medigraphic.com
ENGLISH

Salud Jalisco

ISSN 2448-8747 (Impreso)
Publicación cuatrimestral editada por la Secretaría de Salud Jalisco
  • Mostrar índice
  • Números disponibles
  • Información
    • Información general        
    • Directorio
  • Publicar
    • Instrucciones para autores        
  • medigraphic.com
    • Inicio
    • Índice de revistas            
    • Registro / Acceso
  • Mi perfil

2025, Número 2

<< Anterior Siguiente >>

Sal Jal 2025; 12 (2)


Afasia transcortical motora asociada a consumo de cannabinoides y barbitúricos, un reporte de caso

Salcedo-Hernández, Missael de Jesús1,2; Barajas-Nuñez, Gerardo1,3; Pimentel-García, Oliver Axel1,4; González-Bañuelos, Angel de Jesus1,5; Ramírez-Martínez, Luis Felipe1,6; Velazco-Gutiérrez, José Alberto1,7; Velázquez-Santana, Hector1,8
Texto completo Cómo citar este artículo 10.35366/121799

DOI

DOI: 10.35366/121799
URL: https://dx.doi.org/10.35366/121799
Artículos similares

Idioma: Español
Referencias bibliográficas: 13
Paginas: 107-112
Archivo PDF: 982.70 Kb.


PALABRAS CLAVE

afasia, transcortical, motora, cannabinoides, barbitúricos, caso.

RESUMEN

Se aborda el caso de un paciente joven con afasia sin causa estructural al inicio de los estudios de neuroimagen. Se realiza un análisis exhaustivo con estudios precisos y un recorrido toxicológico, en el que se diagnostica una intoxicación por consumo de cannabinoides y barbitúricos, y se deriva al paciente al servicio de neuropsicología de nuestro hospital. Se enfatiza la importancia de los informes publicados sobre déficit neurológico en pacientes debido al consumo agudo de drogas, tanto por el aumento de ictus en nuestra población como por la necesidad de difusión en prevención primaria.



ABREVIATURAS:

  • ACV = accidentes cerebrovasculares
  • TCE = traumatismos craneoencefálicos



INTRODUCCIóN

La afasia es un trastorno neurológico caracterizado por la alteración en el lenguaje, asociada a daños en distintas áreas cerebrales relacionadas con dicha función, las cuales en la mayoría de los casos están localizadas en el hemisferio dominante izquierdo. La mayoría de los casos presentan alteraciones como dificultades en la expresión y comprensión verbal y/o escrita.1

Existen otras alteraciones del lenguaje además de la afasia como lo son la disartria, el mutismo y la bradilalia, que pueden tener diversas etiologías.

La disartria es un deterioro de la inteligibilidad del habla, la cual se presenta en pacientes con lesiones bilaterales de la neurona motora superior o enfermedad neurodegenerativa.2

El mutismo selectivo es un trastorno en el que un individuo no puede hablar en ciertas situaciones sociales, aunque habla normalmente en otros entornos.3

La bradilalia es una alteración del lenguaje caracterizada por una disminución de la velocidad del habla, que puede ser síntoma de diversas patologías neurológicas, psiquiátricas o metabólicas.4,5

Las lesiones cerebrales que derivan el desarrollo de una afasia pueden deberse a diversos procesos patológicos como accidentes cerebrovasculares (ACV), traumatismos craneoencefálicos (TCE), masas encefálicas o enfermedades neurodegenerativas.1

Debido al creciente consumo de sustancias psicoactivas tal como los cannabinoides, se ha desarrollado un mayor interés en los efectos de dichas sustancias, en específico sus repercusiones en enfermedades neurológicas. Existen varios estudios que han afirmado la relación entre el consumo de cannabis y el riesgo de sufrir un accidente cerebrovascular, estimándose un aumento de 1.8 veces el riesgo de presentar dicha patología.6



ETIOLOGÍA

El ACV es la causa más común de afasia, y aproximadamente entre 20-40% de todos los accidentes cerebrovasculares isquémicos resultan en afasia aguda, mayormente como resultado de una oclusión dentro del territorio de la arteria cerebral media (ACM). En algunos casos, la afasia puede deberse a daños en estructuras subcorticales profundas del hemisferio izquierdo, como las cápsulas interna y externa, el tálamo y el núcleo caudado.7

