medigraphic.com
SPANISH

Revista Mexicana de Periodontología

ISSN 2007-4360 (Print)
Asociación Mexicana de Periodontología, Colegio de Periodoncistas A.C
  • Contents
  • View Archive
  • Information
    • General Information        
    • Directory
  • Publish
    • Instructions for authors        
  • medigraphic.com
    • Home
    • Journals index            
    • Register / Login
  • Mi perfil

2024, Number 1-3

<< Back

Rev Mex Periodontol 2024; 15 (1-3)

Surgical approach for supernumerary tooth using digital workflow: case report

Barrera CAV, Soberon BDA, Ocampo AF, De LVFJ
Full text How to cite this article 10.35366/121229

DOI

DOI: 10.35366/121229
URL: https://dx.doi.org/10.35366/121229

Language: Spanish
References: 18
Page: 42-47
PDF size: 381.85 Kb.


Key words:

supernumerary tooth, computer-assisted surgery, digital workflow, surgical guide, periodontics.

ABSTRACT

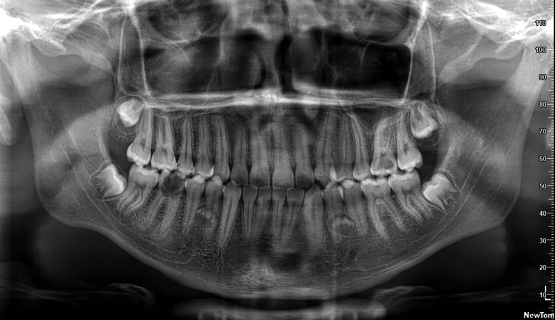
Supernumerary teeth are additional dental organs that exceed the normal number. They can present as single or multiple, unilateral or bilateral, and sometimes may be located anywhere in the dental arch, with a mandibular preference. They have the potential to cause problems with the eruption and alignment of normal dentition, which is why their treatment has often been a subject of debate. This case report describes the surgical approach of a 17-year-old male patient with dental germs present in the lower arch, located bilaterally between the premolars. The treatment plan consists of the extraction of the supernumerary tooth in quadrant 3, using various digital tools to design a surgical guide. The objective of this case is to present a surgical protocol for the extraction of a supernumerary tooth using a digital workflow.


REFERENCES

  1. Rajab LD, Hamdan MA. Supernumerary teeth: review of the literature and a survey of 152 cases. Int J Pediatr Dent. 2002; 12 (4): 244-254. doi: 10.1046/j.1365-263x.2002.00366.x.

  2. Scheiner MA, Sampson WJ. Supernumerary teeth: a review of the literature and four case reports. Aust Dent J. 1997; 42 (3): 160-165. doi: 10.1111/j.1834-7819.1997.tb00114.x.

  3. Parolia A, Kundabala M, Dahal M, Mohan M, Thomas MS. Management of supernumerary teeth. J Conserv Dent. 2011; 14 (3): 221-224. doi: 10.4103/0972-0707.85791.

  4. Smith JD. Hyperdontia: report of case. J Am Dent Assoc. 1969; 79 (5): 1191-1192. doi: 10.14219/jada.archive.1969.0068.

  5. Primosch RE. Anterior supernumerary teeth--assessment and surgical intervention in children. Pediatric dentistry 1981; 3 (2): 204-215.

  6. Brook AH. A unifying aetiological explanation for anomalies of human tooth number and size. Arch Oral Biol. 1984; 29 (5): 373-378. doi: 10.1016/0003-9969(84)90163-8.

  7. Amarlal D, Muthu MS. Supernumerary teeth: review of literature and decision support system. Indian J Dent Res. 2013; 24 (1): 117-122. doi: 10.4103/0970-9290.114911.

  8. Shah A, Gill DS, Tredwin C, Naini FB. Diagnosis and management of supernumerary teeth. Dent Update. 2008; 35 (8): 510-512, 514-516, 519-520. doi: 10.12968/denu.2008.35.8.510.

  9. Flujo de trabajo digital en rehabilitaciones implanto-soportadas. SEPA. Sociedad Española de Periodoncia y Osteointegración; 2024. Disponible en: https://sepa.es/noticias/ponte-al-dia-en-el-flujo-de-trabajo-digital-en-rehabilitaciones-implanto-soportadas/

  10. Lanis A, Álvarez-del Canto O. The combination of digital surface scanners and cone beam computed tomography technology for guided implant surgery using 3Shape implant studio software: a case history report. Int J Prosthodont. 2015; 28 (2): 169-178. doi: 10.11607/ijp.4148.

  11. Henprasert P, Dawson DV, El-Kerdani T, Song X, Couso-Queiruga E, Holloway JA. Comparison of the accuracy of implant position using surgical guides fabricated by additive and subtractive techniques. J Prosthodont. 2020; 29 (6): 534-541. doi: 10.1111/jopr.13161.

  12. Revilla-León M, Ozcan M. Additive manufacturing technologies used for processing polymers: current status and potential application in prosthetic dentistry. J Prosthodont. 2019; 28 (2): 146-158. doi: 10.1111/jopr.12801.

  13. Goracci C, Franchi L, Vichi AFM. Accuracy, reliability, and efficiency of intraoral scanners for full-arch impressions: A systematic review of the clinical evidence. Eur J Orthod. 2016; 38422-428. 422-8. doi: 10.1093/ejo/cjv077.

  14. Pozzi A, Tallarico M, Marchetti M, Scarfò B, Esposito M. Computer-guided versus free-hand placement of immediately loaded dental implants: 1-year post-loading results of a multicentre randomised controlled trial. Eur J Oral Implantol. 2014; 7 (3): 229-242.

  15. Tatakis DN, Chien HH, Parashis AO. Guided implant surgery risks and their prevention. Periodontol 2000. 2019; 81 (1): 194-208. doi: 10.1111/prd.12292.

  16. Schneider D, Sancho-Puchades M, Benic GI, Hammerle CH, Jung RE. A randomized controlled clinical trial comparing conventional and computer-assisted implant planning and placement in partially edentulous patients. Part 1: clinician-related outcome measures. Int J Periodontics Restorative Dent. 2018; 38 (Suppl): s49-s57. doi: 10.11607/prd.ds2018s.

  17. Joda T, Derksen W, Wittneben JG, Kuehl S. Static computer-aided implant surgery (s-CAIS) analysing patient-reported outcome measures (PROMs), economics and surgical complications: a systematic review. Clin Oral Implants Res. 2018; 29 Suppl 16: 359-373. doi: 10.1111/clr.13136.

  18. Siragusa C, Alfie N, Giménez ML, Rodríguez PA. Microcirugía endodóntica con planificación digital y guía quirúrgica: caso clínico. Rev Fac Odontol (B Aires). 2021; 36 (83): 13-20.




Figure 1
Figure 2
Figure 3
Figure 4
Figure 5
Figure 6

2020     |     www.medigraphic.com

Mi perfil

C?MO CITAR (Vancouver)

Rev Mex Periodontol. 2024;15