medigraphic.com
ENGLISH

Latin American Journal of Oral and Maxillofacial Surgery

ISSN 2992-7757 (Digital)
Órgano de difusión de la Asociación Latinoamericana de Cirugía y Traumatología Bucomaxilofacial (ALACIBU)
  • Mostrar índice
  • Números disponibles
  • Información
    • Información general        
    • Directorio
  • Publicar
    • Instrucciones para autores        
  • medigraphic.com
    • Inicio
    • Índice de revistas            
    • Registro / Acceso
  • Mi perfil

2025, Número 4

<< Anterior Siguiente >>

Lat Am J Oral Maxillofac Surg 2025; 5 (4)


Coristomas orales inusuales: presentación de tres casos clínicos con tejidos ectópicos óseo, glial y respiratorio, y revisión de la literatura

Cuen-Lara, Ernesto1,2; Castilla-Canseco, Hernán1,3; Gómez-Lugo, Natalia Sherry1,4; Salgado-Chavarría, Fabiola1,3; Ruiz-Vázquez, Yamely1,5; García-Montes, José Miguel6
Texto completo Cómo citar este artículo 10.35366/122827

DOI

DOI: 10.35366/122827
URL: https://dx.doi.org/10.35366/122827
Artículos similares

Idioma: Español
Referencias bibliográficas: 19
Paginas: 151-156
Archivo PDF: 1678.03 Kb.


PALABRAS CLAVE

coristoma, cavidad oral, epitelio respiratorio, tejido glial, tejido fibroso osificante.

RESUMEN

Los coristomas son crecimientos no neoplásicos conformados por tejido maduro en un sitio atípico. A pesar de ser crecimientos no neoplásicos, se debe realizar un estudio histopatológico para diferenciarlos de otras lesiones. En este artículo se describen tres casos de coristomas en el área del macizo facial conformados por tejido óseo, glial y respiratorio tratados de manera convencional por medio de biopsia excisional. Se aborda la importancia de un diagnóstico histopatológico, ya que estas lesiones pueden tener diferentes diagnósticos diferenciales o incluso coexistir con alguna neoplasia maligna.



INTRODUCCIóN

En patología, existen algunos conceptos como hamartomas, coristomas y teratomas que pueden generar confusión. Estas son lesiones que pueden aparecer dentro del área del macizo facial.1 Los términos hamartomas y coristomas fueron incluidos en 1904 por Albrecht para diferenciarlos de crecimientos neoplásicos.2

Los hamartomas hacen referencia a un crecimiento dismórfico de células y tejido maduro correspondiente al sitio anatómico de origen, pero con estructura desorganizada;1-4 suelen ser más comunes que los coristomas o teratomas.2

La palabra coristoma se usa para describir un crecimiento similar a un tumor,5,6 considerado no neoplásico y correspondiente a un tejido histológicamente normal en un sitio anatómico anormal o ectópico.1,2,4-10

Por otra parte, los teratomas incluyen lesiones que se consideran verdaderas neoplasias y corresponden a crecimientos con elementos que provienen de las tres capas germinativas.1,3

Los coristomas pueden presentarse a cualquier edad, desde la infancia hasta la vejez;4 se ha descrito que la mayoría de los coristomas, independientemente del tipo de tejido que lo compone, llegan a tener cierta predilección por el sexo femenino.11

Estas lesiones suelen presentarse mayormente en las extremidades; en cambio, su presencia en la cavidad oral es poco común.12 Cuando esto sucede, el sitio que se ve afectado con mayor frecuencia es la lengua,3,12 seguido de la mucosa bucal y alveolar, incluyendo paladar blando.3,4,13,14

Dentro de la cavidad oral, los coristomas más comunes corresponden a tejido óseo y tiroideo;2 sin embargo, pueden estar compuestos también por glándulas salivales, anexos cutáneos, tejido odontogénico, cartilaginoso, nervioso, adiposo, muscular, gástrico y respiratorio.1,4,7-9,12,13,15

El tratamiento de elección para los coristomas suele ser la escisión quirúrgica y, posteriormente, su estudio histopatológico para confirmar el diagnóstico.3,5,7-9,11,12,15-17

El propósito de este artículo es presentar tres casos clínicos de coristomas en cavidad oral ubicados en reborde alveolar, orofaringe y lengua, los cuales estaban formados por tejido óseo, glial y epitelio respiratorio. Se llevará a cabo también una revisión de la literatura.



