medigraphic.com
ENGLISH

Latin American Journal of Oral and Maxillofacial Surgery

ISSN 2992-7757 (Digital)
Órgano de difusión de la Asociación Latinoamericana de Cirugía y Traumatología Bucomaxilofacial (ALACIBU)
  • Mostrar índice
  • Números disponibles
  • Información
    • Información general        
    • Directorio
  • Publicar
    • Instrucciones para autores        
  • medigraphic.com
    • Inicio
    • Índice de revistas            
    • Registro / Acceso
  • Mi perfil

2025, Número 4

<< Anterior Siguiente >>

Lat Am J Oral Maxillofac Surg 2025; 5 (4)


Granuloma central de células gigantes: reporte en adulto mayor

Saavedra-Vásquez, Felipe1,5; Ossandón-Zúñiga, Benjamín1,6; Venegas Daziano, José2,7; Donoso-Hofer, Francisca3,8; Mancilla Villalobos, Claudia3,9; Lillo Valdés, Felipe4,10
Texto completo Cómo citar este artículo 10.35366/122829

DOI

DOI: 10.35366/122829
URL: https://dx.doi.org/10.35366/122829
Artículos similares

Idioma: Español
Referencias bibliográficas: 14
Paginas: 166-170
Archivo PDF: 1650.48 Kb.


PALABRAS CLAVE

granuloma de células gigantes, cirugía oral, patología oral, personas mayores.

RESUMEN

El granuloma central de células gigantes (GCCG) es una neoplasia benigna poco frecuente, generalmente observada en personas de sexo femenino y localizada en la mandíbula. Su mayor incidencia ocurre entre la segunda y tercera década de vida; no obstante, puede presentarse en edades avanzadas, aunque los reportes en pacientes mayores de 65 años son escasos. En este artículo se describe el caso de un paciente de 78 años, edéntulo total y con múltiples patologías sistémicas, diagnosticado con GCCG. La dificultad para determinar la agresividad de la lesión, la falta de respuesta al tratamiento farmacológico y la necesidad de rehabilitación funcional condujeron a la planificación de un manejo quirúrgico. La valoración integral del paciente en su contexto de salud sistémica y sociodemográfico sería clave para la elección de tratamiento en este tipo de lesiones. Para futuros estudios, se propone repensar los criterios para valorar la agresividad del GCCG en poblaciones de adultos mayores.



INTRODUCCIóN

El granuloma central de células gigantes (GCCG) es una neoplasia benigna rara correspondiente al 7% de los tumores de los maxilares. Su tasa de incidencia es de 1.1 casos por millón al año; se presenta con mayor frecuencia en el sexo femenino y en la zona de la mandíbula.1,2 El GCCG ha sido asociado con traumas y otros irritantes locales, sin embargo, aún no existe consenso sobre su etiología.2 Puede presentarse como una entidad aislada, o bien, puede manifestarse en patologías de carácter genético como la neurofibromatosis tipo 1, el querubismo y el síndrome de Noonan, o en relación con desregulaciones metabólicas como el tumor pardo del hiperparatiroidismo.1 Este tipo de lesiones tienden a presentarse entre la segunda y tercera década de vida, sin embargo, pueden aparecer en personas mayores de 65 años.3 Luego de alcanzar la madurez esquelética, y especialmente con el envejecimiento, ocurren eventos moleculares y celulares complejos que modifican la calidad y cantidad de hueso. Estos cambios debilitan la microarquitectura ósea y su capacidad regenerativa, lo que implica un desafío para el diagnóstico, tratamiento y pronóstico de lesiones osteolíticas como el GCCG en la población mayor.4,5 A continuación, se presenta el reporte de caso sobre GCCG mandibular en un paciente de 78 años, el cual destaca como un diagnóstico desafiante y sugiere la importancia de un manejo adecuado en el contexto de la población mayor.



