medigraphic.com
SPANISH

Latin American Journal of Oral and Maxillofacial Surgery

ISSN 2992-7757 (Electronic)
Órgano de difusión de la Asociación Latinoamericana de Cirugía y Traumatología Bucomaxilofacial (ALACIBU)
  • Contents
  • View Archive
  • Information
    • General Information        
    • Directory
  • Publish
    • Instructions for authors        
  • medigraphic.com
    • Home
    • Journals index            
    • Register / Login
  • Mi perfil

2025, Number 3

<< Back Next >>

Lat Am J Oral Maxillofac Surg 2025; 5 (3)

Beyond aesthetics: the multidimensional impact of orthofacial surgery. Case report

Quisiguiña-Salem C, Vivero-Alcívar F, García-Piña JA
Full text How to cite this article 10.35366/121713

DOI

DOI: 10.35366/121713
URL: https://dx.doi.org/10.35366/121713

Language: Spanish
References: 17
Page: 99-105
PDF size: 2041.84 Kb.


Key words:

orthognathic surgery, maxillofacial surgery, cosmetic surgery, quality-of-life.

ABSTRACT

Orthofacial surgery is a new concept in which several procedures are combined with orthognathic surgery to focus on different aspects, apart from occlusion, such as airway enlargement, facial harmonisation, temporomandibular joint function and improving bone support. Complementary techniques such as lipotransfer, otoplasty, rhinoplasty, bichectomy, cervical lipectomy, facial fillers, facial implants, among others, can be used to achieve these goals. The aim of this article is to describe a clinical case of orthofacial surgery in which orthognathic surgery, genioplasty, structural rhinoplasty, otoplasty and lipotransfer to the malar region were performed, correcting the patient's occlusion and improving masticatory function, phonetics, aesthetics and self-esteem. Post-surgical results were stable over time, with a follow-up of 4 years. We conclude that orthofacial surgery have an important impact on the patient's quality of life, self-perception, interpersonal relationship and job opportunities as in the case we present, so it should be part of the surgeon's armamentarium of techniques and should be taken into account to improve the outcome of orthognathic surgery with soft and hard tissue management.


REFERENCES

  1. Bellucci CC, Kapp-Simon KA. Psychological considerations in orthognathic surgery. Clin Plast Surg. 2007; 34 (3): e11-e16.

  2. Yazici SDS, Findik Y, Yazici T. Evaluation of social appearance concerns and satisfaction after orthognathic surgery. J Stomatol Oral Maxillofac Surg. 2024; 125 (5S1): 101934.

  3. Belusic Gobic M, Kralj M, Harmicar D, Cerovic R, Mady Maricic B, Spalj S. Dentofacial deformity and orthognatic surgery: Influence on self-esteem and aspects of quality of life. J Craniomaxillofac Surg. 2021; 49 (4): 277-281.

  4. Hernández-Alfaro F, Valls-Ontañón A. Aesthetic considerations in orthofacial surgery. Oral Maxillofac Surg Clin North Am. 2023; 35 (1): 1-10.

  5. Cunningham SJ, Garratt AM, Hunt NP. Development of a condition-specific quality of life measure for patients with dentofacial deformity: I. Reliability of the instrument. Community Dent Oral Epidemiol. 2000; 28 (3): 195-201.

  6. Vural E. Treatment of adult subcondylar mandibular fractures: closed vs open vs endoscopic approach. Arch Otolaryngol Head Neck Surg. 2004; 130 (10): 1228-1230.

  7. Endara MR, Allred LJ, Han KD, Baker SB. Applications of fat grafting in facial aesthetic skeletal surgery. Aesthet Surg J. 2014; 34 (3): 363-373.

  8. Jansma J, Schepers RH. Adjunctive aesthetic procedures in orthognathic surgery. Oral Maxillofac Surg Clin North Am. 2023; 35 (1): 139-152.

  9. Raffaini M. Optimizing the results of orthognathic surgery: from the orthognathic to the orthofacial surgery through 3 different levels of treatment. Int J Oral Maxillofac Surg. 2015; 44: E13.

  10. Coceancig P. 6ways to design a face: corrective jaw surgery to optimize bite, airway, and facial balance. Batavia, IL: Quintessence Publishing Co, Inc.; 2021.

  11. Sánchez-Burgos R, Martínez-Gimeno C, Arribas-García I, Gómez-Oliveira G, Álvarez-Florez M, García-Hernández A, et al. Transcultural adaptation and validation of the Spanish language version of the questionnaire OQLQ for the assessment of quality of life in orthognathic patients. J Clin Exp Dent. 2018; 10 (12): 1184-1191.

  12. Faderani R, Singh P, Monks M, Dhar S, Krumhuber E, Mosahebi A, et al. Facial aesthetic ideals: a literature summary of supporting evidence. Aesthet Surg J. 2023; 44 (1): NP1-NP15.

  13. García Y Sánchez JM, Gómez Rodríguez CL, Romero Flores J. Surgical management of laterognathia in orthofacial surgery. J Maxillofac Oral Surg. 2017; 16 (3): 365-373.

  14. Soh CL, Narayanan V. Quality of life assessment in patients with dentofacial deformity undergoing orthognathic surgery--a systematic review. Int J Oral Maxillofac Surg. 2013; 42 (8): 974-980.

  15. Dolen UC, Cinar S. Perfect lighting for facial photography in aesthetic surgery: ring light. Aesthetic Plast Surg. 2016; 40 (2): 319-326.

  16. Cervelli D, Gasparini G, Moro A, Pelo S, Foresta E, Grussu F, et al. Lipofilling as refinement procedure in maxillo-mandibular malformations. Acta Otorhinolaryngol Ital. 2016; 36 (5): 368-372.

  17. Miguel JA, Palomares NB, Feu D. Life-quality of orthognathic surgery patients: the search for an integral diagnosis. Dental Press J Orthod. 2014; 19 (1): 123-137. doi: 10.1590/2176-9451.19.1.123-137.sar.




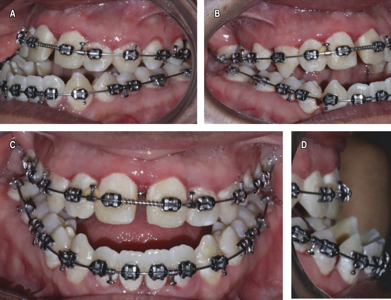
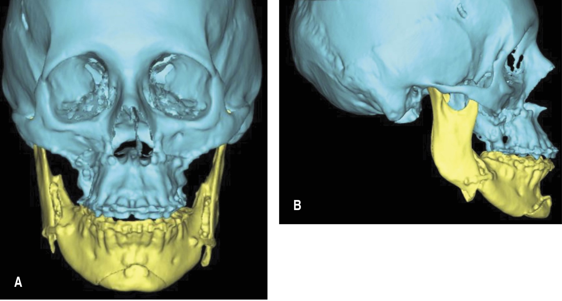
Figure 1
Figure 2
Figure 3
Figure 4
Figure 5
Figure 6

2020     |     www.medigraphic.com

Mi perfil

C?MO CITAR (Vancouver)

Lat Am J Oral Maxillofac Surg. 2025;5