CASOS CLíNICOS



CASO 1

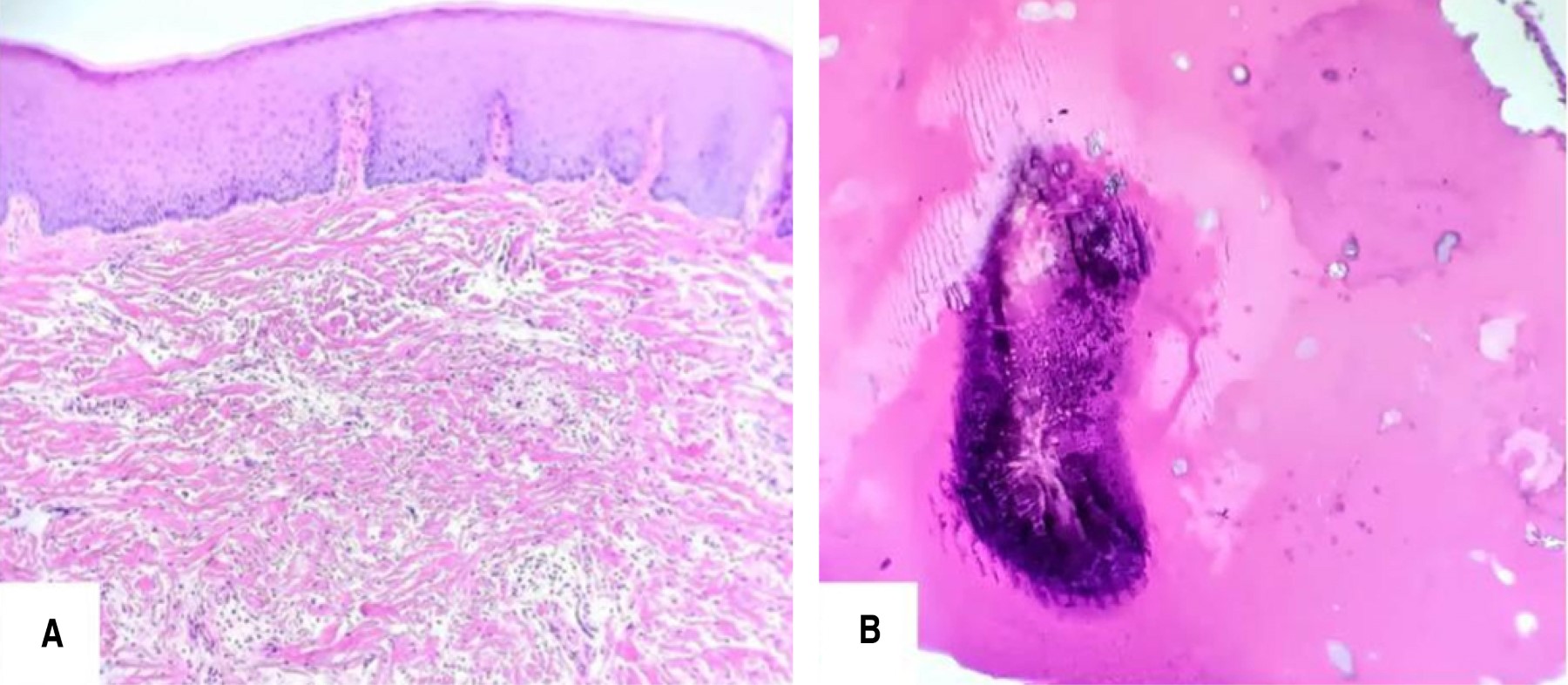
Masculino de cinco meses acude a consulta acompañado de sus padres debido a aumento de volumen firme y de consistencia dura, ubicado sobre reborde alveolar mandibular, de aproximadamente 1.5 cm, de manera asintomática, con interferencia a la alimentación (Figura 1). El paciente presenta criptorquidia bilateral, pits auriculares, pezones extra a nivel de axila bilateral, pie equino varo bilateral, sin diagnóstico sindrómico. Bajo anestesia general, se realiza biopsia excisional con medidas de 1.1 × 0.8 × 0.5 cm.

