medigraphic.com
SPANISH

Cirujano General

ISSN 2594-1518 (Electronic)
ISSN 1405-0099 (Print)
  • Contents
  • View Archive
  • Information
    • General Information        
    • Directory
  • Publish
    • Instructions for authors        
    • Send manuscript
  • medigraphic.com
    • Home
    • Journals index            
    • Register / Login
  • Mi perfil

2021, Number 3

<< Back Next >>

Cir Gen 2021; 43 (3)

Spontaneous cholecystocutaneous fistula or empyema necessitatis, unusual presentation of the cholecystitis

Perfecto-Valero, Arkaitz1,2; Serrano-Hermosilla, Clara1; Aranda-Escaño, Elena1; Tellaeche-de la Iglesia, Miriam1; Prieto-Calvo, Mikel1,2; Sarriugarte-Lasarte, Aingeru1,3; Mifsut-Porcel, Patricia1,3; Valdivieso-López, Andrés1,2; Gastaca-Mateo, Mikel1,2
Full text How to cite this article 10.35366/108572

DOI

DOI: 10.35366/108572
URL: https://dx.doi.org/10.35366/108572

Language: English/Spanish [Versi?n en espa?ol]
References: 15
Page: 186-192
PDF size: 333.52 Kb.


Key words:

cholecystocutaneous fistula, spontaneous cholecystocutaneous fistula, abdominal abscess, perforated cholecystitis, empyema necessitatis.

ABSTRACT

Introduction: spontaneous cholecystocutaneous fistula represents an exceptional presentation of the cholecystitis. It mainly affects elderly and institutionalized patients and has a high morbimortality. It usually manifests as an abscess in the right upper hypochondrium that should be treated by antibiotherapy and percutaneous drainage. Objective: the objective of this monographic study is to expose the generalities of this infrequent disease. Clinical cases: we report five cases of spontaneous cholecystocuytaneous fistula. Results: four of them presented good clinical evolution. Conclusions: definitive treatment depends on clinical course and patient's characteristics, varying among permanent percutaneous drainage or more frequently delayed cholecystectomy with fistulous track excision and reparation of the abdominal wall.



INTRODUCTION

Spontaneous cholecystocutaneous fistula (CCF) is defined as a communication between the gallbladder and the skin, not preceded by surgery or trauma.1 It usually presents with an abscess in the right hypochondrium (RHC), which may be painless or associated with the typical symptoms of biliary colic.2 Classically it was more frequent in women from the fifth decade onwards, but nowadays it mainly affects the elderly, neuropsychiatric, multi-pathological, or institutionalized patients.

Diagnostic suspicion should be confirmed by imaging tests, ideally computed tomography (CT) or ultrasound scans. Initial treatment includes water and electrolyte resuscitation, antibiotic (AB) therapy, analgesia, and percutaneous drainage (PD).3 After resolution of the acute episode, deferred intervention may be indicated to perform cholecystectomy with excision of the fistulous tract and repair of abdominal wall defects, if present. It must be preceded by an exhaustive study of the gallbladder, the biliary tract, and adjacent structures, as well as the anatomy of the fistula itself. In patients at high surgical and/or anesthetic risk, maintenance of the drains may be a prudent and acceptable attitude since conservative treatment is estimated to be effective for gradual resolution of the fistula in up to 20% of cases.4

It is worth noting the high morbimortality that CCF presents in both its acute and chronic phases.

The following is a descriptive, retrospective study of five CCF cases treated between 2016 and 2019. Informed consent was obtained from the patients for the use of data derived from their attendance, for research purposes. Basic statistics were performed with the R software (version 4.0.1).



PRESENTATION OF CLINICAL CASES

Case 1. A 92-year-old woman, diabetic and institutionalized for dementia. She consulted for a painless and progressively growing tumor in the RHC during the last weeks. On examination, the mass had a diameter of 10 cm, with fluctuation and purulent exudate seen through a small solution of continuity (Figure 1). Suspecting an underlying CCF, an abdominal CT scan was performed with findings of multiple choledocholithiasis and perforated cholecystitis towards the abdominal wall musculature, with a collection in the subcutaneous tissue measuring 10 × 10 × 6 cm.

A percutaneous drainage of the abscess was performed, and AB treatment was given, which ruled out other surgical or endoscopic procedures due to patient's advanced age and comorbidities. She had an unfavorable evolution, with multiorgan failure secondary to septic shock, and died on the sixth day.