El tetrahidrocannabinol (THC) y el cannabidiol (CBD) son los fitocannabinoides más comunes y mejor estudiados. El THC se considera el principal componente psicotrópico de la planta de cannabis y sus efectos incluyen deterioro cognitivo, alteración del sentido del tiempo o cambios de humor. Existen dos receptores cannabinoides conocidos: CB-1 y CB-2. El CB-1 es un receptor acoplado a la proteína G que proporciona una modulación inhibitoria de los neurotransmisores como noradrenalina, dopamina, serotonina, ácido γ-aminobutírico y acetilcolina. Los receptores CB-1 se encuentran en altas densidades en el cerebelo, los ganglios basales, la corteza cerebral y el hipocampo.8

La afasia puede estar causada por el deterioro progresivo del tejido cerebral, como en la enfermedad de Alzheimer, la enfermedad de Pick, la demencia vascular, algunas formas de la enfermedad de Parkinson, o por lesiones físicas directas, como se observa en las lesiones cerebrales traumáticas. Otras causas de lesiones en las áreas del lenguaje pueden ser las infecciones y los efectos de masa de los tumores cerebrales.

Si bien aún no hay evidencia confirmatoria de que exista una correlación directa entre el consumo de cannabinoides y el desarrollo de los AVC, sí existe evidencia que sugiere que el consumo de cannabinoides tiene un impacto no sólo en el desarrollo de los AVC, sino también en las complicaciones posteriores y el impacto en la terapéutica.1,7-9



FISIOPATOLOGÍA

La afasia está causada por lesiones en las áreas del lenguaje del cerebro, que suelen estar situadas en el hemisferio dominante. Para la mayoría de la población, el hemisferio dominante está en el lado izquierdo. Estas áreas son el área de Wernicke, el área de Broca y el fascículo arqueado.

El mecanismo directo por el cual el cannabis favorece la isquemia del tejido cerebral aún no está bien esclarecido, pero la mayoría de las hipótesis sugieren que existe una alteración de la perfusión cerebral por cambios en la presión arterial por vasoconstricción o vasoespasmo, así como alteraciones del flujo sanguíneo arterial a través de la vasodilatación.

La mayor cantidad de evidencia sobre los potenciales mecanismos inductores de AVC inducido por cannabis existe en relación al síndrome de vasoconstricción cerebral reversible, el cual se define como un conjunto de síndromes relacionados con la vasoconstricción, como los vasoespasmos, que posteriormente pueden conducir a la aparición de un accidente cerebrovascular isquémico.6

Se ha encontrado que el efecto cerebrovascular del cannabis está correlacionado con un aumento del índice de pulsatilidad y de las velocidades sistólicas, ambos vinculados con la vasoconstricción cerebral. A medida que aumenta el estrés oxidativo, la disfunción hemodinámica asociada al daño endotelial, los efectos procoagulantes y la disfunción mitocondrial contribuyen a la angiopatía inducida por cannabis.6

Las presentaciones de afasia pueden clasificarse en ocho de ellas,10 se pueden encontrar caracteristicas por subgrupo en la Figura 1.



SÍNDROMES AFÁSICOS

Afasia de Wernicke (receptiva). La lesión se localiza en el área de Wernicke (área 22 de Brodmann), que es el centro de comprensión y planificación de las palabras. Aunque los pacientes son incapaces de comprender las palabras escritas y/o habladas, su habla sigue siendo fluida. Sin embargo, al mismo tiempo, su habla carece de sentido y puede incluir parafasia, tanto fonémica como semántica, neologismo y jerga. La parafasia fonémica afecta a palabras que suenan igual, mientras que la parafasia semántica se refiere a palabras que se relacionan entre sí. Los neologismos son palabras inventadas. La jerga es una cadena de palabras inventadas en combinación con palabras reales que no tienen sentido juntas en su contexto. Estos pacientes no son conscientes de sus errores y no reconocen que su discurso carece de sentido.1

Afasia de Broca (expresiva). Se observa en el área de Broca, (área 44-45 de Brodmann) que es el centro de la parte motora del habla y de la formación de frases. Los pacientes son incapaces de formular correctamente el lenguaje hablado y escrito gramaticalmente correcto. Aunque su habla no es fluida y carece de palabras con significado gramatical como preposiciones y artículos, los pacientes son capaces de incluir palabras de contenido importante como sustantivos, verbos y algunos adjetivos. Por lo tanto, los pacientes suelen ser capaces de transmitir el mensaje que intentan expresar.

