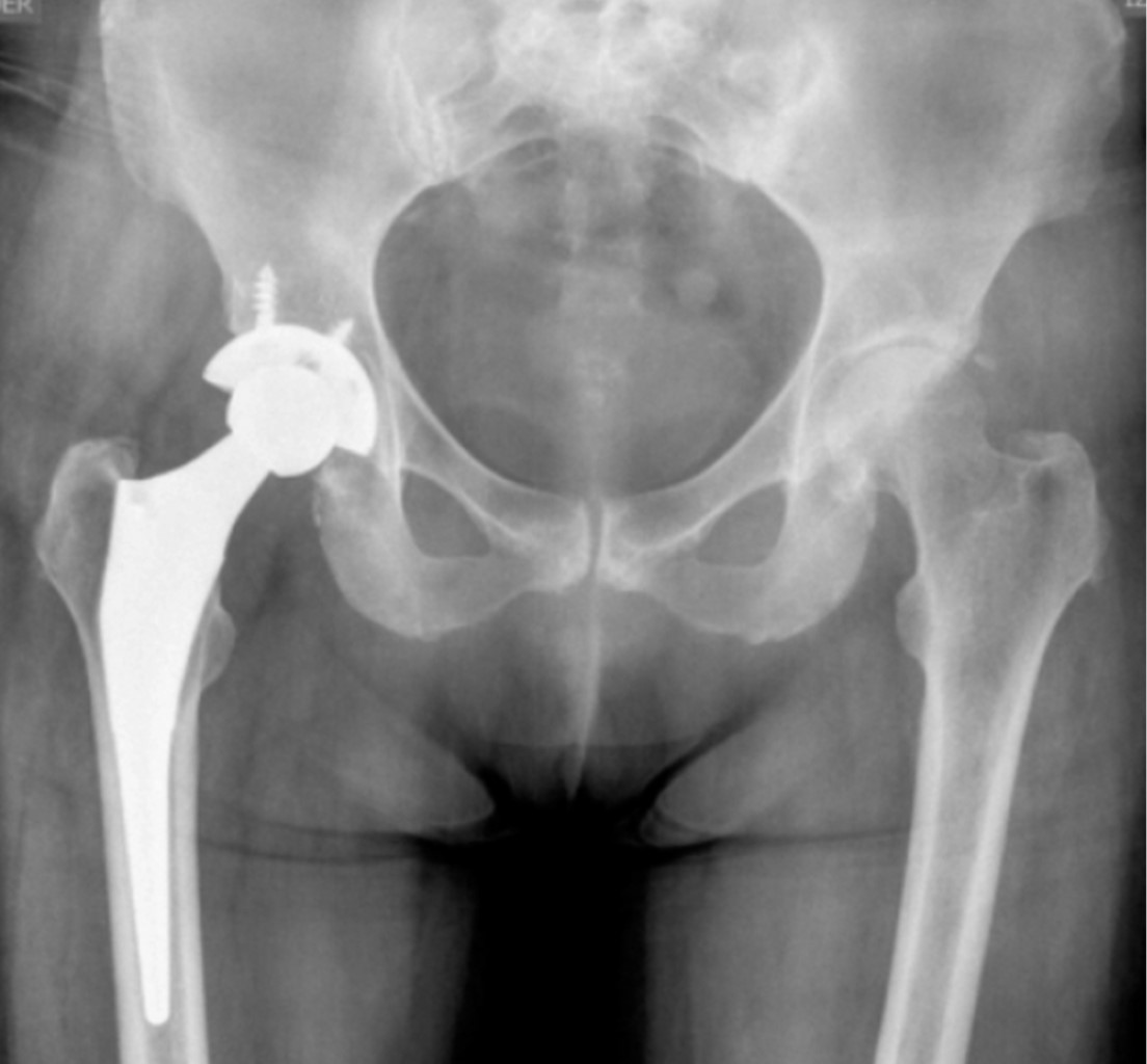
Introduction: alkaptonuria is a very rare metabolic disease with autosomal recessive inheritance due to HGA oxidase deficiency. Classically described and diagnosed in the third to fourth decade of life, affecting both men and women; Its diagnostic impression is clinical based on the blue/black coloration of the conjunctivae, however it is confirmed by the specific analysis of the enzyme in the urine, to date there is no cure and its treatment is palliative and symptomatic. Material and methods: descriptive, observational, case series study, the primary objective of which is to describe the progression of the disease and its involvement in the musculoskeletal system. Results: two clinical cases are presented in women and men in which the broad clinic is illustrated, its progressive advance and the different alterations that it can generate in the musculoskeletal system. Conclusions: alkaptonuria is a rare disease which leads to a severe secondary arthropathy, currently without a specific management which is based on treating the symptoms, in its final stages joint replacements are a management option with satisfactory results for the relief of pain.


