medigraphic.com
SPANISH

Revista Mexicana de Ortodoncia

ISSN 2395-9215 (Print)
Órgano Oficial de Difusión de la Facultad de Odontología de la UNAM
  • Contents
  • View Archive
  • Information
    • General Information        
    • Directory
  • Publish
    • Instructions for authors        
  • medigraphic.com
    • Home
    • Journals index            
    • Register / Login
  • Mi perfil

2019, Number 4

<< Back Next >>

Rev Mex Ortodon 2019; 7 (4)

Class II correction treatment with extractions of second maxillary molars: clinical case report

Sánchez Ochoa, Florencia1; Mejía Ávalos, Tania Elizabeth2; Rodríguez-Chávez, Jacqueline Adelina3; Villanueva Betancourt, Daniel3; Covarrubias Guitrón, Mónica3
Full text How to cite this article

Language: English/Spanish [Versi?n en espa?ol]
References: 14
Page: 236-246
PDF size: 465.53 Kb.


Key words:

Second molar extractions, class II, bicuspid extractions, molar distalization.

ABSTRACT

Introduction: Sometimes, the extraction of bicuspids is not enough to correct severe crowding, excessive overjet, molar class II and protrusive profile, so extraction of the first or second molars are suggested, as long as the presence of the third molar is in good anatomical shape and condition. Objectives: Correcting class II and severe crowding by extracting the first four premolars, as well as the second maxillary molars. Case report: A 14-year-old male patient whose skeletal, dental, and soft tissues analysis lead the diagnosis as a skeletal class II due to maxillary protrusion and mandibular retrusion, with a vertical growth pattern. The following treatment plan was performed: Extractions of second upper molars to distalize the first upper molars beside the extraction of the first upper and lower premolars with the aim of releasing the crowding and correct the overjet. MBT slot 0.22" brackets were used, followed by the orthodontic treatment sequence. Results: The profile remained stable and class I molar and canine were obtained. We achieved a correct overbite and overjet, and centered midlines. Anterior and canine guides were established and the crowding was released. Conclusions: Molar extractions whether first or second, are good alternative in class II cases with severe crowding, protrusive profile, and excessive overjet, as long as control of the case is maintained and constant observation of the third molars is made.



INTRODUCTION

On occasions in class II treatment, the extraction of either first or second premolars is not sufficient to alleviate severe crowding and allow retraction of the anterior sector and correction of the midline. Premolar extraction alone does not correct the excessive overjet, the molar class II relationship and, the protrusive profile, since the space generated by these is only consumed in correcting the gap discrepancy.1,2 Some authors have suggested extractions of teeth other than bicuspids as an alternative for orthodontic treatment. The incidence of such extractions is 15%, including the extraction of permanent first molars.3 Because of this situation, in 1938 extractions of the second permanent molars were suggested as a treatment alternative to class II correction.4 Among the advantages of extracting upper second molars are greater stability in the treatment result, obtaining molar class I, efficient reduction of deep overbite, prevention of excessive flattening of the profile, correction of severe crowding, facilitating distal movement of the first molar, reduction in treatment time, little residual space at the end of orthodontic treatment, as well as preventing impaction of the third molars. However, certain disadvantages have also been exposed, the most controversial being an unacceptable position of the third molar, which would require a second treatment phase. Another one, is the excessive removal of dental material.4,5

Booij et al6 in 2013, mentions the extraction of first molars as an alternative to class II correction, concluding that a retraction up to 2.7 mm of the anterior area is achieved, reducing the upper lip by 1.4 mm and obtaining a better facial profile.

It is important to highlight that, when opting for upper second molar extractions, distalization of the first molar will be necessary. Lately anchorage control by means of micro-implants has been effective for a wide variety of teeth movements. Micro-implants assist in the distalization of maxillary molars and are a favourable strategy in class II correction.7

Recently, four situations have been suggested in which extraction of permanent first molars is a good alternative, one of them being the requirement of orthodontic needs together with the presence of third molars.8 The decision of which and how many teeth are to be extracted should be made with great caution and should be based on a good diagnosis and treatment plan.

