medigraphic.com
ENGLISH

Acta Médica Grupo Ángeles

Órgano Oficial del Hospital Ángeles Health System
  • Mostrar índice
  • Números disponibles
  • Información
    • Información general        
    • Directorio
  • Publicar
    • Instrucciones para autores        
    • Envío de artículos
    • Políticas
    • Nombre y afiliación del Comité Editorial
  • Nosotros
    • Plan de gestión e intercambio de datos
    • Objetivos declarados y alcance
  • medigraphic.com
    • Inicio
    • Índice de revistas            
    • Registro / Acceso
  • Mi perfil

2025, Número 3

<< Anterior Siguiente >>

Acta Med 2025; 23 (3)


Encefalitis autoinmune en paciente pediátrico: evaluación y tratamiento

Gutiérrez Santoscoy, Denia Marie1; Arboleya Durán, Jordi2; Cedillo Raga, Edgar Maximiliano3; Razo Muñiz, Martha Cecilia4; Pinto García, Luis José5
Texto completo Cómo citar este artículo 10.35366/119958

DOI

DOI: 10.35366/119958
URL: https://dx.doi.org/10.35366/119958
Artículos similares

Idioma: Español
Referencias bibliográficas: 4
Paginas: 281-283
Archivo PDF: 188.22 Kb.


PALABRAS CLAVE

encefalitis, autoinmune, anticuerpo, pediátrico, NMDA-R.

RESUMEN

Introducción: presentamos el caso de paciente femenino de cinco años quien ingresa a urgencias por presentar movimientos anormales, mioclonías focalizadas en miembro torácico derecho, en ausencia de fiebre. Como antecedentes de importancia los padres refieren cambios de conducta y síndrome regresivo de dos semanas de evolución. Este trabajo aborda la revisión del proceso diagnóstico, la evolución intrahospitalaria incluyendo ingreso a la Unidad de Terapia Intensiva Pediátrica (UTIP) y la respuesta al tratamiento inmunológico dirigido. Objetivo: documentar y analizar la presentación clínica y abordaje clínico que se realizó en el servicio de pediatría en el Hospital Angeles México con el fin de concientizar para futuros casos.



INTRODUCCIóN

La encefalitis autoinmune comprende un conjunto de enfermedades inflamatorias del cerebro desencadenadas por respuestas anormales del sistema inmunológico.1 Se asocia a la presencia de anticuerpos contra componentes neuronales de superficie o sinápticos, tales como los anticuerpos contra el receptor N-metil-D-aspartato (NMDA-R) y contra glioma inactivado rico en leucina.1,2 Las manifestaciones neurológicas de la encefalitis autoinmune incluyen alteración del nivel de conciencia, confusión, trastornos del sueño, trastornos del movimiento y convulsiones, siendo éstas las más comunes.1-3 Más de un tercio de los pacientes presentan movimientos anormales, repetitivos o estereotipados, como ataxia, corea, distonía, mioclonías o temblores. Tanto las convulsiones como los trastornos del movimiento pueden ser altamente refractarios a los tratamientos estándar en niños con encefalitis autoinmune.3 Es común observar la aparición de síntomas neuropsiquiátricos súbitos como irascibilidad e irritabilidad, hiperactividad, hipersexualidad e insomnio y se comienzan a observar diversos grados de deterioro cognitivo en la gran mayoría de los pacientes con encefalitis autoinmune, esto se considera un síntoma cardinal.1,2,4



PRESENTACIóN DEL CASO

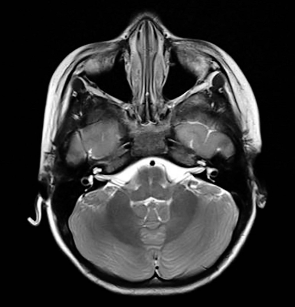
Se trata de paciente femenino de cinco años de edad que ingresa al Servicio de Urgencias en el Hospital Angeles México con signos vitales en parámetros normales, presenta mioclonías focalizadas en miembro torácico derecho, emesis, atetosis y relajación de esfínteres. En urgencias presenta nuevamente crisis focalizadas en el miembro torácico derecho. En hospitalización persiste con crisis convulsivas refractarias a tratamiento. Se realizan paraclínicos (hemocultivo y hemograma) y se recaba electroencefalograma (EEG) y resonancia magnética (RM), la cual muestra cambios morfológicos, leucoaraiosis (Figura 1) y alteraciones vasculares (Figura 2). Posteriormente, se realiza punción lumbar con presencia de anticuerpos anti-NMDA y tomografía por emisión de positrones y tomografía computarizada que muestra hipometabolismo severo en sistema nervioso central. Ingresa a UTIP para sedoanalgesia, plasmaféresis y aplicación de inmunoglobulina intravenosa e inmunomoduladores.



