medigraphic.com
ENGLISH

Revista del Centro Dermatológico Pascua

ISSN 1405-1710 (Impreso)
  • Mostrar índice
  • Números disponibles
  • Información
    • Información general        
    • Directorio
  • Publicar
    • Instrucciones para autores        
  • medigraphic.com
    • Inicio
    • Índice de revistas            
    • Registro / Acceso
  • Mi perfil

2024, Número 1

<< Anterior Siguiente >>

Rev Cent Dermatol Pascua 2024; 33 (1)


Linfoma cutáneo primario difuso de células B grandes

Jiménez-Hernández, Fabiola1; Ramos-Garibay, José Alberto2; González-González, Maribet3; Berrezueta-Córdova, Nataly Carolina4; Osorio-Barboza, Juan Daniel5
Texto completo Cómo citar este artículo 10.35366/119093

DOI

DOI: 10.35366/119093
URL: https://dx.doi.org/10.35366/119093
Artículos similares

Idioma: Español
Referencias bibliográficas: 10
Paginas: 12-17
Archivo PDF: 435.82 Kb.


PALABRAS CLAVE

linfoma cutáneo, linfoma células B, linfoma tipo pierna.

RESUMEN

El linfoma cutáneo primario difuso de células B grandes, tipo pierna (LCPDCG -TP) se caracteriza por proliferación monótona, difusa de centroblastos e inmunoblastos. Pertenece al grupo de linfomas primarios cutáneos de células B. Esta variedad es infrecuente. El promedio de tiempo que transcurre antes de realizar el diagnóstico es de nueve meses, siendo importante la sospecha temprana para iniciar un tratamiento oportuno y disminuir el riesgo de complicaciones. En este artículo se comunica el caso de un paciente del sexo masculino, de 64 años con diagnóstico de LCPDCG-TP, con adecuada respuesta al tratamiento.



INTRODUCCIóN

El linfoma cutáneo primario (LCP) define a aquella neoplasia que se desarrolla en la piel y que en el momento del diagnóstico o seis meses después del mismo, no muestra enfermedad extracutánea.1 Son linfomas no Hodgkin que pueden derivar de células T (70-85%) o en menor frecuencia de células B, este último se clasifica en: linfoma de células B de la zona marginal, linfoma centro-folicular, linfoma difuso de células B grandes tipo pierna, úlcera mucocutánea por virus de Epstein Barr (provisional), linfoma intravascular de células B grandes.1-3 El linfoma cutáneo primario difuso de células B grandes tipo pierna (LCPDCG-TP) junto con el linfoma intravascular de células B grandes, tienen comportamiento biológico agresivo y su pronóstico es malo.4

La fisiopatogenia del LCPDCG-TP no está del todo determinada; sin embargo, se ha asociado con estimulación antigénica persistente por ciertos virus y bacterias,1 así como mutaciones genéticas en MYD88/CD79B y/o pérdida de CDKN2A.1,3

En general afecta a mujeres mayores de 70 años. La pierna es el sitio más común de manifestación.1,2,5

Los principales factores de riesgo para desarrollar este tipo de linfoma cutáneo son: diabetes tipo 2, toxicomanías (cocaína y marihuana), infección viral (VIH y VEB), exposición a pesticidas.5

Las opciones terapéuticas de primera línea son la quimioterapia con rituximab, doxorrubicina, ciclofosfamida, vincristina y prednisona (R-CHOP), con o sin radioterapia adicional.2,3



EPIDEMIOLOGÍA

Los linfomas cutáneos primarios de células T (LCPCT) representan 70-85% de los casos y en menor frecuencia los de células B (LCPCB) con 15 a 30%, datos reportados a nivel mundial. Los LCPCB tienen incidencia de 0.3 casos por 100,000 habitantes por año.5

En México, en un estudio en 2008 realizado en el Centro Dermatológico "Dr. Ladislao de la Pascua", experiencia de 20 años, se analizaron 140 casos, encontrando datos similares: LCPCT (70.7%) y LCPCB (29.3%), de estos últimos el predominio fue en el género masculino con rango de edad de 16 a 89 años, con promedio de 49 años y evolución promedio al momento de la consulta menor a un año (77.3%).6

