medigraphic.com
ENGLISH

Investigación Médica del ISSSTE

  • Mostrar índice
  • Números disponibles
  • Información
    • Información general        
    • Directorio
  • Publicar
    • Instrucciones para autores        
    • Envío de artículos
  • medigraphic.com
    • Inicio
    • Índice de revistas            
    • Registro / Acceso
  • Mi perfil

2026, Número 1

<< Anterior Siguiente >>

Invest Med ISSSTE 2026; 1 (1)


Abordaje quirúrgico y seguimiento de quiste hepático gigante en el adulto mayor. Reporte de caso

Coello-Uribe, Gloria Jimena1,2; González-Espinosa, Ivonne1,3; Serna-Delgado, Isaac Omar1,2; Gómez-Narváez, Daniela Nicolle1,2; Nieves-Arellano, Athenea1,2
Texto completo Cómo citar este artículo 10.35366/121748

DOI

DOI: 10.35366/121748
URL: https://dx.doi.org/10.35366/121748
Artículos similares

Idioma: Español
Referencias bibliográficas: 10
Paginas: 37-40
Archivo PDF: 585.01 Kb.


PALABRAS CLAVE

quiste hepático gigante, cirugía laparoscópica, marsupialización, drenaje percutáneo, catéter multipropósito, adulto mayor.

RESUMEN

Los quistes hepáticos son lesiones poco frecuentes, con una incidencia de 2-7%. La mayoría son asintomáticos y no requieren tratamiento; sin embargo, cuando adquieren grandes dimensiones, diámetros mayores de 10 cm, habitualmente producen sintomatología que requiere de una resolución definitiva. Actualmente, dentro de las diferentes técnicas quirúrgicas descritas, se considera que el destechamiento laparoscópico es la técnica de elección. Se presenta el caso de un paciente femenino con un quiste hepático gigante de aproximadamente 6,000 mL, que ocasiona dolor y plenitud posprandial. Debido al alto riesgo de rotura, se coloca catéter multipropósito para drenajes ambulatorios controlados y posterior destechamiento y marsupialización laparoscópica, realizado con éxito y sin complicaciones reportadas.



INTRODUCCIóN

El quiste hepático es una patología infrecuente en adultos, con incidencia de 2-7%, siendo más común en mujeres entre los 40-70 años por factores hormonales después del climaterio.1 En 3% de los casos es asintomático y en 10-15% son sintomáticos, los cuales se presentan por complicaciones como hemorragia intraquística, rotura, infecciones o compresión de estructuras adyacentes.2 La sintomatología incluye dolor, dispepsia, saciedad, náusea y/o vómito, disnea, ictericia o hipertensión portal.3,4 Los quistes simples no suelen necesitar tratamiento ni seguimiento, salvo que sean gigantes (diámetro de 10-20 cm) y produzcan sintomatología o complicaciones.5 La elección del tratamiento depende de varios factores, como el tamaño, la localización y las características del quiste.

Los procedimientos menos invasivos son la punción-aspiración con o sin inyección de sustancias esclerosantes, y la coagulación con argón plasma sobre la pared del quiste; sin embargo, suelen estar asociados a mayores tasas de recidiva.2 Los procedimientos invasivos incluyen cistoyeyunostomía, escisión completa del quiste, hepatectomía parcial, lobectomía hepática (si se sospecha malignidad) o incluso trasplante hepático en casos de disfunción hepática.2 El destechamiento laparoscópico es considerado la técnica de elección, con una tasa de éxito de 75-85% y recidiva de 0-11%.1,6 Se presenta este caso clínico con el objetivo de describir el manejo de un quiste hepático gigante, dada su baja frecuencia, el riesgo de complicaciones y la necesidad de aplicar estrategias quirúrgicas seguras. Este caso resulta relevante para orientar el manejo clínico, optimizar los resultados quirúrgicos y minimizar los riesgos asociados al tratamiento de esta patología.



PRESENTACIóN DEL CASO

Presentamos el caso de una mujer de 70 años, que no contaba con antecedentes de enfermedades crónico-degenerativas, cirugías previas, traumatismos ni toxicomanías, quien inicia su padecimiento un año previo con aumento de volumen abdominal, dolor en hipocondrio derecho, astenia y plenitud postprandial temprana. Sin recibir ningún manejo previo, la progresión y persistencia de los síntomas la llevaron a buscar atención médica. Al examen físico, se encuentra anictérica, con abdomen globoso a expensas de visceromegalia derecha, blando, no doloroso, sin datos de irritación peritoneal. Se reportan los siguientes resultados del examen de laboratorio:

