medigraphic.com
ENGLISH

Acta Médica Grupo Ángeles

Órgano Oficial del Hospital Ángeles Health System
  • Mostrar índice
  • Números disponibles
  • Información
    • Información general        
    • Directorio
  • Publicar
    • Instrucciones para autores        
    • Envío de artículos
    • Políticas
    • Nombre y afiliación del Comité Editorial
  • Nosotros
    • Plan de gestión e intercambio de datos
    • Objetivos declarados y alcance
  • medigraphic.com
    • Inicio
    • Índice de revistas            
    • Registro / Acceso
  • Mi perfil

2025, Número 2

<< Anterior Siguiente >>

Acta Med 2025; 23 (2)


Edema agudo pulmonar por presión negativa posterior a extubación

Guillen Oviedo, Flor Carolina1,2; Galván Lewitt, Fernando Benjamín1,3; Medrano Mejía, Aldo1,4; Díaz Borjón, Alejandro1,5
Texto completo Cómo citar este artículo 10.35366/119483

DOI

DOI: 10.35366/119483
URL: https://dx.doi.org/10.35366/119483
Artículos similares

Idioma: Español
Referencias bibliográficas: 3
Paginas: 172-174
Archivo PDF: 200.88 Kb.


PALABRAS CLAVE

edema pulmonar, extubación, trombosis.

RESUMEN

El edema agudo pulmonar por presión negativa (EPPN) postextubación es una forma de edema pulmonar no cardiogénico, surge tras una inspiración forzada espontánea contra una vía aérea ocluida, es común en pacientes sanos, la incidencia posterior a extubación es de 0.9 a 0.1%. Una paciente de 47 años, sin antecedentes médicos, fue sometida a una cirugía endourológica, dos horas después presentó dificultad respiratoria, taquipnea y saturación (< 70%). Descartada tromboembolia y falla cardiaca, radiografía de tórax reveló edema pulmonar. Se trató con puntas nasales de alto flujo, diuréticos de asa, B agonistas y terapia pulmonar, logrando recuperación satisfactoria.



INTRODUCCIóN

El edema agudo pulmonar por presión negativa (EPPN) posterior a la extubación es una forma de edema pulmonar no cardiogénico1 caracterizado por hipoxemia aguda (SpO2 < 90%) al retiro de tubo endotraqueal o mascarilla laríngea, con evidencia radiográfica de edema pulmonar y esputo asalmonado. Ocurre tras una significativa presión intratorácica negativa generada por una inspiración forzada espontánea contra una vía aérea ocluida o glotis cerrada (conocida como maniobra de Müller), usualmente laringoespasmo u obstrucción mecánica.2

La etiología más común es el laringoespasmo postextubación.2 Presentamos un caso que destaca la importancia de un rápido abordaje e intervención con desenlace favorable debido a alta sospecha diagnóstica. Tiene una baja incendia (0.9 a 1%), afecta personas jóvenes sin antecedentes médicos,2 con síntomas que pueden manifestarse pocas horas después de la extubación, requiriendo una intervención rápida y descartando otros diagnósticos diferenciales. El pronóstico es benigno, con resolución completa en 24 horas.3



