medigraphic.com
ENGLISH

Acta Médica Grupo Ángeles

Órgano Oficial del Hospital Ángeles Health System
  • Mostrar índice
  • Números disponibles
  • Información
    • Información general        
    • Directorio
  • Publicar
    • Instrucciones para autores        
    • Envío de artículos
    • Políticas
    • Nombre y afiliación del Comité Editorial
  • Nosotros
    • Plan de gestión e intercambio de datos
    • Objetivos declarados y alcance
  • medigraphic.com
    • Inicio
    • Índice de revistas            
    • Registro / Acceso
  • Mi perfil

2026, Número 1

<< Anterior Siguiente >>

Acta Med 2026; 24 (1)


Hallazgos por resonancia magnética en la artritis séptica del hombro

González Ramírez, Cynthia Nalleli1,4; Martínez Ovis, Carolina1,5; Rebolledo Casas, Joana Andrea2,6; Jaramillo Arriaga, Fernando2,7; Enríquez Muñoz, Eduardo Alfredo2,8; Gómez Pérez, María de Guadalupe3,9
Texto completo Cómo citar este artículo 10.35366/122165

DOI

DOI: 10.35366/122165
URL: https://dx.doi.org/10.35366/122165
Artículos similares

Idioma: Español
Referencias bibliográficas: 3
Paginas: 68-70
Archivo PDF: 758.75 Kb.


PALABRAS CLAVE

artritis séptica, articulación hombro, resonancia magnética.

RESUMEN

La artritis séptica del hombro es una condición inflamatoria aguda que resulta en daño articular significativo si no se diagnostica y trata rápidamente. La resonancia magnética (RM) se ha establecido como una herramienta diagnóstica crucial en la evaluación de la artritis séptica del hombro debido a su capacidad para proporcionar imágenes detalladas de los tejidos blandos y de las estructuras articulares. El objetivo de este reporte de caso fue describir los hallazgos por imagen por RM en paciente masculino de 70 años con síntomas agudos. La RM mostró edema de tejidos blandos, miositis, bursitis y colecciones.



INTRODUCCIóN

La artritis séptica es una infección bacteriana que afecta una articulación.1 En el caso del hombro, esta entidad puede tener consecuencias devastadoras si no se diagnostica y trata de manera oportuna y adecuada.2 La resonancia magnética (RM) se ha consolidado como la modalidad de imagen de elección para su evaluación, ya que permite una visualización detallada de los cambios inflamatorios y destructivos en la articulación del hombro.3



PRESENTACIóN DEL CASO

Paciente masculino de 70 años que ingresa al Servicio de Urgencias por presentar dolor, aumento del volumen y limitación a los movimientos del hombro derecho de siete días de evolución.

El paciente refiere antecedente de angina de Ludwig, 22 días previos. Exámenes de laboratorio al ingreso: 17,000 leucocitos cel/mm3; linfocitos 12.7%; neutrófilos 75.6%; velocidad de sedimentación globular de 48 mm/h.