Afasia de conducción. La lesión se localiza en el fascículo arqueado (Figura 2), que es la vía neural que conecta el área de Wernicke con el área de Broca. Los pacientes tienen dificultades o son incapaces de repetir lo que se les dice. Reconocen sus errores parafásicos e intentan corregirlos.1,7

Afasia sensorial transcortical. Se encuentra alrededor del área de Wernicke, sin embargo, no afecta al área de Wernicke y la aísla. Los pacientes tienen incapacidad para comprender, pero pueden repetir con un habla fluida. Al mismo tiempo, los pacientes muestran la presencia de parafasia semántica.11

Afasia motora transcortical. Aparece alrededor del área de Broca, sin embargo, no afecta al área de Broca y la aísla. Los pacientes tienen un habla no fluida, pero son capaces de repetir frases largas y complejas. Los pacientes tienden a permanecer en silencio, pero pueden hablar con una o dos palabras. Se produce por lesiones en la pars triangularis del giro inferior del lóbulo frontal.

Afasia transcortical mixta. La lesión se localiza alrededor del área de Wernicke, el área de Broca y el fascículo arqueado, pero estas áreas no se ven afectadas y están aisladas. Los pacientes tendrían un deterioro grave del habla y la comprensión; sin embargo, pueden repetir frases largas y complejas.2

Afasia global. Las lesiones varían en tamaño y localización, pero tienden a seguir la distribución de la arteria cerebral media izquierda. Es la forma más grave de afasia. Los pacientes sólo pueden producir unas pocas palabras reconocibles y tienen poca o ninguna comprensión del lenguaje escrito o hablado. Los pacientes son incapaces de leer o escribir.



DIAGNÓSTICO DIFERENCIAL

La afasia puede presentarse de forma insidiosa o aguda y está causada por varios procesos patológicos que deben descartarse, como ACV, tumor cerebral, hemorragia cerebral o TCE y demencia por toxinas, infecciones o alteraciones vasculares.

Otros diagnósticos diferenciales a tener en cuenta: alteración del estado mental por encefalopatía o delirio, disfonía, disartria, apraxia del habla, trastorno cognitivo-comunicativo y sordera.



TRATAMIENTOS DE LA AFASIA

El tratamiento inicial de la afasia depende de su causa. En pacientes con ACV agudo, los pacientes pueden recibir terapia trombolítica intravenosa con activador tisular del plasminógeno (tPA), trombectomía mecánica intraarterial o endarterectomía carotídea. La descompresión quirúrgica se utiliza en pacientes con ACV hemorrágico, TCE o tumores cerebrales. Si la causa se debe a una infección, puede estar indicado iniciar corticoides, antivirales o antibióticos.

Aunque no existe un tratamiento estandarizado, el objetivo principal es que los pacientes recuperen su máximo nivel de independencia. Para lograr este objetivo, es necesario abordar y tratar adecuadamente las comorbilidades físicas, la salud mental y los déficits del paciente. Además, la educación de los cuidadores y el apoyo social influyen enormemente en el resultado de la recuperación del paciente.

La logopedia (terapia de lenguaje) es el pilar del tratamiento de la afasia. Sin embargo, el enfoque de la terapia varía y puede centrarse en el déficit lingüístico en sí, o en el uso de estrategias compensatorias y habilidades de comunicación.

El método ideal no está claro; sin embargo, el tratamiento lingüístico cognitivo centrado en el significado de las palabras se ha recomendado recientemente como estándar de práctica para la afasia. Hay una suposición implícita de que este enfoque en el significado de las palabras conducirá a una mejor comunicación verbal.12

Se presenta el caso de un paciente joven con afasia y lesiones agudas estructurales en núcleos de la base por consumo de barbitúricos y cannabinoides.



CASO CLíNICO

Hombre en la segunda década de la vida, quien padece afasia transcortical motora aguda, y antecedente de consumo de un mes de marihuana. Antecedentes personales patológicos: no cuenta con antecedentes de importancia.

Exploración física: se encuentra paciente consciente, alerta, cooperador, Glasgow de 14 puntos a expensas de verbal (O4, V4, M6), lenguaje no fluente, comprende, repite palabras en monosílabos y bisílabos, oraciones simples, compresión de imágenes, lectura capaz de comprender y repetir palabras y números, presenta disgrafía y acalculia. Sin alteración aparente de los nervios del cráneo, sistema motor con fuerza 5/5 en las cuatro extremidades, sensibilidad conservada al tacto epicrítico como protopático, ROTS ++/++++, respuesta plantar flexora bilateral.

