medigraphic.com
ENGLISH

Acta Médica Grupo Angeles

Órgano Oficial del Hospital Angeles Health System
  • Mostrar índice
  • Números disponibles
  • Información
    • Información general        
    • Directorio
  • Publicar
    • Instrucciones para autores        
    • Envío de artículos
    • Políticas
    • Nombre y afiliación del Comité Editorial
  • Nosotros
    • Plan de gestión e intercambio de datos
    • Objetivos declarados y alcance
  • medigraphic.com
    • Inicio
    • Índice de revistas            
    • Registro / Acceso
  • Mi perfil

2026, Número 2

<< Anterior Siguiente >>

Acta Med 2026; 24 (2)


Manejo conservador de divertículo duodenal perforado

Romero Morelos, Ricardo Daniel1,2; Reyna Dueñas, Patricia Ireri3; Astudillo García, Francisco1,4; Verde Martínez, Mónica Alejandra1,5
Texto completo Cómo citar este artículo 10.35366/122617

DOI

DOI: 10.35366/122617
URL: https://dx.doi.org/10.35366/122617
Artículos similares

Idioma: Español
Referencias bibliográficas: 6
Paginas: 135-138
Archivo PDF: 1132.63 Kb.


PALABRAS CLAVE

dolor abdominal, divertículo duodenal, perforación del divertículo duodenal, divertículo perforado, nutrición parenteral.

RESUMEN

Introducción: los divertículos duodenales representan la segunda localización más común de divertículos, sólo por debajo de los colónicos. La mayoría de los casos son diagnosticados de forma incidental, ya que son asintomáticos, normalmente congénitos y en escasas ocasiones presentan complicaciones (perforación, sangrado, úlcera, diverticulitis u obstrucción intestinal); cuando esto ocurre, se asocian a una alta morbimortalidad (8-34%), por lo que la gran mayoría requiere tratamiento quirúrgico de urgencia; sin embargo, existen reportes de casos específicos que indican que el tratamiento conservador puede ser exitoso. Descripción del caso: paciente de 50 años con antecedente de hipertensión arterial sistémica, evento isquémico transitorio y enfermedad por reflujo gastroesofágico, que ingresa al servicio de urgencias secundario a dolor abdominal intenso, incomodidad postural, distensión abdominal y diagnóstico tomográfico de perforación duodenal; hemodinámicamente estable. Se realiza nuevo estudio de imagen con contraste oral por no contar con estudio previo, reportando divertículo duodenal con perforación, sin presencia de fuga de medio de contraste. Se decide realizar tratamiento conservador, con adecuada evolución a los cuatro meses posteriores al evento descrito. Conclusión: el manejo conservador es efectivo para tratar inicialmente a pacientes sin complicaciones.



ABREVIATURAS:

  • DD = divertículos duodenales
  • EVA = escala visual analógica
  • NP = nutrición parenteral
  • TC = tomografía computarizada



INTRODUCCIóN

Los divertículos duodenales (DD) son entidades que representan la herniación de capas mucosas y submucosas de la pared duodenal a través de un defecto muscular. Tienen una prevalencia estimada de 0.46-22%,1,2 pueden ser congénitos o adquiridos y suelen ser asintomáticos. En la mayoría de los casos el diagnóstico es incidental, al realizar un estudio de imagen por otra causa o como resultado de una autopsia. Cuando se llegan a presentar síntomas, los más frecuentes son dolor abdominal, dispepsia y sangrado de tubo digestivo. Una complicación rara de esta patología es la perforación duodenal, con 209 casos publicados hasta 2022 y una mortalidad asociada de entre 8 y 34%.3,4

No existe consenso sobre el manejo de un DD perforado. La recomendación inicial es el tratamiento quirúrgico, aunque el tratamiento conservador ha cobrado mayor relevancia dadas las complicaciones reportadas en la cirugía.5

Se describe el manejo conservador de un divertículo perforado en la tercera porción del duodeno.



