medigraphic.com
SPANISH

Revista Mexicana de Periodontología

ISSN 2007-4360 (Print)
Asociación Mexicana de Periodontología, Colegio de Periodoncistas A.C
  • Contents
  • View Archive
  • Information
    • General Information        
    • Directory
  • Publish
    • Instructions for authors        
  • medigraphic.com
    • Home
    • Journals index            
    • Register / Login
  • Mi perfil

2023, Number 1-3

<< Back Next >>

Rev Mex Periodontol 2023; 14 (1-3)

Necrotizing periodontitis: case report

Enríquez HJA, Gómez-Thomas D, Garza GJD
Full text How to cite this article 10.35366/118774

DOI

DOI: 10.35366/118774
URL: https://dx.doi.org/10.35366/118774

Language: Spanish
References: 20
Page: 24-27
PDF size: 566.58 Kb.


Key words:

necrotizing periodontal disease, necrotizing periodontitis.

ABSTRACT

Based on the analysis and evidence studied from the 1999 workshop, a new classification for periodontal diseases was developed. According to the IV document of the "workshop 2017", necrotizing periodontal diseases are classified as necrotizing gingivitis, necrotizing periodontitis and necrotizing stomatitis; three typical clinical characteristics are identified, papillary necrosis, bleeding and pain. Necrotizing periodontal diseases are associated with alterations in the host's immune response, as well as certain predisposing factors that influence its development such as opportunistic bacteria, stress, smoking, and nutrition. The aim of this work is to analyze the characteristics of necrotizing periodontal disease, its correct diagnosis and treatment plan.


REFERENCES

  1. Caton JG, Armitage G, Berglundh T, Chapple ILC, Jepsen S, Kornman KS, et al. A new classification scheme for periodontal and periimplant diseases and conditions - Introduction and key changes from the 1999 classification. J Clin Periodontol. 2018; 89 Suppl 1: S1-S8.

  2. Loesche WJ, Syed SA, Laughon BE, Stoll J. The bacteriology of acute necrotizing ulcerative gingivitis. J Periodontol. 1982; 53 (4): 223-230.

  3. Papapanou PN, Sanz M, Buduneli N, Dietrich T, Feres M, Fine DH, et al. Periodontitis: consensus report of workgroup 2 of the 2017 World Workshop on the Classification of Periodontal and Peri-implant Diseases and Conditions. J Periodontol. 2018; 89 (S1): S173-S182.

  4. Listgarten MA. Electron microscopic observations on the bacterial flora of acute necrotizing ulcerative gingivitis. J Periodontol. 1965; 36 (4): 328-339.

  5. Faddy MJ, Cullinan MP, Palmer JE, Westerman B, Seymour GJ. Ante-dependence modeling in a longitudinal study of periodontal disease: The effect of age, gender, and smoking status. J Periodontol. 2000; 71 (3): 454-459.

  6. Albandar JM, Susin C, Hughes FJ. Manifestations of systemic diseases and conditions that affect the periodontal attachment apparatus: Case definitions and diagnostic considerations. J Clin Periodontol. 2018; 45 (S20): S183-S203.

  7. Courtois GJ III, Cobb CM, Killoy WJ. Acute necrotizing ulcerative gingivitis: a transmission electron microscope study. J Periodontol. 1983; 54 (11): 671-679.

  8. Corbet EF. Diagnosis of acute periodontal lesions. Periodontol 2000. 2004; 34 (1): 204-216.

  9. Feller L, Lemmer J. Necrotizing gingivitis as it relates to HIV infection: a review of the literature. Perio. 2005; 2: 31-37.

  10. Jepsen S, Caton JG, Albandar JM, Bissada NF, Bouchard P, Cortellini P, et al. Periodontal manifestations of systemic diseases and developmental and acquired conditions: Consensus report of workgroup 3 of the 2017 World Workshop on the Classification of Periodontal and Peri?Implant Diseases and Conditions. J Periodontol. 2018; 89 (S1): S237-S248.

  11. Herrera D, Retamal-Valdes B, Alonso B, Feres M. Acute periodontal lesions (periodontal abscesses and necrotizing periodontal diseases) and endo-periodontal lesions. J Periodontol. 2018; 89 (S1): S85-S102.

