medigraphic.com
SPANISH

Revista Mexicana de Ortodoncia

ISSN 2395-9215 (Print)
Órgano Oficial de Difusión de la Facultad de Odontología de la UNAM
  • Contents
  • View Archive
  • Information
    • General Information        
    • Directory
  • Publish
    • Instructions for authors        
  • medigraphic.com
    • Home
    • Journals index            
    • Register / Login
  • Mi perfil

2019, Number 4

<< Back Next >>

Rev Mex Ortodon 2019; 7 (4)

Orto-surgical treatment of a skeletal class III with laterognasia: clinical case report

De Loera Rodríguez, Danitza Nallely1; Bautista González, Jorge Gregorio2; Ávila Santacruz, Salma2; Rodríguez-Chávez, Jacqueline Adelina3; Paz Cristóbal, Alejandra Noemí3; Meléndez Ruiz, José Luis3
Full text How to cite this article

Language: English/Spanish [Versi?n en espa?ol]
References: 14
Page: 214-223
PDF size: 388.01 Kb.


Key words:

Ortho-surgical treatment, skeletal class III, laterognasia.

ABSTRACT

Introduction: The most difficult occlusions to diagnose and treat are class III, so that sometimes specific complications such as skeletal complications can be generated by both genetic and environmental factors, which are responsible for their formation. Clinical case report: 17-year-old female patient, presenting a dolichofacial biotype, paranasal region and poor malar projection, facial midline deviated to the right, increased middle and lower third, increased left internal fifth and gingival smile, concave profile and prognathism with unilateral mandibular laterognasia. Skeletal class III pattern, right molar class III, left molar class I, canine class not established, severe upper and lower crowding, bilateral posterior edge-to-border bite, inferior midline deviated to the left 4 mm, superior and inferior oval arc shape , horizontal and vertical overbite of 0 mm. Objectives of treatment was to improve the facial profile and mandibular laterognasia, establish molar class I, canine class I, obtain anterior guidance and an adequate horizontal and vertical overbite, as well as coordination of the arches. The treatment was carried out in three phases: Presurgical phase: extraction of the first 4 premolars, cementing of brackets, Roth slot 0.018 technique. Surgical phase: maxillary impaction and advancement; mandibular retroposition and laterognasia correction. Postsurgical orthodontic phase: use of class III intermaxillary elastics on the right side and class II elastics on the left. And finally, retention. The treatment was achieved in a period of three years with successful results. Conclusion: The result of a good diagnosis, treatment plan and the collaboration of the patient will generate excellent results.



INTRODUCTION

The mandible and maxilla are bones that make up the craniofacial complex; therefore, their growth and development are aimed at providing a state of structural and functional balance between hard and soft tissues,1 occasionally they can be affected, causing some type of malocclusion.

The most difficult malocclusion to diagnose and treat is class III, which sometimes shows dental and skeletal combinations, these can be generated by genetic and environmental factors, which are responsible for their formation.2

Within this anomaly, we find prognathism, which is defined as the projection or excessive growth of the mandible, followed by mandibular retrognathism, maxillary hypoplasia, and the combination of both, and finally, mandibular laterognathia which will cause facial asymmetry.3,4 Class III malocclusions negatively affect oral health-related quality of life.5 According to the WHO, in Mexico dental malocclusions represent a public health problem in 75% of adolescents; of which class III malocclusion is present in 10% of all males and 7% of all females.6

It is of great importance the analyze the soft tissues and the correct clinical examination of the patient, to be able to determine the precise diagnosis and the type of facial deformity, cephalometry will only be used as a diagnostic support method and not as a surgical one.7

The success of the treatment and particularly the reliability of the results depend on correct diagnosis, clinical experience, and treatment planning.8 The success of treatment in a skeletal class III patient will depend on a good interdisciplinary relationship of both the orthodontist and the maxillofacial surgeon, setting the pre-surgical objectives, a correct orthognathic surgery, always adapting it to the skeletal and facial needs of each patient.9

The presurgical phase carefully planned with the surgery, should be performed with skill and detail, obtaining the desired results during the post-surgical phase.10 The orthodontic-surgical treatment allows the patient at the end of the treatment to present an adequate facial profile, with esthetic and functional results.11

The purpose of this case report is to present the results obtained from multidisciplinary treatment of a patient with class III malocclusion and laterognathia, which is treated ortho-surgically.



CASE REPORT

Etiology and diagnosis

Etiologically, skeletal class III malocclusions combined with mandibular laterognathia are associated with multifactorial genetic and environmental factors.

