medigraphic.com
SPANISH

Cirujano General

ISSN 2594-1518 (Electronic)
ISSN 1405-0099 (Print)
  • Contents
  • View Archive
  • Information
    • General Information        
    • Directory
  • Publish
    • Instructions for authors        
    • Send manuscript
  • medigraphic.com
    • Home
    • Journals index            
    • Register / Login
  • Mi perfil

2025, Number 4

<< Back Next >>

Cir Gen 2025; 47 (4)

Incidental intraabdominal seminoma

Campos CSF, Campos PIT, Soria CD, Castillo CPI, Cabrera RPL
Full text How to cite this article 10.35366/122126

DOI

DOI: 10.35366/122126
URL: https://dx.doi.org/10.35366/122126

Language: Spanish
References: 10
Page: 266-270
PDF size: 2197.68 Kb.


Key words:

cryptorchidism, orchiectomy, abdominal pain, seminoma.

ABSTRACT

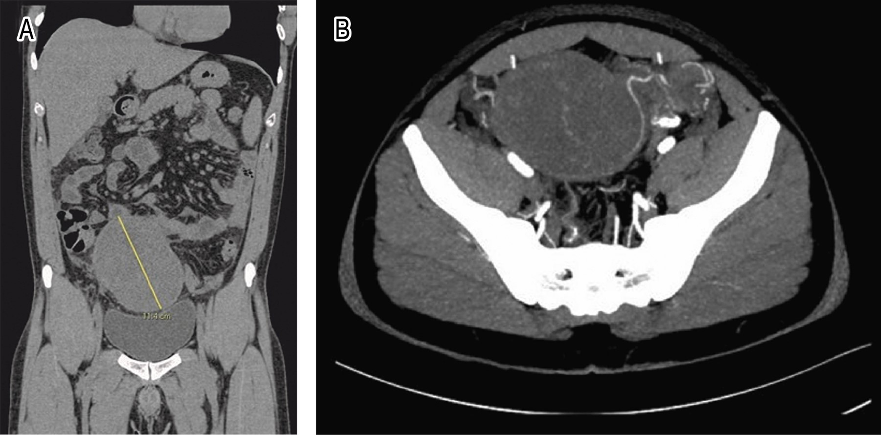
Cryptorchidism is considered one of the main risk factors for the formation of germ cell tumors and is associated with the generation of seminomas. The indicated treatment is orchidopexy for children under two years of age and orchiectomy for postpubertal subjects, with their respective follow-ups. Germ cell tumors represent 1% of malignant tumors in men; their etiology is unknown, although several hypotheses seek to elucidate it, while their diagnosis requires a complete clinical history; however, there are several cases diagnosed incidentally. We describe the case of a patient with a history of orchiectomy at three days of life due to cryptorchidism, who arrives at the emergency room with abdominal pain for several days, with acute appendicitis as the first differential diagnosis; however, he cannot receive a complete etiological diagnosis given his condition and its evolution, so we performed a diagnostic laparoscopy where incidentally finding an intra-abdominal seminoma with successful surgical intervention. This case highlights the importance of investigating whether patients with a history of testicular surgery have received follow-up or not to identify the probable etiology of the condition presented.


REFERENCES

  1. Pipman VR, Arcari A, Alonso GF, Bengolea S V, Boulgourdjian E, D'Amato SP, et al. Criptorquidia: una revisión de los avances más recientes en su diagnóstico y tratamiento. Arch Argent Pediatr [Internet]. 2025; 123: e202410441. Disponible en: https://www.sap.org.ar/docs/publicaciones/archivosarg/2025/v123n3a03.pdf

  2. Kolon TF, Herndon CD, Baker LA, Baskin LS, Baxter CG, Cheng EY, et al. Evaluation and treatment of cryptorchidism: AUA guideline. J Urol. 2014; 192: 337-345. doi: 10.1016/j.juro.2014.05.005.

  3. Stephenson A, Bass EB, Bixler BR, Daneshmand S, Kirkby E, Marianes A, et al. Diagnosis and treatment of early-stage testicular cancer: AUA guideline amendment 2023. J Urol. 2024; 211: 20-25. doi: 10.1097/JU.0000000000003694.

  4. Katabathina VS, Vargas-Zapata D, Monge RA, Nazarullah A, Ganeshan D, Tammisetti V, et al. Testicular germ cell tumors: classification, pathologic features, imaging findings, and management. Radiographics. 2021; 41: 1698-1716. doi: 10.1148/rg.2021210024.

  5. Gurney JK, Florio AA, Znaor A, Ferlay J, Laversanne M, Sarfati D, et al. International trends in the incidence of testicular cancer: lessons from 35 years and 41 countries. Eur Urol. 2019; 76: 615-623. doi: 10.1016/j.eururo.2019.07.002.

  6. Winter C, Hiester A. Treatment of clinical stage I non-seminoma. Asian J Urol. 2021; 8: 161-169. doi: 10.1016/j.ajur.2021.03.001.

  7. Cheng K, Seita Y, Whelan EC, Yokomizo R, Hwang YS, Rotolo A, et al. Defining the cellular origin of seminoma by transcriptional and epigenetic mapping to the normal human germline. Cell Rep. 2024; 43: 114323. doi: 10.1016/j.celrep.2024.114323.

  8. Lip SZ, Murchison LE, Cullis PS, Govan L, Carachi R. A meta-analysis of the risk of boys with isolated cryptorchidism developing testicular cancer in later life. Arch Dis Child. 2013; 98: 20-26. doi: 10.1136/archdischild-2012-302051.

  9. Rubero J, Lee J, Solomon M, Wu JC, Ganti L. Testicular germ cell tumor presenting to the emergency department. Cureus. 2021; 13: e12618. doi: 10.7759/cureus.12618.

  10. Arranz Arija JA, Del Muro XG, Caro RL, Méndez-Vidal MJ, Pérez-Valderrama B, Aparicio J, et al. SEOM-GG clinical guidelines for the management of germ-cell testicular cancer (2023). Clin Transl Oncol. 2024; 26: 2783-2799. doi: 10.1007/s12094-024-03532-2.




Figure 1
Figure 2
Figure 3
Figure 4
Table 1

2020     |     www.medigraphic.com

Mi perfil

C?MO CITAR (Vancouver)

Cir Gen. 2025;47