medigraphic.com
SPANISH

Acta Médica Grupo Ángeles

Órgano Oficial del Hospital Ángeles Health System
  • Contents
  • View Archive
  • Information
    • General Information        
    • Directory
  • Publish
    • Instructions for authors        
    • Manuscript submission
    • Policies
    • Names and affiliations of the Editorial Board
  • About us
    • Data sharing policy
    • Stated aims and scope
  • medigraphic.com
    • Home
    • Journals index            
    • Register / Login
  • Mi perfil

2025, Number 2

<< Back Next >>

Acta Med 2025; 23 (2)

Use of hepatospecific contrast in hepatic trauma

Calderón NMÁ, Perochena GA, Rocha GG, Gómez PMG
Full text How to cite this article 10.35366/119484

DOI

DOI: 10.35366/119484
URL: https://dx.doi.org/10.35366/119484

Language: Spanish
References: 4
Page: 175-177
PDF size: 244.32 Kb.


Key words:

hepatospecific contrast, gadoxetic acid, liver lacerations, abdominal trauma.

ABSTRACT

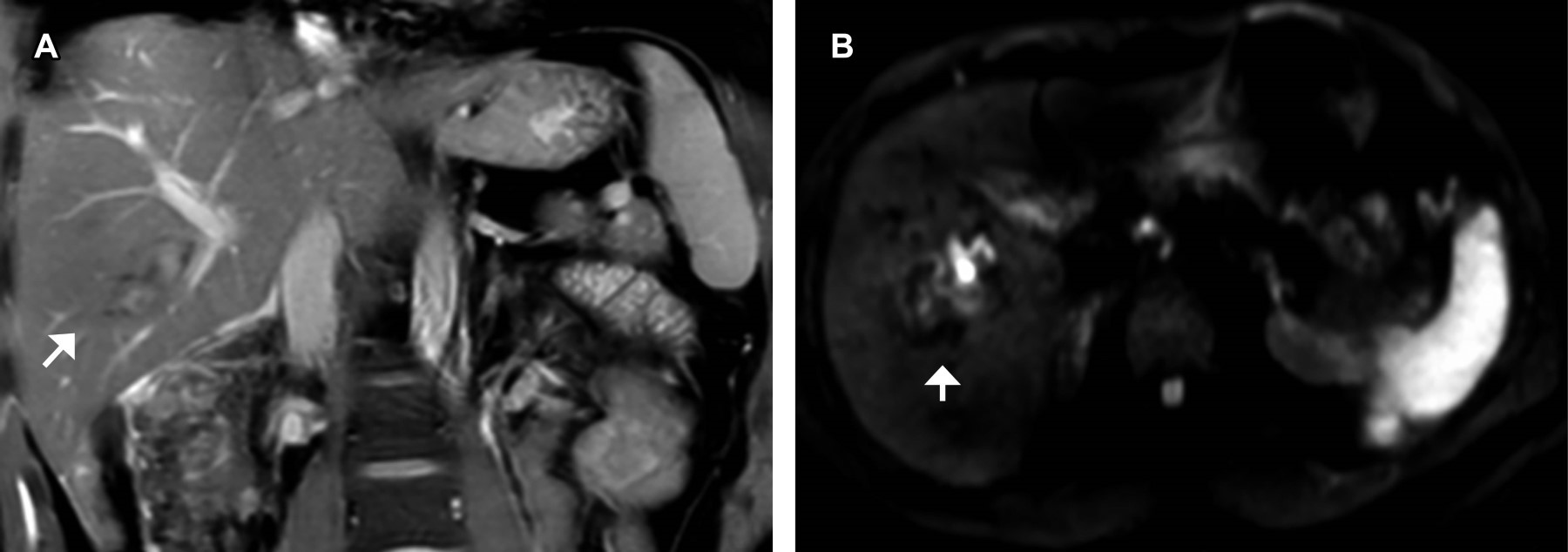
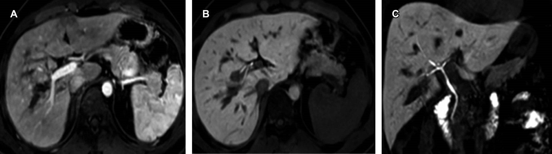
This is a 30-year-old male patient who, after suffering a three-story fall, showed hepatic contusion on CT scan and ultrasound. MRI with gadoxetic acid demonstrated laceration, vascular integrity, and biliary anatomy without evidence of injuries.


REFERENCES

  1. Coccolini F, Coimbra R, Ordonez C, Kluger Y, Vega F, Moore EE et al. Liver trauma: WSES 2020 guidelines. World J Emerg Surg. 2020; 15 (1): 24.

  2. Cossio-Torrico PE, Ramírez-Carmona CR, Stoopen-Rometti M, Perochena-González A, Sosa-Lozano LA, Kimura-Hayama E. Resonancia magnética con ácido gadoxético -contraste hepatoespecífico- para la evaluación de lesiones focales. Rev Gastroenterol Mex. 2015; 80 (4): 267-275.

  3. Wong YC, Wang LJ, Wu CH, Chen HW, Fu CJ, Yuan KC et al. Detection and characterization of traumatic bile leaks using Gd-EOB-DTPA enhanced magnetic resonance cholangiography. Sci Rep. 2018; 8 (1): 14612.

  4. Nguyen I, Catanzano T. Hepatobiliary injuries: a pictoral essay and literature review. Semin Ultrasound CT MRI. 2021; 42 (4): 332-346.




Figure 1
Figure 2
Table 1

2020     |     www.medigraphic.com

Mi perfil

C?MO CITAR (Vancouver)

Acta Med. 2025;23