medigraphic.com
SPANISH

Cirujano General

ISSN 2594-1518 (Electronic)
ISSN 1405-0099 (Print)
  • Contents
  • View Archive
  • Information
    • General Information        
    • Directory
  • Publish
    • Instructions for authors        
    • Send manuscript
  • medigraphic.com
    • Home
    • Journals index            
    • Register / Login
  • Mi perfil

2021, Number 3

<< Back Next >>

Cir Gen 2021; 43 (3)

Paradoxical diarrhea as a presentation of transverse colon intussusception due to colonic lipoma

Ortiz-Ruvalcaba, Oscar I1,2,3; Díaz-Rosales, Juan de Dios1,2,3; Mena-Arias, Gilberto1,2; Cárdenas-James, Carlos R4; Arenas-Valles, Jorge1,5
Full text How to cite this article 10.35366/108571

DOI

DOI: 10.35366/108571
URL: https://dx.doi.org/10.35366/108571

Language: English/Spanish [Versi?n en espa?ol]
References: 15
Page: 181-185
PDF size: 313.74 Kb.


Key words:

lipoma, colon, intussusception, diarrhea, adult.

ABSTRACT

We report a 53-years-old female patient who suffered of abdominal pain and diarrhea caused by a colonic tumor in transverse segment. During tomographic and colonoscopic evaluation was discovered a tumor of well-defined edges but an ulcered segment. Clinical setting was result from a colonic intussusception (by tumor), paradoxical diarrhea, and partial resection of transversus colon was performed by laparoscopy. Histopathological examination was consistent with submucous lipoma. The binomial of colonic lipoma and intussusception is a clinical constant; however, its low frequency makes of diagnosis a difficult task.



INTRODUCTION

Gastrointestinal lipoma is a benign, sporadic, and usually asymptomatic tumor that can be located in any segment of the gastrointestinal tract. Most of the time this type of tumor is detected incidentally by computed tomography (CT) scan or colonoscopy performed due to any other indication.1 If symptoms are present, abdominal pain, bleeding, and changes in bowel movements are the most found.

Invagination of the bowel in adults is a rare entity, contrary to what occurs in children, and it is usually related to the presence of an adjacent tumor2-4 and is an uncommon cause of intestinal obstruction (1 to 5% of cases).5

Both colonic lipoma and colonic invagination are entities that can occur in adults, so it is of clinical importance to keep them in mind as a binomial. In this clinical report, we present the case of a patient with an invaginated colonic lipoma that conditioned partial intestinal occlusion and paradoxical diarrhea.



CASE PRESENTATION

A 53-year-old female, with no relevant history, came to the emergency department with abdominal pain of two weeks of evolution; she described moderate to severe pain (5-6/10 on the visual pain scale [VAS]), predominantly colicky, as well as chronic constipation (1-2 bowel movements per week during the last year). On admission, she had a heart rate of 78 per minute, respiratory rate of 14 per minute, blood pressure of 150/98 mmHg, 36.7 oC of temperature, and oxygen saturation of 97% without supplemental oxygen.

Physical examination revealed a rounded abdomen secondary to belly fat, without abdominal plastrons, delimiting the pain in the colic frame predominantly in the epigastrium and mesogastrium, without data of peritoneal irritation. Rectal examination showed no abnormalities.

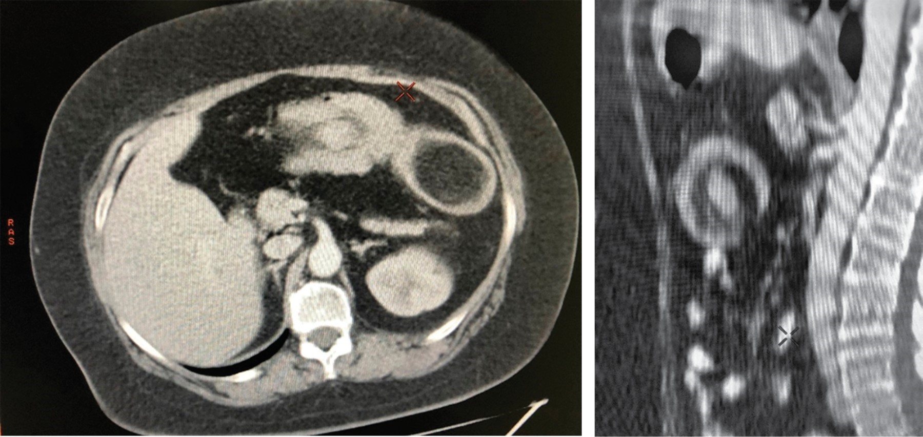
Contrast tomography (CT) scan of the abdomen showed, at the level of the transverse colon, a well-demarcated tumor, measuring 4.6 × 7.7 × 6.5 cm, with a density of 115 Hounsfield units (a quantitative scale used in CT scans to describe the different levels of tissue radiodensity), invaginated into the lumen of the transverse colon itself and with a discrete inflammatory process of the perilesional fat (Figure 1).

