medigraphic.com
SPANISH

Cirujano General

ISSN 2594-1518 (Electronic)
ISSN 1405-0099 (Print)
  • Contents
  • View Archive
  • Information
    • General Information        
    • Directory
  • Publish
    • Instructions for authors        
    • Send manuscript
  • medigraphic.com
    • Home
    • Journals index            
    • Register / Login
  • Mi perfil

2023, Number 1

<< Back Next >>

Cir Gen 2023; 45 (1)

Cholecistogastric fistula: case report

Ayala-Hernández, Sandra G1; López-Loredo, José A1; Peña-Portillo, Guadalupe K1; Marín-Pardo, Erwin I1; Pérez-Torres, Guadalupe C1
Full text How to cite this article 10.35366/110703

DOI

DOI: 10.35366/110703
URL: https://dx.doi.org/10.35366/110703

Language: English/Spanish [Versi?n en espa?ol]
References: 8
Page: 47-50
PDF size: 224.68 Kb.


Key words:

cholecysto-gastric fistula, interval cholecystectomy, open surgery.

ABSTRACT

Introduction: the cholecysto-enteric fistulas are uncommon, with the cholecysto-duodenal variety being the most common. They result from erosion with the subsequent formation of a fistoulous tract. Clinical case: a 59-year-old female, with a six-month history of biliary colic, with abdominal CT scan that shows pneumobilia, gastric distension and a mass in the pyloric sphincter. A conservative surgery is then performed. Conclusion: an interval cholecystectomy is a safe alternative.



INTRODUCTION

Cholecystogastric fistulas are a rare complication of cholecystitis and cholelithiasis; the reported incidence is 1-3%. The pathogenesis of fistula formation is due to erosion and necrosis of the gallbladder wall, which in turn encounters the adjacent hollow viscera.1 The local inflammation induces the formation of adhesions and, finally, the formation of the fistula. The gallstone can reach the stomach through the cholecystogastric or cholecystopyloric fistula and indirectly through a cholecystoduodenal or choledochoduodenal fistula.2 The diagnosis of cholecystogastric fistula is made trans operatively in up to 90% of cases since most patients present with non-specific symptoms; however, up to 7-10% will develop biliary ileus.3



PRESENTATION OF THE CASE

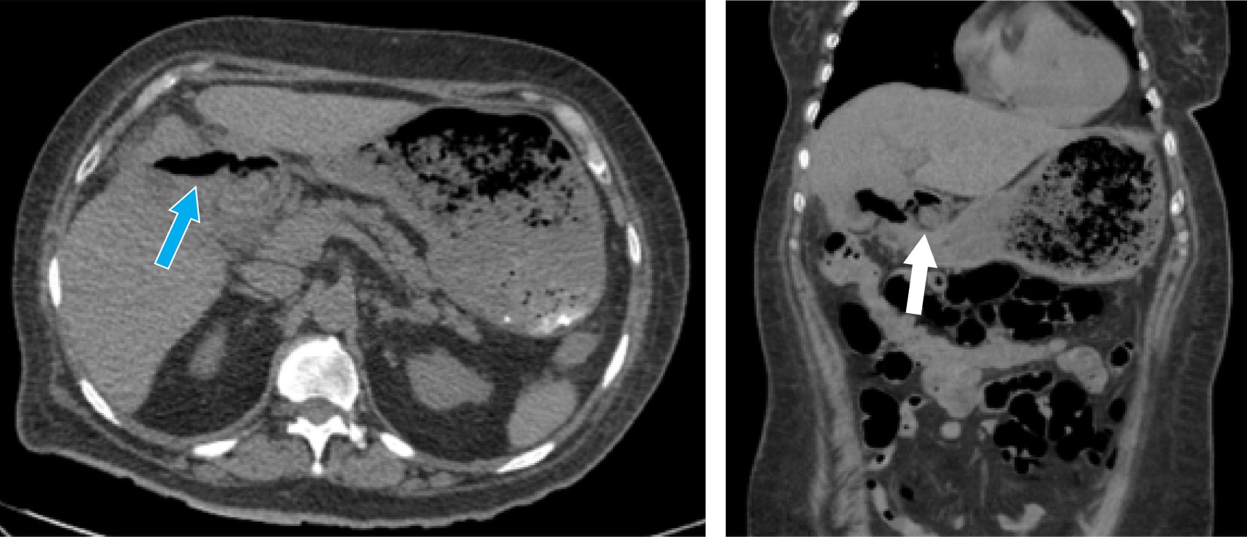
The patient was a 59-year-old female with a history of type 2 diabetes mellitus of long evolution. She came to the emergency department with colicky pain in the right hypochondrium after six months of evolution, intensity 6/10 on the visual analog scale, without irradiation, associated with the ingestion of cholecystokinetic foods, without mitigating factors. She denied fever, jaundice, choluria, or acholia. On physical examination, the Murphy sign was absent, with pain on deep palpation in the right hypochondrium, with no evidence of peritoneal irritation. She has the following laboratories: hemoglobin 12.9 g/dl, hematocrit 37%, leukocytes 9.4 × 103/µl, platelets 360 × 103/µl, glucose 178 mg/dl, creatinine 0.7 mg/dl, sodium 145 mEq/l, potassium 3.7 mEq/l, chlorine 105 mEq/l, total bilirubin 0.7 mg/dl, alkaline phosphatase 55 U/l. Ultrasound of the liver and biliary tract was performed, which revealed an increased echogenicity of the gallbladder throughout its extension, causing a wall-echo-shadow (WES) phenomenon and measuring 52.7 × 29.4 × 18.7 mm. The wall was non-evaluable; the common bile duct measured 5.8 mm, with no evidence of any litho inside (Figure 1). An abdominal tomographic scan showed a heterogeneous gallbladder with a volume of 13.2 cm3, with the presence of air density and a regular thickened wall with the presence of calcifications, a distended stomach, and the presence of a hyperdense image inside resembling a probable litho (Figure 2).

