medigraphic.com
SPANISH

Cirujano General

ISSN 2594-1518 (Electronic)
ISSN 1405-0099 (Print)
  • Contents
  • View Archive
  • Information
    • General Information        
    • Directory
  • Publish
    • Instructions for authors        
    • Send manuscript
  • medigraphic.com
    • Home
    • Journals index            
    • Register / Login
  • Mi perfil

2020, Number 3

<< Back Next >>

Cir Gen 2020; 42 (3)

Right adrenal pseudocyst

Patatuchi-Rugerio, Ilse1; Hernández-Rivas, Aranxa2
Full text How to cite this article 10.35366/99962

DOI

DOI: 10.35366/99962
URL: https://dx.doi.org/10.35366/99962

Language: English/Spanish [Versi?n en espa?ol]
References: 12
Page: 215-218
PDF size: 296.18 Kb.


Key words:

Adrenal cyst, pseudocyst, adrenalectomy, adrenal gland, retroperitoneal.

ABSTRACT

Adrenal pseudocyst is a rare entity. About 600 cases have been described worldwide since it was first reported. Few have been reported in the Mexican literature. Its diagnosis and treatment can be considered a challenge. Although there is controversy, the main strategy has been the same in the last decade. We present the case of a patient with a large right adrenal pseudocyst.



INTRODUCTION

Adrenal lesions were first described by Greiselius, a Viennese physician, in 1670.1 They may occur at any age, especially between 30 and 60 years of age. They are more common in women;2,3 they may be asymptomatic or present with pain, gastrointestinal symptoms and a palpable mass.4 They have been detected in 0.06 to 0.18% of autopsies5,6 and are identified in 4% of computerized tomography (CT) scans.7

According to Levison's classification they are divided into four categories: endothelial cysts (45%), epithelial cysts (9%), pseudocysts (39%) and parasitic cysts (7%).6,8-11 They can measure from millimeters to 50 cm in diameter.12 They are usually unilateral but can occur bilaterally (8-15%).2,12

Predisposing factors include abdominal trauma, neonatal hypoxia, hemorrhagic diathesis, use of anticoagulants, and aneurysms.10 The possible etiology of adrenal pseudocyst includes malformation and hemorrhage from the adrenal veins to the adrenal gland due to trauma, surgery or coagulopathy.3,9



CASE PRESENTATION

A 42-year-old male patient with no relevant history attended the general surgery outpatient clinic. He started in March 2018 with mild colicky abdominal pain in the right hypochondrium, radiating to the right renal fossa, intermittent, and without any other additional symptoms.

An ultrasound scan done in March reports liver of normal size, shape, and situation with an irregular lower right border, of heterogeneous echogenicity due to the presence of a rounded shape anechoic mass with well-delimited borders and thin walls suggestive of a simple cyst (Figures 1 and 2).