En otro estudio llevado a cabo en el Servicio de Dermatología del Hospital Juárez de México, en un período de cinco años, se analizaron 30 casos, con predominio de LCPCT (93.3%) sobre LCPCB (6.6%), de este último no hubo diferencia respecto al sexo, el intervalo de edad fue de 51 a 85 años con promedio de edad de 68 años y evolución promedio de nueve meses.5

El LCPDCG-TP representa 20% de los LCPCB y 4% de los LCP. Afecta a mujeres mayores de 70 años, a diferencia de México en donde la prevalencia es mayor en el sexo masculino.2,3,6



FACTORES DE RIESGO

Se han establecido los siguientes factores de riesgo para el LCP: tabaquismo de más de 40 años, antecedentes de exposición a solventes o pesticidas, alcoholismo, diabetes tipo 2, toxicomanías (cocaína y marihuana), infección viral (VIH y VEB) e hipertensión arterial.5



CLASIFICACIÓN

En el año 2018, la Organización Mundial de la Salud-Organización Europea para la Investigación y el Tratamiento del Cáncer (WHO-EORTC por sus siglas en inglés) publicaron la última actualización de la clasificación de los tumores de la piel, por nuestro interés abordaremos brevemente los LCPCB1-3,5,7,8 (Tabla 1).



PATOGÉNESIS

No está del todo determinada; se le ha asociado con estimulación antigénica persistente por ciertos virus (inmunodeficiencia humana, hepatitis C, Epstein Barr) y bacterias (Borrelia burgdorferi).1 Por otro lado, se han detectado múltiples aberraciones genéticas, con promedio de seis mutaciones por paciente, como: la deleción en la región p21 del cromosoma 9 que ocasiona alteraciones en el gen CDKN2A y por consiguiente, pérdida de función de p16, que resulta en aumento de la proliferación celular y degradación de p53; la translocación de t(8,14) q(24,32) se asocia con expresión continua de la proteína MYC; amplificaciones en la región 18q21.31-q21.33 que codifican para las proteínas inhibidoras de la apoptosis Bcl-2 y MALT-1. De 70-84% de estos pacientes tienen mutaciones en L265P del gen MYD88 que provoca aumento de NF-κB, lo que confiere a las células resistencia a apoptosis, así como resistencia al tratamiento. En general, casi todos los casos (95%) albergaban una o más alteraciones, siendo las principales MYD88/CD79B y/o pérdida de CDKN2A.1,3



CUADRO CLÍNICO

Como su nombre lo indica, 76% se localiza en las extremidades inferiores, específicamente en la parte inferior de las piernas, puede afectar una o ambas. Es raro que comprometa otras localizaciones: piel cabelluda (15%) extremidades superiores (5%) y tronco (5%).1,2,5,8 Se manifiesta como lesiones de aspecto nodular o tumoraciones de crecimiento rápido, pueden ser únicas o múltiples (60%),3 eritemato-violáceas, infiltradas y ocasionalmente ulceradas.1,2,4,7 Con evolución promedio de 8 meses, y en general asintomáticas.1 La diseminación extracutánea ocurre desde 10 hasta 43% de los casos y suele afectar ganglios linfáticos, médula ósea y sistema nervioso central.2,5 A la dermatoscopía se ha descrito un color salmón/naranja que se correlaciona con la infiltración linfocítica dérmica densa.9



DIAGNÓSTICO

Éste se realiza al llevar a cabo una biopsia, cuyo estudio histopatológico muestra infiltrado denso y difuso en la dermis, constituida por células grandes que son los inmunoblastos y centroblastos, este infiltrado puede extenderse hasta el tejido celular subcutáneo. La inmunohistoquímica es positiva para CD20, CD79, Pax-5, Bcl-2, MUM1/IRF4 y FOX-P1, negativa para CD10 y Bcl-6.9

Se recomienda completar el plan de estudio de estos pacientes solicitando estudios de extensión (imagen PET/TC) y de laboratorio (hemograma completo, química sanguínea completa), así como biopsia de médula ósea siempre que sea posible, para el diagnóstico y la estadificación y descartar enfermedad sistémica, lo anterior para iniciar tratamiento en forma oportuna.7