El estudio histopatológico reveló un espécimen formado por hueso compacto maduro vital con osteodentina dentro de un tejido fibroso denso vascularizado revestido de epitelio estratificado paraqueratinizado (Figura 2). El paciente evoluciona favorablemente, sin recidiva o necesidad de segundo acto quirúrgico.



CASO 2

Femenino de un año con antecedente de paladar hendido, postoperada de palatoplastia, acude por secuela de hendidura palatina. Al momento de realizar palatoplastia secundaria, durante el procedimiento quirúrgico, se observa un aumento de volumen ubicado en la nasofaringe, el cual no permite el cierre adecuado del defecto palatino. Se decide realizar una biopsia incisional con medidas de 3.0 × 1.7 × 1 cm (Figura 3).

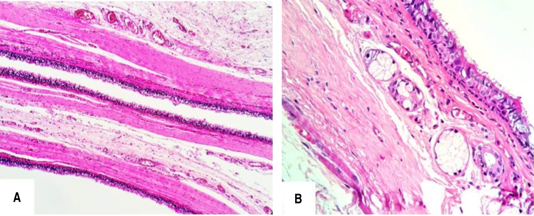
El examen histopatológico reveló un espécimen formado por proyecciones papilares de plexos coroideos y tejido glial maduro en un estroma de tejido conectivo fibroso denso y vascularizado con presencia de tejido adiposo, nervios y glándulas salivales mixtas, revestido por epitelio escamoso estratificado paraqueratinizado compatible con tejido heterotópico del sistema nervioso (Figura 4). La paciente evoluciona favorablemente, sin requerir tratamiento adicional o extensión en la escisión de la lesión.



CASO 3

Femenino de ocho años, acude a consulta acompañada de sus padres por presentar aumento de volumen y asimetría en tercio anterior de la lengua de manera congénita, sin alteración en el tamaño de la lesión (Figura 5). A falta de tratamiento oportuno, la paciente presentaba alteración en el habla, mordida abierta anterior y paladar ojival. Debido a las características clínicas e historial, se decide, bajo anestesia general, realizar biopsia excisional de la lesión con medidas de 4.5 × 3.0 × 2.6 cm (Figuras 6 y 7).

El estudio histopatológico reveló un espécimen formado por una cavidad revestida de epitelio escamoso estratificado paraqueratinizado, con zonas de epitelio columnar ciliado con células secretoras mucosas. La cápsula de tejido conectivo fibroso denso vascularizado con presencia de glándulas salivales mucosas, mixtas y nervios, siendo compatible con diagnóstico de quiste lingual con epitelio respiratorio (Figura 8). La paciente evoluciona favorablemente, con disminución en la alteración del habla, sin recidiva de la lesión o necesidad de segundo acto quirúrgico (Figura 9).



DISCUSIóN

El coristoma es un crecimiento de tejido organizado y maduro sin actividad mitótica significativa, en un sitio anatómico atípico10 y con una patogenia incierta. Se han postulado algunas teorías como la metaplasia del tejido originario, proliferación de restos embrionarios o derivación de células pluripotenciales.7,14 Para los coristomas gliales, se han propuesto hipótesis como herniación o separación de tejido neuroglial antes de la formación completa del cráneo, así como el desplazamiento de células neuroectodérmicas durante la embriogénesis, afectando principalmente la región nasal y, en raras ocasiones, la región oral, incluyendo paladar y orofaringe.11,16

