medigraphic.com
SPANISH

Alergia, Asma e Inmunología Pediátricas

Órgano Oficial del Colegio Mexicano de Alergia, Asma e Inmunología Pediátrica y de la Asociación Latinoamericana de Pediatría
  • Contents
  • View Archive
  • Information
    • General Information        
    • Directory
  • Publish
    • Instructions for authors        
  • medigraphic.com
    • Home
    • Journals index            
    • Register / Login
  • Mi perfil

2022, Number 3

<< Back Next >>

Alerg Asma Inmunol Pediatr 2022; 31 (3)

Multisystem inflammatory syndrome in an infant with G6PD deficiency

García-Domínguez, Miguel1; López-Acosta, Jesús Ramón2; García-Arroyo, Isabel2; López-Robles, Alfonso2; Morales-Cuevas, José Raúl3
Full text How to cite this article 10.35366/113855

DOI

DOI: 10.35366/113855
URL: https://dx.doi.org/10.35366/113855

Language: English
References: 9
Page: 90-93
PDF size: 170.15 Kb.


Key words:

multisystem inflammatory syndrome in children, glucose 6-phosfato dehydrogenase deficiency, COVID-19.

ABSTRACT

Introduction: multisystem inflammatory syndrome in children (MIS-C) is a hyperinflammatory disorder related to SARS-CoV-2 infection, characterized by a release of cytokines and oxidative stress, due to uncontrolled immune activation, which becomes critical in patients with a compromised antioxidant (AO), such as patients with glucose-6-phosphate dehydrogenase (G6PD) deficiency. Clinical case: we present a 3-month-old boy with G6PD deficiency who, three weeks after his mother had COVID-19, presented with fever, abdominal pain, dehydration, and shock. By epidemiological contact, positive RT-PCR was obtained for SARS-CoV-2. Laboratory tests showed elevated inflammatory markers, coagulopathy, and significant myocardial compromise. He was treated with intravenous immunoglobulin (IVIG) and systemic steroids with favorable clinical course. Conclusion: MIS-C in patients with G6PD deficiency should be identified early to establish immediate treatment and avoid serious complications both due to MIS-C and those that occur in patients with G6PD deficiency.



INTRODUCTION

Glucose-6-phosphate dehydrogenase (G6PD) deficiency is an inborn error of metabolism that predisposes to hemolytic crisis due to enzymatic defects of red blood cell when exposed to oxidative agents or triggers (drugs, infections, fava beans). Multisystem inflammatory syndrome in children (MIS-C) is a hyperinflammatory disorder related to SARS-CoV-2 infection was reported in late April 2020.1 The release of cytokines in MIS-C leads to an excessive inflammatory response and pro-oxidative responses with the leading to reactive oxygen species (ROS) due to uncontrolled immune activation. This response becomes critical in patients with a compromised antioxidant (AO) system such as patients with G6PD deficiency.2



PRESENTATION OF CASE

We report a 3-months-old male diagnosed with G6PD deficiency. A history of prematurity of 35 weeks of gestation with respiratory distress and early-onset neonatal sepsis treated with pulmonary surfactant, antibiotics (cefotaxime, vancomycin) and mechanical ventilation for 2 weeks. Presented unconjugated hyperbilirubinemia with negative Coomb's test, treated with phototherapy and an expanded neonatal screening test was performed prior to blood transfusion, which reported deficient G6PD enzymatic activity.

He developed a fever of 38.7 °C two days before admission, inconsolable crying and irritability. COVID-19 is suspected due to a history of maternal COVID-19 three weeks prior with positive nasopharyngeal reverse transcription chain reaction (RT-PCR) for SARS-CoV-2. Upon admission clinically he was fever, pallor, irritable with acute abdomen suspected. He presented increased respiratory effort, dehydration, and hypotension. The patient received hydric resuscitation, oxygen delivery and, antibiotics (cefotaxime-vancomycin). Laboratory test showed Hb 9.2 g/dL, WBC 25,000/mm3 (PMN 65%), C-reactive protein (CRP) 4.57 mg/dL, erythrocyte sedimentation rate (ESR) 45 mm/h, procalcitonin 10.98 ng/mL, total serum bilirubin 1.54 mg/dL, direct bilirubin 0.57 mg/dL, lactate 3.7 mmol/L, with positive antigen test and RT-PCR for SARS-CoV-2.

