medigraphic.com
SPANISH

Latin American Journal of Oral and Maxillofacial Surgery

ISSN 2992-7757 (Electronic)
Órgano de difusión de la Asociación Latinoamericana de Cirugía y Traumatología Bucomaxilofacial (ALACIBU)
  • Contents
  • View Archive
  • Information
    • General Information        
    • Directory
  • Publish
    • Instructions for authors        
  • medigraphic.com
    • Home
    • Journals index            
    • Register / Login
  • Mi perfil

2024, Number 3

<< Back Next >>

Lat Am J Oral Maxillofac Surg 2024; 4 (3)

Intrusion of upper molars with orthodontic mini-implants

García RE, Blanco GMV
Full text How to cite this article 10.35366/118371

DOI

DOI: 10.35366/118371
URL: https://dx.doi.org/10.35366/118371

Language: Spanish
References: 15
Page: 107-112
PDF size: 336.97 Kb.


Key words:

intrusion, orthoimplants, overerupted molars.

ABSTRACT

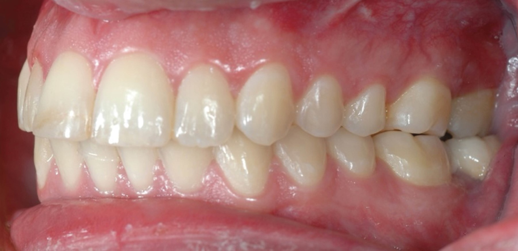
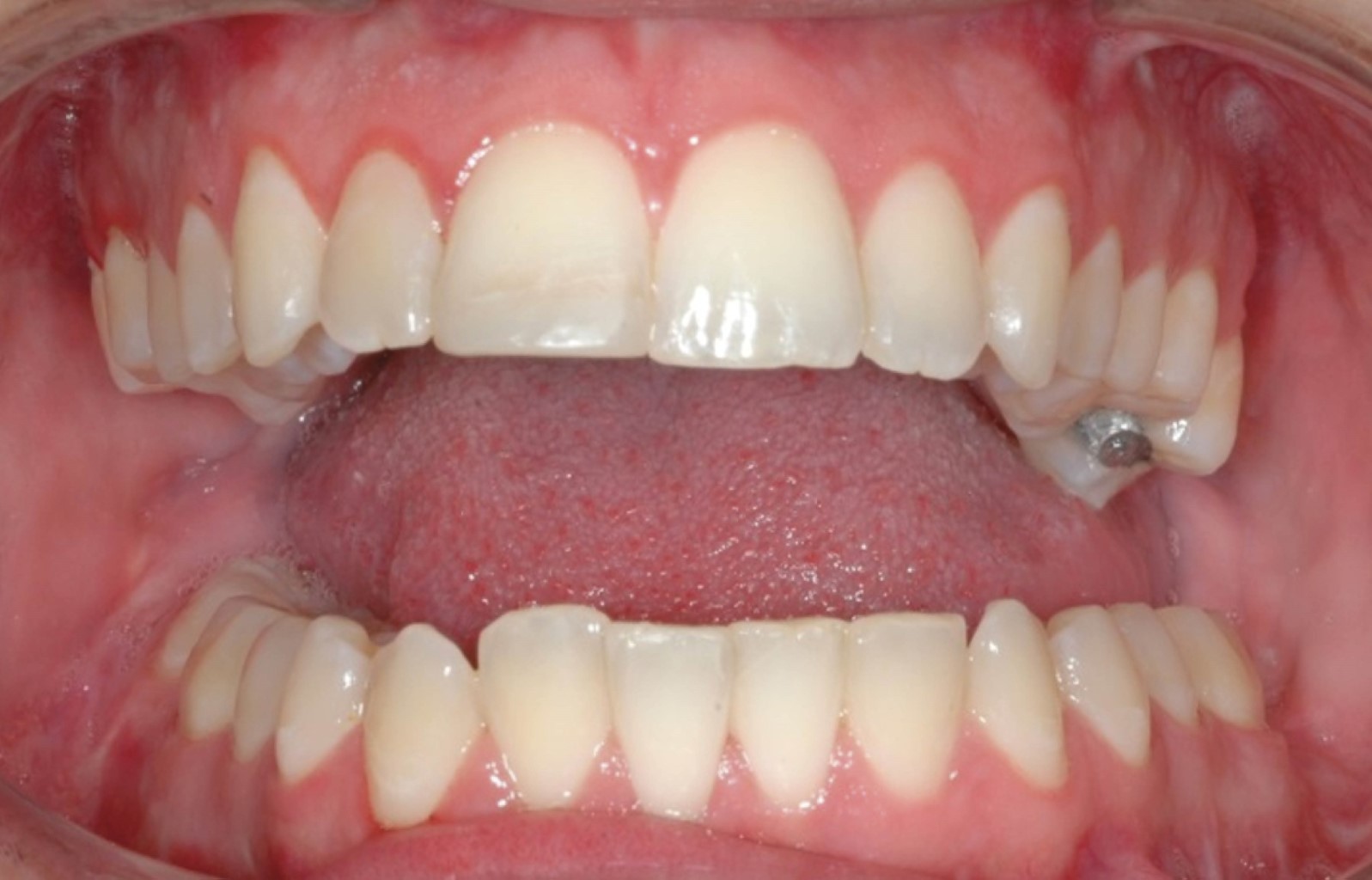
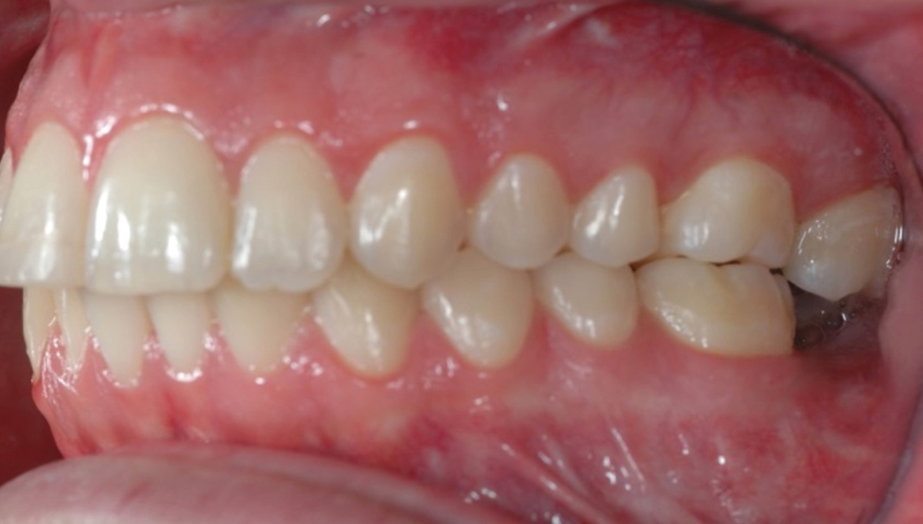
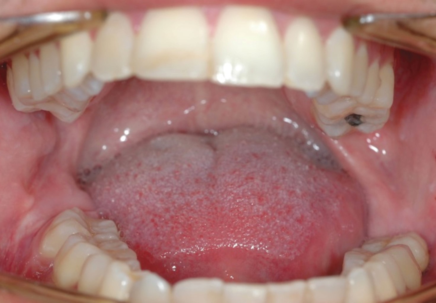
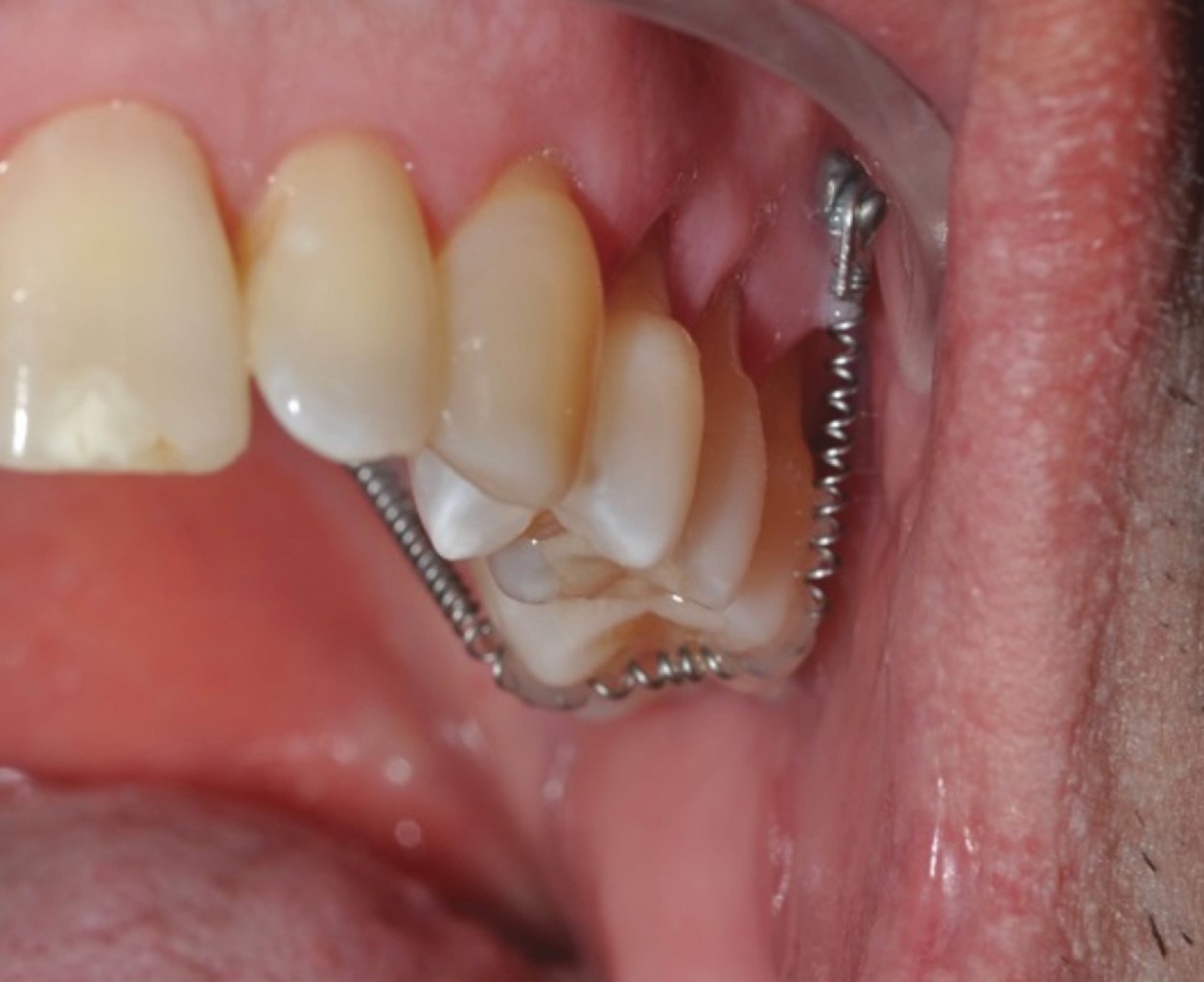
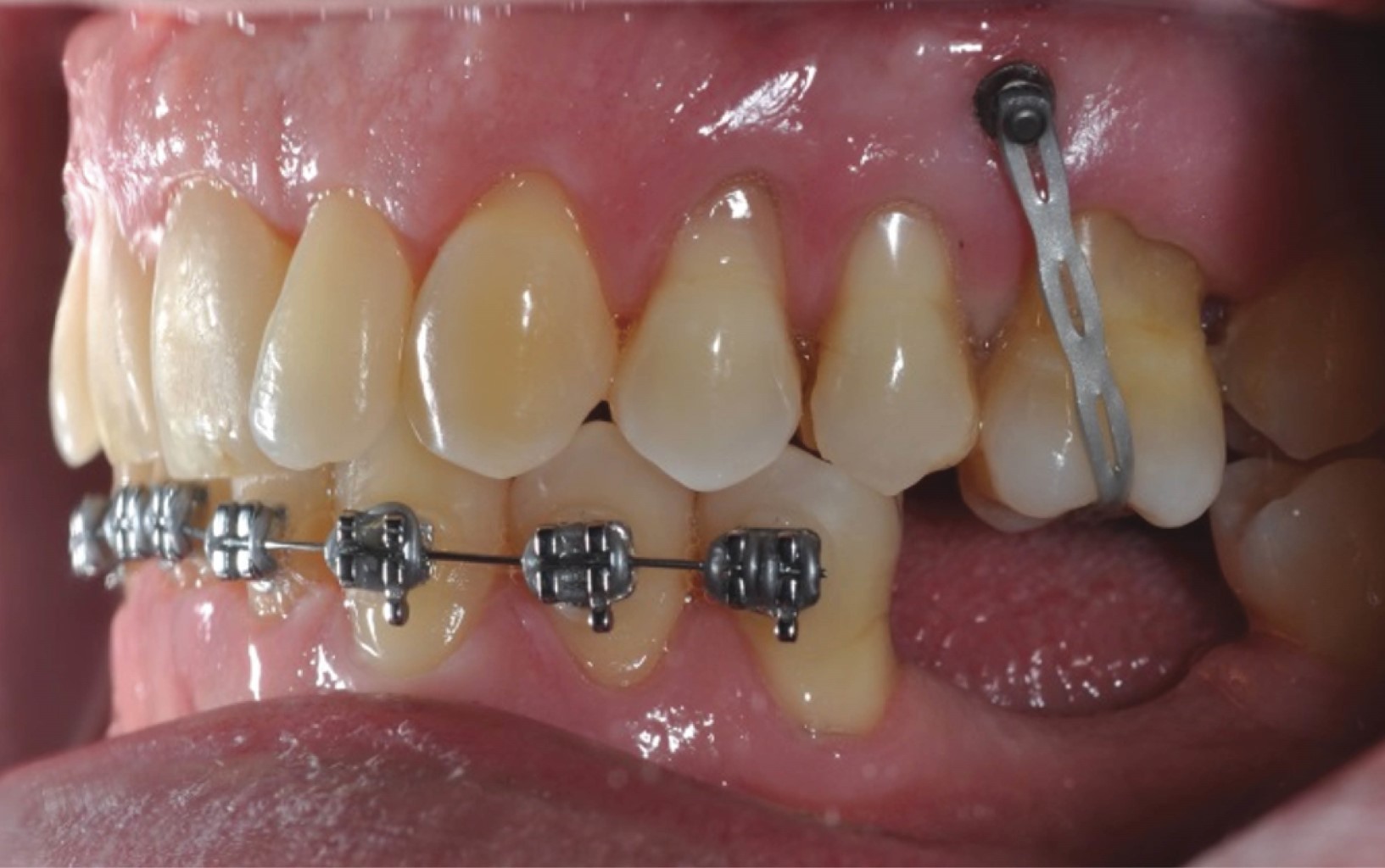
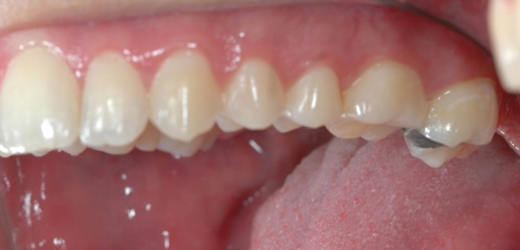
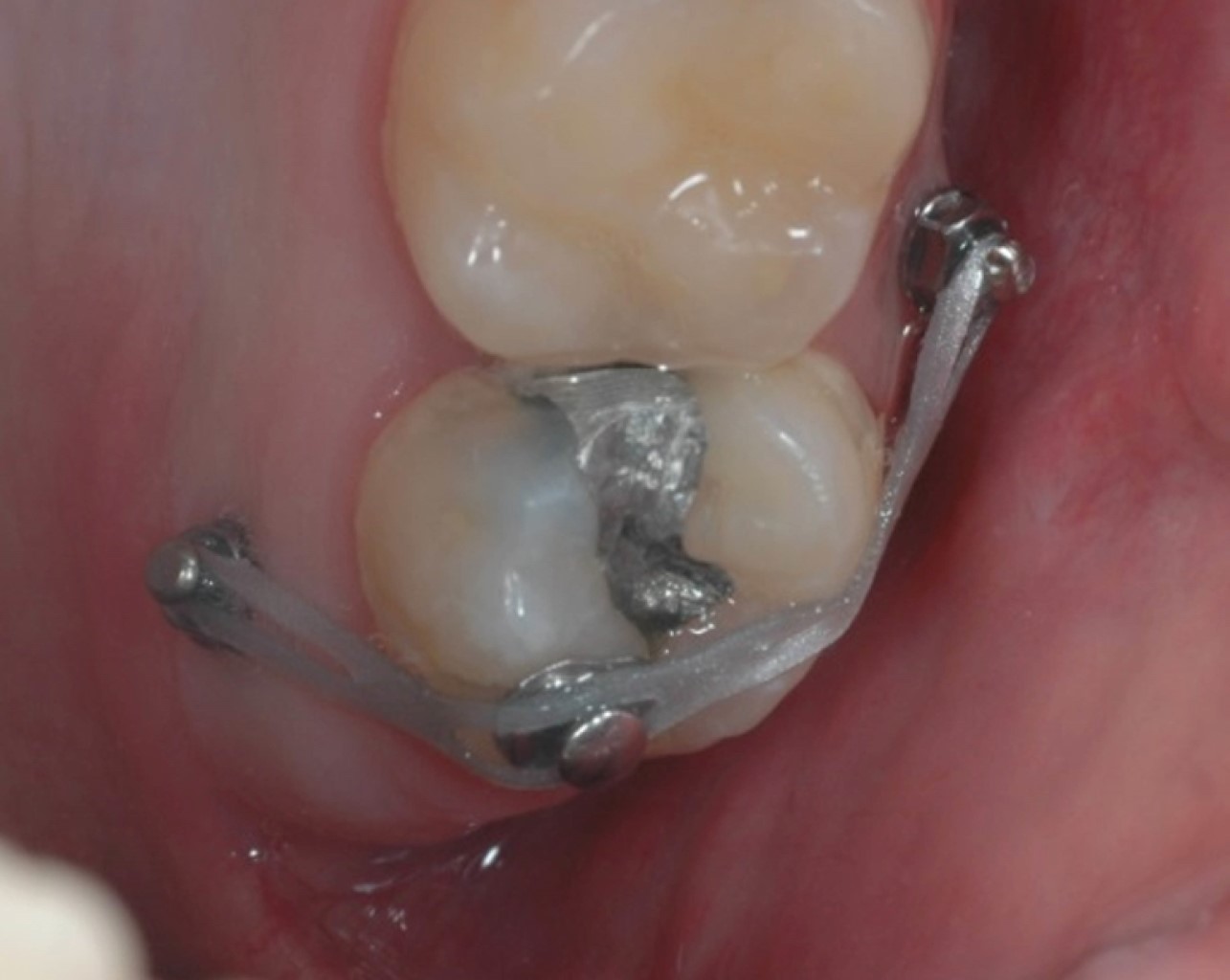
To achieve correct molar intrusion, a stable anchorage and continuous, light forces are required. For this reason, their intrusion with orthodontic mini-implants or orthoimplants is an accepted therapy. By providing good bone anchorage, it produces better stability and movement control. Using two orthoimplants together, one in the vestibular region and one in the lingual or palatal region of the tooth, allow a better torque management and force distribution, avoiding unwanted movements such as rotations and allowing a better distribution of the tension, causing efficient intrusive movements and a lower risk of root resorptions. The cases presented in this report show that molar intrusion with orthoimplants is an effective, easy to apply, economical and conservative treatment to correct invasions of the occlusal plane. A correct prosthetic rehabilitation of the space restored is vital to guarantee the long-term stability of the obtained results.