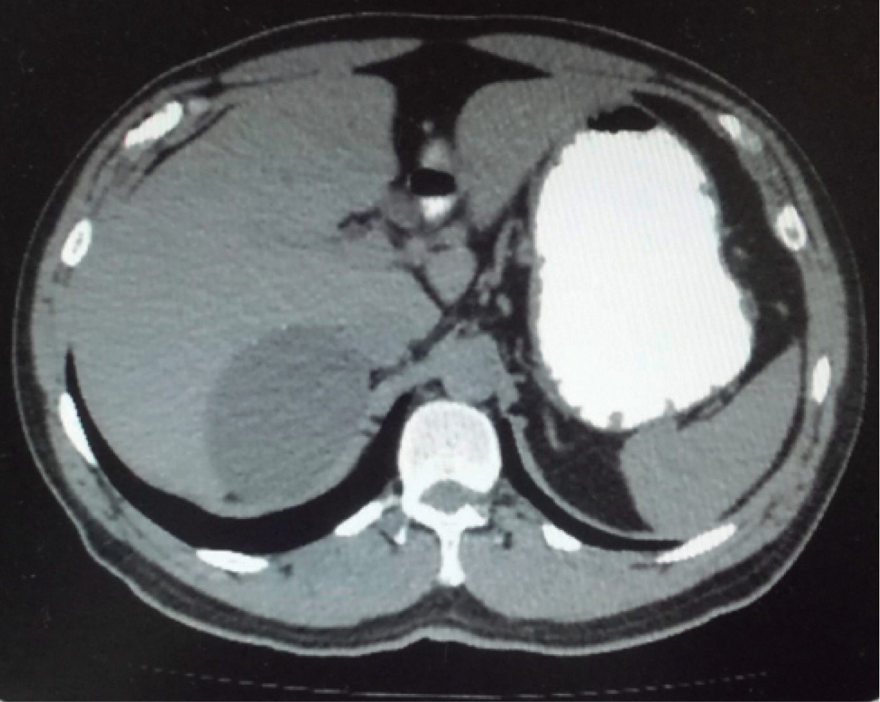
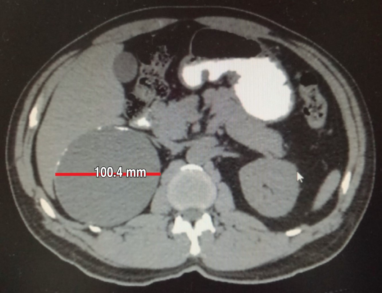
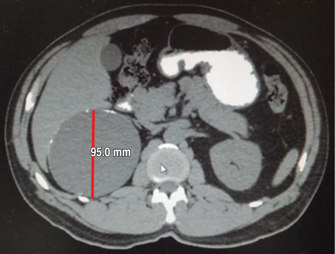
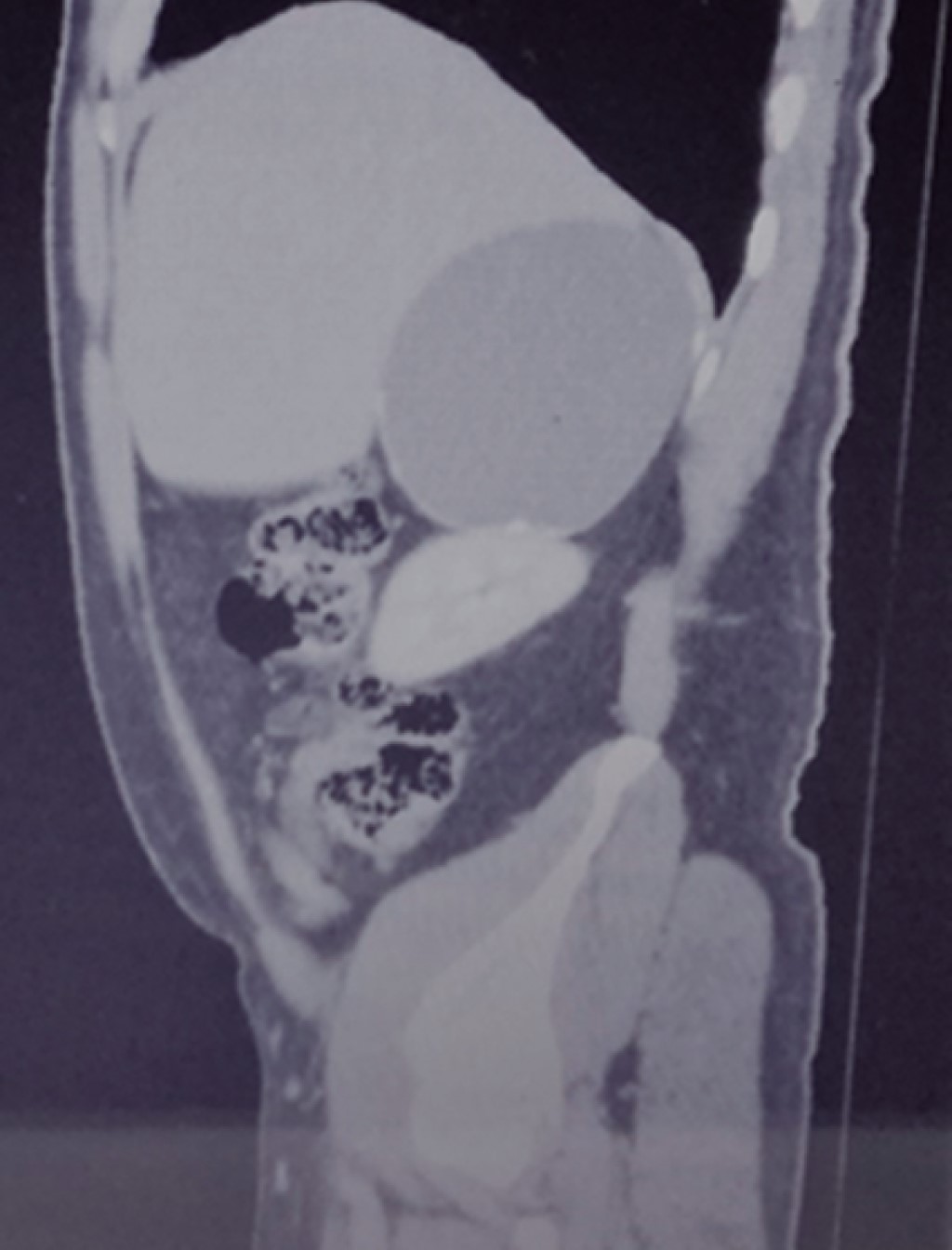
In May 2018 he had normal cytology blood cell counts, liver and renal function tests, and coagulation parameters. No cortisol, aldosterone, urinary catecholamine or metanephrine measurements were done. An abdominal CT scan performed in May reports a right adrenal gland hypodense image with a maximum diameter of 101 mm with calcification images inside it that was exerting occupational and compressive effect on surrounding structures (Figures 3, 4, 5 and 6). Once internal medicine service completed his preoperative assessment, an open anterior surgical approach was scheduled. He was given antibiotic prophylaxis with ceftriaxone 2 g in a single dose before a right subcostal incision was made and we proceeded to electrocautery removal of the right adrenal cyst of 10 × 9 cm. Adhesions to the liver were found and a content of approximately 400 ml of hyaline fluid and calcifications of about 20 × 40 mm in its interior were seen. A Penrose drainage of ½" (19 mm) was placed in the subphrenic space due to the suspicion of postoperative hemorrhage.