Colonoscopy was performed and a polypoid, spherical tumor was observed, with a broad base, ulcerated in its visible portion, occluding 80% of the intestinal lumen in the transverse colon segment (Figure 2). The rest of the study showed no alterations. Biopsies of the lesion were reported as inflammatory tissue and mucinous material.

The patient was managed with analgesics, antispasmodics, and proton pump inhibitors for 48 hours. Resection of the affected segment was proposed in the first hospitalization; however, the patient did not accept it and was discharged due to improvement. Two weeks after the first hospitalization, she had liquid evacuations of three days of evolution and very severe colicky abdominal pain (7-8/10 VAS); subsequently, hematochezia was added, so she was hospitalized for hydro and electrolyte replacement and surgical management, which she accepted on this occasion.

During surgery, a tumor was found in the transverse colon with colon-colonic invagination, which was completely resected. Latero-lateral anastomosis of the remaining transverse colon was performed with a linear mechanical suture 2.5 × 45 mm, and the intestinal defect was closed with a 3-0 polypropylene continuous suture.

In the histopathological study, macroscopically, an ulcerated tumor with a wide base and well-delimited borders measuring 8.2 × 7.3 × 5.2 cm was observed (Figure 3); microscopically, a tumor composed of mature adipocytes in a submucosal arrangement without atypia was identified (Figure 4).

In the postoperative period, the patient had an adequate evolution, and she was discharged due to improvement on the fifth postoperative day with a soft diet and closed drainage, which was removed in the outpatient clinic on day seven. Follow-up at 12 months showed no complications.



DISCUSSION

Although most colonic lipomas are asymptomatic, when the size is greater than 2 cm, they can present symptoms or complications, such as colonic invagination and intestinal obstruction.6 Because colonic invagination causes nonspecific symptoms, making the diagnosis without imaging studies or endoscopy is very complicated. The classic triad of colicky abdominal pain, currant jelly stools, and a palpable tumor in the abdomen occurs in only 10% of adult patients with colonic lipoma.7 In this patient, abdominal pain and hematochezia were present, while the palpable tumor was not evident, probably due to the patient's abundant adipose panniculus.

Colonic invagination occurs when the lipoma acts as a stimulant of colonic peristalsis so that the constant movement invaginates the colon of the affected segment.8 As in the present case, such invagination can cause partial occlusion and produce paradoxical diarrhea to overcome the obstacle and evacuate the fecal material. This phenomenon occurs most commonly in elderly patients with constipation, fecal impaction, and colon cancer (adenocarcinoma or lymphoma).9

Abdominal CT scan (with oral and intravenous [IV] contrast) is the most sensitive (71 to 87%) and specific (close to 100%) imaging method because the mass with fat density (80-120 Hounsfield units) and the classic target sign or sausage-shaped mass is seen.10,11 Ultrasound can also provide data to guide the diagnosis; however, as it is an operator-dependent imaging study its sensitivity and specificity vary.12

Colonoscopy may be both diagnostic and therapeutic since it indicates the site of the lesion, and in specific cases, a loop resection (cold or hot, according to the surgeon's preference) can be performed in lesions smaller than 2 cm or pedunculated.13 In the case presented, resection was not possible due to the size of the lipoma and the wide base, conditions that increase the risk of perforation. Although endoscopic biopsy may not be very useful due to the little information it provides, the formation of ulcerations should always make suspect a malignant pathology,14,15 so the endoscopic or surgical specimen will always be sent to pathology to rule out the latter diagnosis.

En bloc surgical resection is the treatment of choice when the polyps are larger than 2 cm, broad-based, and/or complicated (bleeding, occlusion, and/or invagination).14,15 In this case, surgical resection was initially refused by the patient, which led to the evolution of her clinical picture to complications with increased pain, diarrhea, and bleeding.