REFERENCES

  1. Meschini C, Cauteruccio M, Oliva MS, Sircana G, Vitiello R, Rovere G, et al. Hip and knee replacement in patients with ochronosis: clinical experience and literature review. Orthop Rev (Pavia). 2020; 12(Suppl 1): 8687.

  2. Iglesias Gamarra A, Urina M, Martínez M, Saummett O, Chinchilla A. Alcaptonuria: presentación de un caso. Acta Méd Colomb. 1981; 6(5): 295-304.

  3. Wu K, Bauer E, Myung G, Fang MA. Musculoskeletal manifestations of alkaptonuria: a case report and literature review. Eur J Rheumatol. 2018; 6(2): 98-101.

  4. Gil JA, Wawrzynski J, Waryasz GR. Orthopedic manifestations of ochronosis: pathophysiology, presentation, diagnosis, and management. Am J Med. 2016; 129(5): 536.e1-6.

  5. Saldarriaga Cartagena NE, Tamayo Hussein S, Donado Gómez JH. Ochronotic spondyloarthropathy: a case report. Iatreia. 2008; 21(4): 416-9.

  6. Salazar Ponce R, Londoño PJ, Reyes SE, Varela RP, Bautista WA, Guzmán V CM, et al. Ocronosis: descripción de dos casos familiares, reseña histórica y revisión de la literatura. Rev Colomb Reumatol. 2011; 18(4): 304-10.

  7. Villegas González M, García Sarmiento C, Galván-Villamarín F, Medina Castiblanco C. Artropatía ocronótica: reporte de caso. Rev Colomb Ort op Traumatol. 2013; 27(3): 171-6.

  8. Fierro GA, González JC. Ocronosis: reporte de caso y revisión de la literatura. Rev Colomb Ortop Traumatol. 2014; 28(3): 128-36.

  9. Muñoz Otero C, Alvarado Carrillo T, Redondo Meza Y. Alcaptonuria: un error innato del metabolismo que desafía la práctica clínica pediátrica. Pediatr. 2017; 50(4): 105-7.

  10. Kitahara Y, Kaku N, Tagomori H, Tsumura H. Alkaptonuria with rapidly destructive arthropathy of the hip: A case report and literature review. Acta Orthop Traumatol Turc. 2021; 55(6): 563-8.

  11. Demir S. Alkaptonuric ochronosis: a case with multiple joint replacement arthroplasties. Clin Rheumatol. 2003; 22(6): 437-9.

  12. Gómez-Lechón Quirós L, Hidalgo Calleja C, Acosta de la Vega ME, Compán Fernández O, Pastor Navarro S, Montilla Morales C. Family history of ochronotic arthropathy. Rheumatol Int. 2021; 41(10): 1869-74.



EVIDENCE LEVEL

IV




Figure 1
Figure 2
Figure 3
Figure 4
Figure 5
Figure 6
Figure 7
Figure 8
Figure 9

2020     |     www.medigraphic.com

Mi perfil

C?MO CITAR (Vancouver)

Acta Ortop Mex. 2022 Nov-Dic;36