Due to imaging findings, a cholecystogastric fistula was suspected, and the patient was scheduled for open cholecystectomy. Other findings were important adhesive process, a scleroatrophic gallbladder, and a cholecystogastric fistula are evidenced. We proceeded to perform gastrorrhaphy and extraction of a 2 × 3 cm litho with primary closure of the fistula. It was decided to place a nasojejunal tube to keep the pylorus bypassed. A cholecystostomy tube was placed (Figure 3).

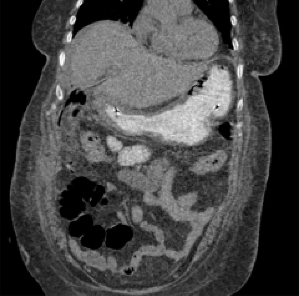
After surgery, parenteral nutrition was started. On the fifth postoperative day, a computed axial tomography (CT) scan with oral contrast showed no evidence of contrast medium leakage (Figure 4), and it was decided to restart the oral route.



DISCUSSION

Cholecystogastric fistula is a rare complication of cholecystitis and is more prevalent in females between the seventh and eighth decade of life. Litho migration into the stomach can lead to pyloric stenosis and gastric mucosal hemorrhage. When the migration of the litho causes occlusion of the pylorus, it is called Bouveret's syndrome.4 If migration occurs caudally, it causes biliary ileus.

The signs and symptoms of patients with cholecystogastric fistulas are diffuse and unspecific, hence the difficulty of making a preoperative diagnosis. It is helpful to perform imaging studies. Ultrasound is performed initially but is not specific and operator dependent. Pneumobilia, thickened gallbladder wall, and enclaved lithos can be observed. A CT scan is the study of choice, which may reveal pneumobilia (present in 30-70% of cases), cholecystitis, and gastric distension. When biliary ileus is suspected, the Rigler's triad -pneumobilia, intestinal distension, and ectopic cyst- may be found.5

Surgical treatment has been the treatment of choice in patients with fistulas; open surgery is the preferred modality for surgeons due to the intense inflammatory process that characterizes these clinical conditions, which makes tissue dissection difficult. The management of fistulas has been described laparoscopically, and in specialized centers, the rate of conversion to open surgery is reported to be 6%.6 The decision to choose laparoscopic surgery will depend on the patient's comorbidities and the surgeon's experience.

