2026, Número 1
Compresión medular secundaria a hepatocarcinoma de células claras
Idioma: Español
Referencias bibliográficas: 20
Paginas: 46-51
Archivo PDF: 782.27 Kb.
RESUMEN
El carcinoma hepatocelular (HCC) es el tumor hepático primario más frecuente y la tercera causa de muerte por cáncer a nivel mundial. Su variante de células claras representa un 2 al 6% de los casos. Desde 2016 se han observado cambios en su incidencia, debido al mejor manejo de hepatitis C, cambios en el estilo de vida y factores de riesgo como diabetes mellitus, tabaquismo y obesidad visceral. Sus metástasis más frecuentes son en pulmón, nódulos linfáticos y hueso. Se reporta el caso de paciente de 66 años que consultó por dolor cervical, irradiado hacia extremidades superiores; asociado a signos de mielopatía compresiva. Sin manifestaciones previas de disfunción hepática. La metástasis hacia columna cervical es infrecuente, observandose en 6 a 8% de los casos. Entre los pacientes con metástasis vertebrales, entre un 10 a 40% presenta compromiso simultaneo de dos o más vertebras. Los pacientes con compresión hacia médula espinal deben recibir tratamiento quirúrgico de urgencia, con el fin de disminuir los cambios irreversibles de ésta. La presencia de compresión medular y mielopatía secundarias a metástasis se considera una urgencia oncológica. El paciente fue sometido a corpectomía total de la vértebra C4, y colocación de prótesis con resolución completa de la mielopatía. En casos de metástasis altamente vascularizadas se recomienda la embolización preoperatoria para reducir hemorragia intraoperatoria y facilitar la resección quirúrgica.INTRODUCCIóN
El cáncer primario más común en hígado es el carcinoma hepatocelular (HCC, por sus siglas en inglés), siendo la tercera causa de muerte por cáncer a nivel mundial; su tratamiento dependerá de la presencia de cirrosis hepática. El HCC de células claras es una lesión tumoral poco frecuente que tiene una incidencia del 2 al 6% entre los HCC.1,2
Existe consenso de realizar un programa de cribado mediante ultrasonografía (USG) en pacientes cirróticos con clase funcional Child-Pugh A y B, considerando para trasplante aquellos con mala función hepática.3
Actualmente, los estudios de imagen para diagnóstico de lesiones hepáticas son muy confiables, siendo los más importantes la tomografía abdominal en tres fases, la resonancia magnética dinámica contrastada en tres fases y la USG. Sin embargo, existe alta posibilidad de que un nódulo de nueva aparición, detectado con USG, sea HCC, en especial si sus dimensiones superan los 10 mm de diámetro. Estas lesiones presentan una vascularización de predominio arterial, así como una reducción de vascularización portal a medida que avanza la hepatocarcinogénesis. Este modelo presenta una especificidad del 100% para diagnóstico de HCC cuando se correlaciona con análisis anatomopatológicos. El patrón anteriormente descrito tiene un 60-70% de sensibilidad en lesiones pequeñas; 15% de estas lesiones son hipovasculares, al no haber terminado su proceso de neovascularización.3,4
El tratamiento de HCC conlleva una complejidad añadida cuando el desarrollo de cáncer se da en el contexto de una enfermedad hepática crónica con resección y trasplante hepático por cirugía abierta o videolaparoscópica.3,4
Los sitios más comunes donde el HCC puede presentar metástasis son pulmón (55%), nódulos linfáticos (53%), hueso (28%), glándulas adrenales y peritoneo (11%), y cerebro (2%). Clínicamente, cuando hay presencia de metástasis, se considera un caso avanzado de la enfermedad, por lo cual los pacientes no son considerados para tratamiento curativo.5-8
Las metástasis óseas son 40% más frecuentes que los tumores óseos primarios; 65% de ellos son de localización vertebral. Un 5 al 10% presenta compresión medular y un 10% requerirá tratamiento quirúrgico.6,9 Estudios en autopsias evidenciaron que 20-70% de los pacientes con cáncer y metástasis confirmada tienen compromiso tumoral en columna al momento del deceso. La región espinal más afectada es la región dorso-lumbar (70%), seguida del lumbosacro (22%); la menos frecuente es la columna cervical (8%).6-8,10 Aproximadamente entre un 10 y 40% de los casos puede presentar metástasis simultáneas en dos o más cuerpos vertebrales.9,11
Entre el 8 y 24% de los pacientes que presentan metástasis en columna vertebral tienen un tumor primario de origen desconocido, asociado a una elevada mortalidad.9,12
En casos de metástasis cervical, el síntoma más frecuente es dolor cervical (80-95%), seguido de la claudicación (61-89%), de aparición gradual; en tercer lugar están los síntomas sensitivos (46-80%). El déficit neurológico aparece alrededor de las siete semanas. La presencia de compresión medular constituye una urgencia oncológica; su tratamiento temprano tiene como objetivo mejorar la funcionalidad medular y de la columna vertebral, mejorando la calidad de vida del paciente.7,8,10
Se describe una presentación y diagnóstico inusual de HCC en la que el paciente debutó con mielopatía compresiva a nivel de las vértebras cervicales C3-C4, C4-C5, C5-C6.