Estas lesiones pueden pasar desapercibidas en la mayoría de los casos. Se han asociado diferentes síntomas como dolor, disfagia, náuseas, sensación de obstrucción de vía aérea, ulceración, sangrado e infección.5,7,8 La sintomatología puede variar según la localización y tamaño de la lesión. De Souto Medeiros y colaboradores mencionan un tamaño promedio de los coristomas de 1.1 × 0.4 cm;1 por su parte, Shareef y colaboradores, en su revisión sistemática, mencionan como tamaño promedio 2.5 cm­ de diámetro;6 en nuestros casos se trataron coristomas de mayor diámetro, incluso pasando los 4 cm; sin embargo, dos de estos fueron sintomáticos, el de menor y el de mayor dimensión, sugiriendo que la localización está mayormente relacionada con síntomas como dificultad a la alimentación, alteraciones morfológicas de dentoesqueletales y alteraciones en el habla.

En relación con los coristomas gliales, Yamada y colaboradores mencionan que pueden estar compuestos de tejido nervioso central maduro como células gliales, ependimarias, plexos coroideos y derivados de estructuras neuroectodérmicas, incluso con líquido similar a líquido cefalorraquídeo16 siendo fácilmente diagnosticado a base de inmunotinción para S-100 y GFAP; también se menciona como ubicación más común para estos coristomas la cavidad nasal;16 sin embargo, al aparecer dentro de la cavidad nasal, se debe diferenciar del glioma nasal, el cual es un tumor congénito extracraneal formado por tejido glial sin estructuras del plexo coroideo.11 Nosotros obtuvimos como resultado un coristoma glial con presencia de plexos coroideos ubicado en la nasofaringe. Hay que resaltar que la paciente contaba con antecedente de paladar hendido, una condición que, según los estudios de Baquero-Hoyos y su equipo y Yamada y colaboradores, tiene una mayor tasa de incidencia en paladar hendido.11,16

Ombres y su equipo describen un coristoma lingual con epitelio columnar y glándulas que es similar a epitelio gástrico;17 esto coincide con lo mencionado por Nezam y colaboradores y Sethi y su equipo,3,12 quienes señalan que los coristomas linguales pueden estar revestidos por epitelio respiratorio, gástrico o intestinal, incluyendo estructuras de otro tipo que, de presentarse en las tres capas germinativas, se pudiera diagnosticar un quiste teratoideo. Nuestro caso es similar al descrito por Ombres y su equipo, ya que se trató de un coristoma de epitelio cilíndrico; sin embargo, nosotros obtuvimos un tejido similar a epitelio respiratorio a modo de lesión quística.

Como diagnósticos diferenciales se deben considerar diversas patologías que, en su mayoría, dependen de una amplia anamnesis y las características clínicas de la lesión, sin descartar lesiones quísticas o neoplásicas benignas o malignas.7,8

Dentro del manejo generalmente se describe que no hay recurrencia; hay casos de "lesiones recurrentes", sin embargo, se podría tratar de una lesión nueva.5,9 Shamloo y su equipo reportaron la recurrencia de coristoma óseo en tres casos de 139; a pesar de ello, manejan la teoría de una posible metaplasia por trauma posterior al evento quirúrgico de la lesión primaria.8 Yamada y su equipo y Vaz y colaboradores informan una recidiva de coristomas gliales de entre el 4-10%, mencionando que la escisión suele ser la terapia curativa definitiva, por lo que hacen énfasis en un retiro completo de la lesión.16,18

Por lo regular no hay reportes de malignización de estas lesiones.5 No obstante, Ombres y colaboradores mencionan en su estudio un caso de adenocarcinoma que surgió a partir de un coristoma quístico de epitelio intestinal en tercio anterior de la lengua;17 también Nezam y su equipo reportan un coristoma que coexistió con un carcinoma de células escamosas, el cual, después de su detección, fue tratado con hemiglosectomía y disección radical de cuello.3 En la mayoría de la literatura se indica un tratamiento quirúrgico a modo de escisión de la lesión y su envío a histopatología para corroborar el diagnóstico.