CASO CLíNICO

Se trata de paciente de sexo masculino de 78 años, habitante de un sector rural de la Región Metropolitana de Santiago, Chile, con antecedentes de diabetes mellitus tipo II, hipertensión arterial, dislipidemia e insuficiencia renal crónica etapa 2, en tratamiento, acude a consulta por un aumento de volumen en la encía mandibular, sin historial de trauma, con dos años de evolución y que sangra al cepillado.

Al examen físico se observa un tumor de 25 mm de diámetro mayor en el reborde edéntulo mandibular anterior, de consistencia firme, indoloro, con abombamiento de tablas óseas y color rojo-violáceo (Figura 1). Se solicita una tomografía computarizada Cone Beam, en la cual se observa una lesión osteolítica inmediatamente a la izquierda de la línea media mandibular de 17.2 × 10.2 mm y que perfora la tabla ósea vestibular y lingual (Figura 2). El paciente había consultado un año antes por esta misma lesión, sin embargo, no acude a los controles para completar el estudio y planificar su tratamiento.

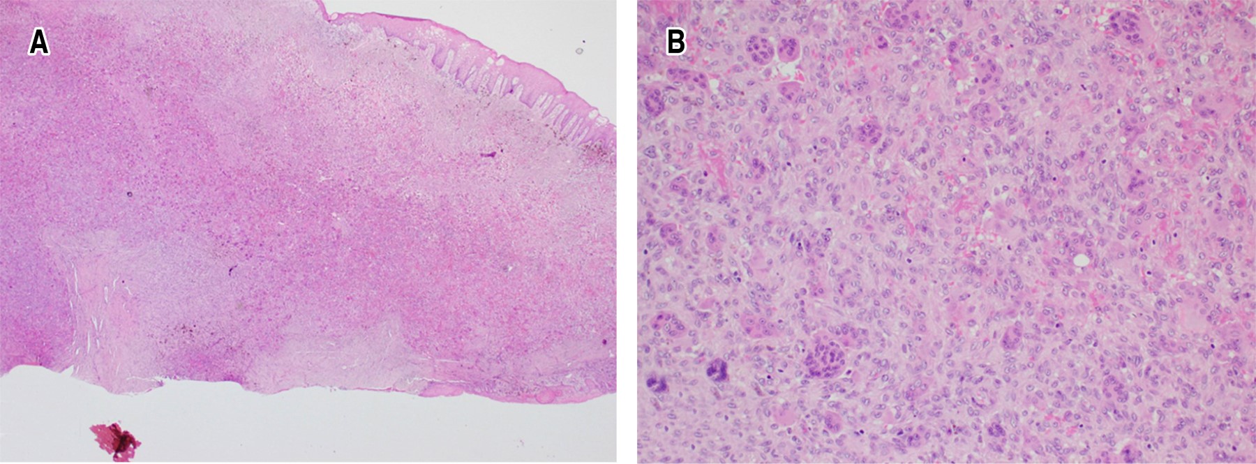
Dados los hallazgos clínicos y radiográficos, se indica la biopsia incisional de la lesión. En el estudio histopatológico se observa una lesión estromal no encapsulada constituida por una mezcla de células gigantes multinucleadas y otras mononucleadas con escasa actividad mitótica, inmersas en un estroma fibroangiomatoso con hemosiderina y presencia de células inflamatorias (Figura 3). Este resultado permite realizar el diagnóstico de GCCG. Se solicitan exámenes complementarios de laboratorio en donde los valores de fosfatasa alcalina y parathormona se encuentran en rangos de normalidad, descartándose asociación con otras patologías.

Con el objetivo de disminuir el tamaño de la lesión previo a su exéresis, se realizan infiltraciones intralesionales semanales de betametasona de 4 mg/mL de 1 mL durante tres semanas, sin obtener resultados favorables. Al tratarse de una lesión de larga data en el contexto de un paciente con necesidad de recuperar la función masticatoria, se planifica una intervención quirúrgica. El paciente es ingresado a pabellón para la enucleación, curetaje y osteotomía periférica de la lesión bajo anestesia general. El procedimiento transcurre sin complicaciones y el paciente queda en hospitalización transitoria por un día.

