medigraphic.com
SPANISH

Cirugía de Columna

ISSN 2992-7749 (Electronic)
ISSN 2992-7897 (Print)
Órgano Oficial de difusión científica de la Asociación Mexicana de Cirujanos de Columna A. C. y de la Sociedad Iberolatinoamericana de Columna. SILACO.

Indizada en:

Scielo
  • Contents
  • View Archive
  • Information
    • General Information        
    • Directory
  • Publish
    • Instructions for authors        
    • Send manuscript
  • Políticas
    • Políticas éticas
    • Políticas de acceso abierto
    • Políticas de revisión de manuscritos
    • Políticas editoriales generales
  • medigraphic.com
    • Home
    • Journals index            
    • Register / Login
  • Mi perfil

2024, Number 2

<< Back Next >>

Cir Columna 2024; 2 (2)

Primary spinal mesenchymal chondrosarcoma. Case report and literature review

Villanueva MJU, Luna ÁG, Gijón MR, Castillo RC, Navarro AR
Full text How to cite this article 10.35366/115860

DOI

DOI: 10.35366/115860
URL: https://dx.doi.org/10.35366/115860

Language: Spanish
References: 20
Page: 112-119
PDF size: 583.70 Kb.


Key words:

mesenchymal chondrosarcoma, primary spinal tumors, chondrosarcoma, surgical treatment.

ABSTRACT

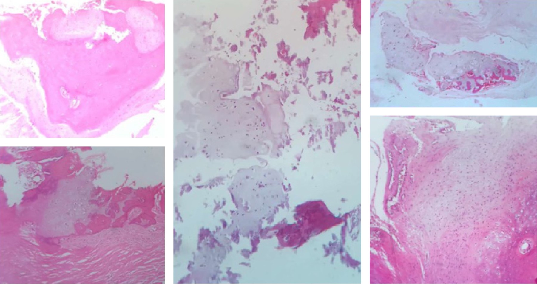
Introduction: mesenchymal chondrosarcoma (MSC) is a rare and aggressive subtype that represents only between 1 to 10% of primary chondrosarcomas, the majority of these tumors are believed to originate in the bone, 50% of reported cases have a extraosseous origin, including the brain and meninges. It is extremely rare to find MCS as a primary lesion of the bony elements of the spine; the thoracic vertebrae are most often affected. Histologically, it is believed to derive from cartilage-forming primitive mesenchymal tissue and is characterized by the presence of solid, highly cellular areas composed of round or slightly fusiform primitive mesenchymal cells with foci of cartilaginous differentiation. Spinal MCS can present with a wide variety of symptoms, including sensorimotor deficits, back pain, and radiculopathy. MRI is the preferred imaging modality for intraspinal tumors, but there is no pathognomonic description for MCS. The common differential diagnosis of intraspinal and extramedullary spinal masses with variable enhancement on magnetic resonance imaging (MRI) includes meningioma, nerve sheath tumor, and myxopapillary ependymoma, but MCS should also be considered. Radical surgery with complete tumor removal is considered the best therapy option for intraspinal MCS, obtaining wide surgical margins to achieve local eradication. Local radiotherapy and postoperative systemic chemotherapy can reduce local recurrence rates, and may reduce the risk of metastasis. The course of MCS can be prolonged, with a tendency toward late local recurrence and metastasis. Case presentation: we describe the case of a 12-year-old patient who presents spinal cord compression and paraplegia attributed to T9-T11 mesenchymal chondrosarcoma. The patient was treated with aggressive local resection based on laminectomies of T9, T10 and T11, T10 corpectomy and transpedicular instrumentation T7-T8, T8-T9, T9-T11, T11-T12 and adjuvant therapy. This case and the current literature are appropriately reviewed here. Conclusion: spinal mesenchymal chondrosarcomas require early diagnosis, wide and aggressive surgical resection, radiotherapy and adjuvant chemotherapy to achieve the best results.


REFERENCES

  1. Zibis AH, Shrader WM, Segal LS. Case report: mesenchymal chondrosarcoma of the lumbar spine in a child. Clin Orthop Relat Res [Internet]. 2010; 468: 2288-2294. Available in: http://dx.doi.org/10.1007/s11999-010-1297-5

  2. Dehneh Y, Aldabbas M, Elfarissi MA, Khoulali M, Oulali N, Moufid F. Spinal mesenchymal chondrosarcoma: A case report of a rare malignant tumor. Surg Neurol Int [Internet]. 2023; 14: 128. Available in: http://dx.doi.org/10.25259/sni_206_2023

  3. Lightenstein L, Bernstein D. Unusual benign and malignant chondroid tumors of bone. A survey of some mesenchymal cartilage tumors and malignant chondroblastic tumors, including a few multicentric ones, as well as many atypical benign chondroblastomas and chondromyxoid fibromas. Cancer. 1959; 12: 1142-1157. doi: 10.1002/1097-0142(195911/12)12:6<1142::aid-cncr2820120610>3.0.co;2-d.

  4. Frezza AM, Cesari M, Baumhoer D, Biau D, Bielack S, Campanacci DA, et al. Mesenchymal chondrosarcoma: prognostic factors and outcome in 113 patients. A European Musculoskeletal Oncology Society study. Eur J Cancer. 2015; 51: 374-381. doi: 10.1016/j.ejca.2014.11.007.