Un tratamiento poco convencional para los coristomas es la resección parcial. Kirikoshi y colaboradores reportan un coristoma glial en dorso lingual en un neonato; a los 12 meses se realizó una biopsia que, bajo inmunotinción S-100, permitió confirmar el diagnóstico de coristoma glial. En su estudio optan por una resección parcial a los ocho años y observación, debido a posibles complicaciones y decisión de los padres; también se menciona un cese del crecimiento del coristoma dentro del primer año, sugiriendo retrasar cirugía en región lingual hasta la edad adecuada, pero sin llegar a una etapa donde la articulación fonética sea afectada por el aumento de volumen, es decir antes de los 3-4 años.19 En nuestros casos se presentan dos situaciones similares; en un caso, se realizó una biopsia incisional sin tratamiento adicional; en otro caso, la paciente presentó alteración del habla. Esta última presenta, al momento del tratamiento quirúrgico, una edad mayor a la sugerida por Kirikoshi y colaboradores; sin embargo, mostró una evolución favorable. En el caso del coristoma glial, optamos por una biopsia incisional, debido a que se trató de un hallazgo clínico durante la palatoplastia secundaria, realizando la biopsia incisional necesaria para poder realizar el cierre quirúrgico. Actualmente la paciente no presenta síntomas ni alteraciones. Este tratamiento poco convencional puede ser una alternativa terapéutica, sin embargo, en los reportes de otros autores, los coristomas se han asociado o coexistido con neoplasias malignas; se sugiere analizar en mayor profundidad los posibles riesgos y complicaciones de un manejo conservador ante este tipo de lesiones.3



CONCLUSIONES

Los coristomas son lesiones benignas que, a primera impresión, por similitud clínica, pueden relacionarse con una variedad inmensa de lesiones, incluyendo procesos neoplásicos. En el caso de los coristomas orales, estos forman parte del diagnóstico diferencial en lesiones de la cavidad bucal, ya que, según las teorías descritas, un tejido ectópico puede presentarse en la región facial de diversas maneras, siendo imperativo el diagnóstico por medio de un examen histopatológico.


REFERENCIAS (EN ESTE ARTÍCULO)

  1. De Souto Medeiros MR, da Silva Barros CC, Rolim LSA, Pinto LP, Miguel MCDC, da Silveira ÉJD. Hamartomas, choristomas, and teratomas of the oral cavity: a 49-years cross-sectional study in an oral diagnostic service. J Stomatol Oral Maxillofac Surg. 2024; 125 (5): 101765.

  2. Marques LC, Figueira LM, Almeida L, Rozza-de-Menezes RE, Silva-Junior A, Cunha KS, et al. Congenital sebaceous choristoma of the tongue: a rare case report. J Clin Exp Dent. 2022; 14 (5): e446-e452.

  3. Nezam S, Nishat R, Khan S, Shukla J. Chondroid choristoma of the tongue: a rare case report. Natl J Maxillofac Surg. 2022; 13 (4): S121-126.

  4. Parab SR, Lashkari S, Asodiya V, Khan MM, Zope R, Ingale MH, Shinde V. Rare pathology: choristoma of the palatine tonsil in otorhinolaryngology. Indian J Otolaryngol Head Neck Surg. 2024; 76 (5): 4728-4734.

  5. Arimoto S, Shigeoka M, Akashi M. Tongue osseous choristoma in an 11-year-old female: a case report and literature review focusing on pediatric cases. Case Rep Dent. 2021; 2021: 8021362.

  6. Shareef ZJ, Shareef SJ, Kerndt CC, Aughenbaugh A, Di Ponio A. Lingual osseous choristoma: a comprehensive systematic review of lesion presentation, histology, and morphology. Spartan Med Res J. 2020; 5 (2): 17543.

