medigraphic.com
SPANISH

Cirujano General

ISSN 2594-1518 (Electronic)
ISSN 1405-0099 (Print)
  • Contents
  • View Archive
  • Information
    • General Information        
    • Directory
  • Publish
    • Instructions for authors        
    • Send manuscript
  • medigraphic.com
    • Home
    • Journals index            
    • Register / Login
  • Mi perfil

2023, Number 1

<< Back Next >>

Cir Gen 2023; 45 (1)

Hepatic abscess secondary to intrahepatic pyocholecyst perforation

Sevilla Santoyo, Mizael Orlando1; Bolaños Badillo, Luis Enrique2; Frías Almaraz, Julián Felipe3
Full text How to cite this article 10.35366/110702

DOI

DOI: 10.35366/110702
URL: https://dx.doi.org/10.35366/110702

Language: English/Spanish [Versi?n en espa?ol]
References: 8
Page: 43-46
PDF size: 289.54 Kb.


Key words:

gallbladder empyema, bilioma, gallbladder perforation, hepatic abscess, laparoscopy.

ABSTRACT

Introduction: spontaneous gallbladder perforation is a rare complication of gallbladder pathologies, it's seen in approximately 2% with mortality risk reported between 12-42%. If a secondary hepatic abscess is associated is even a less frequent complication. Material and methods: 55 year old woman, who visits the emergency room referring approximately a month with abdominal pain which irradiates to the inter-scapular region. Laboratory tests reported elevated leukocytes, alkaline phosphatase and gamma glutamyl transferase. The contrasted abdominal CT showed a gallbladder with impacted biliary calculus, as well as an intrahepatic rupture of the gallbladder associated to a hepatic abscess. Results: a laparoscopic cholecystectomy, abscess drainage and intraabdominal drain placement was carried out. We used four laparoscopic trocars. We found a Parkland 5 gallbladder and a hepatic abscess in segments IV and V. The surgical piece was extracted with an extracting bag and 19 Fr drains were placed to Winslow hiatus and the abscess cavity. Conclusions: gallbladder perforation with a secondary formation of a hepatic abscess is a very rare complication. It represents a diagnostic challenge, though due to recent diagnostic tools, prompt diagnosis is a possibility.



INTRODUCTION

Spontaneous perforation of the gallbladder is a rare and severe complication of gallbladder pathologies that can put the patient's life at risk.1-3 Its presentation with concomitant hepatic abscess is an even rarer complication. In the case of patients with acute cholecystitis, it is known that approximately 0.8 to 3.2% of cases present perforation of the gallbladder into the abdominal cavity;2,4,5 however, the incidence of perforation with the formation of a secondary intrahepatic abscess is unknown, and there are only a few case reports in the literature.2 This is associated with high morbimortality, with reported mortality ranging between 12 and 42% of cases,5 even with aggressive medical management and multiple interventions.2

Perforation of the gallbladder develops from a series of events triggered by obstruction of the cystic duct, usually by a litho, followed by bile stasis and gallbladder distension. Subsequently, it causes increased intraluminal pressure leading to vascular and lymphatic compromise, resulting in vesicular necrosis and, finally, vesicular perforation. The gastric fundus is the most frequent location of vesicular perforations because it is the most distal area and contains the most precarious blood supply.1,2,4

In the approach to this pathology, abdominal ultrasound can provide vital information for the diagnosis; however, a computerized tomography scan is a more sensitive tool to reach an accurate diagnosis and plan the resolution of the condition.2