  5. Chen CW, Chen IH, Hu MH, Lee JC, Huang HY, Hong RL, et al. Primary intradural extramedullary spinal mesenchymal chondrosarcoma: case report and literature review. BMC Musculoskelet Disord [Internet]. 2019; 20: 408. Available in: http://dx.doi.org/10.1186/s12891-019-2799-2

  6. Saito R, Senbokuya N, Yagi T, Yoshioka H, Kanemaru K, Kinouchi H. Primary spinal intradural extramedullary mesenchymal chondrosarcoma. World Neurosurg [Internet]. 2021; 145: 376-380. Available in: https://doi.org/10.1016/j.wneu.2020.10.007

  7. Wang Y, Meng X, Liu W, Wang H, Xin T. Rare malignant primary spinal intradural extramedullary mesenchymal chondrosarcoma: a case report and literature review. Transl Cancer Res [Internet]. 2022; 11 (9): 3371-3378. Available in: http://dx.doi.org/10.21037/tcr-21-2703

  8. Theodorou DJ, Theodorou SJ, Xenakis T, Demou S, Agnantis N, Soucacos PN. Mesenchymal chondrosarcoma of soft tissues of the calf. Am J Orthop (Belle Mead NJ) [Internet]. 2001; 30: 329-332. Available in: https://pubmed.ncbi.nlm.nih.gov/11334455/

  9. Gopakumar S, Steele WJ, Muir M, Bhogani Z, Britz G. Intraspinal mesenchymal chondrosarcoma: An argument for aggressive local resection and adjuvant therapy based on review of the literature. Surg Neurol Int [Internet]. 2020; 11 (95): 95. Available in: http://dx.doi.org/10.25259/sni_130_2020

  10. Chen M, Lai Q. Primary intra- and extradural extramedullary mesenchymal chondrosarcoma with isolated punctate calcification: case report and literature review. BMC Neurol [Internet]. 2022; 22: 112. Available in: http://dx.doi.org/10.1186/s12883-022-02645-x

  11. Chen S, Wang Y, Su G, Chen B, Lin D. Primary intraspinal dumbbell-shaped mesenchymal chondrosarcoma with massive calcifications: a case report and review of the literature. World J Surg Oncol [Internet]. 2016; 14: 203. Available in: http://dx.doi.org/10.1186/s12957-016-0963-9

  12. Küpeli S, Varan A, Gedikoglu G, Büyükpamukcu M. Sacral mesenchymal chondrosarcoma in childhood: a case report and review of the literature. Pediatr Hematol Oncol [Internet]. 2010; 27: 564-573. Available in: http://dx.doi.org/10.3109/08880018.2010.503333

  13. Lee ST, Lui TN, Tsai MD. Primary intraspinal dura mesenchymal chondrosarcoma. Surg Neurol [Internet]. 1989; 31 (1): 54-57. Available in: https://doi.org/10.1016/0090-3019(89)90218-8

  14. Bae GS, Choi SW, Youm JY, Kim SH. Primary spinal dumbbell-shaped mesenchymal chondrosarcoma located intradurally and extradurally. J Korean Neurosurg Soc [Internet]. 2011; 50: 468. Available in: http://dx.doi.org/10.3340/jkns.2011.50.5.468

  15. Di Giannatale A, Colletti M, Russo I, Ferruzzi V, Dell' Anna VA, Cozza R, et al. Intraspinal mesenchymal chondrosarcoma: report of a pediatric case and literature review. Tumori [Internet]. 2017; 103: e66-e72. Available in: http://dx.doi.org/10.5301/tj.5000689

  16. Harwood AR, Krajbich JI, Fornasier VL. Mesenchymal chondrosarcoma: a report of 17 cases. Clin Orthop Relat Res. 1981; (158): 144-148.

  17. Huvos AG, Rosen G, Dabska M, Marcove RC. Mesenchymal chondrosarcoma a clinicopathologic analysis of 35 patients with emphasis on treatment. Cancer [Internet]. 1983; 51: 1230-1237. Available in: https://pubmed.ncbi.nlm.nih.gov/6825046/

  18. Miao R, Choy E, Raskin KA, Schwab JH, Nielsen GP, Deshpande V, et al. Prognostic factors in dedifferentiated chondrosarcoma: a retrospective analysis of a large series treated at a single institution. Sarcoma [Internet]. 2019; 2019: 9069272. Available in: http://dx.doi.org/10.1155/2019/9069272

  19. Bishop MW, Somerville JM, Bahrami A, Kaste SC, Interiano RB, Wu J, et al. Mesenchymal chondrosarcoma in children and young adults: a single institution retrospective review. Sarcoma. 2015; 2015: 608279. doi: 10.1155/2015/608279.

  20. De Amorim Bernstein K, Liebsch N, Chen YL, Niemierko A, Schwab JH, Raskin K, et al. Clinical outcomes for patients after surgery and radiation therapy for mesenchymal chondrosarcomas. J Surg Oncol [Internet]. 2016; 114: 982-986. Available in: http://dx.doi.org/10.1002/jso.24435




Figure 1
Figure 2
Figure 3
Figure 4
Figure 5
Figure 6

2020     |     www.medigraphic.com

Mi perfil

C?MO CITAR (Vancouver)

Cir Columna. 2024;2