TRATAMIENTO

El manejo es multidisciplinario, integrado por dermatólogos, patólogos, oncólogos hematológicos y oncólogos radioterápicos.7,4

La primera línea de tratamiento es la inmunopoliquimioterapia con rituximab, doxorrubicina, ciclofosfamida, vincristina y prednisona (R-CHOP). Esta terapia da como resultado remisión completa en la mayoría de los pacientes; no obstante, más de dos tercios de los pacientes sufren recaídas en meses o años; las altas tasas de recaídas sugieren que, después del tratamiento inicial, no se detecta adecuadamente la enfermedad residual, planteando un control más efectivo de la enfermedad residual mínima.2

La radioterapia se puede considerar en pacientes con lesiones únicas y más tarde considerar R-CHOP, o en pacientes de edad avanzada y/o en presencia de comorbilidades importantes que impiden el uso de agentes de quimioterapia sistémica, en caso de número limitado de lesiones.3,8

Se han obtenido resultados prometedores de ensayos clínicos con bortezomib, lenalidomida e ibrutinib. En casos más agresivos con contraindicaciones a regímenes tipo R-CHOP, la asociación de rituximab con doxorrubicina liposomal pegilada puede ser un enfoque alternativo.4

Los intervalos de seguimiento generalmente son de tres meses después del tratamiento inicial. Todo seguimiento consiste en un examen clínico cutáneo y ganglionar completo en laboratorio y evaluación PET-CT y reestadificación anual. Después del final de la terapia, se necesita una tomografía PET-CT cada 6 a 12 meses.4

El pronóstico suele ser bueno, aunque la supervivencia de los pacientes que expresan Bcl-2 es de 55% a cinco años; la presencia de múltiples lesiones empeora el pronóstico;2,3 así mismo, la tasa de recurrencias es de 55-70%.1,10



CASO CLÍNICO

Se trata de un hombre de 65 años de edad, fumador activo desde los 15 años, quien acude por una dermatosis localizada en extremidad inferior derecha, de la que afectaba pierna en cara anterior, unilateral. Monomorfa y monolesional, constituida por múltiples lesiones de aspecto nodular, de forma y tamaño variable, centro deprimido, con costras melicéricas y secreción blanquecina en su superficie, de bordes bien definidos. Algunos se observaban ulcerados en su superficie, con necrosis. Refería evolución de cinco meses (Figuras 1 y 2). Previamente multitratado con penicilina, cefalexina y ciprofloxacino. Además, refiere pérdida de peso de 6 kg en seis meses, fiebre nocturna hasta 39 grados desde hace un mes, hiporexia, astenia y adinamia.

En el resto del examen físico se observó que el paciente se encontraba en mal estado general. A nivel de tórax, con discretos estertores en los ápices, en región inguinal derecha se palpaban dos adenomegalias de 2 y 4 cm.