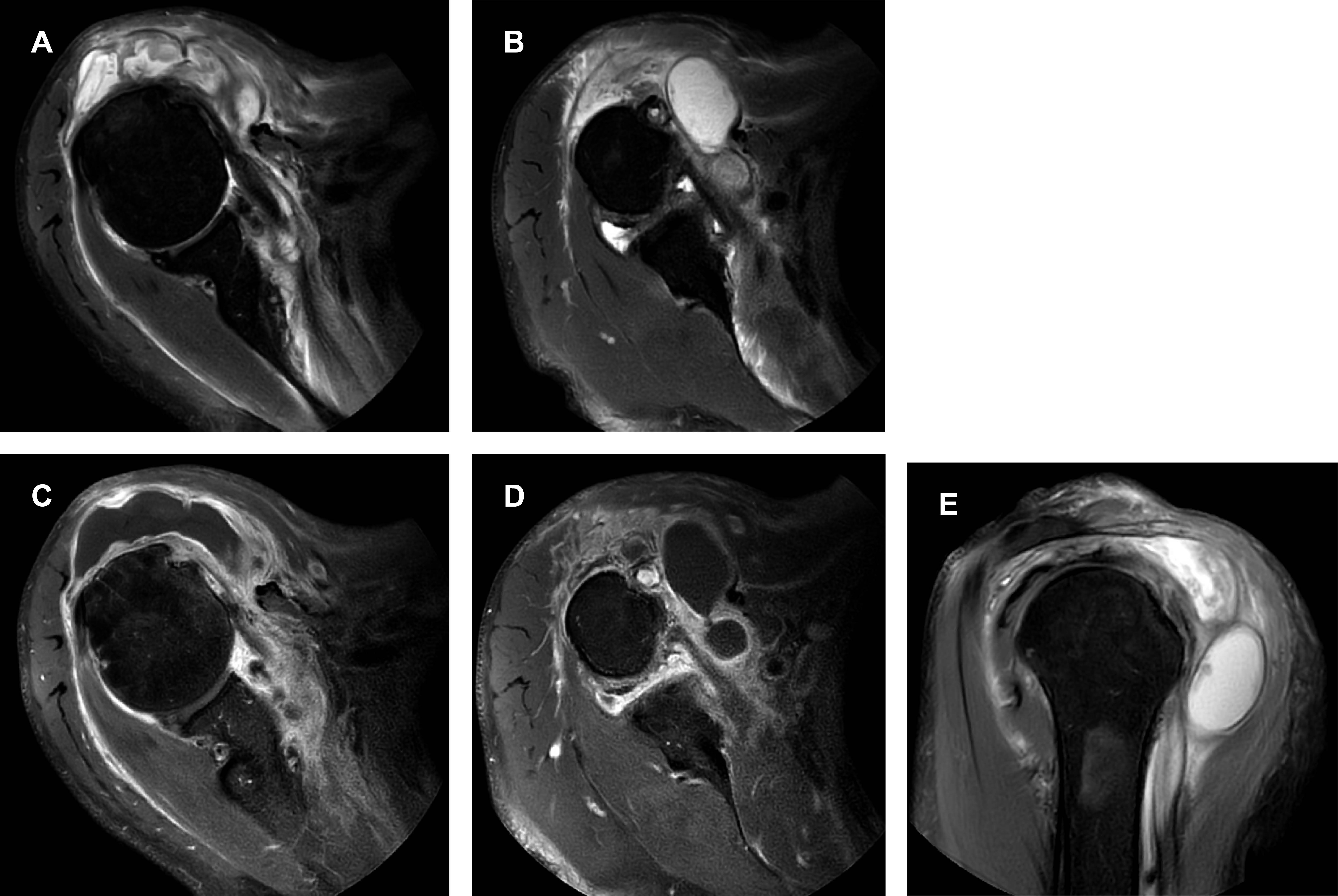
HALLAZGOS POR IMAGEN

Se observó aumento de volumen de los tejidos blandos, cambios por miositis a nivel del infraespinoso, subescapular, redondo menor, bíceps. Colecciones en topografía del supraespinoso, subescapular y en la región anterior del hombro, se asocia con aumento de volumen de las bursas, con reforzamiento periférico tras el contraste, con mayor afectación de la bursa subacromial, subdeltoidea. Tal como lo podemos observar en las Figuras 1 y 2. La sinovial con aumento de volumen y reforzamiento heterogéneo leve.



DISCUSIóN

En este reporte de caso, la RM mostró edema de tejidos blandos asociado con miositis, bursitis y la presencia de colecciones.

Los hallazgos característicos en la RM de pacientes con artritis séptica del hombro incluyen un aumento del líquido sinovial, con señales variables en las secuencias T1 y T2.1,3 La presencia de erosiones óseas, edema óseo subcondral y la extensión del proceso infeccioso hacia los tejidos blandos adyacentes son hallazgos frecuentes.2 Los hallazgos obtenidos por RM desempeñan un papel crucial tanto en la evaluación inicial como en el seguimiento de los pacientes con artritis séptica del hombro.

Además, la capacidad de la RM para diferenciar entre inflamación activa y secuelas crónicas permite orientar de manera más precisa el manejo terapéutico. La identificación temprana de complicaciones, como los abscesos, es esencial para prevenir secuelas a largo plazo.



CONCLUSIONES

En este reporte de caso la RM mostró hallazgos específicos para el diagnóstico de artritis séptica.

La RM representa una herramienta invaluable en la evaluación diagnóstica de la artritis séptica del hombro, proporcionando información detallada sobre la extensión del proceso infeccioso y sus complicaciones asociadas.

El conocimiento de los hallazgos característicos por RM es esencial, permitiendo una intervención oportuna y personalizada que mejore el pronóstico de los pacientes afectados.


REFERENCIAS (EN ESTE ARTÍCULO)

  1. Karchevsky M, Schweitzer ME, Morrison WB, Parellada JA. MRI findings of septic arthritis and associated osteomyelitis in adults. AJR Am J Roentgenol. 2004; 182 (1): 119-122. doi: 10.2214/ajr.182.1.1820119.

  2. Wong SJ, Wong N, Poong EQJ, Puah KL, Tjoen DLT. Septic arthritis of the glenohumeral joint: A case series and review of investigative and treatment strategies. J Orthop Rep. 2023; 2: 100183. doi: 10.1016/j.jorep.2023.100183.

  3. Bierry G, Huang AJ, Chang CY, Torriani M, Bredella MA. MRI findings of treated bacterial septic arthritis. Skeletal Radiol. 2012; 41 (12): 1509-1516.



AFILIACIONES

1 Médico residente de Alta Especialidad en Resonancia Magnética de Cuerpo Completo, Hospital Angeles Pedregal (HAP). Ciudad de México.

2 Médico residente de Alta Especialidad en Resonancia Magnética del Sistema Musculoesquelético, HAP. Ciudad de México.

3 Médico radiólogo, especialista en Resonancia Magnética. Profesor titular de los Cursos de Alta Especialidad de Resonancia Magnética de Cuerpo Completo y Sistema Musculoesquelético.
ORCID:

4 0000-0002-9767-900X

5 0000-0001-6793-0171

6 0000-0002-9697-2167

7 0009-0008-3014-0078

8 0009-0004-4033-0183

9 0009-0005-3498-5594



Si desea consultar los datos complementarios de este artículo, favor de dirigirse a editorial.actamedica@saludangeles.mx



CORRESPONDENCIA

Cynthia Nalleli González Ramírez. Correo electrónico: cynthia.nglez@gmail.com




Recibido: 21-08-2024. Aceptado: 16-12-2024.

Figura 1
Figura 2

2020     |     www.medigraphic.com

Mi perfil

C?MO CITAR (Vancouver)

Acta Med. 2026;24

ARTíCULOS SIMILARES

CARGANDO ...