medigraphic.com
SPANISH

Acta Médica Grupo Ángeles

Órgano Oficial del Hospital Ángeles Health System
  • Contents
  • View Archive
  • Information
    • General Information        
    • Directory
  • Publish
    • Instructions for authors        
    • Manuscript submission
    • Policies
    • Names and affiliations of the Editorial Board
  • About us
    • Data sharing policy
    • Stated aims and scope
  • medigraphic.com
    • Home
    • Journals index            
    • Register / Login
  • Mi perfil

2025, Number 4

<< Back Next >>

Acta Med 2025; 23 (4)

Multifragmentary proximal humerus fracture, the importance of MRI assessment

Jaramillo AF, Rebolledo CJA, Enríquez MEA, Martínez OC, González RCN, Gómez PMG
Full text How to cite this article 10.35366/120528

DOI

DOI: 10.35366/120528
URL: https://dx.doi.org/10.35366/120528

Language: Spanish
References: 5
Page: 389-391
PDF size: 197.69 Kb.


Key words:

multifragmentary proximal humerus fracture, muscle-tendon-bone unit, magnetic resonance imaging.

ABSTRACT

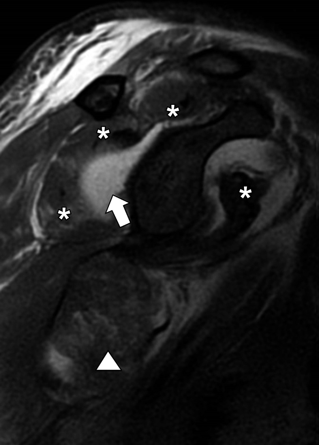
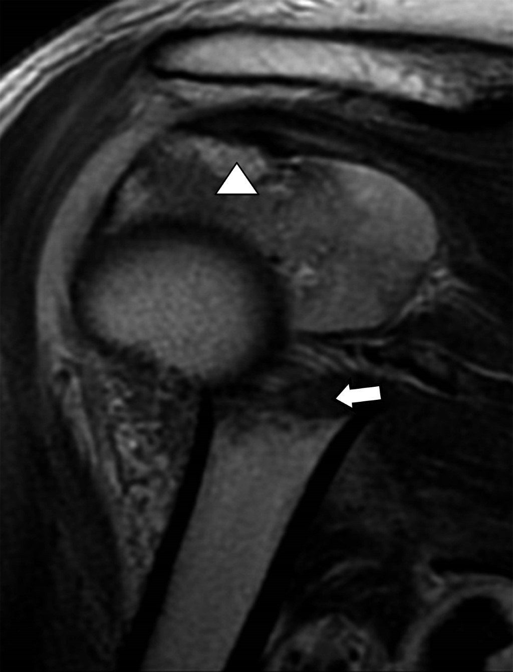
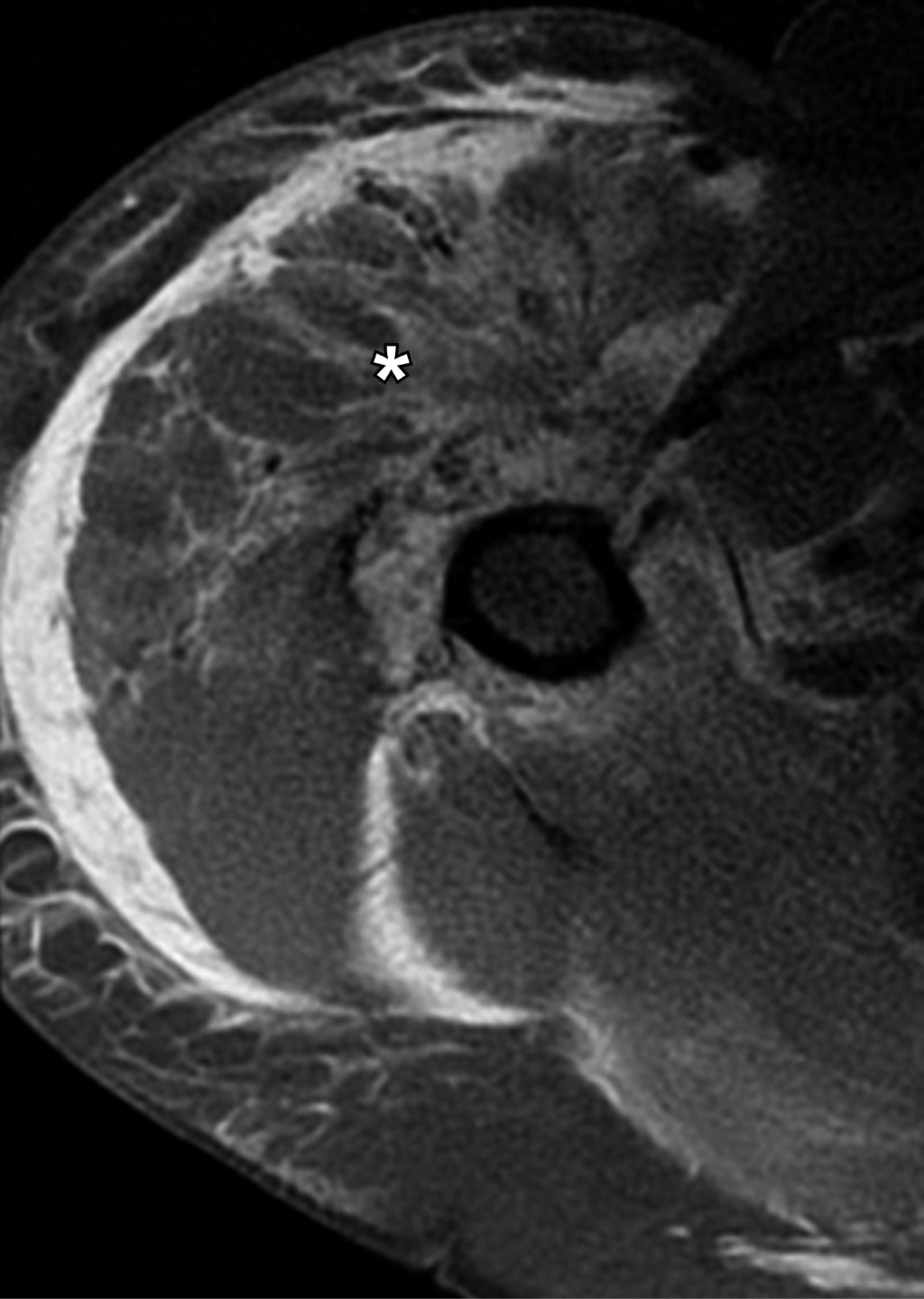
Proximal humerus fractures represent 45 to 50% of humeral fractures, and the main risk factors are falls, age, osteoporosis, and high-impact sports. The initial diagnostic method for assessing bone structures is radiography, which can be complemented with a tomographic study to assess the fracture line and associated characteristics. In multi-fragmentary fractures with complex lines, the trend of using magnetic resonance imaging is on the rise, as it allows the evaluation of myotendinous and ligamentous structures, which are limitedly evaluated in studies based on ionizing radiation.