Intussusception is a rare condition in adult patients, and a tumor should always be ruled out as the cause of this pathology. Colon tumors will always be a concern for the surgeon, since malignant neoplasia should be ruled out in all cases, especially in ulcerated lesions. Although diarrhea is an uncertain clinical finding, we must keep in mind that it may be the result of a paradox due to incomplete occlusion of the colonic lumen.


REFERENCES

  1. Barron SL, Gonzalez RS. Clinicopathologic analysis and subclassification of benign lipomatous lesions of the colon. Virchows Arch. 2019; 474: 309-313.

  2. Tsai KJ, Tai YS, Hung CM, Su YC. Cecal lipoma with subclinical appendicitis: A case report. World J Clin Cases. 2019; 7: 209-214.

  3. Díaz-Rosales JD, Enríquez-Domínguez L, Castillo-Moreno JR, Gutiérrez-Ramírez PG. Adult intussusception by tumor in ileum: a diagnostic dilemma. Int J Students Res. 2012; 2: 18-20.

  4. Franco-Herrera R, Burneo-Esteves M, Martín-Gil J, Fabregues-Olea A, Pérez-Díaz D, Turégano-Fuentes F. Invaginación intestinal en el adulto. Una causa infrecuente de obstrucción mecánica. Rev Gastroenterol Mex. 2012; 77: 153-156.

  5. Ozen O, Guler Y, Yuksel Y. Giant colonic lipoma causing intussusception: CT scan and clinical findings. Pan Afr Med J. 2019; 32: 27.

  6. Cordeiro J, Cordeiro L, Possa P, Candido P, Oliveira A. Intestinal intussusception related to colonic pedunculated lipoma: A case report and review of the literature. Int J Surg Case Rep. 2019; 55: 206-209.

  7. Low HM, Chinchure D. Clinics in diagnostic imaging (172). Colocolic intussusception with a lipoma as the lead point. Singapore Med J. 2016; 57: 664-668.

  8. Siu S, Oliphant R, Benstock S, Keshava A, Rickard MJFX. Colonic lipoma causing intussusception: a case for colonoscopic surveillance? ANZ J Surg. 2017; 89: 428-430.

  9. M'rabet S, Jarrar MS, Akkari I, Abdelkader AB, Sriha B, Hamila F, et al. Colonic intussusception caused by a sigmoidal lipoma: A case report. Int J Surg Case Rep. 2018; 50: 1-4.

  10. Shiordia Puente FJ, Pradel Mora JJ. Lipoma colónico e intususcepción intestinal: Reporte de un caso y revisión de la literatura. Cir Gen. 2014; 36: 107-111.

  11. Thompson WM. Imaging and findings of lipomas of the gastrointestinal tract. Am J Roentgenol. 2005; 184: 1163-1171.

  12. Karaosmanoglu D, Temizoz O, Karcaaltincaba M, Akata D. Sonographic findings of colonic lipoma causing intussusception. J Ultrasound Med. 2007; 26: 1621-1623.

  13. Gravito-Soares E, Gravito-Soares M, Fraga J, Figueiredo P. Large pedunculated lipoma of the colon: endoscopic resection using "Loop-and-Let-Go" technique. GE Port J Gastroenterol. 2018; 25: 268-270.

  14. Dassanayake SUB, Dinamithra NP, Nawarathne NMM. Submucosal lipoma of the sigmoid colon as a rare cause of mucoid diarrhea: a case report. J Med Case Rep. 2016; 10: 17.

  15. Avilés-Salas A, Cuéllar-Mendoza ME. Submucosal lipoma of the colon with intussusception. Acta Gastroenterol Latinoam. 2012; 42: 216-219.



AFFILIATIONS

1 Hospital General de Zona No. 35, Instituto Mexicano del Seguro Social. Mexico.

2 Gastrointestinal Endoscopy Unit.

3 General and Digestive Surgery Service.

4 Imaging Service, Hospital General de Zona No. 6, Instituto Mexicano del Seguro Social. Mexico.

5 Pathology Service.



Ethical considerations and responsibility: the authors declare that they followed the protocols of their work center on the publication of patient data, safeguarding their right to privacy through the confidentiality of their data.

Funding: no financial support was received for this work.

Disclosure: the authors declare that they have no conflict of interest.



CORRESPONDENCE

Oscar I Ortiz-Ruvalcaba. E-mail: droscarortiz@gmail.com




Received: 05/28/2020. Accepted: 09/13/2021

Figure 1
Figure 2
Figure 3
Figure 4

2020     |     www.medigraphic.com

Mi perfil

C?MO CITAR (Vancouver)

Cir Gen. 2021;43