medigraphic.com
SPANISH

Revista ADM Órgano Oficial de la Asociación Dental Mexicana

ISSN 0001-0944 (Print)
Órgano Oficial de la Asociación Dental Mexicana
  • Contents
  • View Archive
  • Information
    • General Information        
    • Directory
  • Publish
    • Instructions for authors        
    • Send manuscript
  • medigraphic.com
    • Home
    • Journals index            
    • Register / Login
  • Mi perfil

2024, Number 3

<< Back Next >>

Rev ADM 2024; 81 (3)

Extrapulmonary tuberculosis ''The great simulator''.

Sánchez SEI, Carrillo HJL
Full text How to cite this article 10.35366/116302

DOI

DOI: 10.35366/116302
URL: https://dx.doi.org/10.35366/116302

Language: Spanish
References: 15
Page: 182-185
PDF size: 209.88 Kb.


Key words:

miliary tuberculosis, central and intestinal nervous system, Mycobacterium tuberculosis.

ABSTRACT

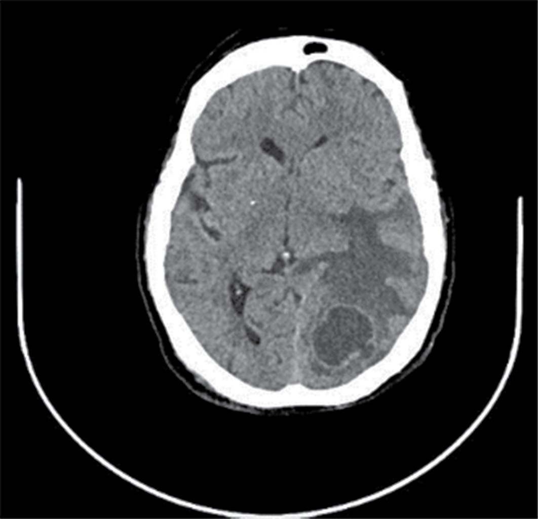
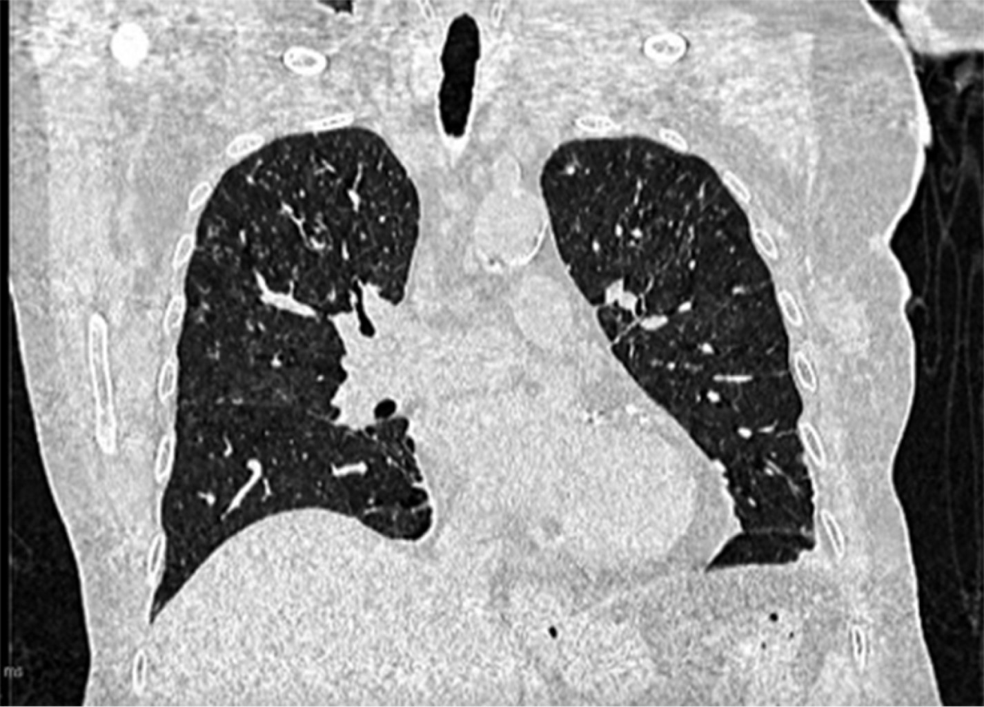
Tuberculosis is an infectious disease considered a public health problem since it is one of the main causes of morbidity and mortality worldwide; the most common clinical form is pulmonary tuberculosis; however, this disease can also affect extrapulmonary structures whose diagnosis is generally late because the symptoms and signs are nonspecific. This article presents a clinical case of extrapulmonary tuberculosis (miliary, central nervous system and intestinal) at the University Hospital of Puebla.