PRESENTATION OF THE CASE

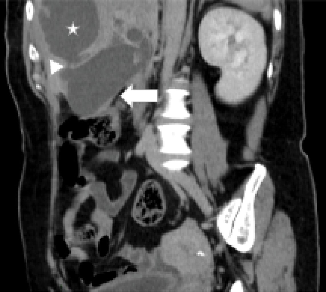
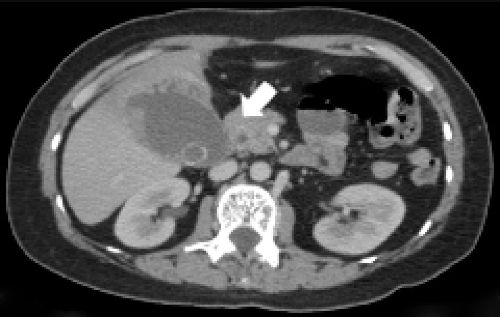
A 55-year-old female patient came to the emergency department with a picture of a month of evolution characterized by abdominal pain located in the epigastrium and right hypochondrium, radiating to the interscapular region, which was increasing, so she decided to go to the doctor who started homeopathic treatment; however, she did not improve, so she went to the emergency department of our hospital unit where the following vital signs were recorded: BP (blood pressure) 114/76 mmHg, HR (heart rate) 124 bpm, RR (respiratory rate) 16/min, and temperature of 36 °C. On questioning, the patient denied the presence of fever, nausea, vomiting, or the presence of bowel movements of decreased consistency. For her approach, general laboratories were requested, highlighting the presence of leukocytosis (12,300 mm3), elevated alkaline phosphatase, and GGT (315 and 268 U/l respectively); a CT scan of the abdomen with intravenous contrast was requested (Figures 1, 2 and 3) which showed the presence of gallbladder with impacted lithos in its interior, and an intrahepatic rupture, in addition to an intrahepatic abscess in segments IV and V (Figure 2).

Antibiotic therapy based on carbapenems and imidazole was started with subsequent surgical management. Cholecystectomy plus abscess drainage and placement of drains by laparoscopy were performed. Four trocars of 12 mm were placed in the umbilical and subxiphoid region; in the hypochondrium and right flank, a 5 mm trocar was placed. We found a gallbladder covered entirely by omentum corresponding to Parkland 5 (Figure 4) with edematous walls and a hepatic abscess in segments IV and V adhered to the abdominal wall. Approximately 200 cm3 of purulent material (pyococcus and abscess) were drained (Figure 5), which were sent to culture, where growing of Streptococcus anginosus and Enterobacter cloacae was reported. The surgical piece was removed with an extractor bag, and finally, 19 Fr Blake-type closed drains were placed into the Winslow's hiatus and the abscess cavity, the patient was discharged home on the fourth postoperative day. The antimicrobial scheme was adjusted at discharge with ampicillin/sulbactam and metronidazole to complete 14 days of antibiotic therapy. In the follow-up consultation, on the seventh postoperative day, the patient was pain-free at the surgical site, afebrile, with good tolerance to oral administration and regular bowel movements. It was decided to remove both drains.



DISCUSSION

Gallbladder rupture is an infrequent complication1 of biliary pathologies. It is more prevalent in the female sex in acute cholecystitis; however, gallbladder perforation is more common in men.1 It occurs in approximately 2-10% of patients with acute cholecystitis,4,5 with a mortality of 12-42%.6

Gallbladder perforation secondary to lithiasis occurs in patients who delay surgical treatment or who do not improve with conservative management;4 on the other hand, in the context of an alithiasic cholecystitis, patients are more susceptible to gallbladder perforation.7

The clinical presentation is usually insidious, with abdominal pain predominantly in the right upper quadrant, and may be associated with fever and jaundice. Elevation of liver enzymes, predominantly alkaline phosphatase (ALP), is expected.2,7

Gallbladder perforation begins due to obstruction of the cystic duct, preventing the outflow of bile to the main biliary tract, which is secondary to a litho causing stasis inside the gallbladder and subsequent distension. This increases intravesicular pressure, compromising venous and lymphatic drainage, resulting in ischemia and, finally, gallbladder perforation occurs.7,8 The leading perforation site is the fundus; since it is the most distal portion of the organ, it has the least blood supply and therefore is more susceptible to ischemia and necrosis.6 The development of biliary peritonitis is more common in this location; however, perforations in other portions of the gallbladder are usually sealed by the omentum or intestinal loops, which limits damage to the right hypochondrium and abdominal cavity.6

