medigraphic.com
SPANISH

Acta Médica Grupo Ángeles

Órgano Oficial del Hospital Ángeles Health System
  • Contents
  • View Archive
  • Information
    • General Information        
    • Directory
  • Publish
    • Instructions for authors        
    • Manuscript submission
    • Policies
    • Names and affiliations of the Editorial Board
  • About us
    • Data sharing policy
    • Stated aims and scope
  • medigraphic.com
    • Home
    • Journals index            
    • Register / Login
  • Mi perfil

2023, Number 4

<< Back Next >>

Acta Med 2023; 21 (4)

Patellar duplicity

Vadillo SAC, Pérez LGPP, Ávila PMD, Gómez PMG
Full text How to cite this article 10.35366/112655

DOI

DOI: 10.35366/112655
URL: https://dx.doi.org/10.35366/112655

Language: Spanish
References: 0
Page: 391-392
PDF size: 140.51 Kb.


Key words:

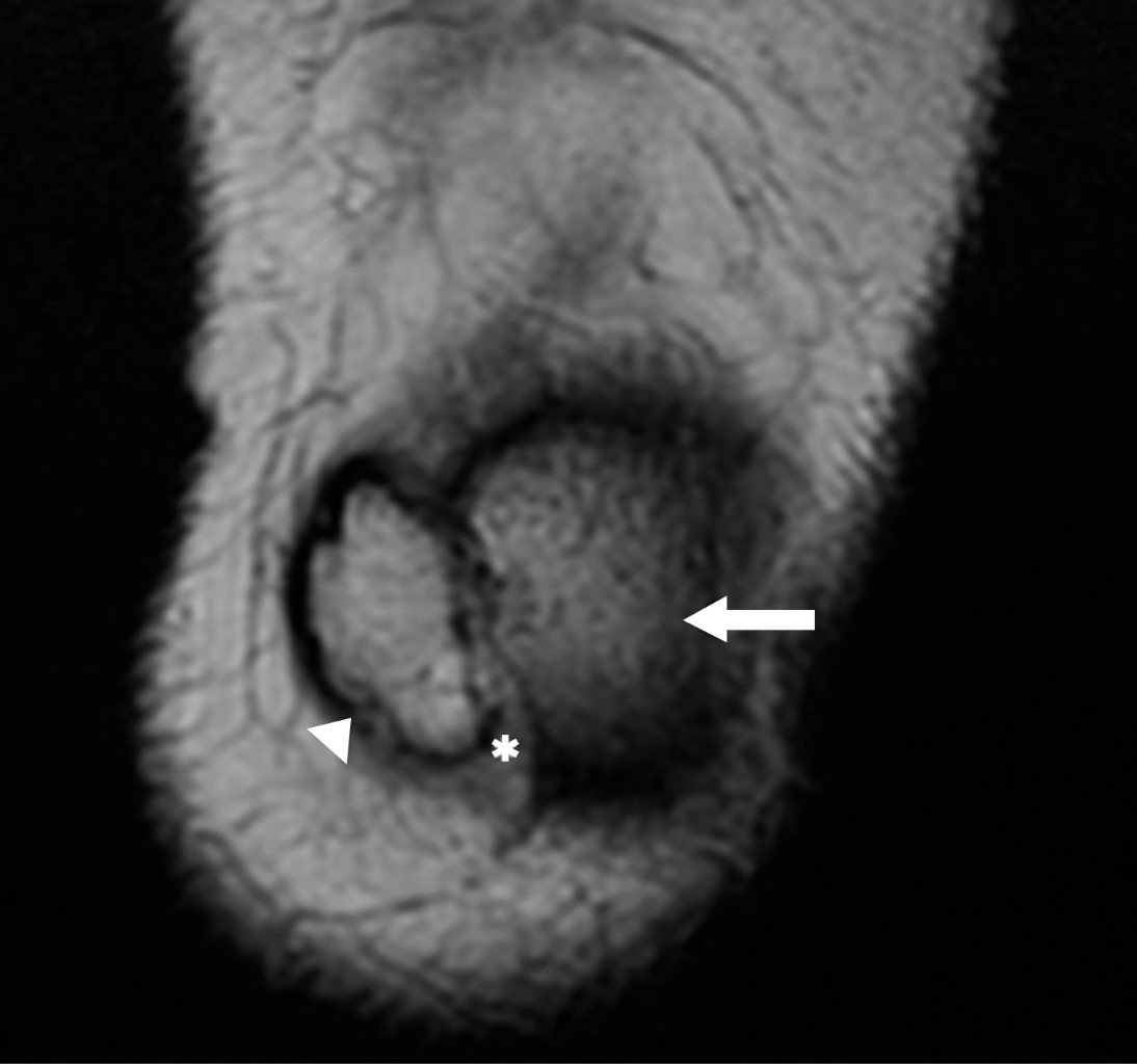
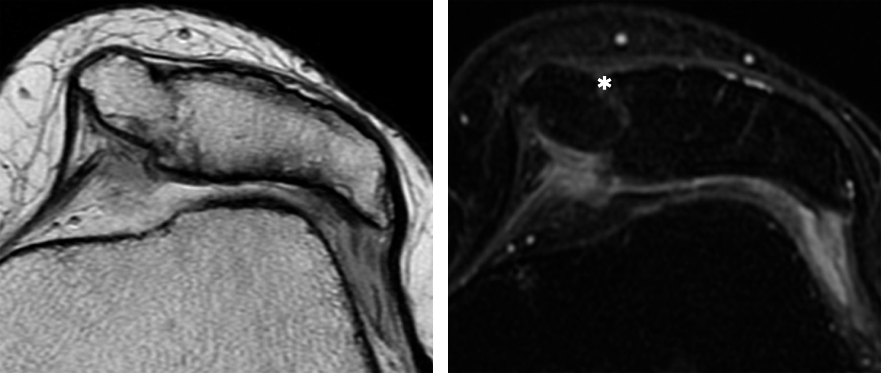
patellar duplicity, cartilage, knee, magnetic resonance.

Patellar duplication is a rare entity, where a patella and an accessory patella develop from two ossification nuclei. This pathology can present with a variety of clinical problems depending on its stability. It is considered stable when there is soft tissue between the bone segments allowing little movement thereof. The most important pathology as a differential diagnosis is the bipartite patella, its main difference is that in the bipartite patella the fragments are joined by the continuous covering of the articular cartilage, and no extra ligamentous structures are observed.





Figure 1
Figure 2
Figure 3
Figure 4

2020     |     www.medigraphic.com

Mi perfil

C?MO CITAR (Vancouver)

Acta Med. 2023;21