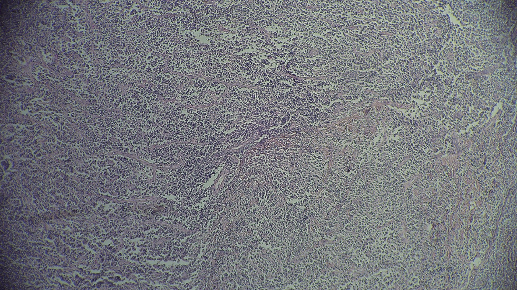
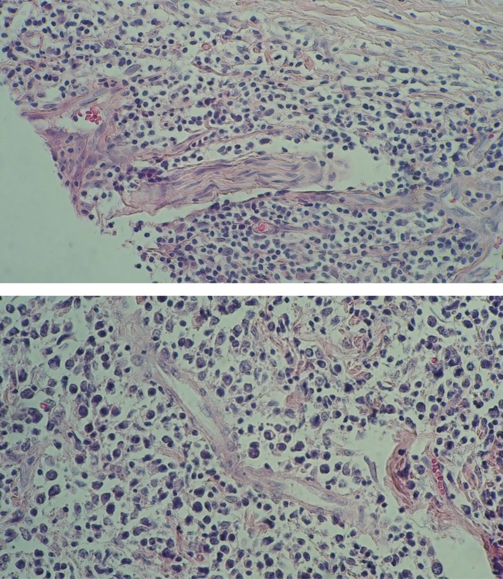
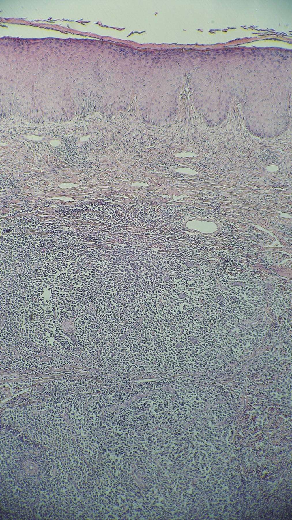
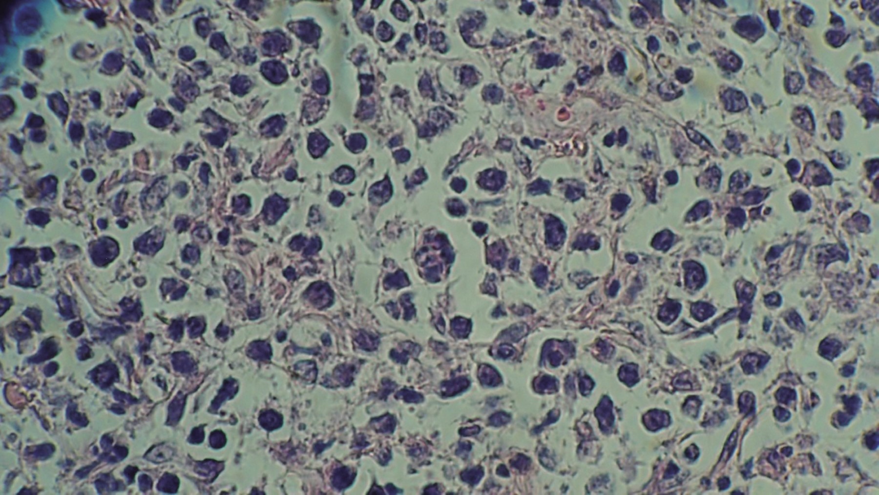
Se realiza biopsia incisional, con reporte histopatológico de epidermis con acantosis regular, en dermis superficial se aprecia una banda normal de colágena (Figura 3) por debajo de la cual se observa un denso infiltrado que ocupa el resto de la dermis, está constituido por linfocitos atípicos, con núcleos pleomórficos grandes, hipercromáticos y con mitosis anormales (Figuras 4, 5 y 6).

Inmunohistoquímica: CD-20 y MUM-1: positivo; CD-10, BCL6, CD-3, CD-30: negativos. El diagnóstico histopatológico fue linfoma B difuso de células grandes no centro germinal.

El paciente fue referido al Instituto Nacional de Cancerología donde recibió tratamiento con seis ciclos de R-CHOP, con mejoría de sus lesiones clínicas y hasta el momento sin recidivas (Figura 7).



COMENTARIO

El presente caso nos muestra un cuadro clínico muy florido de LCPDCG-TP; sin embargo, al ser una dermatosis infrecuente no es lo primero en lo que se piensa como diagnóstico diferencial. Nos enseña que la valoración en cada paciente debe ser exhaustiva desde la topografía, morfología de las lesiones, tiempo de evolución, así como la edad de presentación, como el caso de nuestro paciente, datos que nos orientan al diagnóstico. Además, siempre que nos enfrentemos a un paciente con neoformación de evolución crónica, que no ha respondido a los tratamientos previos, es importante realizar una exploración física para detectar adenomegalias, asimismo complementar el plan de estudio, solicitando exámenes de laboratorio e imagenología. El reporte histopatológico fue diagnóstico. El paciente motivo de esta comunicación fue referido al INCAN, en donde se le realizó inmunohistoquímica confirmando el diagnóstico. Por la presencia de ganglios palpables en región poplítea e inguinal derecha, nuestro paciente se estadificó en etapa clínica II, recibió la primera línea de tratamiento R-CHOP (seis ciclos), con lo cual tuvo remisión completa de las lesiones, tanto cutáneas, como a nivel ganglionar.