DISCUSIóN

La encefalitis autoinmune representa un reto diagnóstico, ya que frecuentemente suele compartir presentación clínica con encefalitis virales, procesos metabólicos, psiquiátricos e infecciosos.4 El abordaje diagnóstico debe incluir RM en secuencia T2/FLAIR para valorar los hallazgos morfológicos e hiperintensidades, EEG, punción lumbar para realización de panel de anticuerpos séricos y en líquido cefalorraquídeo.1,4

Como tratamiento de primera línea se recomienda uso de esteroides sistémicos, gammaglobulina y plasmaféresis; como segunda línea se sugiere iniciar inmunomoduladores como rituximab o ciclofosfamida, únicamente en pacientes refractarios al tratamiento inicial como fue el caso de la paciente.3 Es importante enfatizar el uso de rituximab en los casos graves de encefalitis autoinmune NMDA-R positiva, ya que actúa como inmunosupresor, generando lisis de linfocitos B al momento de la unión del antígeno y los receptores CD20+. Asimismo, se deben implementar los criterios específicos de diagnóstico que faciliten la identificación temprana de estos pacientes, incluso en ausencia de anticuerpos específicos.



CONCLUSIONES

La encefalitis autoinmune es una patología poco frecuente, en la cual se ha visto un alza en el número de casos recientemente; no obstante, en México no se cuenta con cifras significativas, por lo que se resalta la importancia de incrementar los registros epidemiológicos.3 El abordaje se debe realizar mediante técnicas avanzadas de neuroimagen y la detección de anticuerpos. La administración oportuna del tratamiento a base de inmunoglobulina intravenosa y el uso de rituximab, que se ha asociado con menor severidad y menor tasa de recaídas, así como una alta eficacia en el tratamiento, juegan un papel esencial en el pronóstico de los pacientes que debutan con esta patología, aunado al manejo de soporte para cada caso en particular.


REFERENCIAS (EN ESTE ARTÍCULO)

  1. Abboud H, Probasco JC, Irani S, Ances B, Benavides DR, Bradshaw M et al. Autoimmune encephalitis: proposed best practice recommendations for diagnosis and acute management. J Neurol Neurosurg Psychiatry. 2021; 92 (7): 757-768. Available in: https://jnnp.bmj.com/content/92/7/757.abstract

  2. García-Beristáin JC, Barragán-Pérez E, ChoperenaRodríguez R, Reyes-Cruz G. Encefalitis autoinmune en pediatría. Acta Pediatr Mex. 2017; 38 (4): 274-279.

  3. Carreto-Espinosa C, Enciso-Peláez S, Iglesias-Leboreiro J, Bernardez-Zapata I, Silva-Ramírez H, Escobedo-Berumen L et al. Encefalitis autoinmune: experiencia en el servicio de pediatría del Hospital Español de México. Rev Hosp Jua Mex. 2023; 90 (1): 1-7. Disponible en: http://dx.doi.org/10.24875/rhjm.22000027

  4. Cellucci T, Van Mater H, Graus F, Muscal E, Gallentine W, Klein-Gitelman MS et al. Clinical approach to the diagnosis of autoimmune encephalitis in the pediatric patient. Neurol Neuroimmunol Neuroinflamm. 2020; 7 (2): e663. Available in: http://dx.doi.org/10.1212/nxi.0000000000000663



AFILIACIONES

1 Médico interno de pregrado, Universidad Westhill. Ciudad de México.

2 Médico interno de pregrado, Universidad La Salle. Ciudad de México.

3 Médico interno de pregrado, Universidad La Salle Victoria. Ciudad de México.

4 Jefatura de Servicio, Unidad de Pediatría, Hospital Angeles México. Ciudad de México.

5 Especialista en Medicina Interna, Unidad de Terapia Intermedia, Hospital Angeles México. Ciudad de México.



CORRESPONDENCIA

Denia Marie Gutiérrez Santoscoy. Correo electrónico: dgsant98@gmail.com




Recibido: 02-05-2024. Aceptado: 15-05-2024.

Figura 1
Figura 2

2020     |     www.medigraphic.com

Mi perfil

C?MO CITAR (Vancouver)

Acta Med. 2025;23

ARTíCULOS SIMILARES

CARGANDO ...