Se le realiza marcha toxicológica siendo positiva para cannabinoides y barbitúricos (Tabla 1).

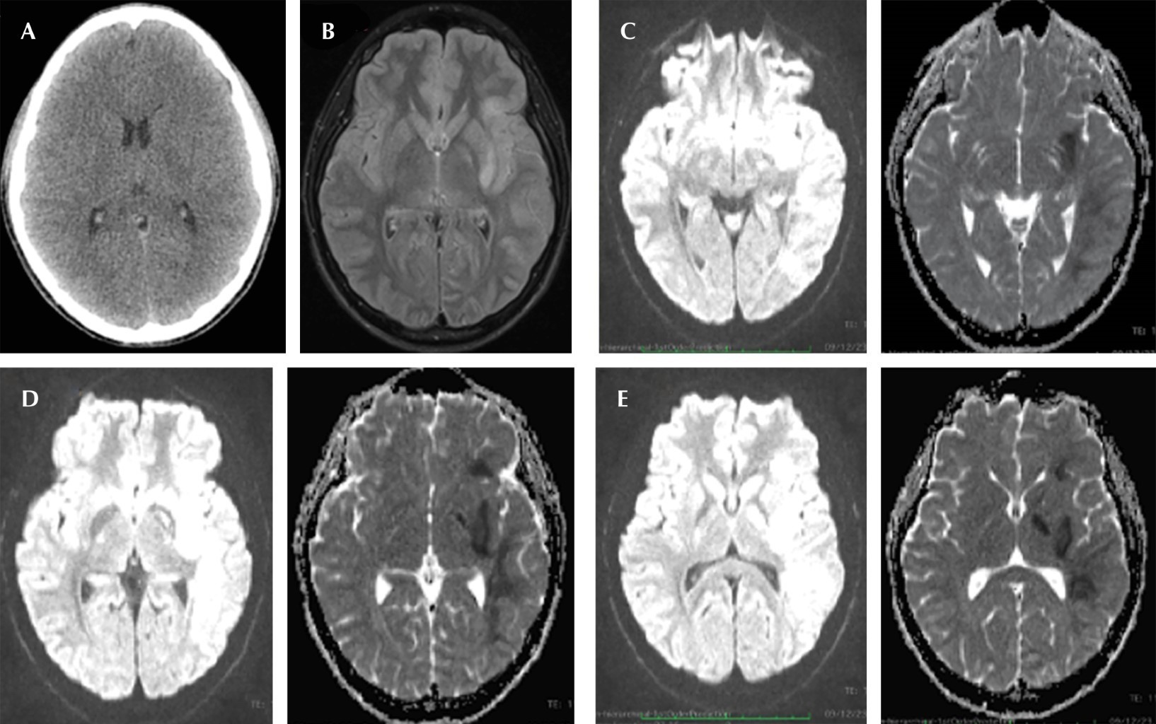
A valoración en el servicio de urgencias se realiza TAC simple de cráneo, la cual se encuentra sin alteraciones, sin áreas de sangrado con adecuada diferenciación de sustancia gris y sustancia blanca, por lo anterior se le solicitó resonancia magnética (RM), secuencias de difusión y coeficiente de difusión aparente (ADC) muestran sitios de restricción en núcleos de la base involucrados: globo pálido y lenticular izquierdo, cambios yuxtacorticales (Figura 3).

Este caso es de interés por el aumento en consumo de cannabinoides y barbitúricos. De acuerdo al reporte del INEGI, las enfermedades cerebrovasculares representan la quinta causa de muerte en nuestro estado, en 2024 cobra relevancia ya que la tendencia actual al consumo de drogas psicoactivas va en aumento, lo que impacta en la morbimortalidad de población económicamente activa.13



CONCLUSIóN

Se aborda el caso de un paciente joven con afasia sin causa estructural al inicio de los estudios de neuroimagen, se realiza un análisis profundo con estudios precisos y marcha toxicológica, en la cual se aborda como intoxicación con consumo de cannabinoides y barbitúricos, realizando el diagnóstico y se canaliza al paciente al servicio de neuropsicología de nuestro hospital.