This article shows a clinical case in which the maxillary second molars were extracted, in addition to the four first premolars, with the aim to improve dental relations and correcting severe crowding.



CASE REPORT

Diagnosis

14-year-old male patient attending the Orthodontic Postgraduate Clinic of the University of Guadalajara, Centro Universitario Ciencias de la Salud, due to dissatisfaction with his facial profile and the appearance of his canines.

Functionally, the patient presents clicking in both sides of the TMJ. Facially, he presents a dolichocephalic biotype, enlarged middle third, no facial asymmetries, convex profile, medium nose, short upper lip, lip incompetence, presence of dark circles, neutral smile, showing the entire labial side of the anterior teeth (Figure 1A).

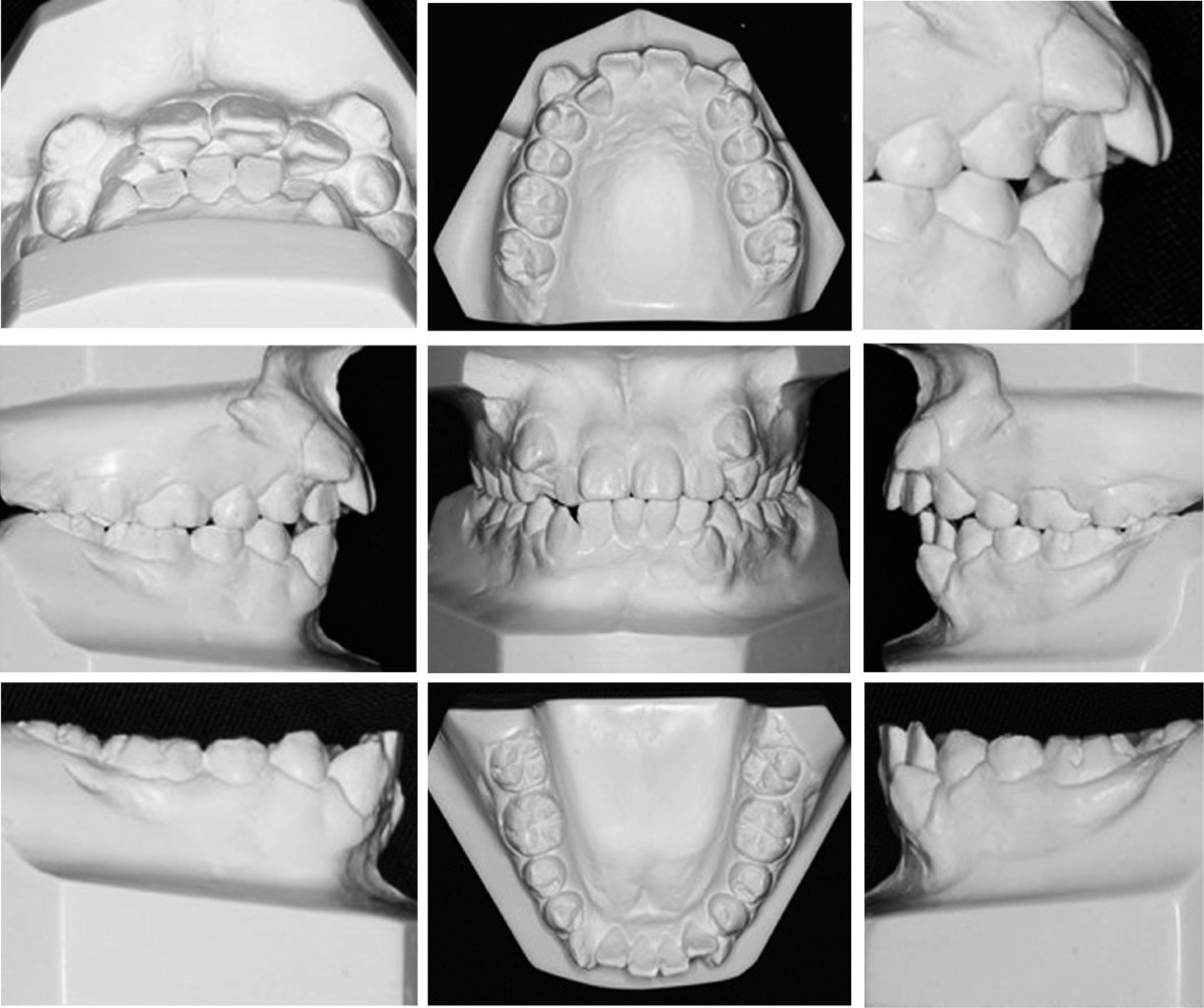
In the intraoral analysis the patient presents bilateral molar class II, canine class not established, permanent dentition, severe upper and lower crowding, canines in supra occlusion, lower midline deviated 3 mm to the left, long and square teeth size, upper and lower ovoid arch form, unilateral anterior crossbite, overjet 4 mm overbite 0 mm, rotations in dental organs 14, 16, 24, 26, 44, and proinclined and protruded upper and lower incisors (Figure 1B). The model analysis shows a Spee's curve of 2 mm, an upper arch length discrepancy of -16 mm and a lower arch length discrepancy of -9 mm. Bilateral molar class II along with unestablished canine class and increased overjet can also be corroborated (Figure 2).