  12. Cobb CM, Ferguson BL, Keselyak NT, Holt LA, MacNeill SR, Rapley JW. A TEM/SEM study of the microbial plaque overlying the necrotic gingival papillae of HIV-seropositive, necrotizing ulcerative periodontitis. J Periodontal Res. 2003; 38 (2): 147-155.

  13. Umeizudike KA, Savage KO, Ayanbadejo PO, Akanmu SA. Severe Presentation of necrotizing ulcerative periodontitis in a Nigerian HIV-positive patient: a case report. Med Princ Pract. 2011; 20 (4): 374-376.

  14. Barr CE, Robbins MR. Clinical and radiographic presentations of HIV-1 necrotizing ulcerative periodontitis. Spec Care Dentist. 1996; 16 (6): 237-241.

  15. Novak MJ. Necrotizing ulcerative periodontitis. Ann Periodontol. 1999; 4 (1): 74-77.

  16. Horning GM, Cohen ME. Necrotizing ulcerative gingivitis, periodontitis, and stomatitis: Clinical staging and predisposing factors. J Periodontol. 1995; 66 (11): 990-998.

  17. Bergstrom J. Tobacco smoking and chronic destructive periodontal disease. Odontology. 2004; 92 (1): 1-8.

  18. Skach M, Zabrodsky S, Mrklas L. A study of the effect of age and season on the incidence of ulcerative gingivitis. J Periodontal Res. 1970; 5 (3): 187-190.

  19. Gómez TD, Ruiz GA, Martínez RV. Enfermedad periodontal necrosante: reporte de dos casos. Rev Mex Periodontol. 2017; 8 (2-3): 65-70.

  20. Taiwo JO. Oral hygiene status and necrotizing ulcerative gingivitis in Nigerian children. J Periodontol. 1993; 64 (11): 1071-1074.




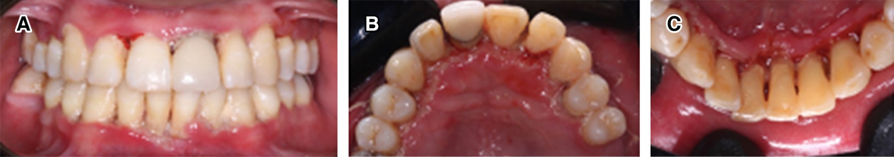
Figure 1
Figure 2
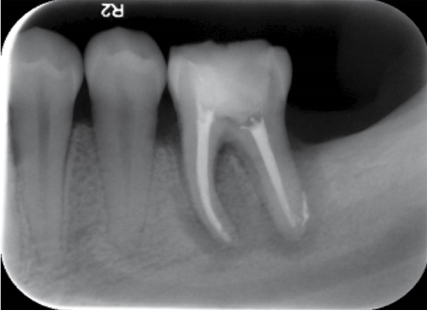
Figure 3
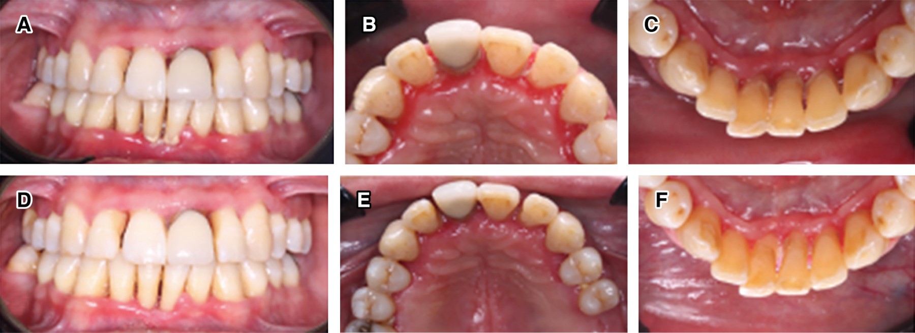
Figure 4
Figure 5

2020     |     www.medigraphic.com

Mi perfil

C?MO CITAR (Vancouver)

Rev Mex Periodontol. 2023;14