PRESENTACIóN DEL CASO

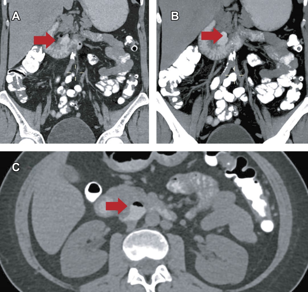
Paciente femenino de 50 años, con antecedente de hipertensión, evento isquémico transitorio y enfermedad por reflujo gastroesofágico; con dos panendoscopias previas. Ingresa a urgencias refiriendo dolor abdominal de cuatro días de evolución, incomodidad postural y distensión abdominal. En la exploración física: peso 63.5 kg, talla 166.3 cm; índice de masa corporal (IMC) 23 kg/m2. Frecuencia cardiaca (FC) 85 lpm, frecuencia respiratoria (FR) 21 rpm, temperatura 35.7 °C, saturación de oxígeno 92%, presión arterial (TA) 113/66 mmHg. Neurológicamente íntegra; escala de Glasgow 15 puntos. Cardiopulmonar sin compromiso. Abdomen blando, depresible, con dolor a la palpación superficial y profunda del hipocondrio derecho (escala visual analógica [EVA] 8/10), rebote positivo, sin datos de irritación peritoneal; con disminución en la peristalsis. Se solicitan estudios de laboratorio e imagen, así como abordaje por cirugía general. Los resultados de laboratorio indicaron leucocitosis, elevación de los reactantes de fase aguda (Proteína C Reactiva [PCR], Procalcitonina [PROCA]) y desnutrición proteico-calórica/hipoalbuminemia (Tabla 1), en tanto que la tomografía abdominal evidenció divertículo duodenal con perforación contenida (Figura 1).

Por la ausencia de fuga del medio de contraste al espacio extraluminal, el tiempo de evolución y que la paciente se encontraba hemodinámicamente estable, se decide iniciar con manejo conservador, el cual consistió en la administración de nutrición parenteral (NP), con una distribución de carbohidratos 50%, aminoácidos 30% y lípidos 20%, antibioticoterapia de amplio espectro con ertapenem y fluconazol, tromboprofilaxis con enoxaparina y manejo analgésico con paracetamol y antiinflamatorios no esteroideos.

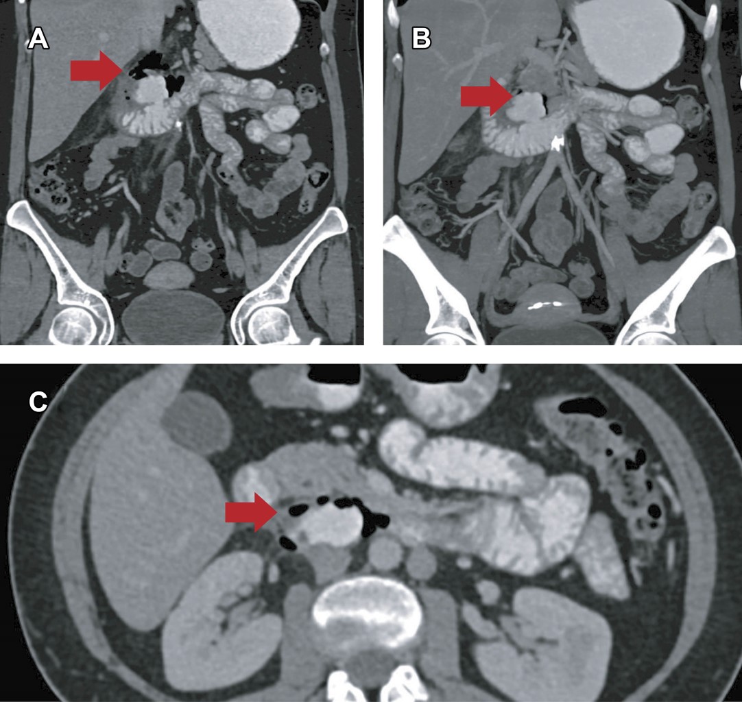
Tras seis días de vigilancia manteniendo presión arterial media (TAM) entre 65-70 mmHg, FC 60-75 lpm, FR 14-16 rpm, saturación de oxígeno > 94%, temperatura 36-36.8 °C, con NP y clínicamente asintomática, se realizó control tomográfico, en donde se observó divertículo con menor cantidad de aire extraluminal (Figura 2), mejoría en laboratorios (Tabla 1) y ausencia de síntomas, por lo que se inició dieta líquida a tolerancia, con progresión a dieta específica, con disminución progresiva de NP. Se avanzó a dieta blanda, sin grasas ni irritantes; una vez completados siete días de tratamiento antibiótico, se suspendió ertapenem y fluconazol. A los diez días, la paciente presentó mejoría en sintomatología abdominal, adecuada evolución clínica y tolerancia al 100% de sus requerimientos nutricionales, por lo que fue dada de alta.