En el control postoperatorio de tres meses, se observa un defecto del reborde óseo mandibular, esperable dada la intervención quirúrgica realizada, y el frenillo labial medio con una inserción sobre el reborde desdentado en el límite del defecto hacia la línea media, lo que dificulta la rehabilitación protésica (Figura 4A). Se programa una segunda intervención bajo anestesia local para realizar la cirugía preprotésica. Luego de tres meses, el paciente vuelve a control con su rehabilitación oral realizada mediante prótesis totales acrílicas, con el sitio de la antigua lesión sin signos patológicos (Figura 4B y 4C).



DISCUSIóN

Los GCCG representan una lesión osteolítica de los maxilares con un comportamiento clínico variable. Su presentación más común es como una masa de crecimiento lento e indolora, que con el tiempo genera asimetría facial.1 En los estudios de imagen se presenta como una lesión uni- o multilocular, con reabsorción radicular de los dientes adyacentes y adelgazamiento o perforación de corticales óseas.1 Si bien los GCCG presentan una baja frecuencia en personas mayores,6 la evaluación de su agresividad podría estar sesgada por los criterios actualmente utilizados. De acuerdo con la literatura, esta agresividad se define a partir de al menos tres de las siguientes características: tamaño tumoral igual o mayor a 50 mm, crecimiento rápido, reabsorción radicular, desplazamiento dentario, adelgazamiento y perforación de corticales.6 Además, un tumor con un diámetro igual o superior a 50 mm se considera agresivo incluso en ausencia de otros criterios.6 No obstante, en pacientes desdentados, la imposibilidad de evaluar el desplazamiento dentario y la reabsorción radicular podría llevar a una subestimación de su verdadero potencial agresivo, afectando así la elección del tratamiento más adecuado.

De los GCCG, el 19% presenta un comportamiento agresivo, con una tasa de recidiva del 26.3%.1 Por otro lado, es relevante considerar que, en Chile, la edad avanzada se asocia con un alto grado de desdentamiento,7 lo que podría representar un desafío adicional para la evaluación precisa del comportamiento del GCCG en esta población. Además, los marcadores inmunohistoquímicos y moleculares disponibles hasta el momento no permiten predecir con certeza su agresividad,8 lo que refuerza la necesidad de establecer nuevos criterios diagnósticos que sean más universales y por ende aplicables en pacientes desdentados. En este grupo, los métodos tradicionales podrían ser menos sensibles, lo que subraya la importancia de desarrollar herramientas complementarias que permitan una clasificación más precisa del potencial agresivo del GCCG y, en consecuencia, una mejor planificación terapéutica.

La etiología del GCCG es desconocida. Si bien en la literatura se describen algunas teorías, no existe consenso al respecto. En nuestro caso no existió historia de trauma directo, por lo que se piensa más en el desdentamiento como factor irritante local.2 Además, se han descrito factores hormonales y genéticos relacionados con la vía RANK/RANKL/OPG, por lo cual se ha explorado el uso de nuevos blancos terapéuticos como el uso del anticuerpo monoclonal denosumab en el tratamiento de esta neoplasia.9 En el análisis histopatológico, el GCCG se distingue por la presencia de un estroma de alta densidad vascular y celular, compuesto principalmente por fibroblastos ahusados en diferentes fases mitóticas. Además, se observan células gigantes multinucleadas, con predominio de osteoclastos y monocitos/macrófagos, lo que sugiere una participación activa en la resorción ósea y la remodelación del tejido afectado.6 Estos hallazgos coinciden con los obtenidos en el estudio histopatológico de nuestro paciente y refuerzan la hipótesis de que el GCCG podría representar una respuesta reactiva más que una verdadera neoplasia, lo que podría influir en la elección del tratamiento y en el pronóstico de los pacientes.