On the second day of admission manifesting tachypnea, tachycardia and pallor, due suspicion of hemolytic crisis, laboratory showed Hb 8.4 g/dL, WBC 4.190/mm3, procalcitonin 19.39 ng/dL, CRP 20 mg/dL, D-dimer 2.07 μg/mL, fibrinogen 454 mg/dL, NT-proBNP 35.000 pg/mL, IgM serology and RT-PCR for SARS-CoV-2 positive. A chest X-ray normal. The diagnosis of MIS-C was made and treatment within immunoglobulin intravenous (IVIG) 2 g/kg, methylprednisolone 2 mg/kg/day and, enoxaparin was started.

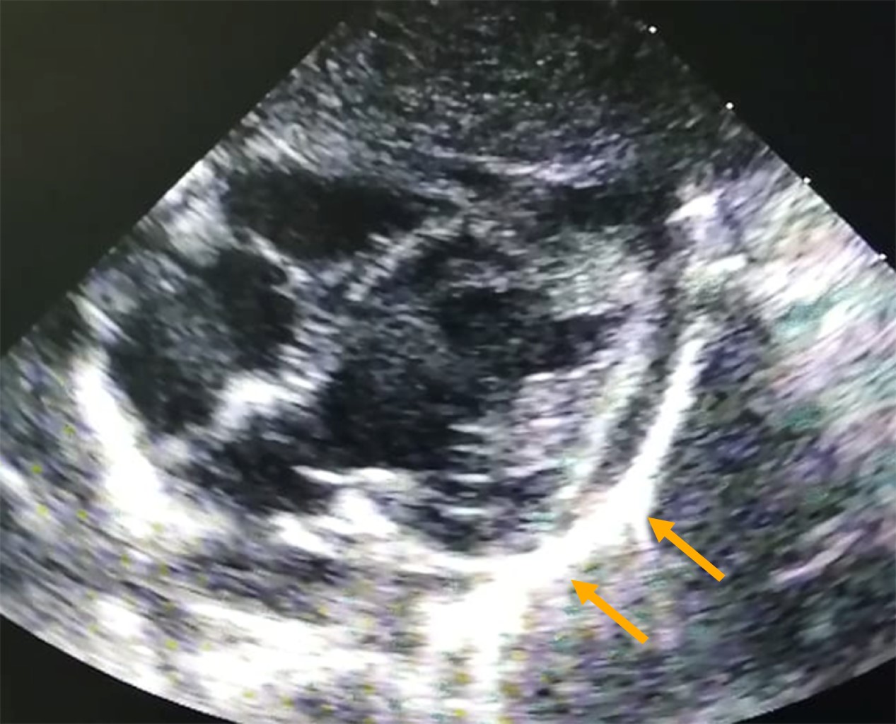
The echocardiogram showed normal artery coronary, LVEF 53% and refringent pericardial (Figure 1).

Clinical improvement was observed with normalization of fever and inflammatory biomarkers. He was discharged home in good condition on steroids tapering dose over one week.



DISCUSSION

G6PD deficiency is found worldwide, occurs most frequently in sub-Saharan Africa and the Arabian Peninsula. In Latin America the prevalence varies in the different countries, from 0.5 to 10%. In Mexico, a prevalence of 0 to 2% is estimated.3 G6PD is a cytoplasmic enzyme, which prevents oxidative damage to cells by decreased ROS, in which the production of nicotinamide adenine dinucleotide phosphate (NADPH) is necessary, which engage in the glutathione cycle, avoiding cell damage by hydrogen peroxide and maintains an intracellular oxidative balance. The majority of G6PD deficiency being asymptomatic, however the hemolytic crisis that may be triggers by intrinsic or extrinsic stressors, e. g., drugs, infections, fava beans. The manifestations depending on the amount of oxidative stress intracellular and the levels of enzyme activity.2 In 2008, Wu et al, demonstrated in vitro that G6PD deficiency cells are more susceptible to HCoV 229E-induced cell death.4

SARS-CoV-2 infection is characterized by production of pro-inflammatory cytokines and the development of acute respiratory distress syndrome (ARDS). However, in late April 2020 a severe form in children with shock and Kawasaki-like features was reported and subsequently named MIS-C.1,5

The population with G6PD deficiency has been particularly affected by the COVID-19 pandemic.2,6

Nowadays there are few case reports of MIS-C in patients with G6PD deficiency, with different outcomes (Table 1).