Histopathological report was of an adrenal pseudocyst associated with old hemorrhage, fibrosis, and extensive dystrophic calcification. The patient was discharged on the third day of hospitalization with follow-up in the ambulatory setting for four months postoperatively with control with hepatic and right renal ultrasound scans. There were no complications (Figure 7).



DISCUSSION

Unlike true cysts, adrenal pseudocysts do not have a cell lining; they are composed mainly of fibrotic tissue, sometimes with calcifications in their interior.8,9

Most pseudocysts are nonfunctional and benign. Their functional status may cause symptoms of adrenal insufficiency. The risk of malignancy is 7%.11 Recognition and diagnosis of an early-stage primary adrenal carcinoma is particularly important, so complete resection offers the patient a good chance of survival.9,10 The most common malignant adrenal lesions are metastases (95%), malignant pheochromocytoma (3%), and adrenal carcinoma (2%).12

Initial studies should include cytology blood cell counts, liver and renal function tests, and cortisol, aldosterone, calcium, and urinary catecholamines and metanephrine levels.3 Ultrasound is usually the first imaging study used in the evaluation of an adrenal mass because of its low cost and lack of radiation exposure. However, its sensitivity varies from 66.7 to 90%. Computerized tomography scan sensitivity is 85-95% and specificity from 95 to 100%. Magnetic resonance imaging (MRI) has as a limitation, unlike CT, due to its low sensitivity for detecting calcifications.10 Essentially, the differential diagnosis of an adrenal pseudocyst includes any space-occupying lesion of the upper abdomen, whether hepatic, splenic, and renal cysts as well as mesenteric or retroperitoneal cysts and solid adrenal tumors.10 It should be noted that a preoperative diagnosis of a large pseudocyst can be very difficult due to both its indistinct boundaries with the surrounding organs and the presence of adhesions.10

For treatment of cysts smaller than 4 cm it is advisable to repeat the CT scan after three months, with a follow-up period of at least 18 months.7,10 Surgical excision is recommended in symptomatic cysts larger than 5 cm in diameter because of the risk of malignancy and for functional pseudocysts. The surgical approach includes laparotomy, an open retroperitoneal approach, and laparoscopic approach.5 Other procedures described are open or laparoscopic cyst unroofing and percutaneous needle aspiration.10 The final diagnosis will be provided by pathology examination after the surgical procedure.