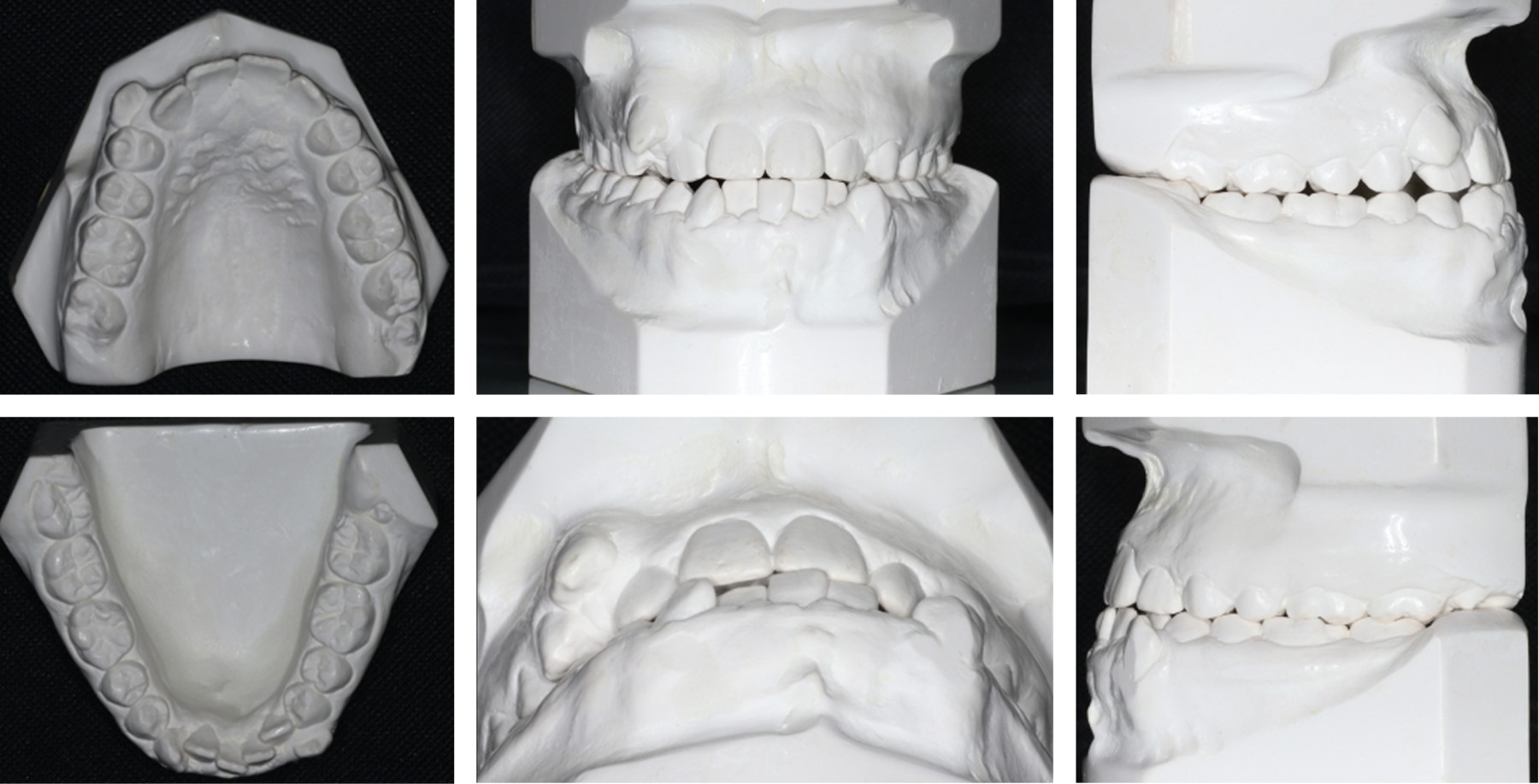
A 17-year-old female patient came to the Department of Dental Clinics of the University of Guadalajara for a check-up and was referred to the Orthodontics Clinic, with the consultation reason "I want my teeth and fangs to be well-aligned". She does not present pathological clinical data of any systemic alteration or TMJ dysfunction. Frontal esthetic analysis: the patient presents a long and oval face, with a dolichofacial biotype, paranasal region, and malar projection deficient, facial midline deviated to the right, enlarged middle and lower third, enlarged left internal fifth, and gingival smile. Profile analysis: the concave profile, due to a combination of maxillary hypoplasia and prognathism with unilateral mandibular laterognathia. Vertical: dolichocephalic pattern. Transverse: mandibular laterognathia to the right (Figure 1A and B), asymmetric condyles (left side wider) (Figure 2). Skeletal, anteroposterior: class III due to maxillary hypoplasia and mandibular prognathism (Figure 3). Dental: crown-root ratio 1:2, class III right molar, class I left molar, canine class not established (retained upper left canine), severe upper and lower crowding, bilateral posterior edge-to-edge bite, lower midline deviated to the left 4 mm, upper and lower oval arch form, horizontal and vertical overbite of 0 mm, presence of lower and upper third molars, no signs of periodontal disease (Figures 2 and 3). Functional: no alteration present.