El tratamiento del GCCG tiene por objetivo tanto eliminar la lesión como minimizar el riesgo de recidiva, pudiendo utilizar terapias farmacológicas y/o quirúrgicas, según la presentación clínica de la lesión.1 Las lesiones no agresivas pueden incluir desde tratamientos farmacológicos locales hasta intervenciones quirúrgicas mínimamente invasivas como el curetaje o la enucleación. Las lesiones agresivas tienden a requerir de tratamientos quirúrgicos más radicales como la osteotomía periférica y la resección en bloque, en algunos casos en complemento con la administración de fármacos.1

Para la selección del tratamiento, se consideraron diversos factores. Clínicamente, se valoró la larga data del tumor, el adelgazamiento y la perforación de corticales. También se tomó en cuenta la no adherencia del paciente al tratamiento luego del diagnóstico realizado en primera instancia. Así, el protocolo consistió en la infiltración de betametasona intralesional buscando la remisión del tamaño de la lesión; sin embargo, los resultados negativos aceleraron la decisión de realizar la exéresis de la lesión. Si bien se ha reportado la osificación de lesiones agresivas con tratamiento farmacológico (administración de triamcinolona intralesional y/o spray nasal de calcitonina), esta ha ocurrido en pacientes jóvenes y sin comorbilidades.1 Se sabe que el envejecimiento afecta negativamente la capacidad reparativa del tejido óseo debido a una disminución de la capacidad osteogénica5 ligada a la reducción de la respuesta inflamatoria involucrada en el proceso, lo que se explica a partir de la senescencia de linfocitos T y macrófagos, entre otros factores.10

En una revisión sistemática, los tratamientos no quirúrgicos fueron los únicos que no presentaron efectos secundarios. Además, lograron una reducción del tamaño de la lesión en el 57% de los casos, y sólo en el 50% fueron acompañados de una cirugía.11 No obstante, los protocolos de administración de corticosteroides para el tratamiento de GCCG con frecuencia requieren de inyecciones semanales que pueden extenderse por hasta 12 meses.12 En este caso, una de las prioridades para el paciente era la recuperación de la función masticatoria, por lo que fue imperante eliminar la lesión y favorecer la rehabilitación en el corto plazo.

Equilibrar un enfoque que minimice las secuelas físicas y favorezca una mejor calidad de vida sería fundamental,13 sin perder de vista la agresividad de la lesión y el riesgo de recidiva. Por estos motivos, los procedimientos no quirúrgicos suelen complementarse con técnicas quirúrgicas conservadoras, mientras que la resección en bloque se ha vuelto una opción menos común, reservada para casos específicos.11,14



CONCLUSIóN

El GCCG es una neoplasia rara cuyo manejo depende de su presentación clínica y agresividad. Su baja frecuencia en pacientes mayores conduce a reconsiderar los criterios de agresividad y los tratamientos de elección, particularmente en contextos de envejecimiento y desdentamiento severo, donde la rehabilitación protésica plantea un desafío adicional. Factores como la accesibilidad geográfica y la adherencia influyen directamente en el pronóstico y deben ser considerados en la planificación. Pese a la abundante literatura científica disponible, la etiología del GCCG sigue siendo incierta, por lo que profundizar en los mecanismos moleculares y celulares podría permitir una mejor valoración de la agresividad y favorecer terapias menos invasivas y más ajustadas a cada caso.


REFERENCIAS (EN ESTE ARTÍCULO)

  1. Suárez-Roa MDL, Reveiz L, Ruíz-Godoy Rivera LM, Asbun-Bojalil J, Dávila-Serapio JE, Menjívar-Rubio AH, et al. Interventions for central giant cell granuloma (CGCG) of the jaws. Cochrane Database Syst Rev. 2009; 4: CD007404. doi: 10.1002/14651858.CD007404.pub2.

  2. Richardson J, Stanbouly D, Litman E, Lee KC, Philipone E. Central giant cell granuloma of the head & neck: a case report and systematic review. J Stomatol Oral Maxillofac Surg. 2022; 123 (4): e161-e168.

  3. Criollo A, Unda P. Manejo diagnóstico y quirúrgico del granuloma central de células gigantes: a propósito de un caso clínico. OdontoInvestigación. 2021; 7 (1). doi: 10.18272/oi.v7i1.1890.