REFERENCES

  1. Guanina-Nieto HA, Benavides-Rovalino ER. Revisión de caso clínico de paciente con tuberculosis pulmonar. Pol Con. 2021; 6 (12): 644-653

  2. Sánchez Pérez HJ, Bernal D, Torres O, Colorado A. Tuberculosis en México en tiempos de COVID-19: algunas reflexiones. Enf Emerg. 2021; 20 (3): 160-165.

  3. Barba EJR. Tuberculosis. ¿Es la pandemia ignorada? Rev Mex Patol Clin Med Lab. 2020; 67 (2): 93-112.

  4. Magaña Revelo MA, Rivas Hernández IA, Morales Cruz JC, Alfaro Vásquez MA. Asociación entre tuberculosis y diabetes mellitus en el primer nivel de atención. Alerta. 2020; 3 (1): 13-17.

  5. Gaudiano J, Botta C, Graña D, Silveira G, Goñi M. Enfermedades autoinmunes sistémicas y tuberculosis: una mala asociación. Rev Urug Med Int. 2017; 2 (1): 32-38.

  6. Ramírez-Lapausa M, Menéndez-Saldaña A, Noguerado-Asensio A. Tuberculosis extrapulmonar, una revisión. Rev Esp Sanid Penit. 2015; 17 (1): 3-11.

  7. González SE, García AC, Ortiz PMG, Sánchez Pérez E. Tuberculosis del sistema nervioso central. Acta Neurol Colomb. 2021; 37 (1 Suppl 1): 81-89.

  8. Davis AG, Rohlwink UK, Proust A, Figaji AA, Wilkinson RJ. The pathogenesis of tuberculous meningitis. J Leukoc Biol. 2019; 105 (2): 267-280. doi: 10.1002/JLB.MR0318-102R.

  9. Valle Sagamuste J, Romero Solano A. Tuberculosis meníngea. Rev Med Costarric. 2019; 84: 34-39.

  10. Baldwin KJ, Avila JD. Diagnostic approach to chronic meningitis. Neurol Clin. 2018; 36 (4): 831-849. doi: 10.1016/j.ncl.2018.06.004.

  11. Calderón GAL, Peña RCI, Ríos SNI, Rodríguez RR. Tuberculosis cerebral y espinal en una paciente inmunocompetente sin daño pulmonar. Rev Esp Med Quir. 2012; 17 (3): 235-238.

  12. Ruiz-Cuesta P, Iglesias-Flores E, García-Sánchez V, González G. Tuberculosis intestinal y diagnóstico diferencial con enfermedad de Crohn. RADP Online [Internet]. 2012; 35.

  13. Merino Gallego E, Gallardo Sánchez F, Gallego Rojo FJ. Intestinal tuberculosis and Crohn's disease: the importance and difficulty of a differential diagnosis. Rev Esp Enferm Dig. 2018; 110 (10): 650-657.

  14. Molina Salas JR, Núñez Acosta JV, García Poveda LR, Quisintuña Espín TM, Estevez Angulo AR. Tuberculosis miliar, diagnóstico, tratamiento y pronostico. Dom Cien. 2023; 9 (3): 1037-1052.

  15. Barajas Blanco M, Noguera Tomás J, Moreiras Sánchez AD, Rodríguez Arias JP, del Castillo de Vera JL, Cebrián Carretero JL. Tuberculosis oral. Revisión de la literatura. A propósito de un caso. Rev Esp Cirug Oral y Maxilofac [Internet]. 2022; 44 (1): 49-52. Disponible en: http://scielo.isciii.es/scielo.php?script=sci_arttext&pid=S1130-05582022000100049&lng=es




Figure 1
Figure 2
Figure 3

2020     |     www.medigraphic.com

Mi perfil

C?MO CITAR (Vancouver)

Rev ADM. 2024;81