medigraphic.com
SPANISH

Acta Médica Grupo Ángeles

Órgano Oficial del Hospital Ángeles Health System
  • Contents
  • View Archive
  • Information
    • General Information        
    • Directory
  • Publish
    • Instructions for authors        
    • Manuscript submission
    • Policies
    • Names and affiliations of the Editorial Board
  • About us
    • Data sharing policy
    • Stated aims and scope
  • medigraphic.com
    • Home
    • Journals index            
    • Register / Login
  • Mi perfil

2023, Number 4

<< Back Next >>

Acta Med 2023; 21 (4)

Primary vasculitis of the central nervous system

Alcocer MJL, Domínguez CLG
Full text How to cite this article 10.35366/112651

DOI

DOI: 10.35366/112651
URL: https://dx.doi.org/10.35366/112651

Language: Spanish
References: 3
Page: 381-383
PDF size: 197.46 Kb.


Key words:

primary vasculitis, central nervous system, cerebral hemorrhage.

ABSTRACT

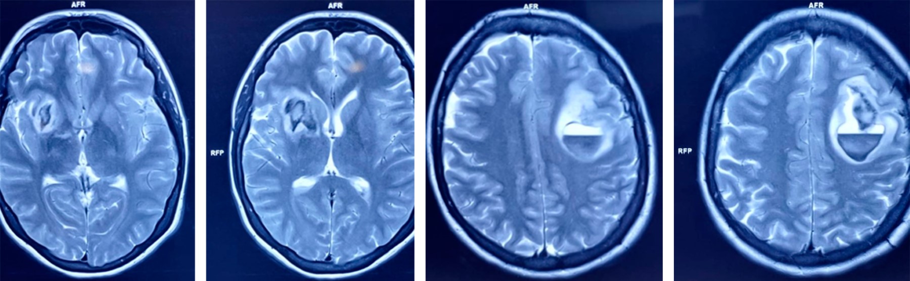
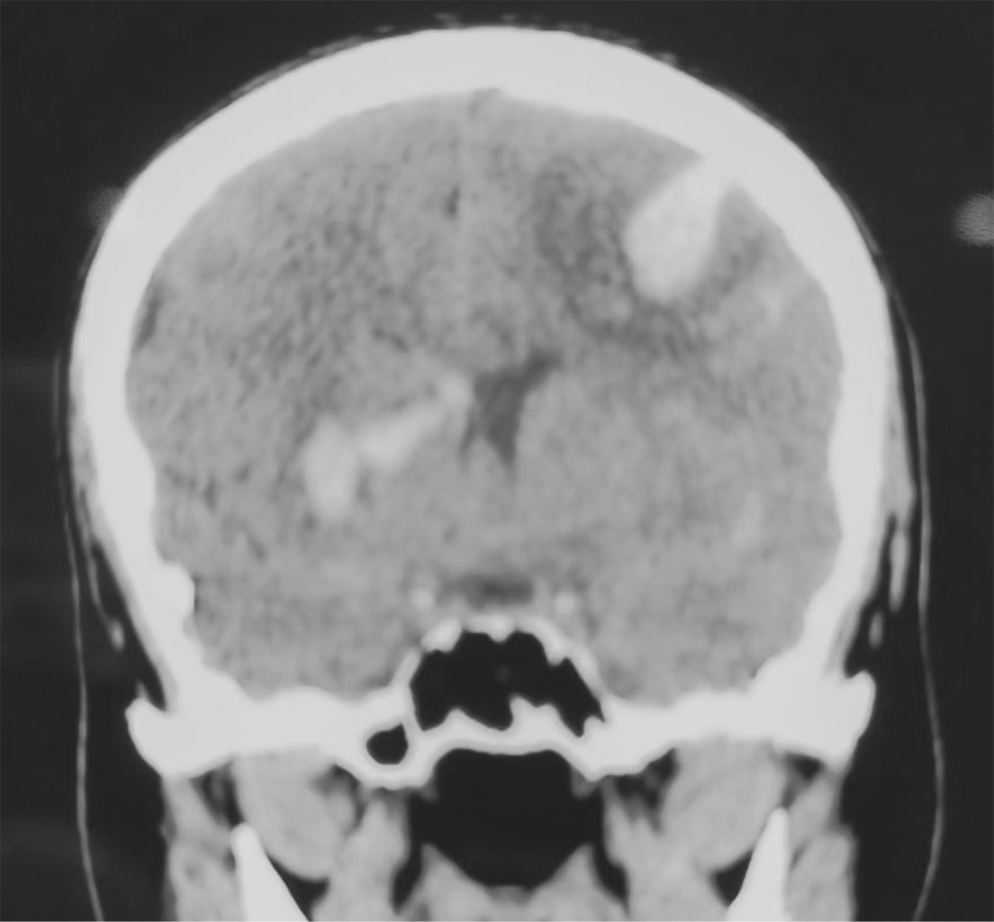
Introduction: primary vasculitis of the central nervous system (PVCNS) is rare, with heterogeneous clinical presentation. Case report: 35-years-old female with seven days with headache, without improvement with analgesics, adding vomiting and stupor, right hemiparesis, and aphasia; CT showed hemorrhages in the right caudate nucleus and left frontal lobe, laboratory tests including antibodies and acute phase reactants normal; pan-angiography showed: a pattern of vasculitis of trunk branches in cerebral arteries and occlusion of the inferior longitudinal sinus; with a diagnosis of possible PVCNS. Drainage of frontal hemorrhage and biopsy was performed, which confirmed the diagnosis; beginning treatment with methylprednisolone bolus and cyclophosphamide, obtaining clinical improvement. Conclusions: PVCNS presents heterogeneous clinical manifestations of acquired neurological deficits; it is a challenge. Its diagnosis implies the existence of the following: a) the acquired neurological deficit, unexplained by another cause, b) angiographic or histopathological evidence of PVCNS, c) absence of systemic vasculitis or other condition that explains it.


REFERENCES

  1. Rice CM, Scolding NJ. The diagnosis of primary central nervous system vasculitis. Pract Neurol. 2020; 20 (2): 109-114.

  2. Hajj-Ali RA, Calabrese LH. Central nervous system vasculitis: advances in diagnosis. Curr Opin Rheumatol. 2020; 32 (1): 41-46. doi: 10.1097/BOR.0000000000000676.

  3. Wang LJ, Kong DZ, Guo ZN, Zhang FL, Zhou HW, Yang Y. Study on the clinical, imaging, and pathological characteristics of 18 cases with primary central nervous system vasculitis. J Stroke Cerebrovasc Dis. 2019; 28 (4): 920-928.




Figure 1
Figure 2
Figure 3
Figure 4

2020     |     www.medigraphic.com

Mi perfil

C?MO CITAR (Vancouver)

Acta Med. 2023;21