Se hace hincapié en la importancia de reportes en la literatura sobre el déficit neurológico en pacientes por consumo de drogas de inicio agudo, tanto por el aumento de ACV en nuestra población como por la necesidad de difusión en prevención primaria.


REFERENCIAS (EN ESTE ARTÍCULO)

  1. Le H, Lui F, Lui MY. Aphasia. In: StatPearls. Treasure Island (FL): StatPearls Publishing; 2025. Available from: https://www.ncbi.nlm.nih.gov/books/NBK559315/

  2. Jordan LC, Hillis AE. Disorders of speech and language: aphasia, apraxia and dysarthria. Curr Opin Neurol. 2006;19(6):580-585. doi: 10.1097/WCO.0b013e3280109260.

  3. Hua A, Major N. Selective mutism. Curr Opin Pediatr. 2016;28(1):114-120. doi: 10.1097/MOP.0000000000000300.

  4. Acharya AB, Wroten M. Broca Aphasia. In: StatPearls. Treasure Island (FL): StatPearls Publishing; 2025. Available from: https://www.ncbi.nlm.nih.gov/books/NBK436010/

  5. Qué es bradilalia: definición médica. https://www.cun.es. Disponible en: https://www.cun.es/diccionario-medico/terminos/bradilalia

  6. Carter C, Laviolette L, Bietar B, Zhou J, Lehmann C. Cannabis, cannabinoids, and stroke: increased risk or potential for protection-A narrative review. Curr Issues Mol Biol. 2024;46(4):3122-3133. doi: 10.3390/cimb46040196.

  7. Fridriksson J, den Ouden DB, Hillis AE, Hickok G, Rorden C, Basilakos A, et al. Anatomy of aphasia revisited. Brain. 2018;141(3):848-862. doi: 10.1093/brain/awx363.

  8. Wong KU, Baum CR. Acute cannabis toxicity. Pediatr Emerg Care. 2019;35(11):799-804. doi: 10.1097/PEC.0000000000001970.

  9. Swetlik C, Migdady I, Hasan LZ, Buletko AB, Price C, Cho SM. Cannabis use and stroke: does a risk exist? J Addict Med. 2022;16(2):208-215. doi: 10.1097/ADM.0000000000000870.

  10. Los 8 tipos de afasia (DCA)- Asociación Ayuda Afasia. Asociación Ayuda Afasia. 2020. Disponible en: https://afasia.org/blog-tipos-de-afasia-dca/

  11. Waldo ML. The frontotemporal dementias. Psychiatr Clin North Am. 2015;38(2):193-209. doi: 10.1016/j.psc.2015.02.001.

  12. Engelter ST, Gostynski M, Papa S, Frei M, Born C, Ajdacic-Gross V, et al. Epidemiology of aphasia attributable to first ischemic stroke: incidence, severity, fluency, etiology, and thrombolysis. Stroke. 2006;37(6):1379-1384. doi: 10.1161/01.STR.0000221815.64093.8c.

  13. Estadísticas a propósito del Día Internacional de la lucha contra el uso indebido y el tráfico ilícito de drogas (26 de junio). 2023. Comunicado de prensa. 2023; 1-8. Disponible en: https://www.inegi.org.mx/contenidos/saladeprensa/aproposito/2023/EAP_DROGAS23.pdf



AFILIACIONES

1 Servicio de Neurocirugía del Nuevo Hospital Civil de Guadalajara "Dr. Juan I. Menchaca". Departamento de Clínicas Médicas. División de Disciplinas Clínicas. Centro Universitario de Ciencias de la Salud. Universidad de Guadalajara. Jalisco, México.
ORCID:

2 0000-0003-0033-6017

3 0009-0007-7731-0700

4 0009-0007-7157-6321

5 0009-0000-1840-8504

6 0009-0001-4703-8124

7 0009-0008-3440-0877

8 0009-0009-9744-0128



Consentimiento informado: se obtuvo el consentimiento informado de parte del paciente para la publicación del trabajo.



CORRESPONDENCIA

Missael de Jesús Salcedo-Hernández. E-mail: missael.salcedohdez@gmail.com




Recibido: 27/05/2025. Aceptado: 23/07/2025.

Figura 1
Figura 2
Figura 3
Tabla 1

2020     |     www.medigraphic.com

Mi perfil

C?MO CITAR (Vancouver)

Sal Jal. 2025;12

ARTíCULOS SIMILARES

CARGANDO ...