  7. Camara PR, Santos JF dos, Monteiro MC de LJ, Menezes RER de, Gouvea AF, Fontes KBF da C, et al. Osteocartilaginous choristoma of the tongue: a case report and review of the literature. J Oral Diagn. 2017; 2: 1-5. doi: https://doi.org/10.5935/2525-5711.20170009

  8. Shamloo N, Modanloo K, Khaleghi A. Osseous choristoma: report of a case on the palate and a literature review. Clin Case Rep. 2023; 11 (12): e8355.

  9. Hemmi T, Suzuki J, Sato S, Tabata M, Watanabe K, Sugawara M, et al. A Case of an incidentally removed lingual osseous choristoma. Case Rep Otolaryngol. 2020; 2020: 1-4.

  10. Torres MM, Topete R, Villalba M, Zepeda NJ. Gingival salivary gland choristoma: an unusual case report. J Oral Maxillofac Pathol. 2021; 25 (4): S90-93.

  11. Baquero-Hoyos MM, Marino JA, Mayorga JL. Nasopharyngeal neuroglial heterotopy - choristoma: case report and review of the literature. World J Otorhinolaryngol Head Neck Surg. 2020; 7 (4): 318-321.

  12. Sethi BK, Kali N, Bommareddy A, Subhodaya R. Cartilaginous choristoma of the tongue. J Pediatr Surg Case Rep. 2020; 62: 101583.

  13. Semwal S, Joshi D, Gupta V, Kapoor N. Cartilaginous choristoma of tongue: A rare case report. Journal of Oral and Maxillofacial Pathology. 2019; 23 (4): S40-42.

  14. Ozaki H, Yusa K, Hamamoto Y, Iino M. A case of multiple osseous choristomas arising on the medial side of the lateral pterygoid muscle. Oral Radiol. 2020; 36 (1): 112-115.

  15. Hughes C, Ferro A, Dubb S, Gass J, Hook L, Santhanam V, Kinsler V, Polubothu S. Epidermal choristoma: a case series and review of the literature. Pediatr Dermatol. 2021; 38 (5): 1243-1246.

  16. Yamada T, Matsuzawa Y, Sogabe I, Donen M, Tei K, Mikoya T. A rare case of glial choristoma of the tongue associated with cleft palate. Oral Sci Int. 2018; 15 (1): 22-26.

  17. Ombres CM, Lestadi I, Putra J. Lingual choristoma with gastric epithelium revisited. Head Neck Pathol. 2022; 16 (2): 503-506.

  18. Vaz A, Bosquirolli MP, Maurício PB. Oropharyngeal neuroglial choristoma with extension into the parapharyngeal space. Radiología (Engl Ed). 2022; 64 (3): 270-273.

  19. Kirikoshi S, Kondo T, Yamanishi T, Otsuki K, Fujibayashi E, Oonishi-Yamamoto Y, et al. A case of glial choristoma of the tongue treated with partial resection after long-term observation. J Oral Maxillofac Surg Med Pathol. 2023; 35 (1): 43-47.



AFILIACIONES

1 Universidad Nacional Autónoma de México.

2 Residente de tercer año de la Especialidad en Cirugía Oral y Maxilofacial de la División de Estudios de Postgrado e Investigación.

3 Adscrito de la Especialidad en Cirugía Oral y Maxilofacial de la División de Estudios de Postgrado e Investigación.

4 Cirujana dentista de la Facultad de Odontología.

5 Maestra adscrita a la Facultad de Odontología.

6 Licenciado en Odontología. Facultad de Odontología, Universidad Autónoma de Querétaro.



CORRESPONDENCIA

Hernán Castilla-Canseco. E-mail: castilla_hernan@yahoo.com.mx




Recibido: 31/03/2025. Aceptado: 27/05/2025

Figura 1
Figura 2
Figura 3
Figura 4
Figura 5
Figura 6
Figura 7
Figura 8
Figura 9

2020     |     www.medigraphic.com

Mi perfil

C?MO CITAR (Vancouver)

Lat Am J Oral Maxillofac Surg. 2025;5

ARTíCULOS SIMILARES

CARGANDO ...