medigraphic.com
SPANISH

Acta Médica Grupo Ángeles

Órgano Oficial del Hospital Ángeles Health System
  • Contents
  • View Archive
  • Information
    • General Information        
    • Directory
  • Publish
    • Instructions for authors        
    • Manuscript submission
    • Policies
    • Names and affiliations of the Editorial Board
  • About us
    • Data sharing policy
    • Stated aims and scope
  • medigraphic.com
    • Home
    • Journals index            
    • Register / Login
  • Mi perfil

2025, Number 2

<< Back Next >>

Acta Med 2025; 23 (2)

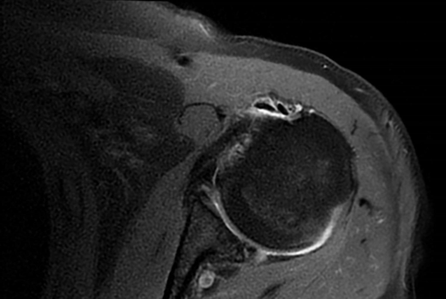
Duplicity of the long portion of the biceps, an anatomical variant poorly described

Martínez OC, Gómez PMG
Full text How to cite this article 10.35366/119487

DOI

DOI: 10.35366/119487
URL: https://dx.doi.org/10.35366/119487

Language: Spanish
References: 4
Page: 183-184
PDF size: 176.21 Kb.


Key words:

tendon, long, biceps, variant.

ABSTRACT

Articular pain is one of the most common reasons for a medical consultation because shoulder pain is frequent. Anatomical variants may cause confusion during diagnosis among radiologists and surgical treatment for trauma doctors. We will talk about a patient who comes for a magnetic resonance without contrast of the shoulder, for which we found many pathologies, such as the duplicity of the long head of the biceps.


REFERENCES

  1. Vicente-Pardo JM. Hombro doloroso e incapacidad temporal. El retorno al trabajo tras larga baja por hombro doloroso. Causalidad del trabajo en el hombro doloroso. Med Segur Trab. 2016; 62 (245): 337-359.

  2. Drake R, Vogl W, Mitchell A, Tibbitts R, Mitchell A. Upper extremity anatomy. In: Grey's Atlas of Anatomy. Second edition. Philadelphia, PA: Churchill Livingstone/Elsevier; 2015.

  3. Manaster BJ, May D, Disler D. Upper extremity and spine. Shoulder 1: Anatomy and fractures. In: Musculoskeletal imaging. Fourth edition. Philadelphia, PA: Mosby Elsevier; 2013. 65-68 p.

  4. González Jofré CA, Sanchez Ramos V, Sanchez Alepuz E. Duplicidad de la porción larga del bíceps sintomática. Reporte de caso. Rev Esp Artrosc Cir Articul. 2015; 22 (3): 141-144.




Figure 1
Figure 2

2020     |     www.medigraphic.com

Mi perfil

C?MO CITAR (Vancouver)

Acta Med. 2025;23