  4. Rhim JS, Dritschilo A, Kremer R, editors. Human cell transformation: advances in cell models for the study of cancer and aging. Cham: Springer; 2019. (Adv Exp Med Biol; 1164). doi: 10.1007/978-3-030-22254-3.

  5. Loi F, Córdova LA, Pajarinen J, Lin TH, Yao Z, Goodman SB. Inflammation, fracture and bone repair. Bone. 2016; 86: 119-130.

  6. Capucha T, Krasovsky A, Abdalla-Aslan R, Ginini JG, Noy D, Emodi O, et al. Central giant cell granuloma of the jaws: long-term clinical and radiological outcomes of surgical and pharmacological management. Clin Oral Investig. 2024; 28 (3): 200.

  7. Morales A, Jara G, Werlinger F, Cabello R, Espinoza I, Giacaman R, et al. Synopsis of the oral health situation in Chile. Part II: population-based diagnoses. Int J Interdiscip Dent. 2020; 13 (2): 88-94.

  8. Melo-Muniz VRV, Nunes FD, Xavier FCDA, Cangussu MCT, De Almeida Freitas R, Cury PR, et al. Potential role of Hedgehog signaling pathway and myofibroblastic differentiation in central giant cell granuloma: a preliminary study. J Oral Pathol Med. 2019; 48 (9): 855-860.

  9. Latorre CG, Atalah CN, Marshall Baburizza M. Denosumab as treatment of central giant cell granuloma of the jaws: a scoping review. Oral Maxillofac Surg. 2024; 28 (3): 1029-1045.

  10. González-Osuna L, Sierra-Cristancho A, Rojas C, Cafferata EA, Melgar-Rodríguez S, Cárdenas AM, et al. Premature senescence of T-cells favors bone loss during osteolytic diseases: a new concern in the osteoimmunology arena. Aging Dis. 2021; 12 (5): 1150-1161.

  11. Camarini C, De Souza-Tolentino E. Non-surgical treatment as an alternative for the management of central giant cell granuloma: a systematic review. Clin Oral Investig. 2022; 26 (2): 2111-2132.

  12. Yanik S, Aras MH. Management of central giant cell granuloma of mandible using intralesional corticosteroids: case report and review of literature. J Oral Maxillofac Surg. 2013; 71 (4): 721-722.

  13. Matapathi N, Shenoy VK, Shenoy R, Miranda GA, Upadhya M, Mehendale A, et al. Evaluation of the quality of life of patients with maxillofacial defects after prosthodontic rehabilitation: a cross-sectional study. J Cancer Res Ther. 2022; 18 (Suppl 2): S219-S225.

  14. O'Regan EM, Gibb DH, Odell EW. Rapid growth of giant cell granuloma in pregnancy treated with calcitonin. Oral Surg Oral Med Oral Pathol Oral Radiol Endod. 2001; 92 (5): 532-538.



AFILIACIONES

1 Cirujano Dentista, Universidad de Chile. Santiago, Chile.

2 Cirujano Dentista, Universidad del Desarrollo. Santiago, Chile.

3 Cirujana Maxilofacial, Servicio de Cirugía Maxilofacial, Hospital San Juan de Dios. Santiago, Chile.

4 Patólogo Oral, Servicio de Anatomía Patológica, Hospital San Juan de Dios. Santiago, Chile.
ORCID:

5 0009-0000-8817-2226

6 0000-0001-5039-9337

7 0009-0003-1350-4865

8 0000-0003-1673-3551

9 0009-0003-2675-0635

10 0000-0003-2454-4291



CORRESPONDENCIA

Felipe Saavedra-Vásquez. E-mail: felipe.saavedra@ug.uchile.cl




Recibido: 31/07/2025. Aceptado: 09/09/2025

Figura 1
Figura 2
Figura 3
Figura 4

2020     |     www.medigraphic.com

Mi perfil

C?MO CITAR (Vancouver)

Lat Am J Oral Maxillofac Surg. 2025;5

ARTíCULOS SIMILARES

CARGANDO ...