REFERENCES

  1. Colomé-Ruiz GE, Peñailillo-Palma EA, Carrillo-Ávila BA, Herrera-Atoche JR, Pérez-Traconis LB. Intrusión de un molar superior con mini-implantes ortodóncicos por motivos protésicos. Rev ADM. 2012; 69 (3): 131-134.

  2. Purkayastha A, Mohanty R, Panda S, Das U. Miniscrew implants for intrusion of supraerupted molar: a noninvasive approach for space regaining. Contemp Clin Dent. 2019; 10 (1): 158-160.

  3. Sugii MM, Barreto BCF, Francisco Vieira-Júnior W, Simone KRI, Bacchi A, Caldas RA. Extruded upper first molar intrusion: comparison between unilateral and bilateral miniscrew anchorage. Dental Press J Orthod. 2018; 23 (1): 63-70.

  4. Pérez-Benavides M, Villarreal-Abundis CA, Rodríguez-Pulido JI, Martínez-Sandova G, Garza-Enríquez M. Intrusión acelerada con miniimplantes y corticotomía para crear espacio protésico para implante. Int J Interdiscip Dent. 2023; 16 (1): 76-78.

  5. Benavides-Chaverri S, Cruz-López P, Chang-Valverde M. Microimplantes, una nueva opción en el tratamiento de Ortodoncia. Odontología Vital. 2016; (25): 63-75.

  6. Ricketts RM, Bench RW, Gugino CF, Hilgers JJ, Schulhof. Técnica Bioprogresiva de Ricketts. 1ra ed. Argentina: Editorial Médica Panamericana; 1988.

  7. Baty D, Storie D, Von Fraunhofer J. Synthetic elastomeric chains: a literature review. Am J Orthod Dentofacial Orthop. 1994; 105: 536-542.

  8. Park YC, Lee SY, Kim DH, Jee SH. Intrusion of posterior teeth using mini-screw implants. Am J Orthod Dentofacial Orthop. 2003; 123 (6): 690-694.

  9. Sivakumar I, Sivakumar A. Intrusion of an overerupted molar using orthodontic miniscrew implant: A preprosthodontic therapy. Contemp Clin Dent. 2014; 5 (3): 422-424.

  10. Abu Arqub S, Al-Moghrabi D, Iverson MG, Farha P, Alsalman HA, Uribe F. Assessment of the efficacy of various maxillary molar intrusion therapies: a systematic review. Prog Orthod. 2023; 24 (1): 37.

  11. Kravitz ND, Kusnoto B, Tsay TP, Hohlt WF. The use of temporary anchorage devices for molar intrusion. J Am Dent Assoc. 2007; 138 (1): 56-64.

  12. Yao CC, Wu CB, Wu HY, Kok SH, Chang HF, Chen YJ. Intrusion of the overerupted upper left first and second molars by mini-implants with partial-fixed orthodontic appliances: a case report. Angle Orthod. 2004; 74 (4): 550-557.

  13. Moga RA, Olteanu CD, Botez M, Buru SM. Assessment of the maximum amount of orthodontic force for dental pulp and apical neuro-vascular bundle in intact and reduced periodontium on bicuspids (Part II). Int J Environ Res Public Health. 2023; 20 (2): 1179.

  14. Abtahi M, Eslami N, Abadi RZ, Rezaei SP. The effect of intrusive orthodontic force on dental pulp of adults versus adolescents. Dent Res J (Isfahan). 2016; 13 (4): 367-372.

  15. van Steenbergen E, Burstone CJ, Prahl-Andersen B, Aartman IH. The influence of force magnitude on intrusion of the maxillary segment. Angle Orthod. 2005; 75 (5): 723-729.




Figure 1
Figure 2
Figure 3
Figure 4
Figure 5
Figure 6
Figure 7
Figure 8
Figure 9
Figure 10
Figure 11
Figure 12
Figure 13
Figure 14

2020     |     www.medigraphic.com

Mi perfil

C?MO CITAR (Vancouver)

Lat Am J Oral Maxillofac Surg. 2024;4