Objectives: improve facial profile and mandibular laterognathia, establish class I molar, class I canine, obtain anterior guidance and adequate horizontal and vertical overbite, as well as arch coordination.

Treatment alternatives

As a treatment alternative, we have only orthodontic camouflage or orthognathic surgery, also considering dental extractions due to the severe crowding problem. The camouflage is usually a treatment that is oriented only to correct the dental inclinations, however, to achieve a correct mandibular position and an adequate vertical and horizontal interlocking, would be impossible. When camouflage treatment is chosen, it must fulfil major criteria to be able to modify its growth, such as mild or moderate skeletal class II and mild skeletal class III maxillary relations, patients that present reasonably good dental alignment, and patients that do not present alterations in the vertical or transversal plane, so specifically, in this case, the best option is orthognathic surgery.

Treatment evolution

According to the evaluation of the radiographic studies (Figure 3), extraoral and intraoral photographs (Figure 1), and cephalometric results (Table 1), interdisciplinary orthodontic-surgical treatment was performed to achieve the planned objectives.

Dental organs 14, 24, 34, and 44 were extracted.

The treatment was carried out in three phases:

  • 1. Presurgical phase: cementation of brackets with Roth slot 0.018" technique. We started with NiTi 0.012" archwires in both arches to begin with the alignment and leveling, then NiTi 0.014", 0.016", and 0.016" × 0.022" archwires were used.
  • Treatment continued with 0.016" × 0.022" steel, and the left canine was uncovered and pulled in the direction of the arch until it was incorporated into the arch. Treatment continued with 0.017" × 0.025" steel.
  • Subsequently, the case was reevaluated with radiographic studies and study models together with the Department of Oral and Maxillofacial Surgery of the Civil Hospital Juan I. Menchaca of Guadalajara, and orthognathic surgery was programmed.
  • Before surgery, surgical hooks were placed in the upper and lower arches 0.017" × 0.025" steel (Figure 4).
  • 2. Surgical phase: maxillary impaction and advancement; mandibular retroposition and correction of laterognathia (Figure 5).
  • 3. Postsurgical orthodontic phase: eight months after surgery, class III right intermaxillary elastics and class II left elastics were indicated to correct midline, muscle patterns, improve occlusion detailing and settling, and final correlation of upper and lower arches.
  • In the retention, an upper Essix retainer was indicated and fixed in the lower, which was placed from the mesial fossa of the right first premolar to the mesial fossa of the left first premolar to avoid recurrence, since the case was treated with extractions.



RESULTS

The total duration of the treatment was three years; satisfactory esthetic and functional results were achieved for the patient; the post-treatment photographs show that a better facial symmetry was achieved, and class I molar, class I canine were established with a good seating and an anterior guide, however, a correct dental midline was not achieved. The bite was corrected edge to posterior edge and an appropriate canine and incisor disocclusion guide was obtained, an ideal exposure of the maxillary incisors in the smile and an excellent facial balance (Figure 6). When evaluating the panoramic radiography, root parallelism is observed without the presence of root resorptions; the L-shaped plates with the 8 mm monocortical screws are evidenced, moreover, these present a correct osseointegration (Figure 7A). The cephalometry demonstrates the skeletal changes carried out: an impaction and advancement of the maxilla, as well as a mandibular retroposition to improve facial esthetics, which is corroborated in the cephalometry digitally drawn in Dolphin version 9.0 (Table 1 and Figure 7C) and the lateral skull (Figure 7B). For the retention and stability of the treatment an upper Essix was placed and a fixed retainer in the lower one to promote good seating.



DISCUSSION

Ortho-surgical treatment is an ideal treatment for patients with large dentofacial asymmetries that cannot be treated with orthodontic camouflage alone.

Nicodemo et al12 conclude that female patients present decreased self-esteem and depressive symptoms due to the surgical intervention, while male patients did not show any alteration in self-esteem and depression with the surgical intervention. Kilinc and Ertas13 mention that the level of quality of life related to the oral condition of orthognathic surgery patients can reach that of individuals without dentofacial deformity once the effects of the treatment process have disappeared. In comparison with our clinical case, the patient after surgery showed low self-esteem, although, after a few months, her self-esteem recovered, which is associated with the fact that the facial changes gradually improved, providing a better esthetic and functional aspect.

The orthodontic-surgical correction of dental-maxillofacial anomalies, such as class III occlusion, modifies the relationship between the different anatomical structures that make up the stomatognathic complex, and the well-known phenomenon of neuromuscular adaptation, the correction of these alterations can present changes in the articulation.14

In the present case, a great dentofacial change was observed, through orthognathic surgery treatment, giving us excellent working results, however, no alterations were observed in the articulation, nor were they manifested by the patient, as mentioned above.