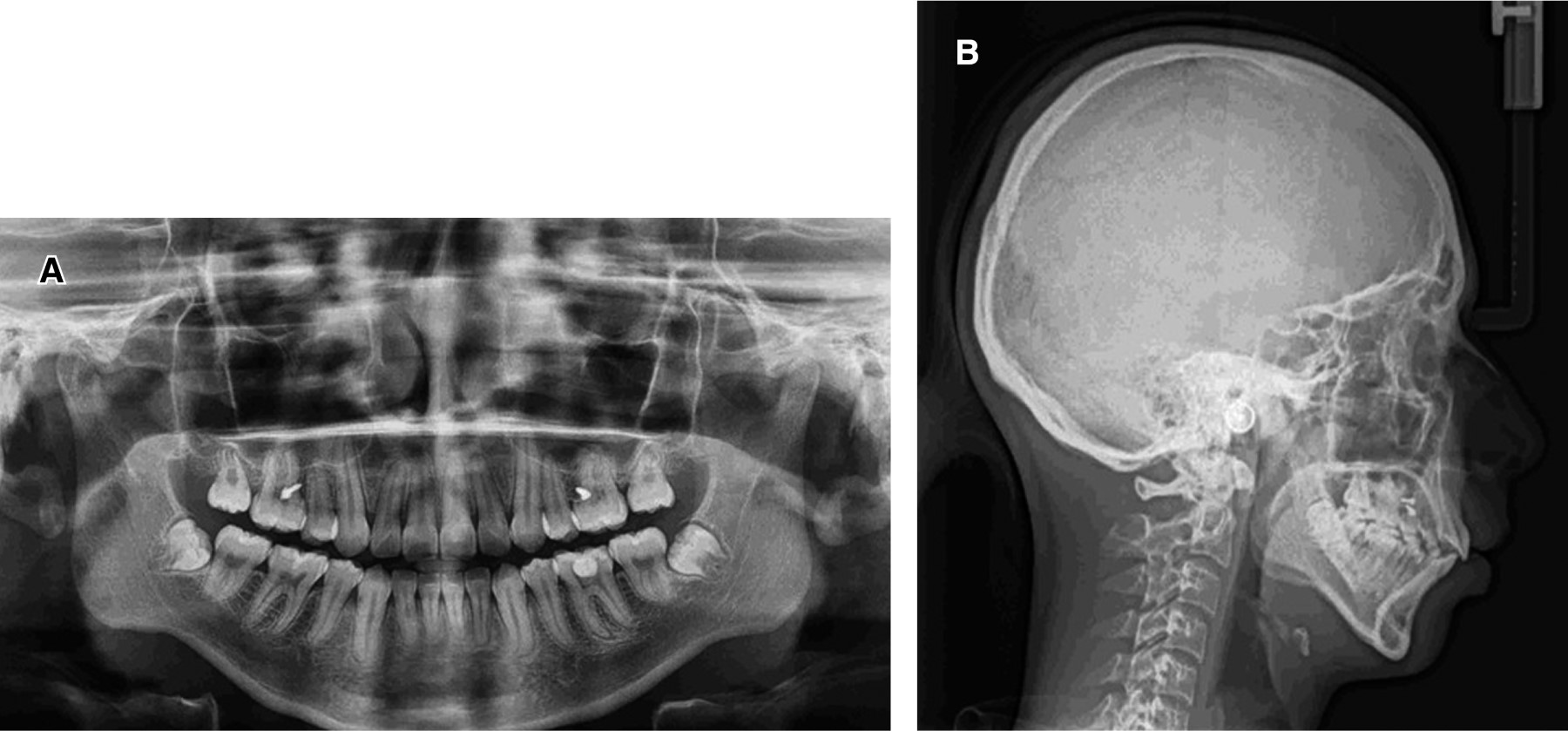
The panoramic radiograph showed patent upper and middle airways, presence of germs on third molars and good bone trabeculation as well as long roots. In the lateral skull X-ray, Ricketts cephalometry was traced in the Dolphin version 9.0 programme, showing a skeletal class II due to a retrusive mandible (Figure 3 and Table 1). We observed stage 4 of skeletal maturation according to Lamparski, which indicates a residual growth of 10-25%. With the results obtained in the skeletal, dental and soft tissue analyses, we diagnose the patient as skeletal class II due to maxillary protrusion and mandibular retrusion, with a vertical growth pattern.