REFERENCES

  1. Sandstrom CK, Kennedy SA, Gross JA. Acute shoulder trauma: what the surgeon wants to know. Radiographics. 2015; 35 (2): 475-492.

  2. Pitcher A, Langhammer C, Feeley BT. Utility of MRI in the evaluation of acute greater tuberosity proximal humeral fractures. Orthop J Sports Med. 2019; 7 (6): 232596711985147.

  3. Goyal S, Ambade R, Singh R, Lohiya A, Patel H, Patel SK et al. A comprehensive review of proximal humerus fractures: from epidemiology to treatment strategies. Cureus. 2024; 16 (4): e57691.

  4. Flores DV, Gómez CM, Estrada-Castrillón M, Smitaman E, Pathria MN. MR imaging of muscle trauma: anatomy, biomechanics, pathophysiology, and imaging appearance. Radiographics. 2018; 38 (1): 124-148

  5. Voigt C, Ewig M, Vosshenrich R, Lill H. Value of MRI in preoperative diagnostics of proximal humeral fractures compared to CT and conventional radiography. Unfallchirurg. 2010; 113 (5): 378-385.




Figure 1
Figure 2
Figure 3
Figure 4

2020     |     www.medigraphic.com

Mi perfil

C?MO CITAR (Vancouver)

Acta Med. 2025;23