At the dental level the changes were notorious, such as achieving class I canine and class I molar on both sides, correction of the posterior edge to edge bite, which allowed the patient to improve the masticatory function and the relationship of the structures of the stogmatognathic system. And although, the lower dental midline was not well established in its entirety, which could be associated with the mandibular discrepancy, since only this was improved.



CONCLUSION

The combination of orthognathic surgery with orthodontic treatment is required in patients with complex craniofacial deformities, which should be scheduled after the patient completes growth.

The ortho-surgical treatment was concluded with satisfactory facial results, with adequate intercuspidation and anterior guidance, without alterations in the temporomandibular joint.

The result of a good diagnosis, treatment plan, and patient collaboration will generate excellent results.


REFERENCES

  1. Enlow DH. Crecimiento maxilofacial. 3a ed. México: Editorial Interamericana; 1992.

  2. Oviedo MN, Guzmán VGI. Surgical-orthodontic treatment of a class III patient with asymmetry due to mandibular deviation. Case report. Rev Mex Ortodon. 2018; 6 (1): 50-55.

  3. Canut JA. Ortodoncia clínica. Barcelona: Ed. Salvat; 1988.

  4. Takao KF. Atlas de cirugía ortognática y maxilofacial pediátrica. Colombia: Actualidades Médico Odontológicas Latinoamérica; 1995.

  5. Palomares NB, Celeste RK, Miguel JA. Impact of orthosurgical treatment phases on oral health-related quality of life. Am J Orthod Dentofacial Orthop. 2016; 149 (2): 171-181.

  6. Ramírez Mendoza J, Bulnes López RM, Guzmán León RG, Torres López JE, Priego Álvarez HR. Características y alteraciones de la oclusión en la dentición primaria en preescolares de 3 a 6 años en Tabasco, México. Odontol Pediatr. 2011; 10 (1): 6-12.

  7. García y Sánchez JM, Gómez Rodríguez CL, Romero Flores J. Surgical management of laterognathia in orthofacial surgery. J Maxillofac Oral Surg. 2017; 16 (3): 365-373.

  8. Cutovic T, Radojicic J, Stosic S, Mladenovic I, Kozomara R. Multidisciplinary treatment of complex skeletal class III malocclusion. Vojnosanit Pregl. 2018; 75 (11): 1138-1142.

  9. Huízar-González IG, García-López E, Orozco-Partida J, Ramírez-Aguilar M. Orthodontic surgical management of a skeletal class III patient with laterognathia. Rev Mex Ortod. 2017; 5 (2): e95-e101.

  10. Gupta RK, Tikku T, Khanna R, Gupta H, Srivastava K, Verma SL. Ortho-surgical management of skeletal Class III malocclusion. Natl J Maxillofac Surg. 2015; 6 (1): 110-114.

  11. Bohórquez JYN, Mariscal GKY, Ángeles VA. Tratamiento ortodóncico-quirúrgico en paciente clase III esquelética. Presentación de caso clínico. Rev Mex Ortodon. 2018; 6 (3): 196-203.

  12. Nicodemo D, Pereira MD, Ferreira LM. Self-esteem and depression in patients presenting angle class III malocclusion submitted for orthognathic surgery. Med Oral Patol Oral Cir Bucal. 2008; 13 (1): E48-E51.

  13. Kilinc A, Ertas U. An assessment of the quality of life of patients with class III deformities treated with orthognathic surgery. J Oral Maxillofac Surg. 2015; 73 (7): 1394.e1-5.

  14. Turvey TA, Journot V, Epker N. Correction of anterior open bite deformity: a study of tongue function, speech changes, and stability. J Maxillofac Surg. 1976; 4 (2): 93-101.



AFFILIATIONS

1 Alumno de la Especialidad en Ortodoncia. Centro Universitario de Ciencias de la Salud. Universidad de Guadalajara. México.

2 Egresado de la Especialidad en Ortodoncia. Centro Universitario de Ciencias de la Salud. Universidad de Guadalajara. México.

3 Profesor de la Especialidad en Ortodoncia. Departamento de Clínicas Odontológicas Integrales. Centro Universitario de Ciencias de la Salud. Universidad de Guadalajara. México.



CORRESPONDENCE

José Luis Meléndez Ruiz. E-mail: joseluis.melendez@academicos.udg.mx




Received: Febrero 2021. Accepted: Mayo 2021.

Figure 1
Figure 2
Figure 3
Figure 4
Figure 5
Figure 6
Figure 7
Table 1

2020     |     www.medigraphic.com

Mi perfil

C?MO CITAR (Vancouver)

Rev Mex Ortodon. 2019;7