Treatment goals

Improve profile, establish bilateral molar and canine class I, establish adequate anterior and canine guidance, release crowding and obtain adequate overbite and overjet.

Treatment alternative

Surgical treatment for class II correction, which was not accepted by the patient.

Treatment plan and progression

The treatment accepted by the patient started with the extraction of the upper and lower first premolars, then the upper and lower bands and MBT 0.022" brackets were placed in both arches, to start with the alignment and levelling phase with a thermal 0.016" archwire, and laceback in all four quadrants. The placement of the extra oral high traction archwire for the distalization of the upper first molars was continued, and the following archwires were placed; 0.016" upper nickel titanium and 0.016" lower steel. Subsequently a 0.175" coaxial upper archwire was placed, and an impression was taken, for the elaboration of a transpalatal bar and lingual trap, to keep the first molar in position, however, a slight mesialization of the molars was observed in the subsequent appointments.

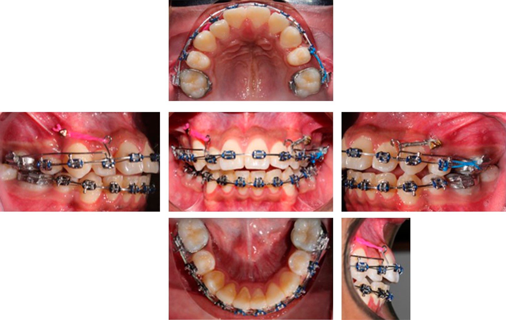
The midline correction started using a chain from the canine to the lower right central incisor, the canine was anchored to the posterior sector and, a panoramic radiograph was taken to assess the extractions of the upper second molars, in order to facilitate the distalization of the first molars, which had suffered loss of anchorage. The extraction of the upper second molars was determined and the use of the extraoral arch was evaluated, however, there was no cooperation from the patient, so micro-implants were placed in the posterior sector for the distalization of the first molars and to continue with the closure of the spaces (Figure 4). Upper and lower tie-backs with a 0.016" × 0.022" steel arch were used for this purpose. In subsequent appointments sliding jigs were placed to support this biomechanics with a 0.017" × 0.025" steel archwire.

