medigraphic.com
SPANISH

Acta Médica Grupo Ángeles

Órgano Oficial del Hospital Ángeles Health System
  • Contents
  • View Archive
  • Information
    • General Information        
    • Directory
  • Publish
    • Instructions for authors        
    • Manuscript submission
    • Policies
    • Names and affiliations of the Editorial Board
  • About us
    • Data sharing policy
    • Stated aims and scope
  • medigraphic.com
    • Home
    • Journals index            
    • Register / Login
  • Mi perfil

2025, Number 1

<< Back Next >>

Acta Med 2025; 23 (1)

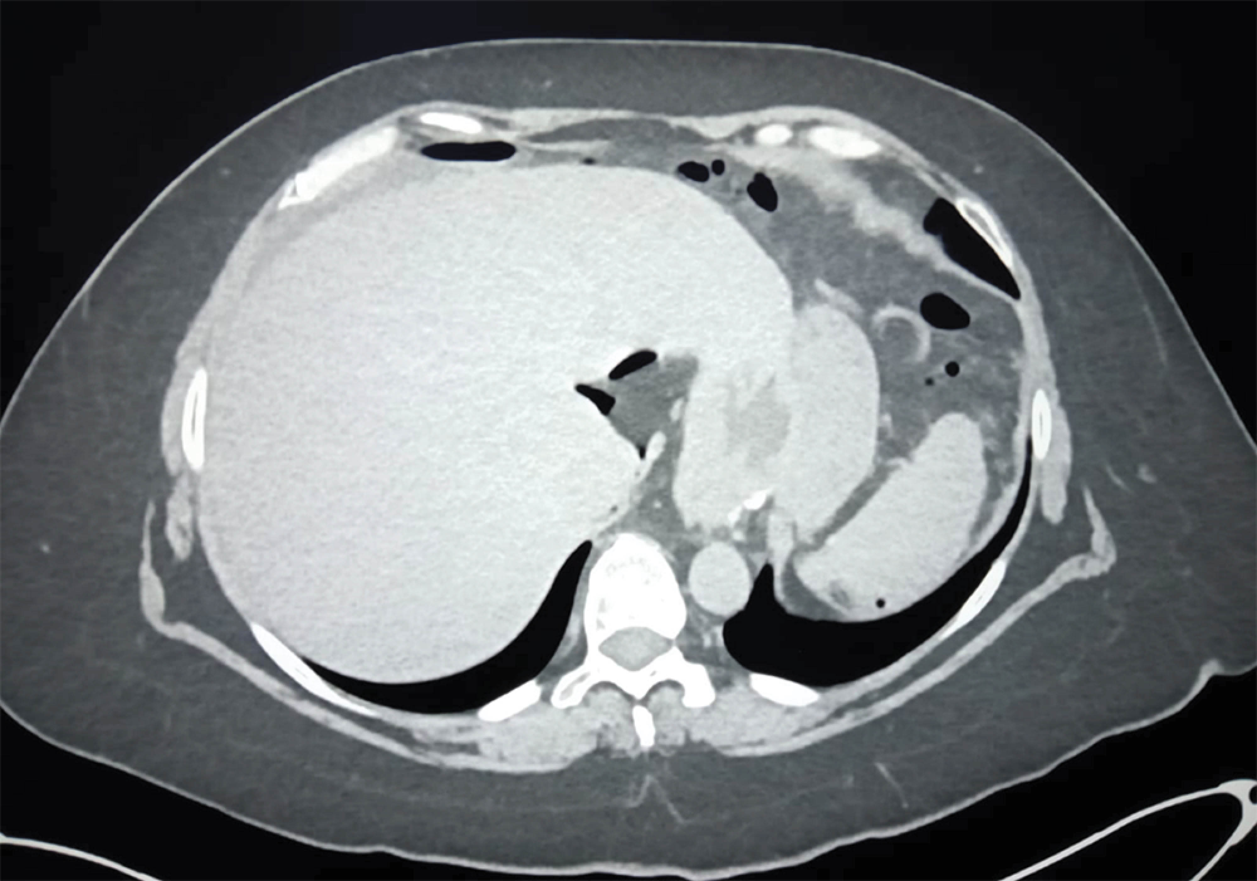
Management of late perforation of non-marginal jejunal ulcer in Roux-en-Y bypass patient

Alvarado DJ, Vences ADA, Medina MMÁ, Romano BLA, Maldonado VMA, Castillo GFA
Full text How to cite this article 10.35366/119359

DOI

DOI: 10.35366/119359
URL: https://dx.doi.org/10.35366/119359

Language: Spanish
References: 3
Page: 61-63
PDF size: 233.88 Kb.


Key words:

Roux-en-Y gastric bypass, marginal ulcer, jejunal perforation, gastrojejunoanastomosis.

ABSTRACT

Peptic ulcer formation, while common in the stomach and duodenum, are rarely seen in the jejunum. Margin ulcer formation is the most frequent cause of jejunal perforation in patients with Roux-en-Y gastric bypass (RYGB). Non marginal jejunal ulcer perforation is an extremely rare condition. We present a case of a non-marginal late jejunal ulcer perforation in a patient with RYGB.


REFERENCES

  1. Schulman AR, Thompson CC. (2017). Complications of bariatric surgery: what you can expect to see in your GI practice. Am J Gastroenterol. 2017; 112 (11): 1640-1655.

  2. Peterson RM, Kempenich JW. Management of Marginal Ulcers. In: The ASMBS Textbook of Bariatric Surgery. Springer, Cham; 2020. p. 225-234.

  3. Fairweather LD, Pham TD. Non-marginal jejunal ulcer perforation following Roux-en-Y gastric bypass. J Surg Case Rep. 2022; 2022 (3): rjac112.




Figure 1
Figure 2
Figure 3
Figure 4

2020     |     www.medigraphic.com

Mi perfil

C?MO CITAR (Vancouver)

Acta Med. 2025;23