medigraphic.com
ENGLISH

Acta Médica Grupo Ángeles

Órgano Oficial del Hospital Ángeles Health System
  • Mostrar índice
  • Números disponibles
  • Información
    • Información general        
    • Directorio
  • Publicar
    • Instrucciones para autores        
    • Envío de artículos
    • Políticas
    • Nombre y afiliación del Comité Editorial
  • Nosotros
    • Plan de gestión e intercambio de datos
    • Objetivos declarados y alcance
  • medigraphic.com
    • Inicio
    • Índice de revistas            
    • Registro / Acceso
  • Mi perfil

2025, Número 3

<< Anterior Siguiente >>

Acta Med 2025; 23 (3)


Trombosis cavernosa del pene relacionada a consumo de poppers

Cedillo Raga, Edgar Maximiliano1,2,4; Arboleya Durán, Jordi1,2; Pinto García, Luis José1,3
Texto completo Cómo citar este artículo 10.35366/119959

DOI

DOI: 10.35366/119959
URL: https://dx.doi.org/10.35366/119959
Artículos similares

Idioma: Español
Referencias bibliográficas: 5
Paginas: 284-286
Archivo PDF: 227.43 Kb.


PALABRAS CLAVE

priapismo, poppers, prótesis de pene.

RESUMEN

Introducción: presentamos el caso de un paciente masculino de 43 años de edad, quien ingresó al servicio de urgencias con priapismo posterior al consumo de poppers (nitritos de alquilo) para mantener relaciones sexuales, refiriendo una erección sostenida en ausencia de estimulación por más de 24 horas, tras lo cual y mediante ultrasonido Doppler de pene se evidenció una trombosis de la arteria cavernosa del pene. Este reporte aborda el proceso de ingreso a urgencias, evolución intrahospitalaria, intervenciones quirúrgicas y las posibles complicaciones. Objetivo: describir de manera detallada la presentación, evolución clínica y el proceso postquirúrgico, incluida la colocación de prótesis de pene durante un segundo internamiento en el Hospital Angeles México.



INTRODUCCIóN

La trombosis arterial del pene es una afección caracterizada por la formación de coágulos de sangre en las arterias del pene, lo que provoca posibles obstrucciones y un flujo sanguíneo comprometido. Esta condición puede estar asociada con varios factores, como enfermedades arteriales oclusivas, traumatismos o condiciones de salud subyacentes que afectan la salud vascular. En estos casos la presencia de coágulos de sangre dentro de las arterias del pene puede impedir la circulación sanguínea normal, lo que podría provocar disfunción eréctil.1,2

Los poppers, también conocidos como nitritos de alquilo, son sustancias de las que se abusa comúnmente por sus efectos psicoactivos, incluida la relajación muscular y la vasodilatación. Estos compuestos volátiles se han asociado con diversas complicaciones de salud, incluida la metahemoglobinemia y deficiencias visuales como la maculopatía. Se sabe que los nitritos de alquilo actúan como donantes de óxido nítrico, afectando la función vascular y potencialmente provocando vasodilatación. Si bien el vínculo directo entre el popper y la trombosis arterial del pene no está ampliamente documentado en las referencias disponibles, los efectos vasodilatadores de los nitritos de alquilo podrían, en teoría, contribuir a alteraciones en la dinámica del flujo sanguíneo del pene. Además, la implicación de las vías del óxido nítrico en el mecanismo de acción de los nitritos de alquilo sugiere una posible influencia sobre la función vascular del pene.3-5



PRESENTACIóN DEL CASO

Se trata de un paciente masculino de 43 años que fue admitido en el servicio de urgencias sin antecedentes médicos relevantes, con signos vitales estables, pero presentando priapismo de 24 horas de duración. Durante el interrogatorio mencionó haber consumido poppers 24 horas antes para mantener relaciones sexuales.