Another essential aspect to consider is managing a single surgical procedure, which includes removing the litho, closing the fistula, and performing a cholecystectomy. The removal of the litho is achieved through an enterotomy, and a gastroduodenostomy or a Billroth II anastomosis can be performed to allow the pylorus to heal. However, this procedure increases the risk of bile duct injury. Due to the complications of the one-stage approach, a two-stage surgical procedure has been proposed, consisting of interval cholecystectomy and repair of the fistula.7 In some cases, spontaneous fistula closure is reported without the need for cholecystectomy when the cystic duct remains intact.

On the other hand, when a non-impacted gallstone is identified in the pylorus, a laparoscopic approach can be considered, thus avoiding gastrostomy. Endoscopic treatment is feasible if the gallbladder is identified with no litho in its interior and an intact biliary tract.8



CONCLUSION

Cholecystogastric fistula is a rare complication of cholecystitis. The diagnosis is usually made trans operatively. The surgical approach is the treatment of choice with the closure of the fistula, cholecystectomy, and pyloric bypass. A single-stage surgical procedure is associated with more significant complications. In the case of our patient, we decided to perform a less invasive approach by removing the litho, interval cholecystectomy, placement of a nasojejunal tube, and initiation of parenteral nutrition, which presents an adequate postoperative evolution.


REFERENCES

  1. Aldekhayel M, Almohaimeed K, AlShahrani MS, Almweisheer S. Rare case of Mirizzi syndrome associated with cholecystogastric fistula. BMJ Case Rep. 2016; 2016: bcr2015212374. Available in: http://dx.doi.org/10.1136/bcr-2015-212374

  2. Nessler E, Stoss F, Walser J, Wohlgenannt G, Riedler L. The cholecystogastric fistula. Surg Endosc. 1991; 5: 46-47. Available in: http://dx.doi.org/10.1007/bf00591387

  3. Boland MR, Bass GA, Robertson I, Walsh TN. Cholecystogastric fistula: a brief report and review of the literature. J Surg Case Rep. 2013; 2013: rjt028. Available in: http://dx.doi.org/10.1093/jscr/rjt028

  4. Sharma N, Adamic B, Anderson J, Holfinger S, Lo DY. A case of asymptomatic cholecystogastric fistula: 1188. Am J Gastroenterol. 2016; 111: S519-520. Available in: http://dx.doi.org/10.14309/00000434-201610001-01188

  5. Aamery A, Pujji O, Mirza M. Operative management of cholecystogastric fistula: case report and literature review. J Surg Case Rep. 2019; 2019: rjz345. Available in: http://dx.doi.org/10.1093/jscr/rjz345

  6. Rodriguez JER, Grossi AE de LMT, Siqueira VR, de Siqueira Filho JT, Pereira MAS, da Cunha DGC. Gallstone ileus associated with cholecystogastric fistula: case report, diagnosis and surgical treatment. Int J Surg Case Rep. 2021; 86: 106328. Available in: http://dx.doi.org/10.1016/j.ijscr.2021.106328

  7. Chowbey PK, Bandyopadhyay SK, Sharma A, Khullar R, Soni V, Baijal M. Laparoscopic management of cholecystoenteric fistulas. J Laparoendosc Adv Surg Tech A. 2006; 16: 467-472. Available in: http://dx.doi.org/10.1089/lap.2006.16.467

  8. Chatzoulis G, Kaltsas A, Danilidis L, Dimitriou J, Pachiadakis I. Mirizzi syndrome type IV associated with cholecystocolic fistula: a very rare condition--report of a case. BMC Surg. 2007; 7: 6. Available in: http://dx.doi.org/10.1186/1471-2482-7-6



AFFILIATIONS

1 General Surgery Service, Hospital Universitario de Puebla. Puebla, Mexico.



Ethical considerations and responsibility: data privacy. According to the protocols established in our work center, we declare that we have followed the protocols on patient data privacy and preserved their anonymity.

Funding: no financial support was received for the preparation of this work.

Disclosure: none of the authors had a conflict of interest in the conduct of this study.



CORRESPONDENCE

Sandra Gabriela Ayala-Hernández, MD. E-mail: sgahz94@gmail.com




Received: 03/24/2022. Accepted: 02/22/2023.

Figure 1
Figure 2
Figure 3
Figure 4

2020     |     www.medigraphic.com

Mi perfil

C?MO CITAR (Vancouver)

Cir Gen. 2023;45