REFERENCIAS (EN ESTE ARTÍCULO)

  1. Villela-Segura U, Villalobos-Meza M, Salazar-Pachicano J. Manifestación atípica de un linfoma cutáneo difuso de células B grandes tipo pierna. Dermatol Rev Mex. 2021; 65: S27-S30. doi: 10.24245/dermatolrevmex.v65id.5415.

  2. Pinheiro CG, Cruz LCBD, Paz ARD, Trindade LC. Primary cutaneous B-cell lymphoma leg type: good response with the RADHAP 21 protocol. An Bras Dermatol. 2022; 97: 179-183. doi: 10.1016/j.abd.2020.09.014.

  3. Schrader AMR, de Groen RAL, Willemze R, Jansen PM, Quint KD, Cleven AHG et al. Genetic stability of driver alterations in primary cutaneous diffuse large B-cell lymphoma, leg type and their relapses: a rationale for the use of molecular-based methods for more effective disease monitoring. Cancers (Basel). 2022; 14: 5152. doi: 10.3390/cancers14205152.

  4. Vitiello P, Sica A, Ronchi A, Caccavale S, Franco R, Argenziano G. Primary cutaneous B-cell lymphomas: an update. Front Oncol. 2020; 10: 651. doi: 10.3389/fonc.2020.00651.

  5. Uribe-Franco RC, Puebla-Miranda M. Prevalencia de linfoma cutáneo atendido en el servicio de dermatología de un hospital de segundo nivel en México. Med Int Méx. 2022; 38: 526-537. Disponible en: https://www.medigraphic.com/pdfs/medintmex/mim-2022/mim223f.pdf

  6. González GKI, Alcalá PD, Medina BA, Torres GS. Epidemiología de linfoma cutáneo en el Servicio de Dermatooncología del Centro Dermatológico "Pascua": experiencia de 20 años. Dermatología CMQ. 2008; 6: 221-226.

  7. Krenitsky A, Klager S, Hatch L, Sarriera-Lazaro C, Chen PL, Seminario-Vidal L. Update in diagnosis and management of primary cutaneous B-cell lymphomas. Am J Clin Dermatol. 2022; 23: 689-706. doi: 10.1007/s40257-022-00704-0.

  8. Zehnder M, Amarov B, Abrunhosa-Branquinho AN, Maiwald-Urosevic M, Mühleisen B, Saulite I et al. Radiotherapy as a treatment option for local disease control in primary cutaneous diffuse large B-cell lymphoma, leg type. Dermatology. 2022; 238: 967-976. doi: 10.1159/000522053.

  9. Behera B, Palit A, Nayak AK, Panigrahi A, Mishra P, Sethy M. Clinico-dermoscopic-pathological features of a rare case of locally invasive multifocal primary cutaneous diffuse large B cell lymphoma-leg type over the face and scalp. Indian J Dermatol. 2022; 67: 283-286. doi: 10.4103/ijd.IJD_783_20.

  10. Vences-Carranza M, Navarrete-Franco G, González-González M, Ramos-Garibay A, Álvarez-Gallegos V, Ortiz-Ávalos M. Linfoma B cutáneo de células grandes de la pierna. Dermatol Rev Mex. 2012; 56: 66-70.



AFILIACIONES

1 Jefe del Servicio de Úlceras. Centro Dermatológico "Dr. Ladislao de la Pascua", SSCDMX.

2 Jefe del Servicio de Histopatología. Centro Dermatológico "Dr. Ladislao de la Pascua", SSCDMX.

3 Dermatopatóloga. Centro Dermatológico "Dr. Ladislao de la Pascua", SSCDMX.

4 Residente del tercer año de Dermatología. Centro Dermatológico "Dr. Ladislao de la Pascua", SSCDMX.

5 Residente del primer año de Medicina Interna. Hospital General "Fernando Quiroz Gutiérrez", ISSSTE.



CORRESPONDENCIA

Dra. Fabiola Jiménez-Hernández. E-mail: drajimenezher@gmail.com


Figura 1
Figura 2
Figura 3
Figura 4
Figura 5
Figura 6
Figura 7
Tabla 1

2020     |     www.medigraphic.com

Mi perfil

C?MO CITAR (Vancouver)

Rev Cent Dermatol Pascua. 2024;33

ARTíCULOS SIMILARES

CARGANDO ...