CONCLUSION

There are several ways to treat adrenal pseudocysts, depending on the characteristics of the lesion, the surgeon's experience and skills, and local resources.10


REFERENCES

  1. Davenport M, Pollard K, Smith SE, MacMahon MJ. Adrenal cysts-report, review and classification. Postgrad Med J. 1988; 64: 71-73.

  2. Chue KM, Goh G, Chiew A. Right adrenal gland pseudocyst masquerading as a large symptomatic hepatic cyst: single incision laparoscopic (SILS) resection an review of current literature. Ann Hepatobiliary Pancreat Surg. 2018; 22: 75-78.

  3. Ujam AB, Peters CJ, Tadrous PJ, Webster JJ, Steer K, Martinez IA. Adrenal pseudocyst: diagnosis and laparoscopic management-a case report. Int J Surg Case Rep. 2011; 2: 306-308.

  4. Cavallaro G, Crocetti D, Paliotta A, De Gori A, Rita TM, Letizia C, et al. Cystic adrenal lesions: clinical and surgical management. The experience of a referral centre. Int J Surg. 2015; 13: 23-26.

  5. Olaoye I, Dapo M, Abiodun E. A giant adrenal cyst with an uncertain preoperative diagnosis causing a dilemma in management. Clin Case Rep. 2018; 6: 1074-1076.

  6. Lyu X, Liu L, Yang L, Gao L, Wei Q. Surgical management of cysts: a single-institution experience. Int Braz J Urol. 2014; 40: 656-665.

  7. Soroush A, Anbara T, Lashkari M, Mir A. Giant adrenal pseudocyst. Arch Iran Med. 2013; 16: 741-742.

  8. Carsote M, Ghemigian A, Terzea D, Gheorghisan-Galateanu AA, Valea A. Cystic adrenal lesions: focus on pediatric population (a review). Clujul Med. 2017; 90: 5-12. Available in: https://www.ncbi.nlm.nih.gov/pmc/articles/PMC5305088/pdf/cm-90-5.pdf

  9. Isono M, Ito K, Seguchi K, Kimura T, Tachi K, Kono T. A case of hemorragic adrenal pseudocyst mimicking solid tumor. Am J Case Rep. 2017; 18: 1034-1038. Available in: https://www.ncbi.nlm.nih.gov/pmc/articles/PMC5627864/pdf/amjcaserep-18-1034.pdf

  10. Paramythiotis D, Bangeas P, Karakatsanis A, Goulas P, Nikolaou I, Rafailidis V, et al. Surgical management of a giant adrenal pseudocyst: a case report and review of the literature in the last decade. Case Rep Surg. 2018; 2018: 8473231. Available in: https://www.hindawi.com/journals/cris/2018/8473231/

  11. Kodama K, Takase Y, Niikura S, Shimizu A, Tatsu H, Saito K. Laparoscopic management of a complex adrenal cyst. Case Rep Urol. 2015; 2015: 234592. Available in: https://www.hindawi.com/journals/criu/2015/234592/

  12. Cabané TP, Gac MP, Mariño BJ, Ibacache AD, Ledezma SA, Morales HC. Quiste suprarrenal primario. Rev Chil Cir. 2011; 63: 617-622.



AFFILIATIONS

1 General Surgeon. Hospital General de Zona No. 28, Instituto Mexicano del Seguro Social. Mexico.

2 Registered Nurse. Hospital General de Zona No. 28, Instituto Mexicano del Seguro Social. Mexico.



Ethical considerations and responsibility: Data privacy. In accordance with the protocols established at the authors\' work center, the authors declare that they have followed the protocols on patient data privacy while preserving their anonymity. The patient\'s informed consent referred to in the article is in the possession of the author.

Funding: No financial support was received for this study.

Disclosure: The authors declare that there is no conflict of interest in this study.



CORRESPONDENCE

Ilse Patatuchi-Rugerio. E-mail: ilselacr@hotmail.com




Received: 11/08/2018. Accepted: 05/03/2019

Figure 1
Figure 2
Figure 3
Figure 4
Figure 5
Figure 6
Figure 7

2020     |     www.medigraphic.com

Mi perfil

C?MO CITAR (Vancouver)

Cir Gen. 2020;42