CASO CLíNICO

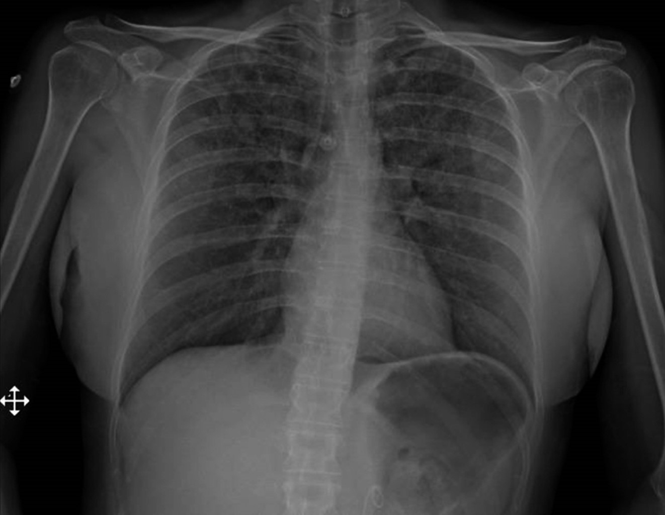
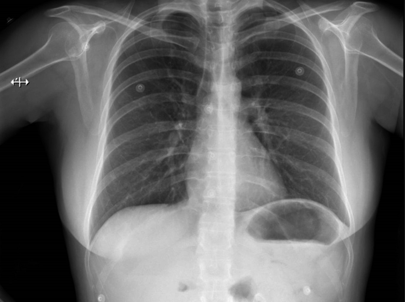
Una mujer de 47 años de edad sin antecedentes médicos se sometió a cirugía endourológica programada. Al ingreso a quirófano, se encontraba en buen estado general, con signos vitales y exploración física normales. Se aplicó anestesia general balanceada, realizando inducción con fentanilo, propofol, rocuronio y durante laringoscopia sin evidencia de anomalías. Orotubación se realizó sin complicaciones al primer intento con hoja número 3 y tubo número 7, cursa hemodinámicamente estable, sin necesidad de apoyo vasopresor con solución Hartmann intravenosa a 20 mL/h sin necesidad de mayor reanimación hídrica, ventilación de protección tidal, mantenimiento con sevorane y fentanilo en infusión calculado a 2 μg/kg/h, ventilación pulmonar simétrica y valores adecuados en capnografía postintubación. Durante el procedimiento quirúrgico sin aumento de presiones o desacoplamiento a ventilación mecánica. La paciente presentó agitación espontánea al recobrar conciencia realizando esfuerzos inspiratorios importantes con laringoespasmo breve de cuarenta segundos. La extubación presentó disminución de agitación y sin deterioro del patrón respiratorio; durante la hora de vigilancia postoperatoria, sin deterioro cardiorrespiratorio. Sin embargo, dos horas posteriores a extubación, la paciente mostró signos de dificultad respiratoria: taquipnea, uso de musculatura accesoria, desaturación al 70% al aire ambiente, estertores crepitantes bilaterales; radiografía de tórax portátil reveló evidencia de edema agudo pulmonar (Figura 1). La administración de oxígeno suplementario logró aumentar saturación hasta 92%. Ante sospecha de edema pulmonar de presión negativa, se realizaron ecocardiograma transtorácico y angiotomografía de tórax, sin evidencia de falla cardiaca ni tromboembolia pulmonar. Se optó por utilizar puntas nasales de alto flujo, diurético de asa, nebulizaciones con β-agonistas y terapia pulmonar. La paciente evoluciona de manera satisfactoria (Figura 2), dándose de alta al tercer día postoperatorio.



DISCUSIóN

EL EPPN es una entidad rara que puede aparecer después de un esfuerzo inspiratorio contra una glotis obstruida, conocida como maniobra de Müller. Lo más destacado es la rápida aparición del edema y el curso benigno si se identifica correctamente. El tratamiento principal implica oxígeno suplementario, ventilación mecánica no invasiva con presión positiva, intubación orotraqueal si es necesario y el uso de diuréticos si el estado hemodinámico lo permite. Este caso contribuye a la comprensión del EPPN, destacando que la identificación y la intervención rápidas son cruciales debido al inicio apresurado de la condición y a su curso benigno cuando se maneja adecuadamente.


REFERENCIAS (EN ESTE ARTÍCULO)

  1. Ware LB, Matthay MA. Acute pulmonary edema. N Engl J Med. 2005; 353 (26): 2788-2796. Available in: http://dx.doi.org/10.1056/nejmcp052699

  2. Lemyze M, Mallat J. Understanding negative pressure pulmonary edema. Intensive Care Med. 2014; 40 (8): 1140-1143. Available in: http://dx.doi.org/10.1007/s00134-014-3307-7

  3. Ma J, Liu T, Wang Q, Xia X, Guo Z, Feng Q et al. Negative pressure pulmonary edema (Review). Exp Ther Med. 2023; 26 (3): 455. Available in: http://dx.doi.org/10.3892/etm.2023.12154



AFILIACIONES

1 Hospital Angeles Lomas. Huixquilucan, Estado de México.

2 Médico residente cuarto año de Medicina Interna. ORCID: 0009-0003-8537-0077

3 Médico residente tercer año de Medicina Interna.

4 Médico residente segundo año de Medicina Interna.

5 Médico adscrito de Medicina Interna-Reumatología.



Cumplimiento de directrices éticas: este artículo no contiene ningún estudio con sujetos humanos o animales realizado por ninguno de los autores, por sus características descriptivas.

Conflicto de intereses: Flor Carolina Guillen Oviedo, Alejandro Díaz Borjón, Benjamín Galván Lewit y Aldo Fernando Medrano Mejía, declaran que no tienen ningún conflicto de intereses.



CORRESPONDENCIA

Flor Carolina Guillen Oviedo. Correo electrónico: caro_guillens@hotmail.com




Recibido: 12-01-2024. Aceptado: 08-02-2024.

Figura 1
Figura 2

2020     |     www.medigraphic.com

Mi perfil

C?MO CITAR (Vancouver)

Acta Med. 2025;23

ARTíCULOS SIMILARES

CARGANDO ...