Once the spaces were closed, the tubes of the lower second molars were incorporated and the brackets were repositioned if improvement was necessary; class II 3/16 4.5 oz/130 g elastics were indicated for four months. Once the upper third molars erupted, tubes were placed and the class I was reinforced with class II 3/16 4.5 oz/130 g elastics from the micro-implant to the canine for two months (Figure 5).

Finally, anterior box elastics 1/4 3.5 oz/100 g, and class II elastics 3/16 4.5 oz/130 g were placed for settling and used for four months. Once the case was stabilised, the fixed appliances were removed. The retention used was a removable Hawley-type retainer, circumferential in the upper and lower brackets.



RESULTS

The profile was maintained in a stable manner, and dental class I was obtained in canine and molar teeth. A correct overjet and overbite was achieved, as well as centred midlines. The anterior and canine guides were established and the crowding was released (Figures 6 and 7). In the overjet we can see that skeletally there were no significant changes as the patient was diagnosed surgically and decided to reject this option, so the treatment was focused on the correction of the dental part (Figure 8).



DISCUSSION

Andrade et al.9 shows a clinical case in which the extraction of the maxillary second molars was carried out for easy distalization of the first molars, improving the dental and skeletal relationships, presenting a dolichofacial profile, class II molar and increased overjet; skeletally it is a class II with proinclinations of incisors, the third molar was in a good position, extractions of the upper second molars were carried out to distalize the first molar and the third molar took the place of the second molars, thus obtaining a class I molar and canine, correct overjet and overbite, and a stable profile. In our clinical case, similar mechanical procedures were carried out, obtaining equally satisfactory and stable results. We carry out extractions of the upper second molars, in order to distalize the upper first molars and obtain the class I molar with the help of mini-implants, as mentioned by Mandakovic and Rodriguez,10 where they conclude that distalization with skeletal anchorage devices is an effective procedure, since the force vector passes close to the center of resistance, which makes distalization to class I molar in a shorter time, approximately eight months depending on the amount of force applied and the severity of the class II malocclusion, without causing inclinations or significant vertical facial changes.11 Casasa Del Real et al12 mentions the possibility of reinforcing molar distalization with sliding hooks, which has been shown to be a versatile and simple method for dental retraction, however it needs the patient's cooperation and commitment to the use of elastics. As seen in this case report, the sliding hook and the patient's cooperation with the elastics helped to effectively distalize the first molars.

Sometimes, in addition to molar extractions, premolar extractions are necessary to correct crowding. Dávila et al,13 indicates that the decision to perform extractions will depend on the position of the lower incisor with respect to the A-Po line or on the patient's refusal to undergo orthognathic surgery, and that the perception of patients with biprotrusion improves when treated with extractions. In the same way, our patient showed an increased position of the lower incisor with respect to the A-Po line, and that he was a surgical patient who rejected this treatment option. As part of the treatment was the extraction of the first upper and lower premolars, which helped to maintain the patient's profile with the release of crowding, as mentioned by Dávila et al.

Barthelemi14 mentions several extraction alternatives, including first or second premolars and molars, and concludes that the decision to extract the first or second premolars will depend on the preferred change in the profile; if the objective is to improve the profile, the first premolars should be extracted. On the other hand, if the objective is to maintain the profile, the second premolars should be extracted. He also mentions that in cases of severe crowding, especially when there are canines outside the dental arch, the decision to extract first or second molars can be a good option, as long as the treatment planning is correct. In the case presented in this article, extractions of first premolars and second molars were performed with satisfactory results.



CONCLUSIONS

There are alternatives for the correction of class II, one of which is the extraction of first or second molars. The extractions of second molars, and upper and lower first premolars, together with the mechanical techniques used with mini-implants and the application of the sliding hook and elastics, were successfully carried out to achieve the objectives set out prior to treatment, obtaining satisfactory results for both the patient and the orthodontist.


REFERENCES

  1. Schacter R, Schacter W. Treatment of an adult patient with severely crowded bimaxillary protrusive class II malocclusion with atypical extractions. Am J Orthod Dentofacial Orthop. 2002; 122 (3): 317-322.