Case 2. An 87-year-old man is dependent for basic activities of daily living (BADL). He had a history of myasthenia gravis, hypothyroidism, vasculopathy with chronic ischemia of the lower extremities, and a myocardial infarction, as well as an episode of acute cholecystitis treated conservatively five years earlier. He consulted for a painless mass in the RHC of a year and a half of evolution, with spontaneous suppuration during the last week. On examination, the mass had a diameter of 20 cm and a small solution of continuity. An abdominal CT scan showed chronic calculous cholecystitis complicated by an abscess in the abdominal wall fistulizing to the skin surface (Figure 2).

A percutaneous drainage of the abscess was performed, and AB treatment was given. A subsequent magnetic resonance (MRI) cholangiography reported a small liquid collection of 4 × 1 cm in the right anterosuperior abdominal wall with small gallstones inside, a collapsed gallbladder with cholelithiasis, and no clear evidence of a fistula, in addition to the absence of alterations in the intrahepatic and extrahepatic biliary tract. The scarce secretion, but maintained through the drainage, motivated the maintenance of this drainage, until after four weeks it presented an accidental exit, so it was decided not to reposition the liquid lost. Subsequent evolution was favorable. Definitive treatment was discarded due to the high anesthetic risk.

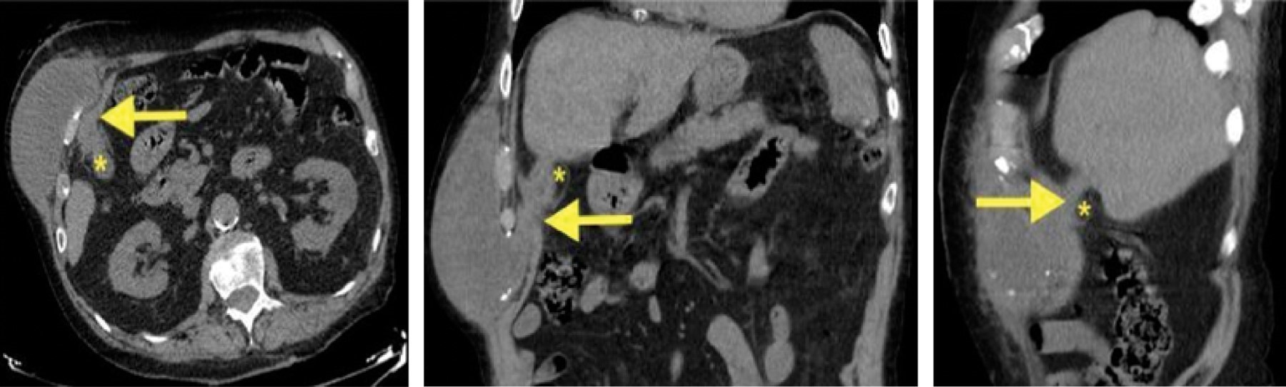
Case 3. An 83-year-old man, independent for ADL, hypertensive, with dyslipidemia and with chronic obstructive pulmonary disease, consulted for a painful mass in the RHC of four days of evolution. It had a size of 15 × 20 cm and fluctuation. An abdominal CT showed a subcutaneous collection of 10 × 6 × 9 cm over a fistulous tract involving the abdominal wall musculature, and the hepatic angle of the colon that continued through the subhepatic space to the gallbladder, showing chronic parietal thickening, lithiasis, and aerobilia.

A percutaneous drainage of the abscess was performed, and AB treatment was given (Figure 3). The study was completed by an MRI cholangiography at eight weeks, which showed a decrease in inflammatory changes and a possible cholecystoduodenal fistula. Gastroduodenoscopy and colonoscopy were performed, and no cholecystoduodenal or cholecystocolonic fistula was found.

A delayed cholecystectomy was indicated at six months, by laparotomy, with findings of a scleroatrophic vesicle and an inflammatory plastron involving the hepatic hilum, transverse colon, and duodenum, without evidence of CCF or a cholecystoenteric fistula. The immediate postoperative period passed with a low-expenditure biliary fistula that resolved in the following days without the need for additional therapies. The patient had a satisfactory evolution and is asymptomatic two years after the surgery.

Case 4. An 89-year-old woman, independent for BADL, had no relevant medical or surgical history. She consulted for epigastric pain for two months associated with postprandial vomiting. On examination, she had a painful and fluctuating tumor in the RHC measuring 10 cm in diameter. An abdominal CT scan showed evidence of evolved chronic lithiasis cholecystitis, with a fistula to the abdominal wall and attempted spontaneous drainage to the skin.