Al Ameer et al, report first case of G6PD deficiency with MIS-C mimicking Kawasaki disease (KD). With a history of fever, gastrointestinal symptoms, and organ failure with an increased biomarker inflammatory. Ineffective response treatment with IVIG, steroids, antiviral, and biologic therapy.7 Al-Aamri et al, report another case like KD shock syndrome that developed multiorgan dysfunction without response to established treatment.8

Almoosa et al, in a report of ten cases, three G6PD patients developed MIS-C. The first patient with multiorgan failure, elevated cardiac enzymes and left ventricular dysfunction died after 15 days without response to treatment with IVIG, steroids and biological therapy. The other two cases showed adequate response to treatment.9



CONCLUSIONS

G6PD deficiency is especially susceptible to stress factors that lead to hemolytic crises and free radical production, a situation that is aggravated if MIS-C develops. Clinical suspicion of MIS-C in these patients should be made when fever persists for more than 3 days, with inflammatory markers and cardiovascular compromise to establish aggressive treatment, since unfavorable results are observed with greater delay in diagnosis and treatment.


REFERENCES

  1. Riphagen S, Gomez X, Gonzalez-Martinez C, Wilkinson N, Theocharis P. Hyperinflammatory shock in children during COVID-19 pandemic. Lancet. 2020; 395 (10237): 1607-1608. doi: 10.1016/S0140-6736(20)31094-1.

  2. Buinitskaya Y, Gurinovich R, Wlodaver CG, Kastsiuchenka S. Centrality of G6PD in COVID-19: the biochemical rationale and clinical implications. Front Med (Lausanne). 2020; 7: 584112. doi: 10.3389/fmed.2020.584112.

  3. Monteiro WM, Val FF, Siqueira AM et al. G6PD deficiency in Latin America: systematic review on prevalence and variants. Mem Inst Oswaldo Cruz. 2014; 109 (5): 553-568. doi: 10.1590/0074-0276140123.

  4. Wu YH, Tseng CP, Cheng ML, Ho HY, Shih SR, Chiu DT. Glucose-6-phosphate dehydrogenase deficiency enhances human coronavirus 229E infection. J Infect Dis. 2008; 197 (6): 812-816. doi: 10.1086/528377.

  5. Ramos-Casals M, Brito-Zerón P, Mariette X. Systemic and organ-specific immune-related manifestations of COVID-19. Nat Rev Rheumatol 2021; 17 (6): 315-332. doi: 10.1038/s41584-021-00608-z.

  6. Vick DJ. Glucose-6-phosphate dehydrogenase deficiency and COVID-19 infection. Mayo Clinic Proc. 2020; 95: 1803-1804. doi: 10.1016/j.mayocp.2020.05.035.

  7. Al Ameer HH, AlKadhem SM, Busaleh F, AlKhwaitm S, Llaguno MBB. Multisystem inflammatory syndrome in children temporally related to COVID-19: a case report from Saudi Arabia. Cureus. 2020; 12 (9): e10589. doi: 10.7759/cureus.10589.

  8. Al-Aamri M, Al-Khars F, Alkhwaitem S, AlHassan A, Al Aithan A, Alkhalifa F et al. A Saudi G6PD Deficient Girl Died with Pediatric Multisystem Inflammatory Syndrome-COVID-19. MedRxiv. 2020. doi: 10.1101/2020.07.08.20137497

  9. Almoosa ZA, Al Ameer HH, AlKadhem SM, Busaleh F, AlMuhanna FA, Kattih O. Multisystem inflammatory syndrome in children, the real disease of COVID-19 in pediatrics - a multicenter case series from Al-Ahsa, Saudi Arabia. Cureus. 2020; 12 (10): e11064. doi: 10.7759/cureus.11064.



AFFILIATIONS

1 Departamento de Alergia e Inmunología. Hospital Pediátrico de Sinaloa. Culiacán, Sinaloa, México.

2 Departamento de Pediatría. Hospital Pediátrico de Sinaloa. Culiacán, Sinaloa, México.

3 Departamento de Cardiología. Hospital Pediátrico de Sinaloa. Culiacán, Sinaloa, México.



CORRESPONDENCE

Dr. Miguel García-Domínguez. E-mail: miguelgarcia.alergia@gmail.com




Received: 03/28/2022. Accepted: 04/28/2022.

Figure 1
Table 1

2020     |     www.medigraphic.com

Mi perfil

C?MO CITAR (Vancouver)

Alerg Asma Inmunol Pediatr. 2022;31