  2. Ozaki T, Ozaki S, Kuroda K. Premolar and additional first molar extraction effects on soft tissue. Angle Orthod. 2007; 77 (2): 244-253.

  3. Rey D, Oberti G, Sierra A. Extracción del primer molar permanente como una alternativa en el tratamiento de ortodoncia. CES Odontol. 2012; 25 (1): 44-51.

  4. Stellzig A, Basdra E, Komposch G. Skeletal and dentoalveolar changes after extraction of the second molars in the upper jaw. J Orofac Orthop. 1996; 57 (5): 288-297.

  5. Waters D, Harris E. Cephalometric comparison of maxillary second molar extraction and nonextraction treatments in patients with class II malocclusions. Am J Orthod Dentofacial Orthop. 2001; 120 (6): 608-613.

  6. Booij JW, Goeke J, Bronkhorst EM, Katsaros C, Ruf S. Class II treatment by extraction of maxillary first molars or Herbst appliance: dentoskeletal and soft tissue effects in comparison. J Orofac Orthop. 2013; 74 (1): 52-63.

  7. Kudora S, Hichijo N, Sato M, Mino A, Tamamura N, Iwata M et al. Long-term stability of maxillary group distalization with interradicular mini-screws in a patient with a class II division 2 malocclusion. Am J Orthod Dentofacial Orthop. 2016; 149 (6): 912-922.

  8. Ashley P, Noar J. Interceptive extractions for first permanent molars: a clinical protocol. Br Dent J. 2019; 227 (3): 192-195.

  9. Andrade Gallego N, Casasa Araujo AA, Gurrola Martínez B. Clase II, extracción de segundos molares maxilares, mesialización de los terceros molares. Ortodon actual. 2012; 9(32):38-42.

  10. Mandakovic D, Rodríguez M. Distalización de molares maxilares utilizando dispositivos de anclaje esqueletal directo en pacientes con maloclusión clase II. Revisión bibliográfica. Odontología Vital. 2018; 28: 81-90.

  11. Dallel I, Bergeyron P, Chok A, Tobji S, Ben Amor A. Intramaxillary devices of molar distalization on fixed appliance and with aligners. Orthod Fr. 2017; 88 (4): 355-366.

  12. Casasa Del Real A, Gurrola Martínez B, Casasa Araujo A. Distalización de molares en maloclusión clase II dental con mecánica de sliding hook. Rev OACTIVA UC Cuenca. 2018; 3 (3): 51-56.

  13. Dávila GDG, Vázquez LA, Ortiz VM, Campos RAP. Corrección de clase II división 1 con extracciones de segundos premolares maxilares. Reporte de un caso. Rev Mex Ortod. 2014; 2 (2): 130-135.

  14. Barthelemi S. Can extraction sites affect the profile? Int Orthod. 2014; 12 (1): 49-83.



AFFILIATIONS

1 Alumno de la Especialidad en Ortodoncia. Departamento de Clínicas Odontológicas Integrales. Centro Universitario de Ciencias de la Salud. Universidad de Guadalajara. México.

2 Egresada de la Especialidad en Ortodoncia. Departamento de Clínicas Odontológicas Integrales. Centro Universitario de Ciencias de la Salud. Universidad de Guadalajara. México.

3 Profesor de la Especialidad en Ortodoncia. Departamento de Clínicas Odontológicas Integrales. Centro Universitario de Ciencias de la Salud. Universidad de Guadalajara. México.



CORRESPONDENCE

Mónica Covarrubias Guitrón. E-mail: monicova1@yahoo.com




Received: Abril 2020. Accepted: Mayo 2020.

Figure 1
Figure 2
Figure 3
Figure 4
Figure 5
Figure 6
Figure 7
Figure 8
Table 1

2020     |     www.medigraphic.com

Mi perfil

C?MO CITAR (Vancouver)

Rev Mex Ortodon. 2019;7