Actualmente, a cuatro meses del evento inicial, la paciente se ha mantenido estable; sus laboratorios están en la normalidad (Figura 1) y los principales síntomas que presenta son secundarios a enfermedad por reflujo gastroesofágico, razón por la que se encuentra en tratamiento con inhibidores de la bomba de protones (IBP), procinético y protector de mucosa.



DISCUSIóN

La perforación de un divertículo duodenal es rara y potencialmente mortal. Se considera que ocurre debido a la presencia de una pared delgada, descrita en la mayoría de los divertículos localizados en la segunda o tercera porción del duodeno. Su principal causa es la diverticulitis; la presentación clínica es variable e inespecífica por su localización. Algunos síntomas son dolor abdominal, vómito y fiebre, confundiéndose con otros padecimientos intraabdominales más comunes como colecistitis, pancreatitis, enfermedad ácido péptica, colitis y apendicitis retrocecal.4

El diagnóstico oportuno de una perforación diverticular resulta crucial para determinar un manejo conservador. Para identificar un divertículo duodenal y una perforación de este tipo de divertículos se requiere un buen examen clínico, pruebas de laboratorio, así como pruebas de imagen con cortes finos (tomografía computarizada [TC]). La TC es la prueba de referencia para el diagnóstico de divertículo duodenal perforado.3 Los hallazgos radiológicos a tomar en cuenta son: engrosamiento de la pared duodenal ≥ 4 mm, estriación de grasa mesentérica y aire/líquido extraluminal o retroperitoneal.3 De acuerdo con lo presentado, nuestra paciente no mostró datos de irritación peritoneal debido a que el crecimiento estaba a nivel retroperitoneal, lo que causaba síntomas vagos; el diagnóstico se realizó mediante el protocolo de TC.6 La ausencia de fuga de contraste oral demostró que el divertículo estaba contenido; el riesgo de someter a la paciente a una cirugía de urgencia era mayor que los beneficios que podía ofrecer.3

Diversos reportes describen un manejo conservador a base de antibióticos y drenaje percutáneo,3,6 sin embargo, dicho manejo puede realizarse únicamente en pacientes hemodinámicamente estables, sin datos de proceso infeccioso; en caso de no mejorar, debe considerarse el procedimiento quirúrgico.6

En caso de elegirse el procedimiento quirúrgico, es necesario determinar la técnica quirúrgica apropiada a partir de la evaluación de varios elementos como grado de friabilidad del tejido, ubicación del divertículo y tamaño del cuello diverticular. La diverticulectomía es la técnica apropiada para casos de friabilidad tisular limitada y cuello diverticular pequeño, sin embargo, es mayor el riesgo de fuga en segunda y tercera porción duodenal. Por otro lado, la duodenectomía parcial con duodenoyeyunostomía término-terminal o término-lateral se utiliza para tejidos friables, cuello diverticular ancho y localizado en las porciones D3/D4, en los que se sospecha que la diverticulectomía tiene alto riesgo de fuga. Para el caso de los divertículos localizados en el D2, el abordaje quirúrgico puede ir desde una exclusión duodenal, una duodenostomía, hasta duodenopancreatectomía (Whipple).3

Independientemente de la elección, todos los procedimientos representan alto riesgo quirúrgico, morbimortalidad y complicaciones transoperatorias, así como en el postoperatorio temprano, que pueden afectar la calidad de vida de los pacientes.