A percutaneous drainage of the abscess was performed and AB treatment was given, with the placement of an ultrasound-guided percutaneous cholecystostomy (PC) catheter. After four weeks, transcatheter cholangiography was performed without findings of fistula or obstruction to the passage of contrast to the duodenum, and the PD was closed. In the following days, she presented a biliary filtrate around the drainage that forced its reopening. The biliary output remained low, and the patient adapted to the care of the PC, so it was decided to maintain it temporarily until the definitive intervention. Exploratory laparoscopy was indicated eight weeks later, with the finding of a gallbladder intimately adhered to the anterior parietal peritoneum and duodenum. After the gallbladder dissection, there was no evidence of a fistula and the cholecystectomy could be performed laparoscopically. She was discharged 24 hours after the procedure. Subsequent evolution was satisfactory.

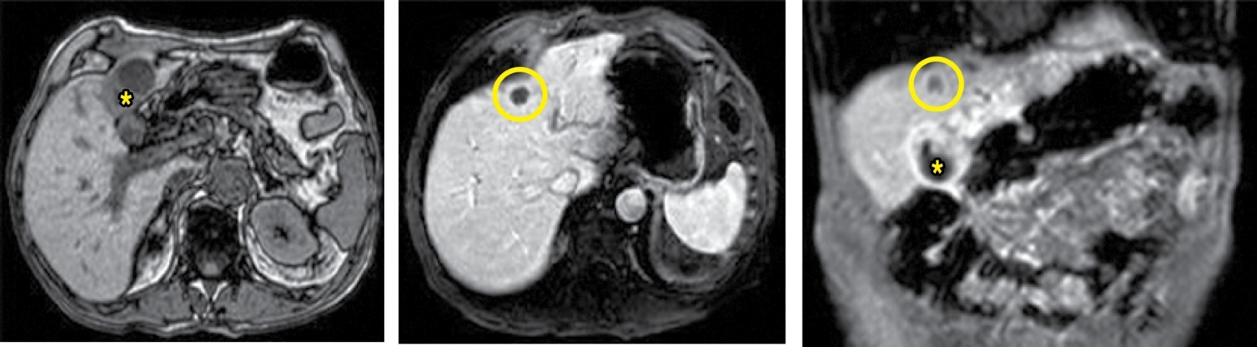
Case 5. A 75-year-old man had been operated on 30 years earlier for a gastric ulcer. He consulted for weight loss and a mass on the cranial end of the mid-laparotomy scar, painful, and not reducible on palpation. The abdominal CT scan showed a subcutaneous collection of 10 × 6 cm in trans parietal continuation with a gallbladder of irregular contours and thickened walls suggesting evolved cholecystitis. In addition, he reported a 9 mm focal lesion in segment IVb compatible in the clinical context with a hepatic abscess.

A percutaneous drainage of the abscess was performed, and AB treatment was given. A subsequent MRI cholangiography showed heterogeneous thickening of the gallbladder wall, adenopathy in the hepatic hilum, and the focal lesion in the hepatic segment IVb previously described (Figure 4). A biopsy of the hepatic lesion was performed, with an immunohistochemical result of metastatic adenocarcinoma of biliopancreatic origin. The PET-CT extension study showed pathological uptake in the gallbladder, hepatic hilum, segment IVb lesion, and a nodule in the right lung. Palliative chemotherapy and placement of a biliary stent were indicated, with immediate good evolution regarding the resolution of the septic picture and FCC. He died 14 months after the diagnosis of gallbladder neoplasm.

Table 1 summarizes the general characteristics of each case.



DISCUSSION

The oldest descriptions of CCF date back to 1670 and are attributed to Thilesus,5 although in 1667 Stalpert already warned, after the drainage of an abscess in the right epigastrium, of the presence of stony concretions in the contents of the latter, which probably corresponded to gallstones. The first treatments proposed to correspond to Petit, in 1673, with the recommendation to make an incision and extract the gallstones from the gallbladder using forceps, to create a fistula towards the exterior. In 1798, Richter proposed the puncture of the gallbladder using a cannula similar to current cholecystostomy. Finally, in 1859, Thudichum and Carré began to perform the technique of opening the gallbladder and fixing it by suturing it to the abdominal wall. This surgical cholecystostomy procedure was one that would become popular in the following decades. At the end of the 19th century, Courvoisier documented 499 cases of perforation of the gallbladder, 169 of them with the formation of CCF.5 In 1934 Niemer proposed the classification of gallbladder perforations into acute, subacute, and chronic. Acute perforation represents to the rupture into a free cavity, with consequent biliary peritonitis; subacute perforation results in the formation of a perivesicular abscess; and chronic perforation is the result of a fistula formation of an abscess. The state preceding the fistula formation of the abscess to the skin was defined in 1963 by Nayman as empyema necessitatis.6

