medigraphic.com
SPANISH

Acta Médica Grupo Ángeles

Órgano Oficial del Hospital Ángeles Health System
  • Contents
  • View Archive
  • Information
    • General Information        
    • Directory
  • Publish
    • Instructions for authors        
    • Manuscript submission
    • Policies
    • Names and affiliations of the Editorial Board
  • About us
    • Data sharing policy
    • Stated aims and scope
  • medigraphic.com
    • Home
    • Journals index            
    • Register / Login
  • Mi perfil

2025, Number 3

<< Back Next >>

Acta Med 2025; 23 (3)

Gorham-Stout disease. Case report

Magaña RJI, Domínguez CLG, Domínguez GLG
Full text How to cite this article 10.35366/119956

DOI

DOI: 10.35366/119956
URL: https://dx.doi.org/10.35366/119956

Language: Spanish
References: 5
Page: 275-277
PDF size: 218.16 Kb.


Key words:

Gorham-Stout disease, osteolysis, osteoclasts, bone resorption.

ABSTRACT

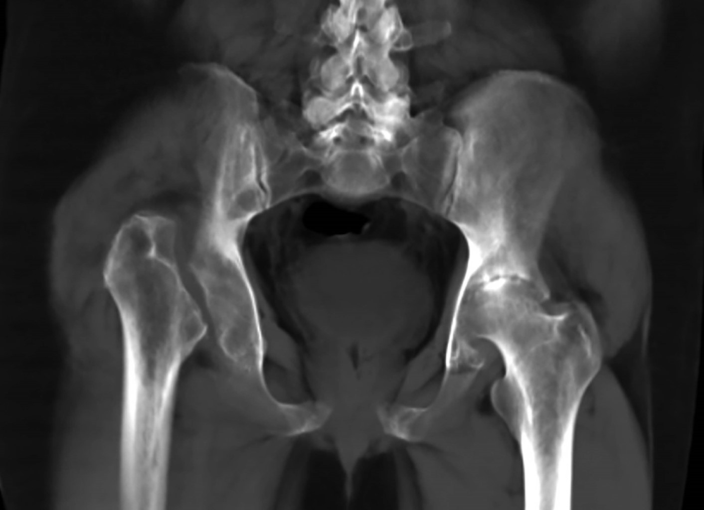
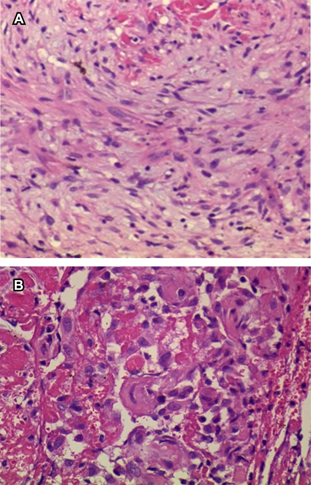
Introduction: Gorham-Stout disease is uncommon, characterized by the proliferation of endothelium-lined vessels and progressive bone destruction with spontaneous and progressive resorption. Case report: 39-year-old male with the evolution of pain in both coxofemoral joints, which increased over two years, presenting shortening of the right pelvic extremity, making ambulation impossible. The hip tomography showed disappearance of the right femoral head and neck and elevation of the greater trochanter due to dislocation, severe coxarthrosis was found in the left hip. Gorham-Stout syndrome was diagnosed and confirmed by biopsy.


REFERENCES

  1. Moreno RD, Borrego RA, Cabo RA. Síndrome de Gorham-Stout. Rev Ortop Traumatol. 2004; 48: 295-297.

  2. Dellinger MT, Garg N, Olsen BR. Viewpoints on vessels and vanishing bones in Gorham-Stout disease. Bone. 2014; 63: 47-52. doi: 10.1016/j.bone.2014.02.011.

  3. Campero UA, Córdova QP, Lecupona HN, Santillán AE. Síndrome de Gorham-Stout. Rev Mex Angiol. 2015; 43 (3): 116-120.

  4. De Keyser CE, Saltzherr MS, Bos EM, Zillikens MC. A large skull defect due to Gorham-Stout disease: case report and literature review on pathogenesis, diagnosis, and treatment. Front Endocrinol (Lausanne). 2020; 11: 37.

  5. Schneider KN, Masthoff M, Gosheger G, Klingebiel S, Schorn D, Röder J et al. Gorham-Stout disease: good results of bisphosphonate treatment in 6 of 7 patients. Acta Orthop. 2020; 91 (2): 209-214. doi: 10.1080/17453674.2019.1709716.




Figure 1
Figure 2
Figure 3

2020     |     www.medigraphic.com

Mi perfil

C?MO CITAR (Vancouver)

Acta Med. 2025;23