CONCLUSIONES

Las características clínicas, de laboratorio y tomográficas presentadas en esta paciente fueron la base de la decisión de optar por un tratamiento conservador. El éxito del manejo conservador consiste en identificar de manera adecuada y oportuna a los pacientes que pudieran beneficiarse de este tipo de tratamiento. A pesar de ser una patología poco frecuente, con un abordaje complejo, la detección oportuna y el seguimiento adecuados, se evita el uso de tratamientos invasivos que pueden resultar riesgosos y tener consecuencias a corto, mediano y largo plazo en la calidad de vida del paciente.


REFERENCIAS (EN ESTE ARTÍCULO)

  1. Schroeder TC, Hartman M, Heller M, Klepchick P, Ilkhanipour K. Duodenal diverticula: potential complications and common imaging pitfalls. Clin Radiol. 2014; 69 (10): 1072-1076. doi: 10.1016/j.crad.2014.05.103.

  2. Motta-Ramírez GA, Ortiz-León JL, Urbina De la Vega F, Mejía-Nogales RE, Barinagarrenteria-Aldatz R. La enfermedad diverticular duodenal como hallazgo incidental detectado por tomografía computarizada.Rev Gastroenterol Mex. 2010; 75 (2): 165-70.

  3. Kapp JR, Müller PC, Gertsch P, Gubler C, Clavien PA, Lehmann K. A systematic review of the perforated duodenal diverticula: lessons learned from the last decade. Langenbecks Arch Surg. 2022; 407 (1): 25-35. doi: 10.1007/s00423-021-02238-1.

  4. Thorson CM, Paz Ruiz PS, Roeder RA, Sleeman D, Casillas VJ. The perforated duodenal diverticulum. Arch Surg. 2012; 147 (1): 81-88. doi: 10.1001/archsurg.2011.821.

  5. Banal C, Stevens C. Perforated duodenal diverticulum treated conservatively. BMJ Case Rep. 2024; 17(8): e259643.

  6. Sasaki Y, Nakahodo J, Onishi T, Tachibana A, Minami R, Noma E et al. Duodenal diverticular perforation treated conservatively: reassessing indications for treatment. Intern Med. 2023; 62 (22): 3327-3331. doi: 10.2169/internalmedicine.1211-22.



AFILIACIONES

1 Hospital Angeles Lindavista. Ciudad de México, México.

2 Cirugía General, Robótica y Cirugía de Trasplantes. orcid: 0009-0001-7338-6878

3 Ginecología y Obstetricia, Hospital Angeles Pedregal. Ciudad de México, México. orcid: 0000-0003-3827-8836

4 Medicina interna, Gastroenterología y Endoscopia. orcid: 0000-0002-4917-762X

5 Médico interno de pregrado. orcid: 0009-0000-4048-639X



Conflicto de intereses: los autores declaran que no tienen ningún conflicto de intereses.

Para estudio con sujetos humanos: se obtuvo el consentimiento informado de la paciente para ser incluida en este reporte de caso.

Financiamiento: ninguno.

Si desea consultar los datos complementarios de este artículo, favor de dirigirse a editorial.actamedica@saludangeles.mx



CORRESPONDENCIA

Ricardo Daniel Romero-Morelos. Correo electrónico: doc.romero.morelos@gmail.com




Recibido: 08-11-2024. Aceptado: 13-03-2025.

Figura 1
Figura 2
Tabla 1

2020     |     www.medigraphic.com

Mi perfil

C?MO CITAR (Vancouver)

Acta Med. 2026;24

ARTíCULOS SIMILARES

CARGANDO ...