  • 1. Hemograma: hemoglobina 12.6 g/dL, hematocrito 38.5%, leucocitos 5,200 cel/μL, plaquetas 278,000 cel/μL.
  • 2. Química: glucosa 81 mg/dL, nitrógeno ureico en sangre (BUN) 14.93 mg/ dL, urea 32 mg/dL, creatinina 0.50 mg/dL, ácido úrico 4.2 mg/dl, colesterol total 162 mg/dL triglicéridos 56 mg/dL, bilirrubina total 0.75 mg/dL, bilirrubina indirecta 0.55 mg/dL, bilirrubina directa 0.20 mg/dL, aspartato aminotransferasa (AST) 32 UI/L, alanina aminotransferasa (ALT) 20 UI/L, fosfatasa alcalina (FA) 169 UI/L, gammaglutamil transpeptidasa (GGT) 138 UI/L, deshidrogenasa láctica (DHL) 165 UI/L, albumina 4.10 g/dL, sodio 138 mmol/L, potasio 4.3 mmol/L, cloro 111 mmol/L, calcio 9.4 mg/dL, fósforo 4.0 mg/dL.

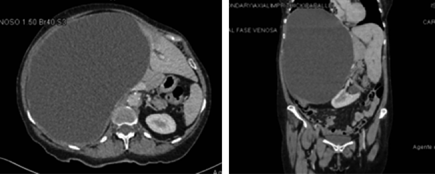
Pruebas de coagulación: tiempo de protrombina (TP) 12.8 segundos, índice internacional normalizado (INR) 1.17, tiempo parcial de tromboplastina (TPT) 27.2 segundos. Ultrasonido hepático reporta una masa ovoidea de contenido anecoico, no vascularizado, con volumen aproximado de 6,231.9 mL. Debido al gran volumen detectado, se decide realizar una tomografía axial computarizada (TAC) abdominal con contraste, con el fin de evaluar extensión y caracterización del quiste para una planificación quirúrgica. La TAC muestra una lesión dependiente de lóbulo derecho de 194.27 × 185.72 mm, con un volumen aproximado de 6,000 mL (Figura 1).

Tras correlacionar los hallazgos del examen físico con los estudios de imagen, se identificó un alto riesgo de rotura del quiste, motivo por el cual se indicó la hospitalización de la paciente. Dada la magnitud de la lesión y la compresión ejercida sobre estructuras adyacentes, se optó por un drenaje inicial con catéter multipropósito (cola de cochino), obteniendo 1,500 mL de líquido achocolatado sin complicaciones. Se envía muestra a citología, la cual reporta concentración de leucocitos 1,250 cel/μL, mononucleares 73%, polimorfonucleares 27%, citoquímica: glucosa 80 mg/dL, proteínas totales 5,723 g/dL. Posterior a su egreso, se realizan drenajes ambulatorios (500 mL por consulta) hasta permitir un destechamiento laparoscópico con menor riesgo.

Seis meses después se realiza marsupialización laparoscópica encontrando quiste en segmentos 7-8, fístula hepatocutánea y múltiples quistes conglomerados.

La paciente evolucionó favorablemente, sin presentar síntomas ni complicaciones postquirúrgicas (Figura 2).

Se obtuvo consentimiento informado por escrito del paciente para la publicación de este caso clínico.



DISCUSIóN

Los quistes hepáticos pueden presentarse como lesiones únicas o múltiples. Son congénitos y surgen como una anomalía del desarrollo de la vía biliar intrauterina.7 Son asintomáticos en la mayoría de los casos y no comprometen la función hepática, siendo en la mayoría de los casos hallazgos incidentales.8 Su desarrollo tiene una posible conexión etiológica con la presencia de estrógenos debido a su aumento en mujeres, especialmente entre los 40 y 60 años de edad.9 La literatura respalda que el destechamiento laparoscópico es el método de elección para los quistes hepáticos gigantes sintomáticos debido a su alta eficacia, baja recidiva y a los beneficios inherentes a la cirugía mínimamente invasiva.1,9 Algunos autores mencionan la realización de drenaje percutáneo previo al tratamiento definitivo, generalmente como medida paliativa o temporal en quistes sintomáticos o en situaciones de alto riesgo, para reducir la presión sobre estructuras adyacentes y controlar síntomas.10 No obstante, estos abordajes suelen limitarse a aspiración única o escleroterapia, con tasas de recurrencia significativas.10 En contraste, nuestro caso implementó un manejo escalonado ambulatorio, mediante la colocación de un catéter multipropósito para drenajes progresivos antes del desecamiento laparoscópico. Esta estrategia permitió disminuir gradualmente la compresión de estructuras vecinas, minimizar el riesgo de ruptura y optimizar las condiciones anatómicas para la cirugía definitiva, combinando la seguridad del drenaje controlado con los beneficios de la cirugía mínimamente invasiva. Este enfoque no se describe en las series y revisiones consultadas, constituyendo una aportación práctica relevante para el manejo de quistes hepáticos gigantes sintomáticos.