PRESENTACIóN DEL CASO
Paciente masculino de 66 años, originario de la ciudad Guatemala, consulta por dolor cervical de un mes de evolución que irradia hacia ambas extremidades superiores, hasta el codo, de predominio izquierdo, intensidad 4/10, que aumenta al final del día, asociado a pérdida de fuerza en ambos brazos, dificultad para la marcha y pérdida de motricidad fina. Como antecedentes de importancia: paciente hipertenso, diabético y cirrosis hepática de reciente diagnóstico.
A la evaluación física paciente presenta pérdida de fuerza en dermatoma C6, con reflejos osteotendinosos 2/4, signo de Hoffmann negativo, prueba de Spurling positiva. Se realiza resonancia magnética cervical, evidenciando compresión medular en C3-C4, C4-C5, C5-C6. En resonancia magnética (RM) y tomografía axial computarizada (TAC) cervical se reportó lesión osteolítica del cuerpo vertebral C4, que involucra apófisis transversa izquierda, con componente de tejido blando que estrecha el foramen izquierdo (Figura 1A-B).
Fue llevado a sala de operaciones, donde se realizó corpectomía vertebral de C4, con colocación de prótesis de cuerpo vertebral de C3 a C5 (Figura 2A-B), teniendo sangrado transoperatorio (3,700 ml), siendo necesaria la transfusión de hemoderivados. Al evaluar cuerpo vertebral C4 se observa tejido blando sumamente vascularizado.
Se realiza PET SCAN, donde se evidenció zona focal hipermetabólica con metástasis activa en T11. Área focal hepática pseudonodular asociada a hipermetabolismo, siendo la posibilidad de primario a nivel hepático. Se envía cuerpo C4 y biopsia hepática a patología, donde se reportó hepatocarcinoma de células claras con cirrosis hepática asociada.
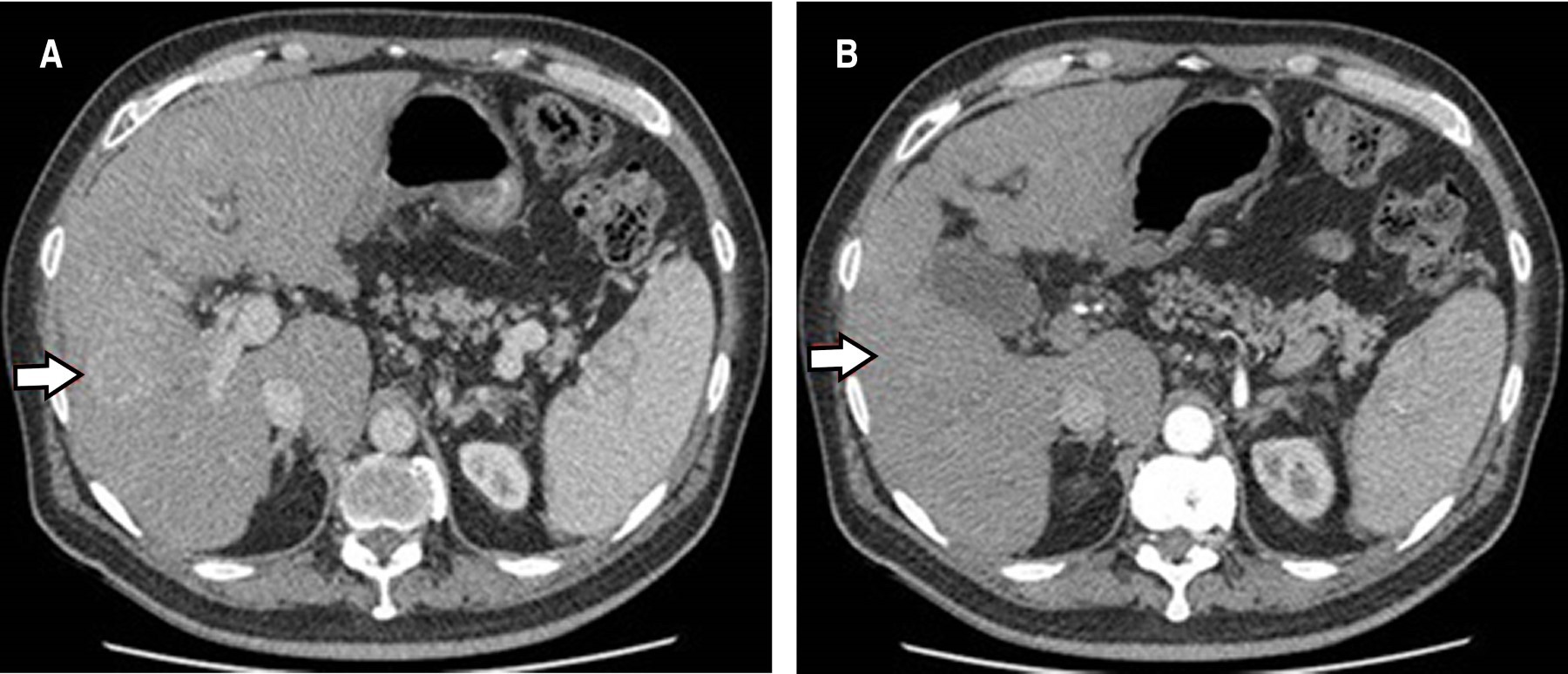
Se transfiere al paciente a la unidad de oncología, donde le realizan tomografía trifásica de hígado (Figura 3A y B). Se da tratamiento complementario con quimioterapia.