The topographic classification of biliary fistulas divides them as internal and external. The former includes communication with the duodenum (75%), colon (15%), jejunum (10%), and exceptionally, other organs such as the stomach or bronchi; and the latter includes communication with the skin. The origin of the CCF is usually in the fundus of the gallbladder,7 and its proximity to the anterior parietal peritoneum explains why the external fistulous orifice is found in most cases in the RHC. However, other drainage locations have been described, such as the epigastrium, the iliac fossa and right inguinal region, the umbilicus, scars from previous drains or laparotomies, and even in the gluteal region.7-9 Its etiopathogenesis consists of an obstruction to biliary drainage, mainly due to lithiasis or neoplasms, as in our series case, with the consequent bile stasis, bacterial superinfection, increased intraluminal pressure, mural necrosis, formation of a trans parietal abscess and finally, the fistula formation to the skin. Predisposing factors include diabetes, corticosteroid treatment, polyarteritis nodosa, and typhoid fever.

The initial diagnosis and treatment should include imaging tests, AB, and PD of the abscess, with the placement of a PC that may be considered to favor control of the infectious focus in cases of grade III acute cholecystitis with organic repercussions or in patients at very high surgical risk. Other more exhaustive studies such as MRI or fistulography may serve to characterize the anatomy of the fistula and detect the concomitant presence of choledocholithiasis, neoplasms of the biliopancreatic junction, or cholecystoenteric fistulas. The role of endoscopic procedures can be therapeutic as well as diagnostic. Specifically, retrograde cholangiopancreatography, with or without papillotomy, provides great benefits such as the removal of choledocholithiasis, the reduction of the fistulous expenditure by reducing the pressure of the gallbladder and biliary tract, or the placement of endoluminal prostheses for the internal biliary drainage in palliative cases.

After the resolution of the acute episode, and if the patient is a candidate for surgery, definitive intervention would be indicated at least four to eight weeks after presentation. In the absence of an inflammatory plastron preventing the correct identification of the gallbladder hilum, cholecystectomy may be performed, with excision of the fistulous tract and repair of abdominal wall defects, if present.5 Excision of the fistulous tracts decreases the risk of malignant degeneration; in fact, cases of adenocarcinoma originating on the CBD have been described.10 Normally, the potential technical difficulties of an inflamed operative field force the operation to be performed by laparotomy, although the development of laparoscopy has allowed gradual treatment by this approach during the last decades.11,12 On the other hand, in patients with high surgical and/or anesthetic risk, conservative treatment with the maintenance of the drains is estimated to be effective in the definitive resolution of the fistula in up to 20% of cases.4 For advanced gallbladder cancer, treatment is usually palliative.

The five patients in our series were correctly studied by CT scan before urgent drainage of the abscess, and all of them were found to have cholecystitis and a CCF or a cholecystoparietal fistula. The presence of cholelithiasis was found in four of them, one of which also had concomitant choledocholithiasis. The patient with a finding of alithiasic cholecystitis was later diagnosed with adenocarcinoma of the gallbladder. The mean age at presentation was 85.2 ± 6.6 years, and the incidence by sex was similar. Some antecedents such as dementia, ABVD dependence, advanced age, and diabetes could justify the masking of pain in the presentation of the abscess in the RHC. In the case of a later diagnosis of gallbladder neoplasia, the presentation was also characteristically oligosymptomatic.

Two patients were candidates for deferred surgery, so cholecystectomy could be performed in both: one by laparotomy and the other by laparoscopy. In another case, it was decided to temporarily maintain the PD, and in the patient with advanced gallbladder neoplasia, the placement of a biliary endoprosthesis was indicated. The evolution was satisfactory in all of them. The only death attributable to the context of the CCF corresponded to the oldest woman who probably had the lowest physiological reserves in the series.

To our knowledge, the last clinical series was reported by Henry and Orr in 1949, with 36 CCF cases collected since 1890.5 In 2011 the total number of cases published throughout history was estimated at 226.13 Despite the unusual nature of this pathology, several isolated cases have recently been reported.14,15 This relative scarcity of publications and the practically anecdotal incidence of CCF at present are the main limitations to the study of this pathology, whose initial surgical treatment does not differ much from that practiced during the past four centuries.