CONCLUSIONES

El manejo de los quistes hepáticos gigantes representa un reto clínico y quirúrgico significativo, especialmente en pacientes con riesgo elevado de complicaciones. La experiencia presentada sugiere que, en pacientes con quistes de gran volumen y riesgo elevado de complicaciones, el drenaje progresivo puede ser considerado como una estrategia preparatoria efectiva antes de la intervención definitiva, algo poco documentado en la literatura. De esta manera, se amplía el espectro de opciones terapéuticas seguras para esta patología infrecuente. Su implementación requiere un adecuado seguimiento y una cuidadosa selección del paciente para maximizar los beneficios de este tratamiento.


REFERENCIAS (EN ESTE ARTÍCULO)

  1. Rodríguez-García HA, Gudiño-Chávez J, Aldrete-Velasco JA, Leal-Delgado MA, Michel-Manzo JB. Quiste hepático gigante sintomático: reporte de caso y revisión de la literatura. Cir Endosc. 2017; 19 (1): 35-39.

  2. González SB, Vázquez AM, Ramia Ángel JM. Manejo ante rotura espontánea de quiste hepático simple: una rara complicación. Cir Andal. 2020;31(3):330-332. doi: 10.37351/2020313.16.

  3. Brunicardi FC, Andersen DK, Billiar TR, Dunn DL, Kao LS, Hunter JG, et al. Schwartz's principles of surgery. 11th ed. New York: McGraw-Hill Education; 2019.

  4. Ruiz-Tovar J, López-Buenadicha A, Moreno-Caparros A, Nuño Vázquez-Garza J. Manejo quirúrgico de los quistes hepáticos simples. Cir Cir. 2012;80:52-55. Disponible en: https://www.medigraphic.com/pdfs/circir/cc-2012/cc121i.pdf

  5. Allue M, Palacios P, Jimenez A. Cuándo y cómo tratar los quistes hepáticos gigantes sintomáticos. Gastroenterol Hepatol. 2020;44(3):226-228. Disponible en: https://doi.org/10.1016/j.gastrohep.2020.06.018

  6. Kersik A, Galassi L, Colombo G, et al. Laparoscopic deroofing of simple liver cysts: do ancillary techniques, surgical devices, and indocyanine green improve outcomes? Eur Surg. 2023;55:100-106. Available in: https://doi.org/10.1007/s10353-023-00798-8

  7. Chenin M, Paisant A, Lebigot J, Bazeries P, Debbi K, Ronot M, et al. Cystic liver lesions: a pictorial review. Insights Imaging. 2022;13(1):123. Available in: https://doi.org/10.1186/s13244-022-01242-3

  8. Coto JFN, Muñoz MP, Arguedas RAR. Manejo laparoscópico de un quiste hepático gigante. Rev Med Sinergia. 2022;7(5):e786. Disponible en: https://doi.org/10.31434/rms.v7i5.806

  9. Asuquo M, Nwagbara V, Agbor C, Otobo F, Omotoso A. Giant simple hepatic cyst: a case report and review of relevant literature. Afr Health Sci. 2015;15(1):293-298. Available in: https://doi.org/10.4314/ahs.v15i1.40

  10. Díaz-Girón GA, González-Chávez MA, González HCD, Vélez-Pérez FM, Espino-Urbina L, Visag-Castillo V, et al. Quiste hepático gigante simple: Reporte de un caso y revisión de la literatura. Fundación Clínica Médica Sur, México. Rev Invest Med Sur Mex. 2015; 22 (2): 94-98



AFILIACIONES

1 Hospital General ISSSTE Aguascalientes. Aguascalientes, México.

2 Médico residente de la especialidad de Cirugía General, Servicio de Cirugía General.

3 Médico adscrito al Servicio de Cirugía General.



Conflicto de intereses: los autores declaran no tener conflicto de intereses de ningún tipo.

Financiamiento: declaramos no existir alguna relación financiera asociada a la redacción del presente trabajo.



CORRESPONDENCIA

Dra. Athenea Nieves-Arellano. E-mail: athe.nieves@gmail.com




Recibido: 30-05-2025. Aceptado: 21-10-2025.

Figura 1
Figura 2

2020     |     www.medigraphic.com

Mi perfil

C?MO CITAR (Vancouver)

Invest Med ISSSTE. 2026;1

ARTíCULOS SIMILARES

CARGANDO ...