DISCUSIóN
El caso clínico presentado tuvo como objetivo evidenciar el comportamiento inusual del HCC, debutando con síntomas mielopáticos, sin síntomas típicos. Los signos y síntomas de mielopatía compresiva incluyen dolor cervical que irradia hacia ambas extremidades superiores, con pérdida de fuerza, marcha atáxica y pérdida de motricidad fina.
La decisión tomada fue la indicada, cumpliendo con criterios de resolución quirúrgica de la compresión medular; ésta es la causa de disfunción medular más frecuente en adultos, y una urgencia oncológica.8
Al momento de incidir columna vertebral y evaluar la destrucción total del cuerpo vertebral, el diagnóstico oncológico fue un reto. Las metástasis a columna vertebral provocan dolor radicular y déficit neurológico progresivo, parálisis completa, y déficit esfinteriano.13 Cuando se afecta el hueso vertebral, las consecuencias son repercusiones mecánicas y estructurales importantes, incluyendo fracturas por compresión, deformidades, subluxaciones y listesis.13-15 Se colocó una prótesis de cuerpo vertebral para garantizar la estabilidad de la columna tras la corpectomía total.16
La compresión medular maligna es más frecuente en cáncer de próstata, mama y pulmón, apareciendo en 5% de los pacientes oncológicos; es una fuente de morbilidad importante en pacientes con diagnóstico de cáncer, causando pérdida de movilidad y del control de esfínteres en su estadio final.10,17
Uchino y colaboradores18 realizaron un estudio en 2011 donde estudiaron a 342 pacientes con HCC con metástasis, y se evidenció que sólo 28 presentaron síntomas debutantes asociados a la metástasis. Aproximadamente un tercio de las metástasis óseas no presentan síntomas, pero pueden presentarse súbitamente con compresión medular o inestabilidad de la columna.7,8
La metástasis hacia columna cervical es infrecuente debido al menor volumen óseo, comparado con los niveles inferiores, y por la amplitud superior del canal espinal, lo que hace que esta complicación tenga una manifestación más lenta.8
Posterior al procedimiento quirúrgico y al estudio histológico del cuerpo vertebral C4, se continuó con un estudio sistemático del paciente, evidenciando lesiones en pulmón izquierdo, lo cual corresponde epidemiológicamente al sitio de metástasis más frecuente del HCC. Las lesiones en columna vertebral por metástasis se dividen en estables, aquellas donde el cuerpo vertebral se encuentra intacto, e inestables, que son aquellas en donde hay aplastamiento o destrucción del cuerpo donde el fragmento de hueso puede causar compresión.
El tratamiento debe ser individualizado, basado en esteroides, siendo la dexametasona el más utilizado, además de tratamiento quirúrgico temprano; este último tiene mejores resultados de morbilidad a corto, mediano y largo plazo. Posteriormente, se recomienda la radioterapia, y quimioterapia en cánceres sensibles. El uso de radioterapia posterior tiene resultados alentadores en cuanto a la incontinencia urinaria y paresia (11-21%), control del dolor (70%) y déficit neurológico (45-60%).17,19
La intervención quirúrgica tiene como objetivo resecar la lesión tumoral, descomprimir la médula espinal, prevenir déficits neurológicos, estabilizar la columna y obtener muestras para su estudio anatomopatológico. El tratamiento quirúrgico se ofrece a pacientes con pronóstico de vida superior a tres meses, compresión medular secundaria localizada, lesiones radiorresistentes, progresión del déficit durante el tratamiento, o bien, dosis que llegan a la tolerancia de médula espinal después de la radioterapia, inestabilidad y dolor que no mejora al tratamiento.19
Hay factores predictivos para inestabilidad de columna vertebral con metástasis. Tales son lesiones tumorales de gran tamaño, pérdida de densidad ósea, mayor carga axial, destrucción del pedículo o articulaciones intervertebrales, deformidad sagital, y localización de metástasis en vertebras superiores. Actualmente se utiliza un sistema para valorar inestabilidad vertebral llamado SINS (Spinal Instability Neoplastic Disease)20 (Tabla 1).
