medigraphic.com
SPANISH

Acta Ortopédica Mexicana

ISSN 2992-8036 (Electronic)
ISSN 2306-4102 (Print)
Órgano Oficial del Colegio Mexicano de Ortopedia y Traumatología
  • Contents
  • View Archive
  • Information
    • General Information        
    • Directory
  • Publish
    • Instructions for authors        
  • medigraphic.com
    • Home
    • Journals index            
    • Register / Login
  • Mi perfil

2025, Number 4

<< Back Next >>

Acta Ortop Mex 2025; 39 (4)

Irreductable lateral subatalar fracture-dislocation by entrapment of the posterior tibial neurovascular bundle: case report

Guillén-Botaya E, Polo-Pérez I, Blasco-Molla C, Forriol-Brocal F, Silvestre-Muñoz A
Full text How to cite this article 10.35366/120457

DOI

DOI: 10.35366/120457
URL: https://dx.doi.org/10.35366/120457

Language: Spanish
References: 16
Page: 242-248
PDF size: 2579.71 Kb.


Key words:

lateral subtalar dislocation, irreducible, neuropathy, posterior tibial.

ABSTRACT

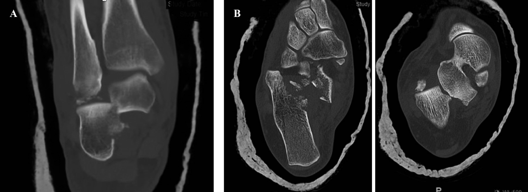
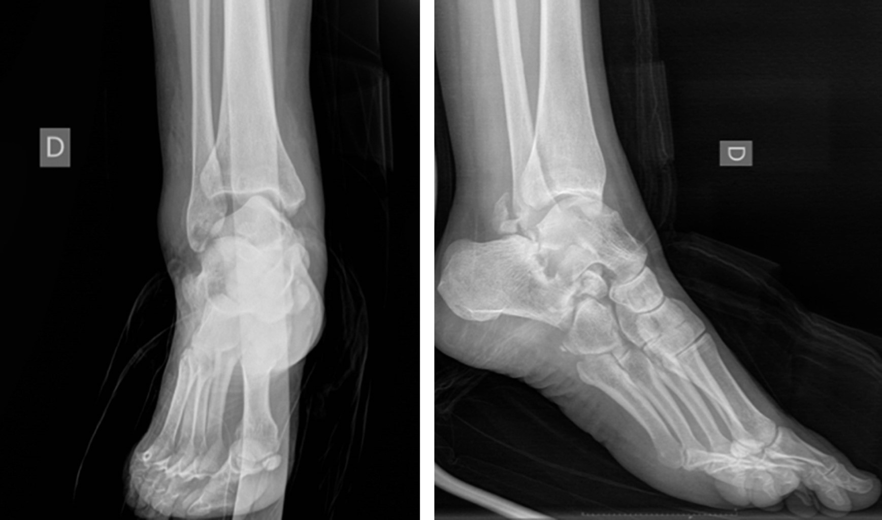
Introduction: subtalar dislocations, typical of high-energy trauma, are classified as medial, lateral, anterior or posterior depending on the deviation of the foot in relation to the talus. Lateral dislocation accounts for 17% of the total and has a worse prognosis. Immediate reduction is required to reduce the risk of sequelae, the incidence of which is around 90%. Objective: a case of lateral subtalar dislocation is presented; a review of the literature on its diagnosis, treatment and prognosis is carried out. Clinical case: a 46-year-old woman fell from a height of 3 meters, with severe deformity in the hindfoot. There was good distal vascular coloration, but no pulse or posterior tibial sensitivity could be identified. In addition, she had a medial sulcocutaneous fold under the head of the talus. Plain radiograph and CT revealed lateral subtalar dislocation, with fracture of the sustentaculum tali, and a "fleck sign" in the posterior region of the distal fibula. Suspecting soft tissue incarceration, a medial approach was performed, observing interposition of the posterior tibial neurovascular bundle. After joint reduction, the sustentaculum tali and the "fleck sign" were osteosynthesized. In addition, a complete section of the long lateral peroneal tendon was identified, which was tenodesed to the short peroneal tendon. Finally, an external fixator was placed. After eight weeks, the fixator was removed and weight bearing was authorized; after six months, mobility was complete and hypoesthesia persisted only in the plantar pad. Conclusions: lateral subtalar dislocation is an uncommon entity with a poor prognosis. Adequate interpretation through a thorough examination and pre-reduction CT of the bone and soft tissue lesions minimizes future sequelae.