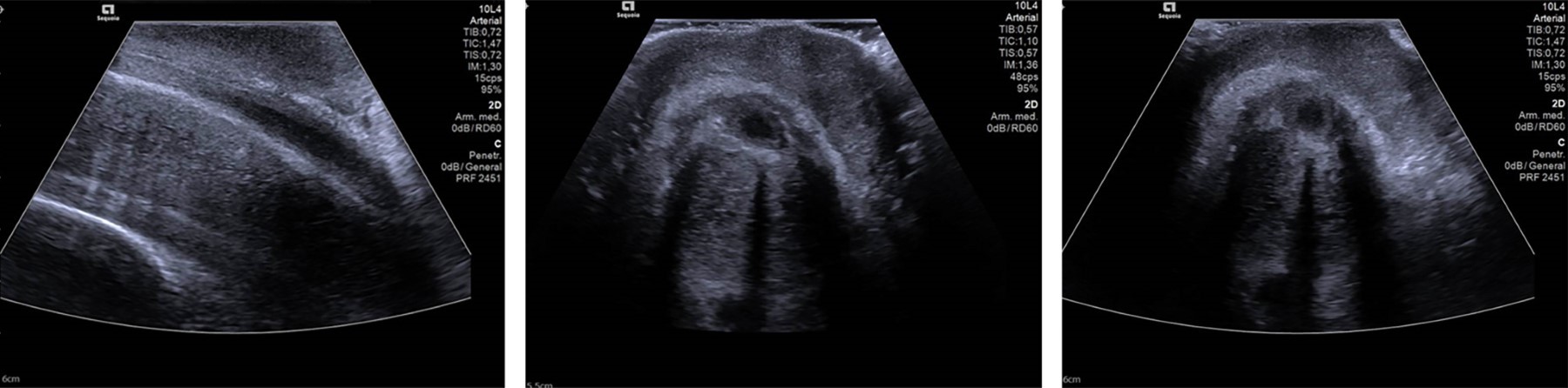
En la exploración física se observó una erección dolorosa sin pulsos palpables, lo que condujo a la realización de una gasometría arterial de la arteria cavernosa y un ultrasonido Doppler arterial de pene que confirmaron la presencia de priapismo con flujo ausente debido a trombosis en la arteria cavernosa (Figura 1). Se decidió ingresar al paciente al servicio de cirugía para el drenaje de los cuerpos cavernosos, sin embargo, al no lograr los resultados esperados debido a la vasodilatación y ausencia de flujo, se realizó una segunda intervención, consistente en un shunt cavernoso-esponjoso anterior y posterior bilateral, junto con peneplastia, lo que resultó en una mejoría significativa de los síntomas y permitió su alta hospitalaria.

En un segundo tiempo, el paciente regresó a la unidad médica para la colocación de una prótesis de pene debido a la disfunción de los cuerpos cavernosos, sin presentar complicaciones adicionales, lo que permitió su alta a domicilio (Figura 2).



DISCUSIóN

La presentación aguda del priapismo secundario a drogas y el tiempo de evolución son clave en cuanto al pronóstico para la función del pene. En este caso, el priapismo inducido por el uso de drogas, aunado al tiempo de evolución del mismo, tuvo como resultado la disfunción eréctil, creando la necesidad de colocar una prótesis de pene para tratar la impotencia causada por el daño secundario al priapismo. Sin embargo, este escenario subraya la importancia de abordar de manera integral las complicaciones derivadas del priapismo por el uso de poppers.



CONCLUSIONES

El uso de poppers como estimulante sexual está en alza en México, representando un fenómeno emergente en la escena del consumo de drogas. Aunque hasta el momento no se han documentado casos de priapismo en jóvenes relacionados con su consumo, es crucial concienciar a la población sobre los potenciales riesgos asociados con estas sustancias cuando se utilizan con propósitos sexuales.


REFERENCIAS (EN ESTE ARTÍCULO)

  1. Hauri D. Penile revascularization surgery in erectile dysfunction. Urol Int. 2003; 70 (2): 132-140. doi: 10.1159/000068187.

  2. Patel DV, Halls J, Patel U. Investigation of erectile dysfunction. Br J Radiol. 2012; 85 Spec No 1 (Spec Iss 1): S69-S78. doi: 10.1259/bjr/20361140.

  3. Movio G, Erskine K, Scullion S. Methaemoglobinaemia due to alkyl nitrites in a patient with suspected traumatic injuries. BMJ Case Rep. 2023; 16 (5): e255131. doi: 10.1136/bcr-2023-255131.

  4. Davies AJ, Borschmann R, Kelly SP, Ramsey J, Ferris J, Winstock AR. The prevalence of visual symptoms in poppers users: a global survey. BMJ Open Ophthalmol. 2017; 1 (1): e000015. doi: 10.1136/bmjophth-2016-000015.

  5. Docherty G, Eslami M, O'Donnell H. "Poppers maculopathy": a case report and literature review. Can J Ophthalmol. 2018; 53 (4): e154-e156. doi: 10.1016/j.jcjo.2017.10.036.



AFILIACIONES

1 Hospital Angeles México. México.

2 Médico interno de pregrado, Universidad La Salle. Ciudad de México, México.

3 Especialista en Medicina Interna, Unidad de Terapia Intermedia.

4 ORCID: 0009-0000-7127-6299



CORRESPONDENCIA

Edgar Maximiliano Cedillo Raga. Correo electrónico: maximilianoraga1@gmail.com




Recibido: 05-05-2024. Aceptado: 22-05-2024.

Figura 1
Figura 2

2020     |     www.medigraphic.com

Mi perfil

C?MO CITAR (Vancouver)

Acta Med. 2025;23

ARTíCULOS SIMILARES

CARGANDO ...