En el procedimiento realizado se colocó al paciente una prótesis metálica para proporcionarle movilidad y estabilidad cervical, evitando de esta manera la aparición de subluxaciones. Al ser una lesión muy vascularizada, sería ideal embolizarla para evitar hemorragia transoperatoria.
CONCLUSIONES
La metástasis vertebral como forma de presentación inicial del HCC del subtipo de células claras es un hallazgo sumamente infrecuente. No obstante, este tipo de presentación refuerza la importancia del cribado oportuno en pacientes con hepatopatía crónica, especialmente mediante ecografía abdominal, con el fin de detectar de forma temprana lesiones hepáticas malignas.
El caso presentado destaca la necesidad de considerar metástasis de origen hepático en pacientes que manifiesten signos de compresión medular, incluso cuando no existen síntomas evidentes de disfunción hepática.
En casos de metástasis espinal con compresión medular confirmada, el tratamiento quirúrgico debe considerarse una urgencia oncológica, orientado a restablecer la estabilidad estructural de la columna y prevenir déficits neurológicos progresivos e irreversibles. La radioterapia postoperatoria puede contribuir a mejorar el control del dolor, la función neurológica y la calidad de vida a mediano y largo plazo.
Finalmente, este caso resalta la importancia de mantener un programa de vigilancia activo en pacientes con riesgo elevado de desarrollar HCC, especialmente aquellos con antecedentes de cirrosis hepática, aun si son asintomáticos o están bajo tratamiento, ya que el HCC, cuando no es diagnosticado a tiempo, puede presentarse con manifestaciones extrahepáticas graves potencialmente letales.
REFERENCIAS (EN ESTE ARTÍCULO)
Reig M, Forner A, Ávila MA, Ayuso C, Mínguez B, Varela M, et al. Diagnóstico y tratamiento del carcinoma hepatocelular. Actualización del documento de consenso de la AEEH, AEC, SEOM, SERAM, SERVEI y SETH. Med Clin (Barc). 2021; 156: 463.e1-463.e30. Disponible en: https://seom.org/images/Guias_CHC_Spain_16_01_2021.pdf
Franco-Buenaventura D, Prieto AC, Gómez-Arévalo JA, García-Perdomo HA. Herramientas fundamentales para el tratamiento integral de pacientes con compresión medular secundaria a cáncer de próstata metastásico: una revisión de alcance. Rev Urol Colomb / Colomb Urol J. 2025; 34. Disponible en: http://dx.doi.org/10.24875/ruc.24000033
Portes-Chiva A, Isart-Torruela A, Vila-Canet G, del Arco-Churruca A, Rodríguez-Rubio D, Manzano-López D, et al. ¿Es justificable la utilización de la vertebrectomía total ante metástasis vertebrales únicas? Presentación de un caso clínico y revisión de la literatura. Acta Ortop Mex. 2025; 39: 52-57. Disponible en: http://dx.doi.org/10.35366/118854
Ramírez Jiménez JJ, Chiquete E, Ramírez S, Guerrero R. Prótesis de cuerpo vertebral JR: dispositivo modular, anatómico y expandible, con función de jaula y placa diseñada ad hoc para estabilizar la columna después de corpectomía. Coluna/Columna. 2009; 8: 178-186. Disponible en: https://www.scielo.br/j/coluna/a/993XvPXyBLWCs7QgRGx7KDJ/
Fisher CG, DiPaola CP, Ryken TC, Bilsky MH, Shaffrey CI, Berven SH, et al. A novel classification system for spinal instability in neoplastic disease: an evidence-based approach and expert consensus from the Spine Oncology Study Group. Spine. 2010; 35: E1221-1229. Available in: http://dx.doi.org/10.1097/BRS.0b013e3181e16ae2
AFILIACIONES
1 Spine Center, Guatemala.
ORCID:
2 0009-0007-3579-7696
3 0009-0007-5376-9445
4 0009-0000-1632-7655
5 0000-0001-8310-2763
Conflicto de intereses: ninguno de los autores presenta conflicto de intereses.
CORRESPONDENCIA
Armando José Murga Hernández. E-mail: armando.murga2@gmail.comRecibido: 12 de Junio de 2025. Aceptado: 29 de Julio de 2025