A cholecystocutaneous fistula is an unusual form of presentation of gallbladder pathology in our environment, due to early diagnosis, universal access to antibiotics, and the generalization of laparoscopic treatment of symptomatic cholelithiasis. Diagnostic suspicion of a tumor or cellulitis in the right hypochondrium, a correct initial study by computed tomography scan or ultrasound, and early treatment with antibiotics and drainage of the abscess are fundamental due to the high morbimortality rates that this infrequent entity entails since it affects mostly fragile patients.


REFERENCES

  1. Avital S, Greenberg R, Goldwirth M, Werbin N, Skornik Y. A spontaneous discharging wound on the abdominal wall. Postgrad Med J. 1988; 74: 505-506.

  2. Cruz RJ Jr, Nahas J, de Figueiredo LF. Spontaneous cholecystocutaneous fistula: a rare complication of gallbladder disease. Sao Paulo Med J. 2006; 124: 234-236.

  3. Tallon L, Porras M, Molina G, Bustos M, Tamayo MJ. Cholecystocutaneous fistula: a rare complication of gallstones. Gastroenterol Hepatol. 2010; 33: 479-480.

  4. Davies MG, Tadros E, Gaine S, McEntee GP, Gorey TF, Hennessy TP. Combined internal and external biliary fistulae treated by percutaneous cholecystlithotomy. Br J Surg. 1989; 76: 1258.

  5. Henry CL, Orr TG Jr. Spontaneous external biliary fistulas. Surgery. 1949; 26: 641-646.

  6. Nayman J. Empyema necessitatis of the gallbladder. Med J Aust. 1963; 1: 429-430.

  7. Abril A, Ulfohn A. Spontaneous cholecystocutaneous fistula. South Med J. 1984; 77: 1192-1193.

  8. Nicholson T, Born MW, Garber E. Spontaneous cholecystocutaneous fistula presenting in the gluteal region. J Clin Gastroenterol. 1999; 28: 276-277.

  9. Kaminski DL. Clinical syndromes involving the gallbladder. In: Braasch JW, Tompkins RK (eds). Surgical disease of the biliary tract and pancreas. Philadelphia: Mosby; 1994. pp. 115-128.

  10. Gifford J, Saltzstein SL, Bavoone RM. Adenocarcinoma occurring in association with a chronic sinus tract and biliary fistula. Cancer. 1981; 47: 2093-2097.

  11. Mathonnet M, Maisonnette F, Gainant A, Cubertafond P. Spontaneous cholecystocutaneous fistula: natural history of biliary cholecystitis. Ann Chir. 2002; 127: 378-380.

  12. Malik AH, Nadeem M, Ockrim J. Complete laparoscopic management of cholecystocutaneous fistula. Ulster Med J. 2007; 76: 166-167.

  13. Ugalde Serrano P, Solar García L, Miyar de León A, González Pinto I, González González J. Fístula colecistocutánea como forma de presentación del adenocarcinoma de vesícula biliar. Cir Esp. 2013; 91: 396-397.

  14. Maynard W, McGlone ER, Deguara J. Unusual aetiology of abdominal wall abscess: cholecystocutaneous fistula presenting 20 years after open subtotal cholecystectomy. BMJ Case Rep. 2016; 2016: bcr2015213326.

  15. Pripotnev S, Petrakos A. Cholecystocutaneous fistula after percutaneous gallbladder drainage. Case Rep Gastroenterol. 2014; 8: 119-122.



AFFILIATIONS

1 General and Digestive System Surgery Service. BioCruces Health Research Institute, Bizkaia. Hospital Universitario Cruces, Barakaldo, Bizkaia, Spain.

2 Hepatobiliary, Retroperitoneal and Liver Transplant Surgery Unit. Hospital Universitario Cruces, Barakaldo, Bizkaia, Spain.

3 Esophagogastric, Bariatric and Complex Abdominal Wall Surgery Unit. Hospital Universitario Cruces, Barakaldo, Bizkaia, Spain.



Ethical considerations and responsibility: the authors declare that they followed the protocols of their work center on the publication of patient data, safeguarding their right to privacy through the confidentiality of their data.

Funding: no financial support was received for this work.

Disclosure: the authors declare that there is no conflict of interest in carrying out the work.



CORRESPONDENCE

Arkaitz Perfecto-Valero. E-mail: arkaitz.perfectovalero@osakidetza.eus




Received: 09/16/2021. Accepted: 02/03/2022

Figure 1
Figure 2
Figure 3
Figure 4
Table 1
Table 1

2020     |     www.medigraphic.com

Mi perfil

C?MO CITAR (Vancouver)

Cir Gen. 2021;43