medigraphic.com
SPANISH

Acta Médica Grupo Ángeles

Órgano Oficial del Hospital Ángeles Health System
  • Contents
  • View Archive
  • Information
    • General Information        
    • Directory
  • Publish
    • Instructions for authors        
    • Manuscript submission
    • Policies
    • Names and affiliations of the Editorial Board
  • About us
    • Data sharing policy
    • Stated aims and scope
  • medigraphic.com
    • Home
    • Journals index            
    • Register / Login
  • Mi perfil

2025, Number 1

<< Back Next >>

Acta Med 2025; 23 (1)

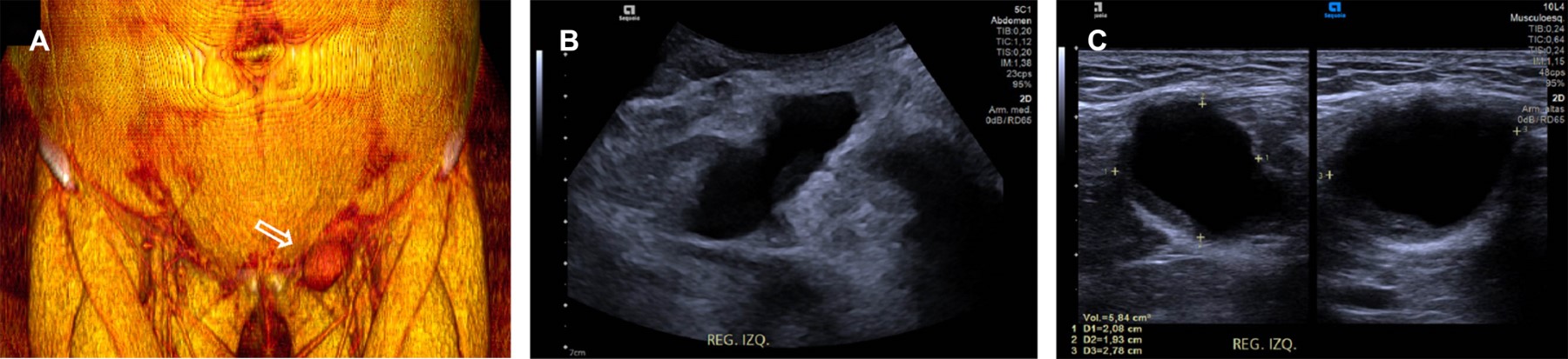
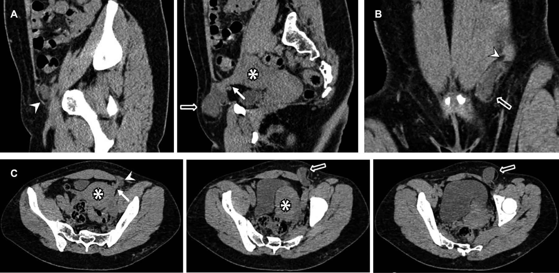
Round ligament endometriosis: a diagnostic challenge mimicking a hernia

Hernández JR, Austria FER, Flores MAG, Coronel MM, Aburto MD
Full text How to cite this article 10.35366/119351

DOI

DOI: 10.35366/119351
URL: https://dx.doi.org/10.35366/119351

Language: Spanish
References: 4
Page: 78-80
PDF size: 258.71 Kb.


Key words:

extrapelvic endometriosis, round ligament, endometriosis of the round ligament.

ABSTRACT

Although rare, endometriosis of the round ligament presents symptoms resembling a hernia, making it difficult to diagnose correctly. While the importance of radiological studies in diagnosis is recognized, the exact efficacy of each imaging method and its impact on treatment are not clearly defined. Cystectomy is preferred for its lower recurrence rate, but comparison with other therapeutic options requires further investigation. The clinical case illustrates successful diagnosis and treatment, but the variability in clinical presentation highlights the need for a deeper understanding of this uncommon condition. In conclusion, while some information about endometriosis of the round ligament is known, and its rarity and similarities to other conditions like a hernia underscore the need for careful evaluation for accurate diagnosis and optimal management.


REFERENCES

  1. Keckstein J, Hoopmann M. Endometriosis, ultrasound and #Enzian classification: the need for a common language for non-invasive diagnostics. Ultraschall Med. 2023; 44 (3): 233-239.

  2. Chamié LP, Ribeiro DMFR, Tiferes DA, Macedo Neto AC, Serafini PC. Atypical sites of deeply infiltrative endometriosis: clinical characteristics and imaging findings. Radiographics. 2018; 38 (1): 309-328.

  3. Sánchez-Gómez A, Garcia-Gallegos VM, La Torre MALD, Lopez-Zepeda MA. TVUS soft markers in clinically significant superficial endometriosis: an ultrasonographic, clinical, and laparoscopic correlation. J Mex Fed Radiol Imaging. 2023; 2 (4): 248-258.

  4. Simó Alari F, Caveriviere P, Gutierrez I, Gillon C. Laparoscopic excision of round ligament endometrioma. BMJ Case Rep. 2018; 2018: bcr2017223613.




Figure 1
Figure 2

2020     |     www.medigraphic.com

Mi perfil

C?MO CITAR (Vancouver)

Acta Med. 2025;23