In 1934 Niemeier proposed a classification for gallbladder perforation (Table 1):6 type 1 perforations represent 16% and are considered chronic because they have a fistulous tract; type 2 perforations are the most common (60%); and type 3 perforations represent 16% and are associated with more significant mortality;4,7 however, this classification does not include complications such as intrahepatic rupture with the formation of a secondary hepatic abscess.1 Nevertheless, any vesicular perforation is considered a surgical emergency.1 Niemeier perforations types 1 and 3 usually require urgent surgical management, while type 2 perforations can be managed initially with drainage or cholecystostomy and later cholecystectomy.4,6

In an article published by Hussain in 2016,1 it is reported that most cases of hepatic abscess secondary to vesicular rupture are resolved with open cholecystectomy. In our case, we opted for an initial laparoscopic approach obtaining good postoperative results like those published by Quiroga,6 where the mean in-hospital stay was five days. This same study reports that almost half (42%) of the patients submitted to laparoscopic cholecystectomy required a second intervention; in our case, no additional procedure was necessary.



CONCLUSIONS

Vesicular rupture with subsequent liver abscess formation is a rare complication. It represents a diagnostic challenge for the surgeon; however, early diagnosis is possible thanks to new diagnostic tools.



ACKNOWLEDGMENTS

Dr. María Jose Raphael Garza for her translation of the abstract into English.


REFERENCES

  1. Hussain T, Adams M, Ahmed M, Arshad N, Solkar M. Intrahepatic perforation of the gallbladder causing liver abscesses: case studies and literature review of a rare complication. Ann R Coll Surg Engl. 2016; 98: e88-e91.

  2. Singh K, Singh A, Vidyarthi SH, Jindal S, Thounaojam CK. Spontaneous Intrahepatic Type II Gallbladder Perforation: A Rare Cause of Liver Abscess - Case Report. J Clin Diagn Res. 2013; 7: 2012-2014.

  3. Gobel T, Kubitz R, Blondin D, Haussinger D. Intrahepatic type II gall bladder perforation by a gall stone in a CAPD patient. Eur J Med Res. 2011; 16: 213-216.

  4. Taneja S, Sharma A, Duseja AK, Kalra N, Chawla Y. Spontaneous perforation of gallbladder with intrahepatic bilioma. J Clin Exp Hepatol. 2011; 1: 210-211.

  5. Date RS, Thrumurthy SG, Whiteside S, Umer MA, Pursnani KG, Ward JB, et al. Gallbladder perforation: case series and systematic review. Int J Surg. 2012; 10: 63-68.

  6. Quiroga-Garza A, Alvarez-Villalobos NA, Angeles-Mar HJ, Garcia-Campa M, Muñoz-Leija MA, Salinas-Alvarez Y, et al. Localized gallbladder perforation: a systematic review of treatment and prognosis. HPB (Oxford). 2021; 23: 1639-1646.

  7. Niemeier OW. Acute free perforation of the gall-bladder. Ann Surg. 1934; 99: 922-924.

  8. Bolívar RMA, Cázarez AMA, Guadrón LCO, Fierro LR, Basil DGA, Valdespino GB. Ruptura intrahepática de vesícula biliar por piocolecisto presentándose como absceso hepático: reporte de un caso. Rev Mex Cir Endoscop. 2016; 17: 43-46.



AFFILIATIONS

1 Third-year resident in general surgery. Hospital Ángeles Pedregal. Mexico City.

2 General surgery. Coloproctologist, General Hospital of Mexico. Hospital Ángeles Pedregal. Mexico City.

3 Fourth-year imaging resident. Hospital Ángeles Pedregal. Mexico City.



Ethical considerations and responsibility: the authors declare that they followed the protocols of their work center on the publication of patient data, safeguarding their right to privacy through the confidentiality of their data.

Funding: no financial support was received for this work.

Disclosure: the authors declare that there is no conflict of interest in the performance of this work.



CORRESPONDENCE

Mizael Orlando Sevilla-Santoyo. E-mail: m_ss1191@hotmail.com




Received: 07/19/2022. Accepted: 02/22/2023.

Figure 1
Figure 2
Figure 3
Figure 4
Figure 5
Table 1

2020     |     www.medigraphic.com

Mi perfil

C?MO CITAR (Vancouver)

Cir Gen. 2023;45