medigraphic.com
SPANISH

Acta Médica Grupo Ángeles

Órgano Oficial del Hospital Ángeles Health System
  • Contents
  • View Archive
  • Information
    • General Information        
    • Directory
  • Publish
    • Instructions for authors        
    • Manuscript submission
    • Policies
    • Names and affiliations of the Editorial Board
  • About us
    • Data sharing policy
    • Stated aims and scope
  • medigraphic.com
    • Home
    • Journals index            
    • Register / Login
  • Mi perfil

2025, Number 6

<< Back Next >>

Acta Med 2025; 23 (6)

Athletic pubalgia. Diagnostic challenge of groin pain

Jaramillo AF, Rebolledo CJA, Enríquez MEA, Martínez OC, González RCN, Gómez PMG
Full text How to cite this article 10.35366/121701

DOI

DOI: 10.35366/121701
URL: https://dx.doi.org/10.35366/121701

Language: Spanish
References: 4
Page: 558-560
PDF size: 703.78 Kb.


Key words:

pubic magnetic resonance imaging, athletic pubalgia, groin pain in athletes.

ABSTRACT

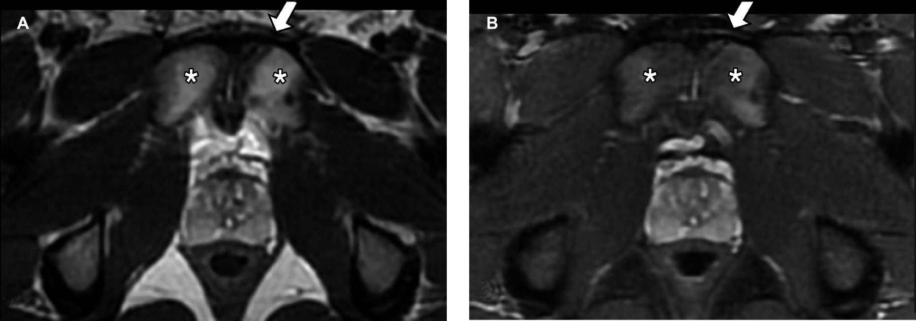
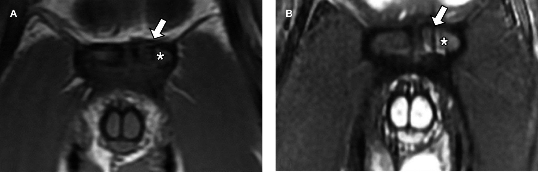
Athletic pubalgia is a clinical syndrome characterized by chronic inguinal pain secondary to muscle, tendon, or bone injury at the pubic bone level. It is a confusing diagnosis because there is a wide spectrum of pathologies that cause inguinal pain, and the clinical picture is nonspecific. In these patients, the magnetic resonance imaging (MRI) study plays a fundamental role in providing an accurate diagnosis.


REFERENCES

  1. Mullens FE, Zoga AC, Morrison WB, Meyers WC. Review of MRI technique and imaging findings in athletic pubalgia and the "sports hernia". Eur J Radiol. 2012; 81 (12): 3780-3792.

  2. Gaudino F, Spira D, Bangert Y, Ott H, Beomonte Zobel B, Kauczor HU, Weber MA. Osteitis pubis in professional football players: MRI findings and correlation with clinical outcome. Eur J Radiol. 2017; 94: 46-52.

  3. Varada S, Moy MP, Wu F, Rasiej MJ, Jaramillo D, Wong TT. The prevalence of athletic pubalgia imaging findings on MRI in patients with femoroacetabular impingement. Skeletal Radiol. 2020; 49 (8): 1249-1258.

  4. Omar IM, Zoga AC, Kavanagh EC, Koulouris G, Bergin D, Gopez AG et al. Athletic pubalgia and "sports hernia": optimal MR imaging technique and findings. Radiographics. 2008; 28 (5): 1415-1438.




Figure 1
Figure 2
Figure 3

2020     |     www.medigraphic.com

Mi perfil

C?MO CITAR (Vancouver)

Acta Med. 2025;23