REFERENCES

  1. Perugia D, Basile A, Massoni C, Gumina S, Rossi F, Ferretti A. Conservative treatment of subtalar dislocations. Int Orthop. 2002; 26(1): 56-60.

  2. Smith TF, Aguilar RG, Kurich S. Dislocations. In: Banks AS, Downey MS, Martin DE, Miller SJ. McGlamry's comprehensive textbook of foot and ankle surgery. Vol 2. Philadelphia: Lippincott Williams & Wilkins; 2001. p. 1725

  3. Lancaster S, Horowitz M, Alonso J. Subtalar dislocations: a prognosticating classification. Orthopedics. 1985; 8(10): 1234-40.

  4. Jlidi M, Bouaicha W, Gharbi MH, Mallek K, Jaziri S, Sbaihi S, et al. Unusual case of lateral subtalar joint dislocation associated with calcaneal fracture and lateral malleolus fracture. Trauma Case Rep. 2023; 47: 100897.

  5. Merchan EC. Subtalar dislocations: long-term follow-up of 39 cases. Injury. 1992; 23(2): 97-100.

  6. Lugani G, Rigoni M, Puddu L, Santandrea A, Perusi F, Mercurio D, et al. Subtalar dislocation: a narrative review. Musculoskelet Surg. 2022; 106(4): 337-44.

  7. Acebrón A, Blasco C, Silvestre A. Fractura luxación de calcáneo. Presentación de un caso y revisión de la literatura. Rev Pie Tobillo. 2018; 32(2): 109-16.

  8. Bibbo C, Lin SS, Abidi N, Berberian W, Grossman M, Gebauer G, et al. Missed and associated injuries after subtalar dislocation: the role of CT. Foot Ankle Int. 2001; 22(4): 324-8.

  9. Jungbluth P, Wild M, Hakimi M, Gehrmann S, Djurisic M, Windolf J, et al. Isolated subtalar dislocation. J Bone Joint Surg Am. 2010; 92(4): 890-4.

  10. Bernáldez P, Navarro S, Prieto A, Carrasco J, Fernández G, Calero AL. Tratamiento y complicaciones de las fracturas y luxaciones de astrágalo. Rev Soc Andaluza Traumatol Ortop. 2007; 24(1-2): 32-47.

  11. Checa A, Monteagudo M, Chozas A, Rodea MJ. Una imagen poco frecuente: luxación medial abierta de la articulación subastragalina. Rev Pie Tobillo. 2005; 19(1): 45-9.

  12. Bibbo C, Anderson RB, Davis WH. Injury characteristics and the clinical outcome of subtalar dislocations: a clinical and radiographic analysis of 25 cases. Foot Ankle Int. 2003; 24(2): 158-63.

  13. Prada-Cañizares A, Auñón-Martín I, Vilá Y Rico J, Pretell-Mazzini J. Subtalar dislocation: management and prognosis for an uncommon orthopaedic condition. Int Orthop. 2016; 40(5): 999-1007.

  14. Gómez Alcaraz J, Ajuria Fernández E, García López JM, Capel Agúndez A, Sánchez Morata E, Vilá Y Rico J. Luxaciones periastragalinas: análisis de una serie de casos. Nuestro algoritmo de tratamiento urgente. Rev Esp Cir Ortop Traumatol. 2024; 68(2): 142-50.

  15. Mallik AR, Chase MD, Lee PC, Whitelaw GP. Calcaneal fracture-dislocation with entrapment of the medial neurovascular bundle: a case report. Foot Ankle. 1993; 14(7): 411-3.

  16. Nepple JJ, Putnam RM, Gardner MJ, Bartlett CS, Johnson JE. Calcaneal fracture-dislocation with fracture of the sustentaculum and lateral column: a unique injury pattern. Foot Ankle Int. 2013; 34(2): 290-4.




Figure 1
Figure 2
Figure 3
Figure 4
Figure 5
Figure 6
Figure 7
Figure 8
Figure 9
Figure 10
Figure 11

2020     |     www.medigraphic.com

Mi perfil

C?MO CITAR (Vancouver)

Acta Ortop Mex. 2025 Jul-Ago;39