medigraphic.com
SPANISH

Acta Médica Grupo Ángeles

Órgano Oficial del Hospital Ángeles Health System
  • Contents
  • View Archive
  • Information
    • General Information        
    • Directory
  • Publish
    • Instructions for authors        
    • Manuscript submission
    • Policies
    • Names and affiliations of the Editorial Board
  • About us
    • Data sharing policy
    • Stated aims and scope
  • medigraphic.com
    • Home
    • Journals index            
    • Register / Login
  • Mi perfil

2025, Number 4

<< Back Next >>

Acta Med 2025; 23 (4)

Intestinal obstruction secondary to broad ligament internal hernia. Case report

Aceves QCA, Bezerra IARC, León MG, Castillo GJJ
Full text How to cite this article 10.35366/120527

DOI

DOI: 10.35366/120527
URL: https://dx.doi.org/10.35366/120527

Language: Spanish
References: 5
Page: 370-372
PDF size: 238.00 Kb.


Key words:

intestinal obstruction, internal hernia, broad ligament hernia, laparoscopy, acute abdomen.

ABSTRACT

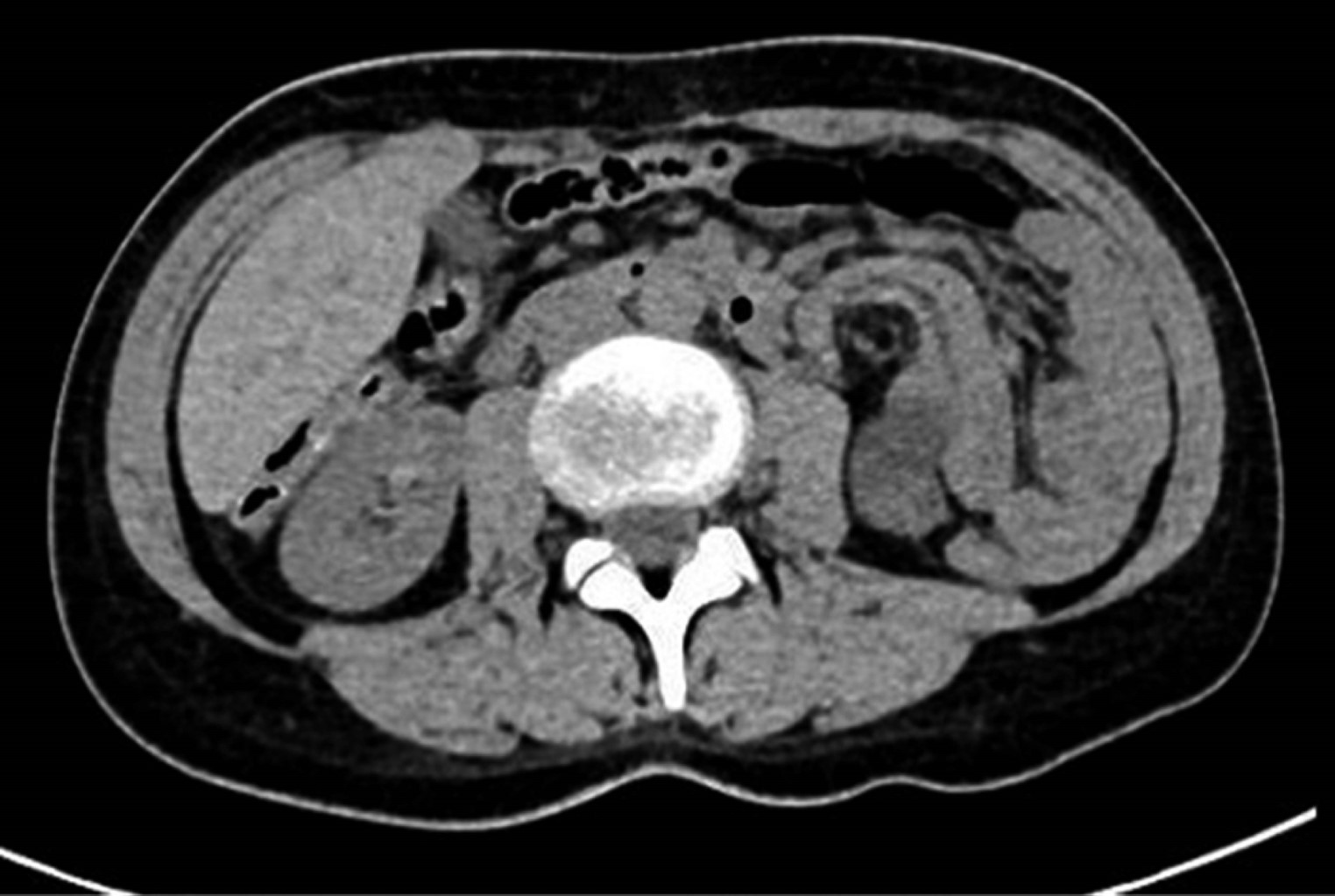
Broad ligament hernias are a rare cause of internal hernia. They can be congenital or acquired, secondary to rupture of a Müller cyst, previous surgeries, pregnancy, birth-related trauma, or pelvic inflammatory disease. We present a 38-year-old female with colicky abdominal pain of four hours of evolution, predominantly in the left flank; the tomography showed hydro-aerial levels in jejunal loops and swirling of the mesentery in the left flank. A laparoscopy was performed, finding an internal hernia with a defect in the left broad ligament, with the content of jejunal loops; the defect was reduced and repaired without complications. Of the intestinal occlusions, 1% are due to internal hernia, and only 4% are of the broad ligament. Tomography is the study of choice, finding a transition zone in the pelvis, dilatation of bowel loops lateral to the uterus, or increased distance between the uterus and one of the ovaries. Laparoscopy is ideal for confirming the diagnosis and for management. These hernias are a rare type of internal hernias and should be suspected, especially in cases with a history of surgery, obstetric trauma, or pelvic inflammatory disease.


REFERENCES

  1. Rohatgi Y, Harvitkar RU, Raut V, Joshi A. Broad ligament hernia: Two contrasting ways to a common goal - Two case reports with review of literature. Int J Surg Case Rep. 2021; 85: 106198.

  2. Rohatgi Y, Joshi A. Broad ligament hernia: rare cause of intestinal obstruction—laparoscopic management. Indian J Surg. 2021; 83 (4): 1020-1022.

  3. Zemour J, Coueffe X, Fagot H. Herniation of the broad ligament… And the other side? Int J Surg Case Rep. 2019; 65: 354-357.

  4. Harvitkar RU, Shelke B, Joshi A. Broad ligament hernia as a rare cause of acute small bowel obstruction: A wolf in sheep's clothing–A case report with review of the literature. Indian J Case Rep. 2020; 6 (1): 45-48.

  5. Kelahan L, Menias CO, Chow L. A review of internal hernias related to congenital peritoneal fossae and apertures. Abdom Radiol (NY). 2021; 46 (5): 1825-1836.




Figure 1
Figure 2
Figure 3

2020     |     www.medigraphic.com

Mi perfil

C?MO CITAR (Vancouver)

Acta Med. 2025;23